POORLY ADAPTED RESIN VENEERS AND THE IMPACT ON PERIODONTAL HEALTH
REGISTRO DOI: 10.69849/revistaft/cl10202510241632
Inaê Salgado Pereira
Diogo Dahm Pereira
Talony O. Alencar
Lothar Matheus A. Schossig
Klisnman Rilley M. de Araújo
Carina Lélia Muniz
Geruza C. A. Ribeiro
Orientador: Paulo Roberto M. A. Carvalho
Resumo: Este estudo teve como objetivo analisar os danos provocados por facetas de resina composta mal adaptadas, popularmente conhecidas como lentes de contato dentais, à saúde periodontal. A pesquisa foi de natureza qualitativa, conduzida por meio de um relato de caso clínico realizado em uma clínica escola, envolvendo um paciente que apresentava insatisfação com a estética do sorriso e sinais visíveis de comprometimento gengival. Foram realizadas sessões de adequação do meio bucal, exames radiográficos detalhados e a substituição das facetas antigas por novas restaurações, utilizando técnicas conservadoras que respeitaram os limites biológicos dos tecidos periodontais.
Os resultados obtidos no aspecto clínico inicial revelaram a presença de inflamação gengival, retração dos tecidos moles e desconforto funcional, todos relacionados à má adaptação das facetas previamente instaladas. Após a realização do tratamento restaurador e reabilitador, observou-se significativa melhora na saúde periodontal, alinhamento estético satisfatório e aumento da autoestima do paciente. Concluiu-se que a correta aplicação de facetas exigiu conhecimento técnico, respeito aos limites anatômicos e conduta ética por parte do cirurgião-dentista, sendo esses fatores fundamentais para garantir a longevidade do tratamento, a preservação das estruturas dentárias e o bem-estar geral do paciente atendido.
Palavras-chave: Facetas dentárias. Saúde periodontal. Resina composta. Estética dental.
ABSTRACT: This study aimed to analyze the damage caused to periodontal health by poorly adapted composite resin veneers, commonly referred to as dental contact lenses. The research was qualitative in nature and was based on a clinical case report conducted in a university dental clinic, involving a patient who was dissatisfied with their smile aesthetics and showed visible signs of gingival compromise. Sessions were carried out to adjust the oral environment, detailed radiographic examinations were performed, and the old veneers were replaced using conservative restorative techniques that respected the biological limits of periodontal tissues.
The results revealed the presence of gingival inflammation, soft tissue recession, and functional discomfort, all directly associated with the improper adaptation of the previously installed veneers. Following the restorative and rehabilitative treatment, a significant improvement in periodontal health was observed, along with satisfactory aesthetic alignment and increased patient self-esteem. It was concluded that the proper application of veneers required technical expertise, respect for anatomical boundaries, and ethical conduct on the part of the dental professional. These elements were essential for ensuring treatment longevity, preserving dental structures, and promoting the overall well-being of the patient.
Keywords: Dental veneers. Periodontal health. Composite resin. Dental aesthetics.
INTRODUÇÃO
Encontrar um sorriso perfeito tem movimentado inúmeras pessoas ao longo dos anos. Dentes claros e alinhados se tornaram pré-requisitos. Indo a fundo, agora não é apenas pela saúde bucal, mas também pela saúde mental, uma autoestima estabelecida gera resultados positivos e altos níveis de confiança (OLIVEIRA et al., 2020).
Na tentativa de satisfazer a demanda de pacientes em busca do sorriso perfeito, por descoberto, alguns profissionais acabam desconsiderando princípios essenciais para a correta execução dos procedimentos estéticos. Toda intervenção restauradora deve ser compatível com o periodonto e contribuir para a manutenção da integridade biológica, como a preservação dos dentes naturais, que dependem principalmente dos tecidos periodontais protetores e do suporte, que, entre outras funções, também desempenha um papel crucial na estética dentária (Pereira DA et al., 2014).
