REGISTRO DOI: 10.69849/revistaft/ar10202509112319
João Vieira de Mello Neto Esp.
Vanuska Veras Ribeiro Mello MSc
Diego de Carvalho Coelho Esp.
Philippi Machado dos Reis MSc
Ricardo Grillo PhD
RESUMO
O objetivo desse estudo é apresentar uma revisão de literatura sobre as característica e indicações dos implantes curtos, com base em evidências científicas. De maneira complementar, uma série de casos clínicos de pacientes reabilitados com implantes curtos será descrita, com ênfase nos resultados alcançados e na longevidade desse procedimento reabilitador. O levantamento bibliográfico correspondeu por 28 artigos científicos (em português e inglês), obtidos nos bancos de dados Pubmed, Centro Latino-Americano e do Caribe de informações em Ciências da Saúde – BIREME, Google Acadêmico e Scielo. A seleção dos estudos baseou-se na relevância textual e na sua abordagem central. O tratamento utilizando os implantes dentários curtos consiste por uma alternativa viável à reabilitação de regiões edêntulas, evitando procedimentos cirúrgicos mais complexos e traumáticos ao paciente. Torna-se necessário o aperfeiçoamento da técnica e do conhecimento anatômico, visando resultados satisfatórios, com mínimos de complicações trans e pós-operatórias.
Palavras-Chaves: Implantes dentários; Osseointegração; Procedimentos Cirúrgicos Minimamente Invasivos.
ABSTRACT
The objective of this study is to present a literature review on the characteristics and indications of short implants, based on scientific evidence. In addition, a series of clinical cases of patients rehabilitated with short implants will be described, with emphasis on the results achieved and the longevity of this rehabilitation procedure. The literature review corresponded to a total of 28 scientific articles (in Portuguese and English), obtained from the Pubmed, Latin American and Caribbean Center for Health Sciences Information – BIREME, Google Scholar and Scielo databases. The selection of studies as references was based on textual relevance and their central approach. Treatment with short dental implants consists of a viable alternative to the rehabilitation of edentulous regions, avoiding more complex and traumatic surgical procedures for the patient. It is necessary to improve the technique and anatomical knowledge, aiming at satisfactory results, with the minimum of trans- and postoperative complications.
Keywords: Dental implants; Osseointegration; Minimally Invasive Surgical Procedures.
1 INTRODUÇÃO
A implantodontia, atualmente, trata-se de uma das especialidades mais dinâmicas na Odontologia. O aprimoramento das técnicas e dos materiais, aliadas à tecnologia, permitiram evoluções significativas nessa área de concentração. Os primeiros estudos do Prof. Branemark, em 1952, permitiram a compreensão dos mecanismos da osseointegração, considerada indispensável para alcançar resultados clínicos satisfatórios através de uma união estável, funcional e de longo prazo (Albrektsson &Wennerberg, 2019; Anitua, Piñas, Orive, 2023).
Os implantes dentários são indicados para a reabilitação oral de pacientes edêntulos totais ou parciais, fornecendo suporte e retenção às próteses dentárias fixas, removíveis ou maxilofaciais. Outra aplicabilidade significativa está no tratamento de malformações congênitas, traumas ou ressecção de tumores (Edher & Nguyent, 2018).
A qualidade e quantidade óssea deve ser avaliada minunciosamente antes das intervenções cirúrgicas com implantes dentários. A reabilitação pode ser limitada às condições de altura óssea reduzida ou à acidentes anatômicos, como a pneumatização do seio maxilar excessiva e o íntimo contato com o canal mandibular (Santiago Júnior et al., 2010; Gulje et al., 2013). Para contornar essas limitações fisiológicas e anatômicas, bem como obter ganhos em largura e altura óssea em cristas atrofiadas, alguns procedimentos estão disponíveis, como: elevação do assoalho do seio maxilar, enxerto ósseo, regeneração óssea guiada e osteogênese por distração (Santiago Júnior et al., 2010; Gulje et al., 2013).
Torna-se importante enfatizar que muitas vezes o procedimento reabilitador com implantes pode representar um grande desafio clínico. O ímpeto está em simplificar o tratamento para torná-lo mais aceitável para o paciente e para o profissional (Edher & Nguyent, 2018).
As intervenções cirúrgicas prévias, apesar de apresentarem na maioria das vezes resultados satisfatórios, demandam de um tempo clínico e de cicatrização considerável e de custos elevados. Alguns pacientes são resistentes a submeter aos múltiplos procedimentos cirúrgicos. Convém ressaltar o aumento da morbidade pósoperatória e do risco de complicações, bem como as frequentes queixas de maior sensibilidade pós-operatória (Santiago Júnior et al., 2010; Papaspyridakos et al., 2018).
Os implantes curtos, inclinados, zigomáticos ou pterigoides surgem como alternativa para evitar procedimentos cirúrgicos complexos (Papaspyridakos et al., 2018). Especificamente aos implantes dentários curtos, esses representam uma opção de tratamento previsível e viável para minimizar comorbidades frequentes e para reduzir o longo tempo de recuperação. Dessa forma, a sua principal indicação é evitar intervenções cirúrgicos mais invasivas (Santiago Júnior et al., 2010; SáenzRavello et al., 2013).
As indicações e os riscos devem ser cuidadosamente avaliados com o objetivo de reestabelecer aspectos funcionais e estéticos para cada paciente, ponderando a localização do implante, hábitos funcionais e parafuncionais, proporção coroa/implante, quantidade de implantes necessários, tamanho e formato da coroa protética (Tawil, Aboujaoude, Younan, 2006). Pacientes com comprometimento sistêmico (ex. diabetes mellitus), com doença periodontal e histórico de tabagismo são considerados como de maior risco aos implantes curtos. Essas condições podem intervir no resultado e na sobrevivência a longo prazo dos implantes dentários. A perda óssea periimplantar pode ocasionar a exposição de espiras, bem como a perda do implante devido ao seu menor comprimento (Papaspyridakos et al., 2018; Mo et al., 2023).
2 REVISÃO DE LITERATURA
2.1 REABILITAÇÃO ORAL MÍNIMO TRAUMÁTICA
Apesar dos constantes aprimoramentos das técnicas cirúrgicas, o tratamento com implantes, em alguns pacientes, pode representar um desafio devido às dimensões ósseas limitadas (Edher & Nguyen, 2018). Em condições clínicas que há severa reabsorção, muitas vezes se faz necessário a reconstrução óssea previamente à instalação de implantes convencionais (Galvão et al., 2011).
Algumas opções cirúrgicas estão disponíveis para superar essas limitações, permitindo que a reabilitação com implantes seja realizada em sítios aprimorados com possíveis resultados estéticos e funcionais satisfatórios. Dentre as opções, destacamse: regeneração óssea guiada, enxerto ósseo onlay, elevação do assoalho do seio maxilar, distração osteogênica e transposição do nervo alveolar inferior (Galvão et al., 2011; Edher & Nguyen, 2018). Essas intervenções cirúrgicas não são todas previsíveis ou bem-sucedidas e em algumas situações clínicas, podem ser contraindicadas (Edher & Nguyen, 2018).
