REGISTRO DOI: 10.69849/revistaft/cs10202510212313
João Victhor Aparecido Borges
Roberta Matias Delgado
RESUMO
Relata-se o caso de um cão, macho, não castrado, SRD (sem raça definida), com sete anos de idade, atendido no Hospital Veterinário DOK apresentando anúria, hematúria, apatia e anorexia. Os exames de imagem revelaram presença de cistolitíases e possível ruptura uretral. A abordagem inicial consistiu na realização de cistocentese e fixação de cateter uretral, seguida de cistostomia exploratória. Durante o procedimento, observou-se espessamento vesical, presença de pus e ausência de parte dos cálculos previamente visualizados, posteriormente identificados em região prostática com auxílio de ultrassonografia transoperatória. Exames contrastados confirmaram ruptura parcial de uretra prostática. Diante da ausência de resposta ao tratamento conservativo inicial, optou-se por prostatectomia parcial com anastomose uretrovesical. A evolução foi favorável, com cicatrização confirmada por radiografia contrastada, é possível incontinência da associação de exames de imagem e abordagem cirúrgica individualizada em rupturas uretrais.
Palavras-chave: ruptura uretral próstata, uretrocistografia, cistolitíases, cão.
ABSTRACT
This case report describes a 7-year-old, intact, male mixed-breed dog treated at DOK Veterinary Hospital presenting anuria, hematuria, apathy, and anorexia. Imaging exams revealed cystolithiasis and suspected urethral rupture. Initial treatment included cystocentesis and urethral catheter placement, followed by exploratory cystotomy. During surgery, vesical wall thickening and purulent content were noted, but not all calculi were retrieved. Ultrasonographic examination revealed stone migration into the prostatic region. Contrast studies confirmed partial rupture of the prostatic urethra. Due to lack of improvement with conservative treatment, a prostatectomy and urethrovesical anastomosis were performed. The patient had a favorable recovery, with full urethral healing confirmed and potential urinary incontinence as sequela. This case highlights the relevance of combining imaging techniques and tailored surgical intervention in managing urethral ruptures.
Keywords: urethral rupture, prostate, urethrocystography, cystolithiasis, dog.
1. INTRODUÇÃO
A uretra é um órgão tubular que serve como canal condutor para o sêmen e secreções reprodutivas. Anatomicamente a uretra masculina compreende três grandes áreas: a uretra prostática, a uretra membranosa e a uretra peniana. Juntas, as porções prostáticas e membranosas compõem a porção pélvica da uretra (DONALD E. THRALL, 2024). A uretra membranosa é envolvida por tecido cavernoso e pelo músculo uretral. A uretra peniana estende-se do arco isquiático à extremidade do pênis. Esta parte da uretra também é conhecida como uretra cavernosa, pois a maior parte dela é envolvida pelos tecidos eréteis do pênis. a porção mais distal da uretra peniana está inserida e protegida pelo sulco uretral ventral do osso peniano. O arranjo muscular uretral e tecido esponjoso circundante conferem um mecanismo alternado do esfíncter uretral em cães machos (DONALD E. THRALL, 2024).
A medicina veterinária tem evoluído significativamente na abordagem de afecções urológicas em cães, especialmente aquelas que envolvem estruturas como a uretra. A uretra prostática, localizada na porção intrapélvica do trato urinário de machos, pode ser acometida por traumas diretos ou indiretos que resultam em sua ruptura, uma condição grave que exige diagnóstico e intervenção imediata (FOSSUM,2021).
A ruptura da uretra prostática leva ao extravasamento de urina para os tecidos periuretrais, o que pode ocasionar complicações severas, como infecção secundária, celulite, abscessos e uroperitônio (TIGGES etal…,2020). Essa condição clínica é considerada uma emergência cirúrgica e exige, além de diagnóstico rápido, um plano terapêutico adequado para restaurar a continuidade urinária e minimizar o risco de sequelas (STRAW; WITHROW, 2017).
O diagnóstico pode ser dificultado pela apresentação clínica e requer a utilização de exames de imagem, como ultrassonografia, uretrocistografia contrastada, para uma avaliação anatômica precisa (NYLAND;MATTOON,2014). A terapêutica envolve a estabilização do paciente, antibioticoterapia, sondagem urinária ou cirurgia reconstrutiva, dependendo da extensão da lesão(FOSSUM,2019).