As contraindicações para o uso de facetas diretas devem ser cuidadosamente observadas para garantir que os resultados do tratamento não sejam comprometidos. O profissional deve ter discernimento para entender quando e até que ponto é viável utilizar essa técnica, respeitando seus limites. Entre as principais contraindicações para a aplicação das facetas diretas estão: a perda estrutural significativa do dente, que compromete a resistência dentária, uma vez que as facetas diretas não têm a função de reforço (Castaneda BAP.2020).
Além de dominar a técnica, o profissional deve ter conhecimento sobre a anatomia dental, respeitar a saúde gengival do paciente, considerar doenças periodontais graves e dentes vestibularizados. É fundamental que o profissional seja honesto, para não criar expectativas irreais no paciente, evitando priorizar interesses financeiros em detrimento da ética. Problemas dessa natureza podem comprometer o resultado, gerando frustração no paciente e, em muitos casos, tornando necessária uma reexecução do procedimento (Fontenele, 2019).
Toda área estética vai encontrar desafios, estamos tentando chegar ao natural de forma artificial, então divergências ocorrerão, tanto na função como na estética aparente, devemos então mantê-las, função e estética, harmônicas. Um profissional com boa precisão clínica se torna indispensável já que realiza intervenções preservando a naturalidade, alterando sutilmente de modo que outros não percebam nada além de fascínio pela “obra”. Assim, alinhando os cuidados tomados com o paciente desde a primeira consulta, evidencia-se sua alta performance no quesito qualidade de resultados e eleva as expectativas do mesmo (Silva et al., 2021).
Há um risco de que, após finalizadas as restaurações de resina composta em pacientes, possam surgir complicações como cárie secundária, desadaptação marginal, fraturas, alteração de cor, sensibilidade pós-operatória e desgaste. (Mante et al., 2013).
Essas falhas geralmente são atribuídas a erros clínicos dos profissionais, ao uso de materiais resinosos de baixa qualidade e ao tratamento de pacientes que não colaboram com os cuidados de manutenção após a terapia (Gouveia et al., 2018).
Entretanto, é fundamental que os profissionais encarregados considerem a anatomia dos dentes e o espaço biológico da gengiva, visando assegurar a durabilidade e a qualidade estética e biológica (Folgueras; Arouca, 2019). O “espaço biológico” diz respeito à medida entre a base do sulco gengival e o ponto mais alto da crista óssea alveolar. Situações em que as lentes de contato são mal planejadas ou as técnicas são mal aplicadas podem levar à invasão desse espaço, comprometendo, dessa forma, todos os tecidos periodontais afetados (Ferreira Júnior; Reis; Barboza, 2013).
O objetivo do presente trabalho, visa abordar os impactos de facetas mal
adaptadas na vida dos pacientes acometidos pelo trabalho insatisfatório de profissionais não habilitados, evidenciando as consequências que este procedimento pode desencadear e como corrigi-los através de um relato de caso efetuado em um paciente real, em nossa clínica escola. Assim, substituiremos as facetas mal adaptadas do paciente, devolvendo conforto periodontal e estética harmoniosa, além de contribuirmos a literatura com o estudo e resolução do caso.
REFERENCIAL TEÓRICO
O contorno cervical das facetas em resina composta desempenha papel determinante na manutenção da saúde periodontal. Estudos apontam que sobrecontornos, ou seja, o excesso de material restaurador na junção dente-gengiva, favorecem a retenção de biofilme, dificultam a higiene e modificam a arquitetura gengival, configurando uma das principais causas de inflamações crônicas associadas a restaurações (Carneiro et al., 2023). Essa condição, quando não controlada, pode evoluir para gengivite persistente e, posteriormente, para periodontite, caracterizada pela destruição progressiva do ligamento periodontal e do osso alveolar. A inflamação gengival crônica, primeira consequência clínica das facetas mal adaptadas, manifesta-se inicialmente com edema, sangramento e coloração alterada da gengiva, podendo comprometer a harmonia estética do sorriso e gerar desconforto mastigatório (Peumans et al., 2018).