A crista óssea alveolar sofre redução em altura e largura após a perda dentária. Respectivamente, na região maxilar posterior e mandibular, essa reabsorção resulta na proximidade com o seio maxilar e com o nervo alveolar inferior. Elevações do seio maxilar, implantes zigomáticos, lateralização nervosa e distração alveolar aumentam a taxa de complicações trans e pós-operatórias, como riscos de sangramento exacerbado durante a cirúrgica, perfuração da membrana sinusal, danos ao nervo e ocorrência de infecções (Schwartz, 2015; Edher & Nguyen, 2018).
Intervenções cirúrgicas complexas podem ser contraindicados em paciente com comprometimento sistêmico. Convém mencionar maiores tempo de cicatrização, altos custos e morbidade pós-operatória, uma vez que são técnicas complexas que requerem habilidades e experiência do profissional para manejo da condição clínica e para o alcance de resultados bem sucedidos. (Edher & Nguyen, 2018; Caramês et al., 2020).
Os implantes dentários curtos surgem como uma alternativa em regiões onde os implantes convencionais não são viáveis, devido à disponibilidade óssea limitada. Esse tipo de intervenção pode proporcionar maiores satisfações do paciente em termos de procedimento cirúrgico e de resultados. Ao priorizar intervenções menos invasivas, considera-se complicações mínimas, menor tempo de tratamento e diminuição dos cursos (Edher & Nguyen, 2018; Caramês et al., 2020). Além disso, o aprimoramento e maior compreensão das técnicas cirúrgicas, das propriedades dos implantes, do desenho das próteses e da biomecânica favorecem a utilização dos implantes curtos (Caramês et al., 2020).
2.2 IMPLANTES CURTOS
Os implantes dentários curtos, quando possíveis e corretamente indicados, consistem por uma opção de tratamento viável, com diversos benefícios que facilitam a reabilitação oral. As principais vantagens compreendem pelas altas taxas de sobrevivência, custos reduzidos e menores complicações quanto comparadas aos implantes convencionais (Rameh, Menhall, Younes, 2020; Pardo-Zamora, 2021). Destacam-se a diminuição do risco de perfurações sinusais, de lesões ao nervo mandibular ou mentoniano, e as raízes dos dentes adjacentes (Misch, 2005).
Para evitar técnicas cirúrgicas mais complexas e seus riscos associados (ex. enxertos ósseos, elevação do seio maxilar, distração dentoalveolar ou enxertos em bloco) os implantes curtos são propostos, bem como indicados para pacientes edêntulos com cristas alveolares atróficas (Schwartz, 2015; Pardo-Zamora, 2021). Pacientes que não se encontram dispostos ou com restrição financeira ou médica aos procedimentos cirúrgicos mais complexos são candidatos a intervenções com implantes curtos (Schwartz, 2015).
Os implantes curtos podem suportar unidades únicas ou múltiplas, e seu comprimento varia entre 6mm – 10mm (Telleman et al., 2011; Schwartz, 2015; Pardo-Zamora, 2021). Possuem maior facilidade de instalação devido à técnica simplificada, resultando na diminuição do tempo clínico e de cicatrização, como também na redução do risco de morbidades (ex. dor e desconforto) e dos custos elevados (Chuang & Lee, 2013).
Os implantes curtos são considerados uma opção acessível, particularmente nas regiões posteriores atróficas da mandíbula e maxila. Intervenções na região maxilar posterior requer uma habilidade cirúrgica adequada, devido a presença de volume ósseo vertical insuficiente, má qualidade óssea, espaço interarcos reduzido, visibilidade limitada e proximidade com o seio maxilar. A utilização desses tipos de implantes, especificamente nessa região, permite uma menor dificuldade na técnica, menor duração e complicações cirúrgicas (Anitua, Piñas, Orive, 2013; Pardo-Zamora, 2021).
Quando comparados aos implantes longos, há um menor contato osso-implante quando os implantes curtos são utilizados, devido a sua menor superfície. Torna-se necessário a realização de uma coroa protética maior para alcançar a oclusão – devido a extensão da reabsorção posterior requerer uma maior relação coroa-implante – considerando proporções para prevenir estresse ósseo peri-implantar, perda óssea e, eventualmente, falha do implante. Vale ressaltar que pode ser necessário uma maior precisão na técnica cirúrgica para evitar qualquer lesão nas estruturas neurovasculares e para reduzir o risco da perda de estabilidade (Telleman et al., 2011; Pardo-Zamora, 2021).
Quando os critérios são respeitados, as taxas de sobrevivência a longo prazo tendem a ser satisfatórias (Rameh, Menhall, Younes, 2020). A reabilitação em áreas com rebordos muito reabsorvidos constitui uma opção de tratamento menos complexa, onerosa e traumática aos pacientes (Galvão et al., 2011; Rameh, Menhall, Younes, 2020).
Torna-se importante ressaltar o constante aprimoramento tecnológico na região de superfície e da conexão implante ao pilar, bem como nas evidências científicas diante da compreensão da biomecânica e das considerações dos riscos versus benefícios dos procedimentos avançados em oposição ao uso de implantes curtos (Schwartz, 2015). O desenvolvimento dos sistemas de implantes visa um aperfeiçoamento em relação à microtopografia e química da superfície implantar. Técnicas de jateamento, ataque ácido e pulverização de plasma de titânio são frequentemente descritas para tornar a superfície mais áspera (Telleman et al., 2011).
2.3 FATORES QUE AFETAM O SUCESSO DOS IMPLANTES DENTÁRIOS CURTOS
Os fatores determinantes que afetam o tratamento com implantes curtos podem ser classificados como endógenos (sistêmicos ou locais) ou exógenos (relacionados ao operador ou ao biomaterial) (Tawil, Aboujaoude, Younan, 2006). As principais condições que podem influenciar na falha do implante, são: 1) quantidade e qualidade óssea; 2) localização do implante (maxila vs. mandíbula); 3) desenho do implante (micro e macroscópico); 4) tipo de reabilitação (unidades únicas vs. unidades múltiplas; esplintado vs. não esplintado); 5) carga oclusal; 6) fatores cirúrgicos (ex. preparação para osteotomia), 7) estruturas adjacentes; 8) tipo de estrutura antagonista oclusal; 9) uso de cantilevers; e, 10) angulação do implante (Anitua, Piñas, Orive, 2013; Caramês et al., 2020).
O histórico médico do paciente deve ser avaliado minunciosamente, a fim de identificar condições sistêmicas e hábitos que influenciem no tratamento com implantes dentários. Um histórico de doença periodontal está associado ao maior risco de peri-implantite e de perda óssea marginal. O tabagismo e a presença de hábitos parafuncionais podem predispor aumento de complicações técnicas e de insucesso (Tawil, Aboujaoude, Younan, 2006; Emfietzoglou & Dereka, 2024). A hiperglicemia crônica é também considerada um fator de risco para o tratamento com implantes dentários, devido a prejuízos no mecanismo da osseointegração. Pacientes com controle glicêmico apropriado, submetidos ao procedimento com implantes, podem permanecer clinicamente e funcionalmente estáveis por um longo período (Erbasar et al., 2019).