Esse tipo de lesão, embora relativamente rara, representa um grande desafio diagnóstico e terapêutico para o clínico veterinário. Dificuldades no diagnóstico precoce e a necessidade de intervenção cirúrgica imediata demandam conhecimento técnico e abordagem multidisciplinar, incluindo exames de imagens, suporte clínico intensivo e técnicas cirúrgicas adequadas para a reconstituição do trato urinário.
A escassez de relatos clínicos específicos sobre ruptura de uretra prostática em cães evidencia a relevância de estudos que abordem este tipo de ocorrência, contribuindo para o aperfeiçoamento da conduta médica veterinária frente a situações de emergência urológica. Além disso, compreender os mecanismos etiológicos, as manifestações clínicas, os métodos diagnóstico e o tratamento cirúrgico aplicável é fundamental para promover o bem-estar e o sucesso terapêutico.
1.1 Anatomia
O trajeto uretral de cães e gatos machos é dividido anatomicamente em porção prostática, membranosa e peniana. A ruptura de uretra é mais comum em suas porções prostática e membranosa e frequentemente como consequência de fraturas pélvicas causadas secundariamente à traumas (FOSSUM, 2014).
A uretra é um órgão tubular que serve como saída para a urina da bexiga urinária e, no homem, para o sêmen e as secreções reprodutivas. Anatomicamente, a uretra masculina compreende três áreas principais: a uretra prostática, a uretra membranosa e a uretra peniana ( Fig. 1 ). Juntas, as porções prostática e membranosa constituem a parte pélvica da uretra. A uretra prostática é completamente circundada pela próstata no cão, embora apenas dorsolateralmente no gato. A uretra membranosa é envolvida por tecido cavernoso e pelo músculo uretral. A uretra peniana se estende do arco isquiático até a ponta do pênis. Essa parte da uretra também é conhecida como uretra cavernosa porque a maior parte dela é revestida por tecidos eréteis do pênis. A parte mais distal da uretra peniana é recebida e protegida pelo sulco uretral ventral do osso peniano. A disposição do músculo uretral e dos tecidos esponjosos circundantes confere um mecanismo esfincteriano difuso à uretra em cães machos.

James C. Brown, Jr( veterian key ) 27 MAIO DE 2016 ( THE URETHRA)

(fonte: FOSSUM.2019, Livro de Cirurgia de Pequenos Animais).
1.2 Radiografia e Uretrografia
A radiografia da uretra deve incluir imagens abdominais e/ou pélvicas caudais para garantir uma avaliação completa da uretra. Em cães machos, radiografias pélvicas laterais com os membros pélvicos em extensão e flexão do quadril também são recomendadas para evitar a ausência de lesões na uretra peniana causadas pela sobreposição dos membros pélvicos. Em um cão normal, a uretra não é visível nas radiografias. Devido à posição mais cranial da bexiga urinária em gatos, a uretra pré-pélvica pode ser visualizada, desde que haja gordura circundante adequada.
A uretrografia retrógrada é uma técnica para examinar a uretra utilizando meio de contraste positivo. Deve ser utilizado apenas meio de contraste iodado solúvel em água. O meio de contraste pode ser diluído com solução salina estéril até uma concentração final de 15% (150 mg de iodo [I]/mL).Os pacientes geralmente requerem sedação, e a evacuação do cólon e reto por meio de evacuação ou enemas de limpeza é recomendada. Uma bexiga urinária totalmente distendida fornece contrapressão à injeção de meio de contraste para permitir a distensão máxima da uretra. Frequentemente, a cistografia é realizada inicialmente, e a distensão da bexiga com meio de contraste deve ser mantida para a uretrografia. Se necessário, a solução salina estéril pode ser infundida em uma bexiga inadequadamente distendida. Além das projeções radiográficas mencionadas anteriormente, as incidências ventro-dorsal esquerda direita e ventrodorsal esquerda, as esquerdas devem ser incluídas porque a projeção ventrodorsal padrão pode ser menos informativa devido à sobreposição da uretra pélvica e peniana.