O posicionamento incorreto da margem restauradora, especialmente quando subgengival, provoca irritação mecânica e inflamatória contínua, resultando na migração apical da gengiva e exposição radicular (Cruz et al., 2021). Além da sensibilidade dentinária, a recessão altera o contorno gengival e gera assimetrias visíveis, comprometendo tanto a estética quanto a função. Casos mais avançados podem evoluir para retrações múltiplas e perda óssea localizada, exigindo intervenções periodontais corretivas. Assim, a negligência no acabamento e polimento das margens não apenas afeta o brilho e a lisura superficial, mas também interfere diretamente na biocompatibilidade do material restaurador com os tecidos moles.
Quando a interface dente-restauração apresenta irregularidades, microfissuras ou sobrecontorno, há acúmulo de placa bacteriana que se organiza em biofilme patogênico. Esse biofilme produz toxinas e enzimas capazes de romper a junção epitelial e iniciar a inflamação periodontal (Silva et al., 2024). O problema agrava-se quando o paciente apresenta higiene oral deficiente ou quando o material restaurador é polido inadequadamente, gerando superfícies rugosas. A literatura mostra que facetas com acabamento imperfeito aumentam em até 60% a colonização bacteriana na região cervical (Peumans et al., 2018), tornando o controle mecânico da placa ineficaz e acelerando o processo de inflamação e reabsorção óssea.
Facetas mal adaptadas podem causar assimetria do sorriso, diferença de cor entre dente e restauração, e irregularidades de espessura que alteram a oclusão e a fonética. Pequenos erros na escultura ou na espessura da resina podem gerar contatos prematuros, interferindo na dinâmica mandibular e favorecendo microfraturas dentárias ou restaurações descementadas (Soares; Borges, 2023). Do ponto de vista estético, manchas cervicais e alterações de brilho são frequentes, especialmente quando o polimento final não é adequadamente executado. Segundo Peres et al. (2022), 35% das queixas de pacientes que procuram retrabalho de facetas estão relacionadas a diferenças de cor e textura entre os elementos restaurados e os dentes naturais.
A estética dental está diretamente ligada à autoestima e às relações interpessoais; assim, o fracasso restaurador gera frustração e perda de confiança no profissional (Santos et al., 2016; Dias et al., 2024). O paciente que experimenta inflamação gengival recorrente, retrações ou manchas associadas a facetas mal adaptadas tende a desenvolver desconforto social e ansiedade estética, além de possíveis prejuízos financeiros com retratamentos. Nesse contexto, a ética odontológica é colocada à prova: o profissional deve priorizar a saúde e o bem-estar do paciente acima de resultados puramente estéticos ou de pressões mercadológicas (Fontenele, 2019; Castaneda, 2020).
As facetas diretas em resina composta representam uma alternativa viável para casos que demandam reversibilidade, menor custo ou menor desgaste dental. Elas permitem intervenções pontuais, sendo indicadas para fechamento de diastemas, correções morfológicas e alterações de cor, especialmente em pacientes jovens (Soares; Borges, 2023; Peres et al., 2022). Entretanto, essas restaurações exigem atenção minuciosa às etapas clínicas, principalmente ao acabamento e polimento final, essenciais para garantir estabilidade de cor, resistência ao manchamento e compatibilidade com os tecidos periodontais (Cruz et al., 2021).
A literatura evidencia que a negligência no acabamento e polimento das facetas em resina está diretamente relacionada a falhas clínicas, como descoloração marginal, infiltração, alteração de textura e sangramento gengival (Erkut et al., 2013). Os materiais compostos modernos, sobretudo os nanotecnológicos, apresentam potencial estético e mecânico superiores, desde que aplicados com técnica adequada e respeitando os princípios da odontologia adesiva (Mante et al., 2013).