Adicionalmente, pacientes com histórico de periodontite apresentam maior possibilidade de complicações biológicas e menores taxas de sucesso e de sobrevivência quando comparados aos pacientes saudáveis. O tabagismo permite o aumento da expressão e deposição dos produtos finais de glicação avançada no tecido periodontal, seguido pela regulação positiva de citocinas pró-inflamatórias (ex. metaloproteinase de matriz-1, interleucina-1 β e interleucina-6). Essa interação permite prejuízos aos tecidos, desenvolvimento de doenças periodontais e de reabsorção óssea alveolar (Erbasar et al., 2019). A previsibilidade de diferentes procedimentos cirúrgicos e seus potenciais riscos devem ser cuidadosamente consideradas para selecionar o plano de tratamento mais eficaz para cada paciente (Emfietzoglou & Dereka, 2024).
A qualidade óssea e a quantidade são uma das principais questões que influenciam no resultado da reabilitação com implantes (Tawil, Aboujaoude, Younan, 2006; Annibali et al., 2011). Baixa densidade óssea pode estar associada a uma progressão acelerada de peri-implantite ao redor de implantes mais curtos (Emfietzoglou & Dereka, 2024).
A altura da coroa é um aspecto importante relacionado ao estresse ósseo marginal. É conceituada pela distância perpendicular entre o plano oclusal e a crista óssea, considerando que a altura da prótese pode comprometer a sua longevidade. A distribuição de força desfavorável e aumento da magnitude da força, como visto nas áreas posteriores dos maxilares, podem produzir sobrecarga biomecânica no implante e no osso de suporte (Tawil, Aboujaoude, Younan, 2006; Annibali et al., 2011; (Emfietzoglou & Dereka, 2024).
Outras complicações descritas são: fratura do parafuso protético, fratura da coroa, fratura do parafuso ou implante do pilar, perda óssea peri-implantar e perda de integração (Tawil, G., Aboujaoude N, Younan, 2006). Previamente ao procedimento cirúrgico, convém considerar a localização, posição e angulação do implante dentário (Tawil, Aboujaoude, Younan, 2006).
Os implantes curtos atingem resultados promissores após 5 anos em função desde que um protocolo cirúrgico e protético adequados sejam realizados, baseados nos diferentes parâmetros biomecânicos essenciais para otimização da sobrevida (Rameh, Menhall, Younes, 2020).
As considerações anatômicas incluem a proximidade da área de interesse a estruturas anatômicas vitais, como o canal mandibular, o forame mentual e o seio maxilar. Após considerar o nível de dificuldade técnica, previsibilidade e as possíveis complicações associadas, o profissional deve avaliar o risco versus benefícios aos procedimentos de implantes convencionais. Pacientes clinicamente comprometidos ou aqueles que são resistentes aos procedimentos complexos podem ser candidatos a implantes curtos. Porém, ao considerar implantes curtos para pacientes com molares únicos ausentes e hábitos parafuncionais, o risco aumentado de sobrecarga oclusal deve ser cuidadosamente avaliado (Emfietzoglou & Dereka, 2024).
Atualmente, os critérios utilizados para definir o sucesso na implantodontia são ausência de mobilidade, ausência de radiolucência peri-implantar em radiografias periapicais, ausência de dor ou parestesia na área do implante, ausência de infecções ou supuração peri-implantar, ausência de placa bacteriana e sangramento, quantidade mínima de mucosa queratinizada, perda óssea vertical menor que 0,2 mm anualmente, taxa de sucesso de 85% após cinco anos e 80% ao final de um período de dez anos (Pardo-Zamora et al., 2021).
3 MATERIAL E MÉTODOS
O objetivo desse estudo é apresentar uma revisão de literatura sobre as característica e indicações dos implantes curtos, com base em evidências científicas. De maneira complementar, uma série de casos clínicos de pacientes reabilitados com implantes curtos será descrita, com ênfase nos resultados alcançados e na longevidade desse procedimento reabilitador.
O levantamento bibliográfico correspondeu em um total de 28 artigos científicos (em português e inglês), obtidos nos bancos de dados Pubmed, Centro Latino Americano e do Caribe de informações em Ciências da Saúde – BIREME, Google Acadêmico e Scielo. Conforme as diretrizes do DeCS/MeSH – Descritores em Ciências da Saúde, as palavras-chaves utilizadas foram: Implantes dentários; Osseointegração; Procedimentos Cirúrgicos Minimamente Invasivos. A seleção dos estudos baseou-se na relevância textual e na sua abordagem central.
4 CASOS CLÍNICOS
4.1. Caso Clínico 1
Paciente P. A, gênero masculino, 52 anos de idade, procurou atendimento odontológico em consultório particular, em 2019, queixando-se da necessidade de reabilitação óssea do espaço edêntulo. Durante a anamnese, não foram constatados comprometimento sistêmico que limitasse intervenções cirúrgicas. Ao exame clínico, evidenciado ausência dentária do 16, com limitação óssea. Paciente encontrava-se em tratamento ortodôntico, em que, uma interação entre os profissionais das referentes especialidades foi realizada para planejamento do caso.
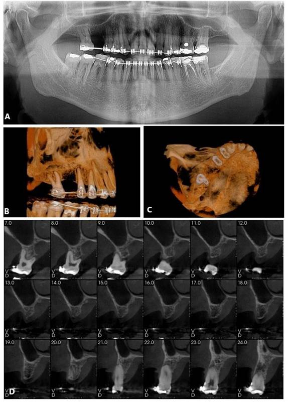
Foram solicitados exames complementares, incluindo radiografia panorâmica e tomografia computadorizada, para avaliação precisa da região anatômica, permitindo a quantificação da espessura e altura óssea (Figura 01. A-D). O plano de tratamento consistiu pela instalação de implantes ultrashort ARCSYS (FGM, Joinvile – SC, Brasil) 4,3 mm x 5,0 mm.
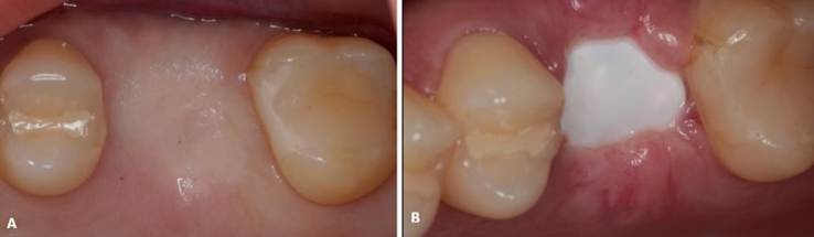
Inicialmente o bloqueio regional foi realizado utilizando anestésico local Alphacaíne 2% Lidocaína com Epinefrina 1:100.000 (DFL, Rio de Janeiro – RJ, Brasil). O procedimento cirúrgico seguiu-se pela incisão da região com lâmina 15, descolamento com instrumental Molt 9 (Quinelato, Rio Claro – SP, Brasil) e fresagem com broca Titamax 2.0 (Neodent, Curitiba – PR, Brasil), seguindo a sequência recomendada pelo fabricante. Após a instalação do implante curto, a sutura foi realizada com fio de nylon 4.0. O paciente foi instruído dos cuidados pós-operatórios, com prescrição medicamentosa de Amoxicilina 500mg de 8/8 horas por 7 dias, Nimesulida 100mg de 12/12 horas por 5 dias e Dipirona sódica 500mg de 4/4 horas por 3 dias. Ausência de complicações pós-operatórias foram evidenciadas (Figura 02. A,B)
Posteriormente, paciente foi reabilitado com prótese unitária sobre implantes (Figura 02. C,D) e o acompanhamento clínico e radiográfico (Figura 03. A, B) está sendo realizado até o presente momento, evidenciado resultado estável.
Figura 01. A – D) Exames de imagem complementares evidenciado aspecto inicial da região atrófica na maxila superior direita (área do elemento dental 16).