Em cães e gatos machos, o procedimento é realizado inserindo um cateter na uretra peniana distal. Um cateter com ponta de balão (Foley) é preferível em cães, embora um cateter de borracha vermelha também possa ser usado. O bulbo do cateter de Foley é inflado suavemente e deixado inflado por não mais que 15 minutos, porque a pressão excessiva e prolongada pode danificar a uretra. Em gatos machos, um cateter de borracha vermelha ou Tomcat pode ser usado (Fig.2) . Dependendo do tamanho do paciente, uma injeção de 5 a 20 mL de meio de contraste é administrada e radiografias são adquiridas durante a administração dos últimos 1 a 2 mL da injeção. A uretra normal deve ter margens suaves ao longo de todo o seu comprimento. A uretra prostática é mais larga do que a uretra membranosa, embora cada uma possa ter diâmetro variável dependendo do grau de distensão. A uretra peniana tem um diâmetro geralmente uniforme em cães; em gatos, é relativamente estreita. Estreitamento luminal com margens afiladas pode ser visto normalmente no arco isquiático em cães.


(fonte: Brown Jr., Textbook of Veterinary Diagnostic Radiology)
1.3.Anatomia da uretra do cão (ênfase na porção prostática)
A uretra canina é dividida em três porções: prostática, membranosa e peniana. A porção prostática, que atravessa a glândula prostática, é completamente circundada pelo tecido glandular e representa um ponto anatômico crítico tanto para o fluxo urinário quanto para o desenvolvimento de patologias (Nyland & Mattoon, 2014). O colliculus seminalis, presente na região dorsal da uretra prostática, é um marco anatômico importante, pois recebe os ductos deferentes e prostáticos, além de influenciar a passagem de cálculos e a formação de estenoses (Evans & de Lahunta, 2017). Essa disposição anatômica faz com que qualquer alteração prostática, seja inflamatória, infecciosa ou neoplásica, possa impactar diretamente o lúmen uretral, predispondo a obstruções e rupturas.
1.4 Tipos de cálculos/urólitos na uretra (e trato inferior)
A maioria dos urólitos caninos são encontrados na bexiga ou na uretra. Cálculos de estruvita (fosfato de amônio e magnésio) e de oxalato de cálcio são os urólitos mais comuns em cães, seguidos por urato, silicato, cistina e tipos mistos. Ao longo dos últimos 20 anos, um aumento em longo prazo na proporção de cálculos urinários caninos que contêm oxalato de cálcio tem sido observado, juntamente com um decréscimo a longo prazo na proporção de cálculos urinários caninos que contém estruvita (Low et al., 2010).
Cálculos de oxalato de cálcio ocorrem mais comumente em cães com hipercalcemia e hipercalciúria, transitória e pós-prandial. Muitos cães acometidos têm concentração de paratormônio sérico entre baixa e normal. Embora raros, estes cálculos também podem ocorrer em cães com reabsorção tubular de cálcio deficiente, hiperparatireoidismo primário, linfoma, intoxicação com vitamina D, concentração diminuía de citrato ou aumento de oxalato na dieta. É rara a infecção concomitante do trato urinário. A urina ácida favorece a formação de cristais de oxalato de cálcio. Dietas alimentares em conserva para cães com uma elevada quantidade de carboidratos foram consideradas um risco maior para a formação de urólitos de oxalato de cálcio; cães alimentados com dietas secas formuladas contendo concentrações elevadas de proteínas, cálcio, fósforo, magnésio, sódio, potássio e cloreto pareceram ter menos cálculos de oxalato de cálcio. (FOSSUM, 2019)
Os cálculos de estruvita estão frequentemente associados a infecções urinárias por bactérias urease-positivas, que alcalinizam a urina e favorecem a precipitação de cristais. A composição e a localização variam de acordo com fatores como idade, sexo, dieta e condição clínica do animal. Em particular, os cálculos uretrais apresentam maior risco de obstrução, sendo frequentemente encontrados na uretra prostática ou peniana. A análise morfológica dos urólitos permite prever sua composição: cálculos espiculados tendem a ser de sílica, enquanto cálculos com superfície lisa ou laminada são geralmente de estruvita ou oxalato de cálcio (Lulich et al., 2016). Esse conhecimento auxilia o clínico a adotar medidas terapêuticas específicas, incluindo dieta e tratamentos minimamente invasivos, como a litotripsia a laser, que tem mostrado excelentes resultados em urólitos caninos.