A escolha entre facetas diretas e indiretas deve considerar diversos fatores, incluindo: a condição da estrutura dentária remanescente, a presença de hábitos parafuncionais, como bruxismo, a situação periodontal, oclusão, idade do paciente e expectativa estética. O tratamento interdisciplinar, com integração entre periodontia, ortodontia e prótese, muitas vezes se faz necessário para obter resultados funcionais e duradouros (Silva et al., 2022; Pinto, 2019).
A etapa de diagnóstico é determinante para o sucesso do procedimento. O exame clínico deve ser complementado com análise fotográfica, radiográfica, sondagem periodontal e modelos de estudo. Esses dados auxiliam na visualização das necessidades estéticas, na avaliação da arquitetura gengival e na escolha da abordagem mais conservadora possível. O enceramento diagnóstico e as guias de silicone derivadas dele funcionam como referência para delimitação precisa do preparo e controle da espessura das facetas (Borges, 2021).
As contraindicações das facetas também devem ser respeitadas. Pacientes com higiene bucal precária, presença de lesões cariosas extensas, doença periodontal ativa, apinhamento dentário acentuado ou oclusão topo a topo são candidatos que requerem avaliação criteriosa antes da aplicação de facetas. A desconsideração desses fatores pode levar a falhas restauradoras precoces, comprometimento dos tecidos periodontais e insatisfação estética. (Brito; Ferreira; Yamashita, 2022).
A aplicação de técnicas restauradoras mal conduzidas, especialmente em relação à
adaptação marginal, contorno axial e selamento da restauração, pode causar desequilíbrios periodontais significativos. O estudo relata que a maioria das intercorrências gengivais em casos com facetas diretas de resina é decorrente de erros técnicos, como polimento inadequado, restaurações excessivamente convexas ou margens irregulares. (Silva et al.2024)
O uso de sistemas adesivos e cimentos resinosos de última geração tem contribuído para aumentar a previsibilidade dos procedimentos restauradores, tanto diretos quanto indiretos. A evolução na química adesiva permite melhor integração entre dente e material restaurador, com aumento da resistência à tração e redução da microinfiltração. A correta aplicação desses sistemas, contudo, requer conhecimento técnico, domínio clínico e adesão a protocolos atualizados (Mante et al., 2013).
A reabilitação estética do sorriso também influencia diretamente na qualidade de vida dos pacientes. Vários estudos relatam aumento da autoestima, da autoconfiança e melhora nas interações sociais após a realização de facetas estéticas. Esse impacto psicológico positivo reforça a importância de tratamentos que conciliem estética e saúde, sem comprometer a integridade dos tecidos periodontais ou a funcionalidade do sistema mastigatório. (Santos et al., 2016; Dias et al., 2024).
A ética profissional é outro pilar essencial nesse processo. A indicação indiscriminada de facetas, seja por pressão mercadológica ou desconhecimento técnico, representa risco clínico e moral. A literatura alerta para o aumento de casos de sobretratamento estético, com desgastes desnecessários, uso de materiais inadequados ou execução por profissionais despreparados. O compromisso com a preservação da estrutura dental, com a saúde periodontal e com a satisfação real do paciente deve sempre prevalecer (Fontenele, 2019; Castaneda, 2020).
O sucesso a longo prazo das facetas depende de acompanhamento contínuo. Consultas periódicas para avaliação da adaptação marginal, controle de biofilme e reeducação do paciente sobre hábitos de higiene oral são indispensáveis. O controle profissional permite a detecção precoce de alterações, prevenindo falhas restauradoras, inflamações gengivais ou desgaste excessivo (Souza et al., 2020).
