REGISTRO DOI: 10.69849/revistaft/cl10202510171716
Rodrigo Augusto Silva Filho
Marcela Navarro do Nascimento
Pedro Tadeu Fassina Barbosa
RESUMO
A tomografia computadorizada (TC) é uma técnica de imagem avançada amplamente empregada na medicina veterinária para a avaliação detalhada de afecções torácicas, abrangendo estruturas pulmonares, extrapulmonares, cardíacas e pericárdicas. Trata-se de um método não invasivo que oferece imagens de alta resolução, permitindo análise anatômica precisa e identificação precoce de lesões. A TC se destaca na detecção de neoplasias, doenças infecciosas, traumas e anomalias congênitas, sendo superior à radiografia torácica convencional, especialmente na visualização de pequenas massas e nódulos. A interpretação eficiente dos achados tomográficos exige conhecimento anatômico detalhado e seleção adequada das sequências de imagem (inspiração, expiração, contraste, angiografia). Lesões pulmonares são caracterizadas por padrões específicos de atenuação (aumentada ou reduzida), além de padrões nodulares, lineares ou mistos. A TC também é útil na avaliação de alterações pericárdicas, como efusão pericárdica e hérnias diafragmáticas peritônio-pericárdicas. Apesar da exposição à radiação e necessidade de anestesia, a TC é considerada segura e indispensável para o diagnóstico preciso, o planejamento terapêutico e o acompanhamento clínico em pequenos animais.
Palavras-chave: tomografia computadorizada; diagnóstico por imagem; cavidade torácica; cães.
ABSTRACT
Computed tomography (CT) is an advanced imaging technique widely used in veterinary medicine for the detailed evaluation of thoracic conditions, encompassing pulmonary, extrapulmonary, cardiac, and pericardial structures. It is a non-invasive method that provides high-resolution images, allowing for precise anatomical analysis and early lesion detection. CT stands out in the detection of neoplasms, infectious diseases, trauma, and congenital anomalies, being superior to conventional thoracic radiography, especially in the visualization of small masses and nodules. The effective interpretation of tomographic findings requires detailed anatomical knowledge and appropriate selection of imaging sequences (inspiratory, expiratory, contrast-enhanced, angiographic). Pulmonary lesions are characterized by specific attenuation patterns (increased or decreased), as well as nodular, linear, or mixed patterns. CT is also useful in the assessment of pericardial alterations, such as pericardial effusion and peritoneopericardial diaphragmatic hernias. Despite radiation exposure and the need for anesthesia, CT is considered safe and indispensable for accurate diagnosis, therapeutic planning, and clinical follow-up in small animals.
Keywords: computed tomography; diagnostic imaging; thoracic cavity; dogs.
INTRODUÇÃO
A tomografia computadorizada (TC) é uma técnica de imagem avançada, introduzida na medicina veterinária na década de 1980, amplamente utilizada no diagnóstico de diversas afecções, desde fraturas ósseas até alterações em órgãos internos. Trata-se de um método não invasivo que utiliza raios-X para gerar imagens seccionais de alta resolução, eliminando a sobreposição de estruturas e permitindo uma análise anatômica precisa (FERRE et al., 2014; THRALL, 2014).
O desenvolvimento da TC em medicina veterinária ocorreu de forma paralela à medicina humana, com avanços que possibilitaram a realização de exames de corpo inteiro, reconstruções 3D e avaliações detalhadas de múltiplos sistemas. Apesar das semelhanças nas indicações clínicas, a necessidade de anestesia e o posicionamento correto dos animais, especialmente em decúbito esternal para exames torácicos, são particularidades da prática veterinária (GRECO, 2022).
O conhecimento anatômico detalhado da cavidade torácica é essencial para a interpretação da TC, uma vez que o tórax abriga estruturas vitais como pulmões, coração, traqueia, brônquios e grandes vasos. A disposição dessas estruturas pode variar conforme o porte ou a raça do animal (LÓPEZ e SEBASTIÁN, 2017; BUDRAS e MCCARTHY, 2012).
A TC destaca-se na identificação de lesões torácicas, sendo especialmente útil na avaliação de neoplasias, doenças infecciosas e traumas. Ela permite a detecção precoce de massas, a diferenciação entre lesões benignas e malignas e o planejamento cirúrgico com maior precisão (BOOTHE e HACKETT, 2013; PARKER, 2005).
Na avaliação pulmonar, a tomografia permite a identificação de alterações como atelectasia, pneumonia e doenças intersticiais, frequentemente não detectáveis em radiografias simples (SAUNDERS, 2012). Da mesma forma, afecções cardíacas podem ser avaliadas com alto grau de detalhamento anatômico, possibilitando a análise de alterações morfológicas e estruturais do coração (PENNICK e D’ANJOU, 2015; ZWINGENBERGER, 2017).