1.5. Diagnóstico por imagem em ruptura de uretra
Do ponto de vista diagnóstico, a uretrocistografia retrógrada continua sendo o método padrão para detecção de rupturas uretrais, permitindo a visualização direta do extravasamento de contraste e a localização exata da lesão (Fossum, 2019). Além disso, esse exame possibilita a avaliação de estreitamentos, deslocamentos e cálculos retidos. Técnicas mais avançadas, como a tomografia computadorizada com contraste e o uso de ultrassonografia contrastada, têm mostrado sensibilidade elevada para a identificação de pequenas rupturas e estenoses, sendo alternativas promissoras na rotina clínica (Côté, 2002; Tigges et al., 2020). O emprego de métodos de imagem modernos é particularmente importante nos casos em que a clínica é inespecífica, já que sinais como hematúria e anúria podem se confundir com outras patologias urinárias.
Portanto, o conhecimento da anatomia uretral, dos calibres fisiológicos e da composição dos cálculos mais frequentes em cães é essencial para compreender a etiopatogenia das rupturas de uretra prostática. Esse embasamento teórico permite que o clínico veterinário não apenas diagnostique com maior precisão, mas também planeje intervenções cirúrgicas mais seguras e estratégias terapêuticas individualizadas, aumentando as chances de recuperação e reduzindo complicações pós-operatórias.
2. OBJETIVO
– Relatar detalhadamente os sinais clínicos e exames complementares realizados no paciente com ruptura parcial de uretra prostática.
– Descrever os procedimentos cirúrgicos aplicados, destacando a técnica de prostatectomia parcial associada à anastomose uretrovesical.
– Comparar a conduta adotada com relatos da literatura, destacando indicações, limitações e complicações potenciais.
– Discutir as implicações clínicas e prognósticas do tratamento cirúrgico em comparação ao manejo conservativo.
3. Metodologia
O presente trabalho trata-se de um estudo observacional descritivo, do tipo relato de caso, realizado com base no atendimento clínico e cirúrgico de um paciente canino atendido no Hospital Veterinário DOK, situado em Guarulhos, no ano de 2025.
O paciente, um cão sem raça definida (SRD), macho, não castrado, com sete anos de idade, foi encaminhado à instituição com histórico de anúria, hematúria, apatia e anorexia.
Este caso clínico foi documentado a partir de anamnese, exames físicos, exames laboratoriais, exames de imagem (ultrassonografia abdominal e uretrocistografia retrógrada), além do acompanhamento do tratamento conservativo e cirúrgico realizado.
Os dados foram organizados e descritos com base nos registros clínicos, imagens diagnósticas e procedimentos terapêuticos empregados, com o objetivo de relatar detalhadamente a evolução do quadro clínico do paciente.
A metodologia seguiu a abordagem qualitativa e descritiva, fundamentada na revisão de literatura sobre o tema, utilizando livros-textos de clínica cirúrgica veterinária e artigos científicos relevantes à temática de ruptura uretral em cães.
Durante a triagem inicial, foram realizados exames clínicos e laboratoriais, seguidos de exames de imagem, como ultrassonografia abdominal e radiografias abdominais contrastadas.
Após detecção de obstrução uretral e múltiplas cistolitíases, foi realizado procedimento de cistocentese para alívio imediato, seguido da implantação de cateter uretral. Com base nos achados da ultrassonografia transoperatória e da uretrocistografia retrógrada, diagnosticou-se ruptura parcial de uretra prostática com presença de cálculo migrado da bexiga para o interior da próstata.
O tratamento inicial foi conservativo, com manutenção de sonda uretral por 15 dias, regime de internação, e monitoramento por exames de imagem. Diante da persistência da lesão, foi indicada e realizada uma prostatectomia parcial associada à anastomose uretrovesical.
A evolução clínica foi acompanhada por meio de exames radiográficos e observação dos sinais clínicos do paciente, com foco na recuperação funcional do trato urinário e prevenção de complicações pós-operatórias.
3.1 Relato de Caso
Paciente Bidu, SRD (sem raça definida), macho, 7 anos, não castrado.
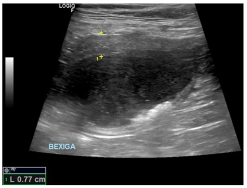
O paciente foi encaminhado para regime de internação devido a um quadro de anúria pós hematúria, anorexia e prostração. Em um hospital colega foram realizados exames complementares de imagem, onde foi identificada a presença de urolitíases em vesícula urinária, além de uma delas em trajeto de uretra peniana, causando um processo obstrutivo.