RELATO DE CASO CLÍNICO
O presente estudo foi conduzido na clínica odontológica do Centro Universitário São Lucas Afya, localizada em Porto Velho. A pesquisa foi realizada ao longo de quatro semanas, período durante o qual foi possível acompanhar o paciente desde a avaliação inicial até a conclusão do tratamento restaurador. Participou do estudo um paciente adulto previamente selecionado, que apresentava facetas mal adaptadas em resina composta, identificadas por meio de exame clínico e radiográfico. Antes do início do tratamento, o paciente foi devidamente esclarecido quanto aos objetivos e às etapas do procedimento, firmando sua concordância mediante a assinatura do Termo de Consentimento Livre e Esclarecido (TCLE).
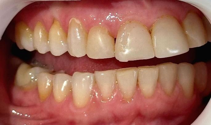
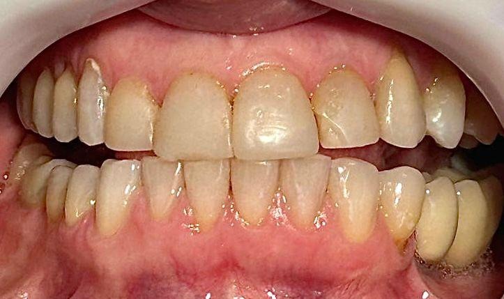
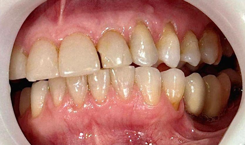
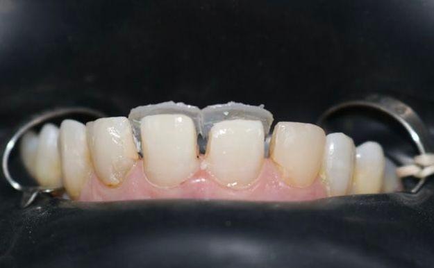
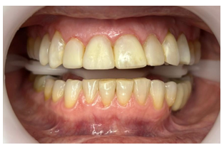
A coleta de dados foi iniciada com a realização de uma consulta inicial, na qual foi conduzida uma anamnese detalhada para levantamento do histórico médico e odontológico do paciente, bem como de suas principais queixas e expectativas em relação ao tratamento estético proposto. Em seguida, foi realizado um exame clínico minucioso com o objetivo de avaliar as facetas previamente instaladas, observando critérios como adaptação marginal, integridade do material restaurador e condições periodontais adjacentes. A saúde bucal geral do paciente também foi analisada nesta etapa, no aspecto inicial foi observado o acúmulo de biofilme causado pela má adaptação cervical, retração gengival, trincas e fraturas derivadas da oclusão desbalanceada, conforme apresenta a figura 1,2,3 e 4.
Figura 1: Vista do lado superior direito.

Figura 2: Vista frontal, região anterior

Figura 3: Vista do lado superior esquerdo.

Figura 4: Vista frontal com ênfase na região cervical do elemento 12

Na sequência, foram obtidos registros fotográficos e exames por meio de escaneamento digital intraoral, os quais subsidiaram o planejamento do caso. A partir desses dados, foi confeccionado uma guia palatina para confecção das conchas palatinas, a fim de prever e planejar as alterações estéticas que seriam realizadas, conforme mostra na figura 5;
Figura 5: Modelo 3D e guia palatina adaptada.

O procedimento clínico teve início com a remoção cuidadosa das facetas antigas com broca multilaminada em alta rotação (figura 6). Em seguida foi realizada a anestesia com o anestésico mepivacaína 2% com epinefrina 1:100.000 (DFL). Os dentes foram devidamente isolados com campo operatório absoluto, após o isolamento foi feita a lavagem da superfície com clorexidina 2%, seguido de ataque ácido fosfórico 37% por um período 15 segundos (MAQUIRA) e lavagem pelo mesmo período de tempo. Aplicação do sistema adesivo universal (FGM), fotopolimerizado por 20 segundos. Em seguida a confecção das conchas palatinas utilizando a resina trans (FORMA), (figura 7).