Figura 02. A, B) Etapa operatória da instalação do implante dental curto. C, D) Tratamento finalizado. Aspecto final com a reabilitação protética-implante.

Figura 03. A, B) Radiografias periapicais final.

4.2. Caso clínico 2
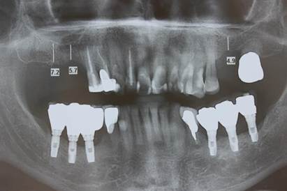
Paciente A. R. S, gênero feminino, 67 anos de idade, compareceu ao consultório particular, em 2020, com a queixa de mobilidade na região dos implantes inferiores. Na anamnese, paciente realizava acompanhamento médico devido ao quadro de diabetes mellitus, com uso de medicamentos específicos. Ao exame clínico, verificado mobilidade acentuada na regão do 36, 37, 46 e 47. Foram solicitados radiografia panorâmica (Figura 04. A) e tomografia computadorizada da área, evidenciando comprometimento periodontal avançado nas reabilitações com implantes dentários. O plano de tratamento proposto foi a remoção dos implantes e nova reabilitação da região atrófica.
Inicialmente, o procedimento cirúrgico consistiu pela remoção dos implantes dentários (Figura 04. B), realização de enxerto imediato (Bio-Oss, Geistlinch, Wolhusen – Suíça), através da técnica de reconstrução tipo tenda, e uso da membrana de colágeno (Bio-Gide, Geistlinch, Wolhusen – Suíça). O Quadro 1 apresenta as principais medidas para avaliação do posicionamento do implante. Após 6 meses, foram instalados dois implantes dentários extra curtos ARCSYS (FGM, Joinvile – SC, Brasil) 4,0 mm x 6,0 mm x 5,0 mm do lado direito e dois implantes na região esquerda 5,0 mm x 5,0 mm. As figuras 05 e 06 evidenciam aspecto radiográfico após a etapa inicial. As recomendações pós-operatórias e a prescrição medicamentosa foram realizadas, resultando em ausência de complicações após a intervenção. O acompanhamento foi feito durante 5 anos, com resultado satisfatório (Figura 7. A – E).
Figura 04. A) Radiografia panorâmica inicial. B) Implantes dentários removidos – região do 36, 37, 46 e 47.

Quadro 1. Medidas de avaliação do posicionamento do implante.
| Dente 35 | Dente 36 | Dente 37 | Dente 46 | Dente 47 | |
| Medida do implante ao canal mandibular | 1,73mm | 1,39mm | 0,72mm | 1,50mm | 2,00mm |
| Medida da parede vestibular a lingual | 9,37mm | 9,88mm | 9,43mm | 8,47mm | 9,90mm |
| Medida do implante a parede vestibular | 2,72mm | 3,33mm | 2,27mm | 2,28mm | 3,42mm |
| Medida da plataforma do implante a crista óssea | 1,56mm | 0,83mm | 1,22mm | 1,34mm | 1,84mm |
| Medida da anilha a plataforma do implante | 11,00mm (compensar 2mm) | 11,00 mm (compensar 2mm) | 11,00mm (compensar 2mm) | 11,00mm (compensar 2mm) | 11,00mm (compens ar 2mm) |
| Medida da anilha ao ápice do implante + 2mm da chave redutora | 18,00mm | 18,00mm | 19,00mm | 19,00mm | 19,00mm |
Fonte: Autoria propria
Figura 05. Exames de imagem da região inferior direita. A) Vista panorâmica. B) Reconstruções tridimensionais. C) Cortes transversais oblíquos.