Na admissão, foi realizado o procedimento de cistocentese de alívio, onde foi retirado um volume total de 270 mL de urina com aspecto intensamente sanguinolento e com presença de coágulos. Após, realizou-se passagem e fixação de catéter uretral n°10, conforme orientação da equipe cirúrgica, seguida de realização de novos exames de imagem.



Ao exame radiográfico não foram observadas litíases radiopacas em vesícula urinária ou trajeto uretral, apenas discreta quantidade de conteúdo gasoso, provavelmente proveniente do procedimento de sondagem uretral.

Diante dos resultados encontrados nos exames supracitados foi indicada a realização de cistotomia para retirada dos cálculos.
Durante o procedimento cirúrgico, a equipe relata que ao abrir a vesícula urinária esta encontrava-se com paredes bastante espessas, presença de pus em região interna e pontos tendendo à início de necrose. Porém, não foram encontrados todos os cálculos anteriormente visualizados em exames de imagem, apenas um deles, que foi retirado.
Com auxílio da ultrassonografia transoperatória, foi identificado que os cálculos haviam migrado ao interior da lesão prostática, portanto, foi realizado tentativa de hidropulsão através do catéter uretral na tentativa de retorná-los à vesícula urinária, mas sem sucesso com a técnica. O paciente foi então encaminhado para a realização de exame de Uretrocistografia Retrógrada, para confirmar a suspeita levantada de ruptura de uretra em sua porção prostática.
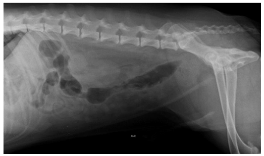
Para a realização do exame contrastado, foi administrado através do catéter uretral o contraste iodado Omnipaque® na dose de 6 ml/kg, diluído na proporção de 1:1 em solução fisiológica seguido da realização de radiografias abdominais sequenciais imediatas e após 5 minutos da administração do contraste.

Através da Uretrocistografia Retrógrada foi visualizado um ponto de extravasamento de contraste para a cavidade abdominal advindo de uretra prostática, porém ainda havendo repleção da vesícula urinária pelo contraste, o que indicava que havia uma ruptura uretral, mas que esta seria parcial.
Diante de todo o quadro, a princípio optou-se pela tentativa de tratamento conservativo, acompanhando através de exames de imagem a cicatrização da uretra, mantendo o paciente em regime de internação e com catéter uretral fixado para esvaziamento da vesícula urinária, controle de débito urinário e impedir a ocorrência de retardo na cicatrização pela contaminação por urina.
Após aproximadamente 15 dias em que o paciente permaneceu com catéter uretral fixado, foi realizado um novo exame radiográfico contrastado, em que os achados foram similares ao primeiro realizado, observando ainda a presença de um ponto de extravasamento de contraste em topografia de uretra prostática.
Com isso, foi indicada a realização de um novo procedimento cirúrgico, desta vez o de prostatectomia e anastomose uretrovesical ( Prostatectomia parcial: Ressecção cuidadosa da porção da próstata e da uretra gravemente lesada.
Preservação máxima de estruturas vasculares e do tecido prostático viável, para minimizar riscos de hemorragia e incontinência./ Anastomose uretrovesical: A uretra remanescente é aproximada ao colo vesical (base da bexiga).Realização de anastomose término-terminal com sutura delicada, geralmente absorvível (ex: polidioxanona 4-0 ou 5-0).Técnica em pontos simples interrompidos ou contínuos simples, garantindo vedação sem causar estenose. Em muitos casos, mantém-se um cateter uretral durante a sutura, que ajuda a alinhar os cotos e a manter a luz uretral patente. )
Após o procedimento, o paciente apresentou boa recuperação, sem complicações pós-cirúrgicas, com bom controle de dor e mantendo a sonda uretral por 7 dias pós-procedimento, para garantir uma boa cicatrização da região.
Após os 7 dias, foi realizada a última radiografia contrastada, que não evidenciou sinais de extravasamento de contraste e confirmou a cicatrização do ponto de ruptura.