Figura 6: Remoção das facetas insatisfatórias

Figura 7: Isolamento e conchas palatinas nos incisivos.

A partir da confecção das conchas palatinas, procedeu-se à aplicação incremental das camadas subsequentes, primeiramente foi inserida a resina para a camada de dentina utilizando a resina A2D 3M FILTEK Z350 XT em incremento único, seguida da camada de esmalte B1E 3M FILTEK Z350 XT, respeitando a anatomia individual de cada elemento dentário.
Figura 8: Aspecto final sem acabamento.

Após a escultura final, foi realizada a remoção do isolamento, checagem da guia canina, términos cervicais e ponto de contato, seguido do acabamento e polimento utilizando a baixa rotação com discos de lixa (TDV) com água. Dando sequência, utilizou-se pontas espirais JIFFY POLISHER (ULTRADENT), e por fim pontas Enhance, também em baixa rotação com pedra pomes e água, respeitando as áreas de sombra e espelho, etapas essenciais para o sucesso clínico e a longevidade das restaurações. O polimento adequado potencializou o brilho superficial, reduziu a adesão de biofilme e conferiu um aspecto natural à faceta, integrando estética ao conjunto dentário, conforme apresentados nas figuras 9 e 10.
Figura 9: Acabamento com disco de lixa.

Figura 10: Polimento com espiral abrasiva média.

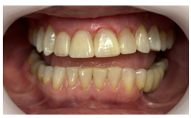
Após a conclusão do tratamento restaurador, o paciente foi acompanhado em consultas de retorno, nas quais foram avaliadas a adaptação gengival, a cor e o contorno das restaurações, bem como sua integridade marginal e a manutenção da higiene bucal. Além desses aspectos técnicos, também foram coletadas informações sobre o conforto pós-operatório e o grau de satisfação estética do paciente em relação ao resultado final alcançado.
Figura 11: Imagem final.

RESULTADOS E DISCUSSÃO
Os resultados obtidos neste estudo clínico reforçam a correlação direta entre facetas mal adaptadas em resina composta e o comprometimento da saúde periodontal. Durante o exame inicial, foi possível observar que o paciente apresentava sinais evidentes de inflamação gengival, retração marginal e acúmulo de biofilme, principalmente nas regiões cervicais dos dentes restaurados. A má adaptação marginal das facetas anteriores favoreceu a retenção de placa bacteriana e dificultou a higienização, gerando inflamação localizada e desconforto funcional, em concordância com as observações de Ferreira Júnior et al. (2013) e Folgueras & Arouca (2019), que associam o sobrecontorno e a irregularidade de margens restauradoras ao desequilíbrio dos tecidos periodontais.
A substituição das facetas foi conduzida com base em protocolos restauradores conservadores, respeitando o espaço biológico e a anatomia natural do paciente. Após a remoção cuidadosa das antigas restaurações, foi realizada a confecção de novas facetas diretas em resina composta, com camadas que reproduziram translucidez natural do esmalte. Durante os retornos clínicos subsequentes, foi constatada uma expressiva melhora nos parâmetros periodontais, com redução significativa da inflamação gengival e ausência de sangramento à sondagem. A adaptação marginal e a morfologia cervical obtidas favoreceram a auto-higienização e restabeleceram a harmonia entre estética e função, confirmando os achados de Peumans et al. (2018) e Carneiro et al. (2023) sobre a importância do correto polimento e acabamento para o sucesso clínico.
Além dos resultados clínicos objetivos, o paciente relatou aumento da autoconfiança e satisfação estética, corroborando estudos de Santos et al. (2016) e Dias et al. (2024), que evidenciam o impacto psicológico positivo das reabilitações estéticas bem-sucedidas. A melhora na aparência do sorriso, aliada ao conforto mastigatório e gengival, contribuiu para o bem-estar emocional e social do indivíduo, demonstrando que os resultados restauradores vão além da estética, refletindo também na saúde mental e qualidade de vida.