Figura 06. Exames de imagem da região inferior esquerda. A) Vista panorâmica. B) Reconstruções tridimensionais. C) Cortes transversais oblíquos.

Figura 07. A – D) Aspecto final. E) Radiografia panorâmica final.

4.3. Caso clínico 3
Paciente L. S. S, gênero masculino, 76 anos de idade, compareceu ao consultório particular para avaliação clínica. Durante a anamnese, paciente informou que realiza acompanhamento cardiológico e endocrinológico em virtude da hipertensão arterial e diabetes mellitus. Ao exame clínico e radiográfico (Figura 08), ausência do 26, e pouco suporte ósseo, com mobilidade excessiva, no elemento 27.
O tratamento consistiu pela exodontia do 27, instalação de implantes extracurtos ARCSYS (FGM, Joinvile – SC, Brasil) 4,3 x 5,0mm na região do 26, e implantes extracurtos ARCSYS (FGM, Joinvile – SC, Brasil) 5,0 mm x 5,0 mm no 27. A reabilitação protética foi realizada através de próteses unitárias de cerâmica. O acompanhamento está sendo realizado até o presente momento, sem alterações significativas, com resultado clínico e radiográfico satisfatório (Figura 9. A – C).
Figura 08. Radiografia panorâmica inicial

Figura 09. A, B) Radiografia periapical final. C) Radiografia panorâmica final.

4.4. Caso clínico 4
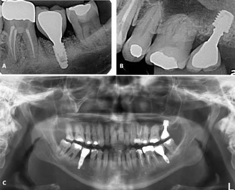
Paciente A. G. C, gênero masculino, 58 anos de idade, compareceu ao consultório particular para avaliação clínica. O paciente relatou ausência de histórico de alterações sistêmicas e de alergias. Ao exame clínico e radiográfico (Figura 10), evidenciado comprometimento dentário do 27 e do 37. O tratamento consistiu pela exodontia do 27 e 37, preservação alveolar com enxerto (Bio-Oss, Geistlinch, Wolhusen – Suíça) e membrana (Bio-Gide, Geistlinch, Wolhusen – Suíça), posterior instalação de implante extracurto ARCSYS (FGM, Joinvile – SC, Brasil) 5,0 mm x 5,0 mm na região do 27, e implantes 3,8 mm x 8,0 mmcurtos ARCSYS (FGM, Joinvile – SC, Brasil) no 37. Após 3 meses, reabilitação protética foi realizada através de próteses unitárias de cerâmica. O acompanhamento clínico e radiográfico evidencia resultado estável e satisfatório (Figura 11).
Figura 10. Radiografia panorâmica inicial.

Figura 11. A, B) Radiografia periapical final. C) Radiografia panorâmica final.

4.5. Caso clínico 5
Paciente O. S. L, gênero masculino, 78 anos de idade, compareceu ao consultório particular para consulta de rotina. Paciente relatou ser hipertenso, controlado com acompanhamento médico. Ao exame clínico, foi possível verificar prótese mal adapatada do 16. Uma radiografia periapical completa foi solicitada para avaliação dos elementos dentais remanescentes e dos implantes já instalados. Após as respectivas avaliações, indicou-se a exodontia do 16 devido ao prognóstico insatisfatório. A intenvenção inicial constistiu pela extração do 16, em que no mesmo momento operatório, foi realizado preservação alveolar com enxerto (Bio-Oss, Geistlinch, Wolhusen – Suíça) e membrana (Bio-Gide, Geistlinch, Wolhusen – Suíça) (Figura 12. A – C). Após um período de 4 meses, o implante extracurto ARCSYS (FGM, Joinvile – SC, Brasil) 4,3 mm x 5,0 mm foi instalado. A osteointegração foi aguardada e posteriormente a reabilitação com prótese unitária foi realizada (Figura 13. A – F). O acompanhamento encontra-se vigente (Figura 14. A, B), com satisfação clínica e estabilidade presente.
Figura 12. A – C. Tomografia computadorixada de feixe curto (TCFC) evidenciada região edêntula do 16, após 4 meses da exodontia.

Figura 13. A – F) Sequência operatória da reabilitação com implantes e protética.

Figura 14. A, B) Radiografia peripical final.

4.6. Caso clínico 6
Paciente S. M. T, gênero masculino, 62 anos de idade, compareceu ao consultório particular queixando-se de sintomatologia dolorosa na região do 27. O paciente relatou presenta de insuficiência renal crônica, em tratamento através da hemodiálise. Ao exame clínico e radiográfico, foi proposto a exodontia dos elementos dentários 17 e 27, devido a perda óssea periodontal significativa, inviabilizando a sua manutenção. No mesmo tempo cirúrgico da exodontia, foi realizado a preservação alveolar com enxerto (Bio-Oss, Geistlinch, Wolhusen – Suíça) e membrana (Bio-Gide, Geistlinch, Wolhusen – Suíça). As figuras 15 (A – C) e 16 (A – C) ilustram a TCFC após a extração. Posteriormente, foram instalados implantes curtos ARCSYS (FGM, Joinvile – SC, Brasil) 3,8 mm x 7,0 mm na região do 17, e 4,3 mm x 5,0 mmARCSYS (FGM, Joinvile – SC, Brasil) no 27. O acompanhamento clínico e radiográfico realizado durante 04 anos, com resultados satisfatórios.
Figura 15. A – C) – Tomografia computadorixada de feixe curto (TCFC) evidenciado região edêntula do 17, após exodontia.

Figura 16. A – C) Figura 15. A – C) – Tomografia computadorixada de feixe curto (TCFC) evidenciado região edêntula do 27, após exodontia.

Figura 17. A, B) Radiografia periapical final. C) Radiografia panorâmica final.

4.7. Caso clínico 7
Paciente R. G, sexo feminino, 49 anos de idade, compareceu ao consultório particular para reabilitação da região edêntula. O paciente relatou ausência de histórico de alterações sistêmicas e de alergias. Ao exame clínico e radiográfico, evidenciado ausência do elemento dentário 24 e pouca altura óssea no 25 (Figura 18. A). O tratamento consistiu pela exodontia do 25, seguida pela instalação de implante ARCSYS (FGM, Joinvile – SC, Brasil) 3,3 mm x 11,0 mm na região do 24, e implante curto 4,3 mm x 5,0 mmcurtos ARCSYS (FGM, Joinvile – SC, Brasil) no 25, e posterior reabilitação protética (Figura 18. B, C). O acompanhamento clínico e radiográfico evidencia resultado estável e satisfatório (Figura 18. D).
Figura 18. A) Radiografia periapical inicial. B) Condição clínica após a realização dos implantes. C) Reabilitação protética. D) Radiografia periapical final.