4. Discussão
O paciente relatado apresentou sinais compatíveis com ruptura parcial de uretra prostática, condição que, embora rara, tem sido descrita como potencial complicação secundária à presença de urolitíases migratórias (FOSSUM, 2019). A opção inicial pelo tratamento conservativo, com manutenção de cateter uretral e monitoramento radiográfico, é recomendada em casos de ruptura parcial e está alinhada a relatos prévios que sugerem possibilidade de cicatrização espontânea quando há preservação parcial da continuidade uretral (TIGGES et al., 2020).
No entanto, diante da ausência de evolução favorável, a conduta cirúrgica tornou-se necessária. A técnica de prostatectomia parcial associada à anastomose uretrovesical empregada neste caso está de acordo com os protocolos descritos por Straw e Withrow (2017), que ressaltam a importância da preservação de estruturas vasculares e do tecido prostático viável para reduzir complicações pós-operatórias. A literatura destaca que, embora a cirurgia apresente riscos de incontinência urinária permanente, a escolha cirúrgica pode ser determinante para a restauração da função urinária e a sobrevivência do paciente.
Quanto à composição dos cálculos, confirmou-se tratar-se de urólito de oxalato de cálcio, tipo frequentemente relatado em cães machos de meia idade a idosos (KOPECNY et al., 2021; LULICH et al., 2016). Estudos apontam que os urólitos de oxalato de cálcio apresentam maior incidência nessa população e estão associados a fatores dietéticos, metabólicos e predisposições individuais. Em contrapartida, os urólitos de estruvita tendem a ocorrer em associação a infecções do trato urinário por bactérias urease positivas, sendo mais comuns em fêmeas (MERCK VETERINARY MANUAL, 2025). Nesse contexto, os achados do presente relato reforçam o padrão descrito na literatura, visto que o paciente, um macho idoso, apresentou justamente a forma mais prevalente da afecção.
As complicações mais comuns da cicatrização das feridas uretrais são a formação de estenoses e o vazamento urinário. Cateteres permanentes podem permitir infecções bacterianas ascendentes ou podem causar fibrose e estenose. Cateteres maiores que o normal (aqueles que distendem a uretra) devem ser evitados. As complicações de cateterização pré-púbica (cistostomia temporária) podem incluir perfuração intestinal pela colocação percutânea inapropriada, infecção do trato urinário, hematúria transitória, uroabdome, remoção prematura de cateter e obstrução ou remoção incompleta do cateter. (FOSSUM, 2019).
Pode ocorrer incontinência fecal e urinária, se os nervos forem lesados durante a dissecção ao redor da uretra pélvica. A uretrostomia perineal está associada a uma alta ocorrência de infecção pós-operatória do trato urinário. Uretrostomias pré-púbica, subpúbica e pélvica devem ser consideradas apenas como procedimentos de salvamento porque estão associadas a diversas complicações, incluindo infecção do trato urinário, irritação da pele periestomal ou necrose, e incontinência urinária. Prolapso retal também tem sido reportado como consequência de uretrostomia perineal em gatos. Pielonefrite, falência renal causada por estágio final de doença renal, disfunção neurológica, alcalose metabólica hiperclorêmica e diarreia com irritação perineal subsequente são comuns às complicações de desvio urinário ureterocolônico (FOSSUM, 2019).
O prognóstico em casos semelhantes está diretamente associado à precocidade do diagnóstico, à extensão da lesão e à técnica cirúrgica empregada (NYLAND; MATTOON, 2014). Neste trabalho, a utilização de exames de imagem, especialmente a uretrocistografia retrógrada, foi fundamental para a confirmação diagnóstica, corroborando a literatura que reconhece este exame como padrão-ouro para a avaliação de rupturas uretrais (CÔTÉ, 2002).
Em comparação a outros relatos, o presente caso reforça que a associação entre técnicas de imagem, análise do tipo de urólito e abordagem cirúrgica individualizada aumenta as chances de recuperação, apesar das possíveis sequelas urinárias. Dessa forma, evidencia-se a importância de considerar tanto o manejo conservativo quanto a intervenção cirúrgica, avaliando criteriosamente cada caso.
5. CONSIDERAÇÕES FINAIS
O caso descrito demonstra que a ruptura parcial de uretra prostática em cães, embora rara, deve ser considerada em pacientes com histórico de urolitíase e sinais de obstrução urinária grave. O diagnóstico precoce por meio de exames contrastados e ultrassonografia transoperatória mostrou-se essencial para a definição da conduta terapêutica.