Durante a discussão dos resultados, destaca-se que a durabilidade e estabilidade de restaurações diretas em resina dependem de fatores como técnica de inserção, seleção adequada de materiais e respeito aos limites anatômicos. No caso em estudo, a utilização de um sistema adesivo universal associado a resinas de última geração permitiu uma união eficiente entre substrato dental e material restaurador, minimizando a microinfiltração e aumentando a resistência ao desgaste, conforme sugerem Mante et al. (2013) e Ilie & Hickel (2011).
O polimento final, executado com discos abrasivos e pontas de borracha em baixa rotação, mostrou-se essencial para a longevidade da restauração, reduzindo a rugosidade superficial e prevenindo o acúmulo de biofilme. A literatura corrobora que restaurações com acabamento inadequado apresentam maior índice de inflamação gengival e pigmentação marginal (Erkut et al., 2013; Gouveia et al., 2018). Portanto, o rigor técnico empregado nesta etapa foi determinante para o sucesso clínico do caso.
É importante ressaltar que o caso clínico reforça a necessidade de diagnóstico preciso e planejamento minucioso. O uso de escaneamento intraoral e guia palatina 3D proporcionou previsibilidade e controle anatômico, reduzindo falhas técnicas e otimizando o resultado estético. Esse recurso tecnológico, somado à análise digital do sorriso, segue as tendências modernas da odontologia estética, conforme relatado por Cunha et al. (2024) e Neves et al. (2021).
Outro ponto relevante na discussão refere-se à ética profissional. A execução anterior do caso por um profissional sem domínio técnico adequado resultou em danos periodontais e insatisfação estética. Esse cenário ilustra a importância do preparo profissional e da atualização constante em técnicas adesivas e restauradoras, como enfatizado por Fontenele (2019) e Castaneda (2020). O estudo reforça que a ética e o conhecimento científico são pilares indispensáveis para garantir a previsibilidade e a longevidade dos tratamentos estéticos.
Por fim, observou-se que a correta confecção das novas facetas restaurou o equilíbrio entre estética e biologia, demonstrando que a harmonia entre proporção dentária, perfil gengival e translucidez do material é o fator determinante para o sucesso clínico. A integração multidisciplinar entre estética, periodontia e oclusão deve ser constantemente buscada, a fim de garantir resultados funcionais, duradouros e biologicamente compatíveis.
CONSIDERAÇÕES FINAIS
O presente trabalho permitiu evidenciar que facetas mal adaptadas em resina composta podem desencadear danos expressivos à saúde periodontal, afetando não apenas o aspecto estético, mas também a integridade funcional e biológica dos tecidos de suporte. O caso clínico apresentado demonstrou que a inadequação marginal, a ausência de polimento adequado e a invasão do espaço biológico foram os principais fatores responsáveis pelos sinais inflamatórios e retrações gengivais observados no paciente.
Após a substituição das facetas utilizando técnicas conservadoras, respeitando a anatomia dental e os princípios da odontologia adesiva moderna, observou-se restauração da saúde periodontal, melhora estética e elevado grau de satisfação do paciente. Esses resultados reforçam que o sucesso clínico depende diretamente da execução técnica precisa, da escolha criteriosa dos materiais e do comprometimento ético do cirurgião-dentista.
Conclui-se que o conhecimento aprofundado da relação entre estética e periodonto é essencial para garantir resultados previsíveis e duradouros. A interdisciplinaridade entre especialidades, o uso de tecnologias digitais no diagnóstico e planejamento, bem como a adesão a protocolos clínicos atualizados, representam ferramentas indispensáveis para a excelência nos tratamentos restauradores.