4.8. Caso clínico 8
Paciente N. N, sexo feminino, 38 anos de idade, compareceu ao consultório particular para avaliação clínica. O paciente relatou ausência de histórico de alterações sistêmicas e de alergias. Ao exame clínico e radiográfico (Figura 19. A – C), evidenciado bruxismo severo e fratura do elemento dental 26. A exodontia foi indicada devido a inviabilidade de manutenção do referente dente. A preservação alveolar foi realizada no mesmo momento operatório, utilizando enxerto Cerabone (Straumann, Villeret, Suíça) e membrada de politetrafluoroetileno (PTFE). Além disso, o levantamento do seio maxilar foi realizado. Após um período de 21 dias, a membrana foi removida. Posteriormente, segui-se pela instalação de implante curto ARCSYS (FGM, Joinvile – SC, Brasil) 3,8 mm x 8,0 mm na região do 26. A reabilitação protética foi realizada posteriormente, utilizando prótese unitária de cerâmica. A paciente foi encaminhada para especialidade de disfunção temporomandibular em virtude da condição de apertamento e bruxismo. O acompanhamento clínico e radiográfico evidencia resultado estável e satisfatório (Figura 11).
Figura 19. A – C) TCFC da região do 26, evidenciando fratura.

Figura 20. A, B) Utilizado enxerto Cerabone (Straumann, Villeret, Suíça) e membrada de politetrafluoroetileno (PTFE).

Figura 21. A – D) TCFC após exodontia do elemento dental 26.

Figura 22. A – F) Sequência operatória. G) Reabilitação protética. H) Radiografia periapical final.

4.9. Caso clínico 9
Paciente C. A, sexo masculino, 71 anos de idade, compareceu ao consultório particular para avaliação clínica, queixando-se de sensibilidade na região do 46. Durante a anamnese, paciente informou que realiza acompanhamento cardiológico devido à hipertensão arterial. Ao exame clínico e radiográfico (Figura 08), evidenciado comprometimento periodontal significativo do 46. O tratamento consistiu inicialmente pela exodontia do 46, preservação alveolar com enxerto (Bio-Oss, Geistlinch, Wolhusen – Suíça) e membrana (Bio-Gide, Geistlinch, Wolhusen – Suíça). Posteriormente, realizado a instalação de implantes extracurtos ARCSYS (FGM, Joinvile – SC, Brasil) 4,3 mm x 5,0 mm na região do 46 e ARCSYS (FGM, Joinvile – SC, Brasil) 5,0 mm x 5,0 mm no 47. A reabilitação protética foi realizada através de próteses unitárias de cerâmica. O acompanhamento está sendo realizado até o presente momento, sem alterações significativas, com resultado clínico e radiográfico satisfatório (Figura 9. A – C).
Figura 23. Radiografia panorâmica inicial

Figura 24. A, B) Sequência operatória. C) Radiografia panorâmica após a reabilitação com implantes.

Figura 24. A – F) Sequência operatória.

Figura 25. A, B) Radiografia periapical final.

4.10. Caso clínico 10
Paciente P. W. L, sexo masculino, 58 anos de idade, compareceu ao consultório particular para avaliação rotineira. O paciente relatou ausência de histórico de alterações sistêmicas e de alergias. Ao exame clínico e radiográfico, evidenciado comprometimento nos elementos 16 e 44. O tratamento consistiu inicialmente pela exodontia de ambos, preservação alveolar utilizando enxerto Cerabone (Straumann, Villeret, Suíça) e membrada de politetrafluoroetileno (PTFE). Após um período de 21 dias, a membrana foi removida. As figuras 26 (A -D), 27 (A – D) evidenciam o aspecto após as exodontias. Posteriormente, segui-se pela instalação de implante curto ARCSYS (FGM, Joinvile – SC, Brasil) 3,8mm x 7,0 mm na região do 16 e ARCSYS (FGM, Joinvile – SC, Brasil) 4,3 mm x 5,0 mm no 44. A reabilitação protética foi realizada através de próteses unitárias de cerâmica. O acompanhamento está sendo realizado até o presente momento, sem alterações significativas, com resultado clínico e radiográfico satisfatório (Figura 28. A – D).
Figura 26. A – D) TCFC das regiões edêntulas (16 e 44) após a exodontia de ambos.

Figura 27. A – E. Tomografia computadorixada de feixe curto (TCFC) evidenciada região edêntula do 44, após exodontia.

Figura 28. A – D) Resultado clínico e radiográfia após a reabilitação com implante e prótese no 44 e 16.

4.11. Caso clínico 11
Paciente Y. S. K, sexo masculino, 65 anos de idade, compareceu ao consultório particular queixando-se do elemento 17. O paciente relatou ausência de histórico de alterações sistêmicas e de alergias. Após avaliação clínica e radiográfica (Figura 29, A – D), o tratamento consistuiu por exodontia do 17, devido à fratura e inviabilidade de manutenção, e reabilidação com implantes dentários. Inicialmente, a exodontia foi realizada, concomitantemente a preservação alveolar utilizando enxerto Cerabone (Straumann, Villeret, Suíça) e membrada de politetrafluoroetileno (PTFE). Após um período de 21 dias, a membrana foi removida (Figura 30. A,B). Segui-se pela instalação de implante curto ARCSYS (FGM, Joinvile – SC, Brasil) 4,3 mm x 5,0 mm na região do 17. O acompanhamento radiográfico foi realizado, com resultado clínico e radiográfico satisfatório (Figura 31. A – D).
Figura 29. A – D) TCFC da região do 17.

Figura 30. A, B) Sequência operatória.

Figura 31. A) Radiografia final em set/2018. B) Set/2029. C) Mai/2019. D) Set/2019.