A tentativa inicial de tratamento conservativo é válida em rupturas parciais, mas a ausência de cicatrização adequada pode demandar abordagem cirúrgica. A prostatectomia parcial associada à anastomose uretrovesical apresentou-se como alternativa eficaz, permitindo recuperação funcional satisfatória do paciente.
Este estudo contribui para a literatura veterinária ao reforçar a necessidade de integração entre diagnóstico por imagem, suporte clínico e técnicas cirúrgicas avançadas, além de evidenciar a importância de se ampliar os relatos clínicos sobre esta condição, para consolidar protocolos de diagnóstico e tratamento mais precisos.
REFERÊNCIAS
Thrall, D. E. Textbook of Veterinary Diagnostic Radiology. 8ª ed. St. Louis: Elsevier, 2022.
Fossum, T. W. Cirurgia de Pequenos Animais. 5ª ed. Rio de Janeiro: Elsevier, 2019.
Fossum, T. W. Cirurgia de Pequenos Animais. 4ª ed. St. Louis: Elsevier, 2014.
Straw, R. C.; Withrow, S. J. Small Animal Clinical Oncology. 6ª ed. St. Louis: Elsevier, 2017.
Nyland, T. G.; Mattoon, J. S. Ultrassonografia Diagnóstica em Pequenos Animais. 2ª ed. São Paulo: Roca, 2014.
Tigges, L. C. et al. “Partial urethral rupture in dogs: diagnosis and management.” Veterinary Surgery, v.49, n.3, p.450–458, 2020.
Donald E. Thrall. Textbook of Veterinary Diagnostic Radiology. Elsevier, 2022. (citada novamente no contexto anatômico).
James C. Brown Jr. “The Urethra.” Veterinary Key, 27 maio 2016. Disponível em: https://veteriankey.com/the-urethra/. Acesso em: 12 out. 2025.
Liebich, H.-G.; König, H. E.; Maierl, J. Anatomia dos Animais Domésticos: Texto e Atlas Colorido. 6ª ed. Porto Alegre: Artmed, 2016.
Dyce, K. M.; Sack, W. O.; Wensing, C. J. G. Tratado de Anatomia Veterinária. 4ª ed. Rio de Janeiro: Guanabara Koogan, 2010.
Brinker, W. O.; Piermattei, D. L.; Flo, G. L. Manual de Ortopedia e Reparação de Fraturas em Pequenos Animais. 4ª ed. São Paulo: Roca, 2006.
Tarvin, G.; Lenehan, T. “Pelvic fractures in dogs: management and prognosis.” Veterinary Clinics of North America: Small Animal Practice, v.35, p.1415–1432, 2005.
Rodrigues, R.; Filho, R. M. “Estudo anatômico da pelve de cães.” Revista Brasileira de Anatomia Animal, v.1, p.45–56, 2003.
Souza, R. “Aspectos anatômicos da cavidade pélvica em cães e implicações cirúrgicas.” Revista de Clínica Veterinária, v.8, p.35–40, 2003.
Evans, H. E.; de Lahunta, A. Miller’s Anatomy of the Dog. 5ª ed. St. Louis: Elsevier, 2017.
Kim, M. S. et al. “Urethral diameter in intact and castrated male dogs measured by ultrasound.” Journal of Veterinary Medical Science, v.84, p.102–109, 2022.
Kang, B. T. et al. “Measurement of canine urethral diameter using contrast enhanced CT.” Veterinary Radiology & Ultrasound, v.61, n.4, p.453–460, 2020.
Low, W. W. et al. “Changing trends in the composition of canine urinary calculi: 20- year survey.” Journal of Veterinary Internal Medicine, v.24, p.127–134, 2010.
Lulich, J. P. et al. “Urinary calculi: interpretation and management.” The Merck Veterinary Manual, 2016.
Côté, E. Clinical Veterinary Advisor: Dogs and Cats. St. Louis: Elsevier, 2002.
Kopecny, L. et al. “Prevalence and composition of canine urinary stones: analysis of 500 cases.” Veterinary Research Communications, v.45, p.355–362, 2021.
Merck Veterinary Manual. Urolithiasis in Small Animals. 2025. Disponível em: https://www.merckvetmanual.com. Acesso em: 12 out. 2025.