REFERÊNCIAS
BERWANGER, C. et al. Fechamento de diastema com resina composta direta: relato de caso clínico. Revista da Associação Paulista de Cirurgiões Dentistas, v. 70, n. 3, p. 317-322, 2016.
BORGES, J. F. Faceta direta em resina composta: uma revisão de literatura. 2021. Trabalho de Conclusão de Curso (Graduação em Odontologia) – Centro Universitário UNDB. Disponível em: http://repositorio.undb.edu.br/bitstream/areas/476/1/JOICIANE%20FERRAZ%20BORGES.pdf. Acesso em: 3 mar. 2025.
CRUZ, C. A. G.; BEZERRA, B. R.; PEREIRA, S. D. M. T. Esthetic harmonization of front upper teeth using composite resin: a clinical case report. Revista Gaúcha de Odontologia, v. 69, p. e2021011, 2021. DOI: 10.1590/1981.
DA SILVA, G. R. et al. Tratamento estético com diretas de resina composta – relato de caso. Revista UNINGÁ Review, v. 24, n. 3, 2015.
ERKUT, S. et al. Microleakage of different provisionalization techniques for class I inlays. Journal of Dental Sciences, v. 8, n. 1, p. 1-7, 2013.
HOEPPNER, M. G. et al. Tratamento estético de dente com alteração cromática: faceta direta com resina composta. Publicatio UEPG: Ciências Biológicas e da Saúde, v. 9, n. 3, 2003.
HUSSAINY, S. N. et al. Clinical performance of resin-modified glass ionomer cement, flowable composite, and polyacid-modified resin composite in noncarious cervical lesions: One year follow-up. Journal of Conservative Dentistry, v. 21, n. 5, p. 510, 2018.
ILIE, N.; HICKEL, R. Resin composite restorative materials. Australian Dental Journal, v. 56, p. 59-66, 2011.
KOIS, J. C. Altering gingival levels: The restorative connection, Part I: Biologic variables. Journal of Esthetic Dentistry, v. 6, p. 3-9, 1994.
MANTE, F. K. et al. The current state of adhesive dentistry: a guide for clinical practice. Compendium of Continuing Education in Dentistry, v. 34, n. 9, p. 2-8, 2013.
PÁDUA, M. C. G. A. et al. Fatores de sucesso para faceta direta: revisão de literatura. Revista Multidisciplinar do Nordeste Mineiro, [S. l.], v. 7, n. 1, 2023. Disponível em: https://revista.unipacto.com.br/index.php/multidisciplinar/article/view/1102. Acesso em: 27 fev. 2025.
PERES, S.; ALVES, D.; LIMA, C. Faceta direta em resina composta: indicação e técnica. Revista Cathedral, v. 4, n. 1, p. 109-116, 2022. Disponível em: http://cathedral.ojs.galoa.com.br/index.php/cathedral/article/view/437. Acesso em: 3 mar. 2025.
SANTOS, D. F. A.; ALVES, S. D. T.; OLIVEIRA, R. D. R. P. Resina anterior: um alerta para as negligências profissionais de sobre tratamento e uma nova abordagem restauradora na construção do sorriso. Pesquisa, Sociedade e Desenvolvimento, v. 11, n. 14, p. e373111436497, 2022. DOI: 10.33448/rsd-v11i14.36497.
SOARES, I. S.; BORGES, T. S. Técnicas e indicações para realização de facetas em resina composta direta: uma revisão integrativa da literatura. Pesquisa, Sociedade e Desenvolvimento, [S. l.], v. 12, n. 6, p. e3312641962, 2023. DOI: 10.33448/rsd-v12i6.41962. Disponível em: https://rsdjournal.org/index.php/rsd/article/view/41962. Acesso em: 3 mar. 2025.
WALLS, A. W.; STEELE, J. G.; WASSELL, R. W. Crowns and other extra-coronal restorations: Porcelain laminate veneers. Brazilian Dental Journal, v. 193, n. 2, p. 73-82, 2002.