5 DISCUSSÃO
Um dos grandes desafios contemporâneos da implantodontia é a reabilitação em áreas atróficas (Xu, Yang, Yang, 2022). Devido a várias características fisiológicas e anatômicas, a reabilitação maxilar é tida como um desafio extra em relação à mandibular. Abertura de boca, proximidade ao seio maxilar e comportamento biológico são apenas alguns dos obstáculos. Extrema cautela deve ser tomada em casos de proximidade com o seio maxilar pelo risco de introdução destes implantes no próprio seio (Xia, Wei, Wei, 2023). Adicionalmente, Sáenz-Ravello et al., (2023) consideram que os desafios na reabilitação implantossuportada da mandíbula atrófica compreendem por: habilidade do profissional para correta execução da técnica cirúrgica; anatomia da região cirúrgica; proximidade ao nervo alveolar inferior ou outras estruturas adjacentes; densidade corticais; idade e adesão do paciente ao tratamento.
Atieh et al., (2012) discorrem que a taxa de sobrevivência inicial para os implantes curtos é alta, sendo uma alternativa viável aos implantes longos. Nos estudos desenvolvidos por Sui et al., (2022) e Wang et al., (2021) o índice de sucesso a longo prazo dos implantes curtos é significativo, variando entre 90 a 95%. A incidência de implicações encontra-se em torno de 15%. Ambos os autores consideram que a longevidade e incidência de complicações dos implantes curtos é muito similar à dos implantes convencionais.
Resultados diferentes foram evidenciados por Papaspyridakos et al., (2018), sendo que os implantes curtos (≤6 mm) apresentaram uma maior variabilidade e menor previsibilidade nas taxas de sobrevivência em comparação com implantes mais longos (>6 mm) após períodos de 1-5 anos em função. A taxa média de sobrevivência foi de 96% (intervalo: 86,7%-100%) para implantes curtos e 98% (intervalo 95%-100%) para implantes mais longos. Os autores concluem que os implantes curtos devem ser minunciosamente selecionados por apresentarem um risco maior de falha quando comparados com os implantes convencionais.
No presente estudo, todos os casos clínicos apresentaram resultados satisfatórios, sem relato de complicações pós-operatórias consideráveis ou perda do implante dentário. O acompanhamento clínico e radiográfico foi realizado – em média – no período de 4-5 anos. Resultados satisfatórios e estabilidade foram observados em todos os casos clínicos abordados nesse estudo.
Sáenz-Ravello et al., (2023) afirmam que a utilização de implantes curtos pode diminuir as complicações possíveis evidenciadas na técnica convencionais. Corroborando com os autores, Atieh et al., (2012) consideram que os implantes curtos podem evitar a submissão aos procedimentos cirúrgicos prévios aos implantes convencionais. Um maior número de evidências científicas são necessários, abordando resultados de curto e longo prazo, bem como ponderando cuidadosamente as necessidades e circunstâncias do paciente antes do procedimento (Annibali et al., 2011; Sáenz-Ravello et al., 2023).
O controle e ajuste oclusal deve ser primoroso, bem como as manutenções periódicas com frequência maior, o que tende a aumentar a longevidade dos implantes. Sotto-Maior et al., (2012) consideram a carga oclusal como o fator de estresse mais importante na longevidade dos implantes curtos. Santiago Júnior et al., (2010) destacam a importância em considerar a geometria dos implantes, juntamento com os seus diâmetros e tratamento de superfície, essencialmente quando a qualidade óssea encontra-se desfavorável. Um adequado protocolo protético deve ser abordado visando evitar cargas oblíquas e controle dos hábitos parafuncionais.
Mo et al., (2022) afirmam que a seleção dos pacientes na instalação de implantes curtos é primordial. Pacientes com histórico de tabagismo, complicações sistêmicas que geram alguma alteração cicatricial como o diabetes mellitus são considerados como de maior risco aos implantes curtos. Isso porque qualquer perda óssea periimplantar pode ocasionar não somente exposição de espiras, mas a perda do próprio implante devido ao seu comprimento menor.
Ala, Nogueira, Leles (2022) discorrem que a estabilidade dos implantes curtos é evidente em casos de atrofia severas reabilitadas por meio de overdenture. De maneira complementar, Thoma et al., (2021) consideram que utilização de splints aumenta a longevidade dos implantes curtos em relação às próteses individualizadas.
Os cantilevers protéticos podem representar um desafio biomecânico. A utilização de reabilitação por meio de cantiléver deve ser meticulosamente planejada pois a incidência de perdas é maior com os implantes curtos (Anitua, Piñas, Orive, 2013; Thoma et al., 2021). Sotto-Maior et al., (2012) contraindicam a utilização de cantiléver em implantes curtos, pelo aumento das forças de flexão e tensões.
5 CONSIDERAÇÕES FINAIS
O tratamento utilizando os implantes dentários curtos consiste por uma alternativa viável à reabilitação de regiões edêntulas, evitando procedimentos cirúrgicos mais complexos e traumáticos ao paciente. Torna-se necessário o aperfeiçoamento da técnica e do conhecimento anatômico, visando resultados satisfatórios, com mínimos de complicações trans e pós-operatórias.
A realização do estudo, abrangendo uma revisão de literatura e descrição dos casos clínicos, permite maior aprimoramento da intervenção cirúrgica utilizando implantes dentários curtos, com embasamento científico através de estudos anteriores.
REFERÊNCIAS
ALA, N. A. B; NOGUEIRA, T. E; LELES, C. R. One-year prospective study on single short (7-mm) implant overdentures in patients with severely resorbed mandibles. Clin Oral Implants Res. 2022, v.33, n.3, p. 291–301.
ALBREKTSSON, T; WENNERBERG, A. On osseointegration in relation to implant surfaces. Clin Implant Dent Relat Res. 2019, v. 1, p. 4-7.
ANITUA, E; PIÑAS, L; ORIVE, G. Retrospective study of short and extra-short implants placed in posterior regions: Influence of crown-to-implant ratio on marginal bone loss. Clin. Implant Dent. Relat. Res. 2013, v.17, p.102–110.
ANNIBALI, S; CRISTALLI, M. P; DELL’AQUILA, D; BIGNOZZI, I; LA MONACA, G; POLLONI, A. A. Short dental implants: a systematic review. J Dent Res. 2012, v.91, n.1, p. 25-32.
ATIEH, M. A; ZADEH, H; STANFORD, C. M; COOPER, L. F. Survival of short dental implants for treatment of posterior partial edentulism: a systematic review. Int J Oral Maxillofac Implants. 2012, v.27, n. 6, p. 1323-31.
CARAMÊS, J; PINTO, A. C; CARAMÊS, G; FRANCISCO, H; FIALHO, J; MARQUES, D. Survival Rate of 1008 Short Dental Implants with 21 Months of Average Follow-Up: A Retrospective Study. J Clin Med. 2020, v.9, n.12, p.3943.
CHUANG, S. K; LEE, C. T. Short Implants Might be a Predictable Treatment Alternative to Long Implants Which Often Require Additional Augmentation Procedures. Journal of Evidence Based Dental Practice. 2013, v.12, n. 2, p. 45–46.
EDHER, F; NGUYEN, C. T. Short dental implants: A scoping review of the literature for patients with head and neck cancer. J Prosthet Dent. 2018; v.119, n.5, p. 736-742.
EMFIETZOGLOU, R; DEREKA, X. Survival Rates of Short Dental Implants (≤6 mm) Used as an Alternative to Longer (>6 mm) Implants for the Rehabilitation of Posterior Partial Edentulism: A Systematic Review of RCTs. Dent J (Basel). 2024, v.12, n.6, p.185.
ERBASAR, G. N. H; HOCAOGLU, T. P; ERBASAR, R. C. Risk factors associated with short dental implant success: a long-term retrospective evaluation of patients followed up for up to 9 years. Braz Oral Res. 2019, v.33, p.e030.
GALVÃO, F. F. S; ALMEIDA-JÚNIOR, A. A; FARIA-JÚNIOR, N. B; CALDAS, S. G. F. R; REIS, J. M. S. N; MARGONAR, R. Predictability of short dental implants: a literature review. RSBO. 2011, v. 8, n. 1.
GULJE, F; ABRAHAMSSON, I; CHEN, S; STANFORD, C; ZADEG, H; PALMER, R. Implants of 6 mm vs. 11 mm lengths in the posterior maxilla and mandible: A 1-year multicenter randomized controlled trial. Clinical Oral Implants Research. 2013, p. 13251331.
MISCH, C. E. Short dental implants: a literature review and rationale for use. Dentistry today. 2005; v.24, n.8, p. 64-6.
MO, J. J; LAI, Y. R; QIAN, S. J; SHI, J. Y; LAI, H. C; TANG, G. Y. Long-term clinical outcomes of short implant (6mm) in relation to Implant Disease Risk Assessment (IDRA). Clin Oral Implants Res. 2022, v.33, n.7.
PAPASPYRIDAKOS, P; DE SOUZA, A; VAZOURAS, K; GHOLAMI, H; PAGNI, S; WEBER, H. P. Survival rates of short dental implants (≤6 mm) compared with implants longer than 6 mm in posterior jaw areas: A meta-analysis. Clin Oral Implants Res. 2018, v.16, p. 8-20.
PARDO-ZAMORA, G; ORTIZ-RUÍZ, A. J; CAMACHO-ALONSO, F; MARTÍNEZ-MARCO, J. F; MOLINA-GONZÁLEZ, J. M; PIQUÉ-CLUSELLA, N; VICENTEHERNÁNDEZ, A. Short Dental Implants (≤8.5 mm) versus Standard Dental Implants (≥10 mm): A One-Year Post-Loading Prospective Observational Study. Int J Environ Res Public Health. 2021, v.18, n.11.
RAMEH, S; MENHALL, A; YOUNES, R. Key factors influencing short implant success. Oral Maxillofac Surg. 2020, v.24, n.3, p. 263-275.
SÁENZ-RAVELLO, G; OSSANDÓN-ZÚÑIGA, B; MUÑOZ-MEZA, V; MORAFERRARO, D; BAEZA, M; FAN, S; SAGHEB, K; SCHIEGNITZ, E; DÍAZ, L. Short implants compared to regular dental implants after bone augmentation in the atrophic posterior mandible: umbrella review and meta-analysis of success outcomes. Int J Implant Dent. 2023, v.9, n.1, p.18.
SANTIAGO JÚNIOR, J. F; VERRI, F. R; PELLIZZER, E. P; MORAES, S. L. D; CARVALHO, B. M. Short dental implants: alternative conservative in the oral rehabilitation. Rev. Cir. Traumatol. Buco-Maxilo-fac. 2010, v.10, n.2, p. 67-76.
SOTTO-MAIOR, B. S; SENNA, P. M; DA SILVA, W. J; ROCHA, E. P; DEL BEL CURRY, A. A. Influence of crown-to-implant ratio, retention system, restorative material, and occlusal loading on stress concentrations in single short implants. Int J Oral Maxillofac Implants. 2012, v.27, n.3, p.e13-8.
SUI, H; TANG, Z; ZHANG, X; WEI, D; MENG, H; HAN, J. A prospective, multicentre study of 6-mm short implants in posterior alveolar bone supporting splinted crowns: A 5-year follow-up study. J Clin Periodontol. 2022, v.49, n.6, p.537–46.
SCHWARTZ, S. R. Short implants: are they a viable option in implant dentistry? Dent Clin North Am. 2015, v.59, n.2, p. 317-28.
TAWIL, G; ABOUJAOUDE, N; YOUNAN, R. Influence of prosthetic parameters on the survival and complication rates of short implants. Int J Oral Maxillofac Implants. 2006, v.21, n.2, p.275-82.
TELLEMAN, G; RAGHOEBAR, G. M; VISSINK, A; DEN HARTOG, L; HUDDLESTON SLATER, J. J; MEIJER, H. J. A systematic review of the prognosis of short (<10 mm) dental implants placed in the partially edentulous patient. J Clin Periodontol. 2011 v.38, n.7, p.667-76.
THOMAS, D. S; WOLLEB, K; SCHELLENBERG, R; STRAUSS, F. J; HAMMERLE, C. H. F; JUNG, R. E. Two short implants versus one short implant with a cantilever: 5Year results of a randomized clinical trial. J Clin Periodontol. 2021, v.48, n.11, p.1480–90.
WANG, Y; JIANG, J; GUAN, Y; SI, M; HE, F. Retrospective Study of Short Versus Standard Posterior Implants and Analysis of Implant Failure Risk Factors. Int J Oral Maxillofac Implants. 2021, v.36, n.6, p.1129–36.
XIA, X; WEI, Z. Y; WEI, H. W. Displacement of the full body of a dental implant into the sinus space without membrane perforation and subsequent osseointegration: a case report. J Int Med Res. 2021, v.49, n.12.
XU, Z; YANG, Z; YANG, J. Digital Workflow for the Design, Manufacture, and Application of Custom-Made Short Implants With Wing Retention Device. Front Bioeng Biotechnol. 2022;10.