Apesar das vantagens, a radiografia torácica convencional ainda é amplamente utilizada como exame de triagem devido ao seu menor custo e ampla disponibilidade. A TC, no entanto, apresenta superioridade na detecção de pequenas massas, nódulos múltiplos e linfadenopatias, com capacidade de detectar lesões menores que 5 mm, não visualizadas em exames radiográficos (PINTO, 2003; ZWINGENBERGER, 2015).
Por fim, a TC é considerada segura quando utilizada adequadamente, mas envolve exposição à radiação ionizante. Portanto, seu uso deve ser justificado, e os profissionais responsáveis devem estar devidamente capacitados para garantir a qualidade e a segurança do exame (KIPPERMAN, 2018; BALSA, 2019).
REFERENCIAL TEÓRICO
Tomografia computadorizada na detecção de afecções do trato respiratório extrapulmonar
A interpretação das imagens da tomografia computadorizada torácica inicia-se com um sólido entendimento da anatomia. A cavidade torácica é definida cranialmente pela entrada, limitada lateralmente pelo primeiro par de costelas, caudalmente pelo diafragma e lateralmente pelas paredes torácicas esquerda e direita. As pleuras são membranas serosas que revestem os lobos pulmonares, as paredes torácicas, o mediastino e o diafragma, formando sacos pleurais direito e esquerdo. A pleura visceral está intimamente ligada à superfície do lobo pulmonar, enquanto a pleura parietal cobre as paredes torácicas, o diafragma e o mediastino. O mediastino é o espaço entre as pleuras parietais esquerda e direita, também chamadas de pleuras mediastinais. O coração, grandes vasos, gânglios linfáticos, traqueia, esôfago, timo e ducto torácico estão contidos no mediastino. Os pulmões direito e esquerdo são ventilados pelos brônquios principais que surgem da bifurcação traqueal e se dividem em lobos servidos por brônquios lobares. Em cães, existem seis lobos pulmonares: cranial direito, médio direito, acessório direito, caudal direito, cranial esquerdo (dividido em subsegmentos cranial e caudal) e caudal esquerdo (MASSEAU e REINERO, 2019).
A avaliação das estruturas anatômicas extrapulmonares, ossos, vias respiratórias e tecido pulmonar deve ser conduzida de forma organizada. O foco principal da tomografia computadorizada estará na análise das alterações no tecido pulmonar, com uma breve visão geral das outras três áreas. Primeiramente, é crucial escolher cuidadosamente os tipos de estudos (séries de vigília, séries sem apneia, séries inspiratórias, séries expiratórias, séries de contraste e angiografia trifásica), pois isso afeta a qualidade das imagens e impõe restrições na interpretação. Por exemplo, o aprisionamento de ar e o colapso dinâmico das vias aéreas podem ser confirmados ao usar exames inspiratórios e expiratórios pareados. Além disso, o tromboembolismo pulmonar é mais bem identificado por meio da angiografia trifásica em contraste com um exame de contraste único (MASSEAU e REINERO, 2019).
Em seguida, as estruturas de tecidos moles e ósseas devem ser examinadas. Posteriormente, as vias respiratórias podem ser observadas na janela pulmonar. O padrão de ramificação das vias respiratórias, começando na traqueia e seguindo pelos brônquios lobares, deve ser traçado, comparando as séries inspiratórias e expiratórias lado a lado, quando disponíveis. O colapso dinâmico das vias aéreas intratorácicas é mais bem apreciado nas séries expiratórias, lembrando que uma mudança no calibre das vias aéreas com a manutenção da forma circular pode ser considerada normal na expiração. No entanto, é importante notar que um colapso dinâmico das vias aéreas maior que 50% foi observado em um estudo com beagles aparentemente saudáveis (OH et al., 2019). Entretanto, para uma confirmação definitiva da ausência de doenças das vias aéreas, incluindo broncomalácia, broncoscopia e lavagem broncoalveolar deveriam ser realizadas (MASSEAU e REINERO, 2019).
As vias aéreas também devem ser avaliadas quanto à dilatação (CANNON et al., 2009). A bronquiectasia indica a dilatação das vias aéreas maiores (brônquios principais, lobares, segmentares) e médias (brônquios subsegmentares); já a bronquiolectasia refere-se à dilatação de pequenos bronquíolos cartilaginosos e pequenas vias aéreas. Em cães com doença pulmonar fibrótica, brônquios ou bronquíolos envolvidos em tecido fibrótico podem apresentar dilatação luminal, conhecida como bronquiectasia de tração/bronquiolectasia. A espessura da parede das vias aéreas, que reflete infiltração celular, edema ou remodelação arquitetônica, pode ser avaliada de maneira subjetiva ou objetiva. Além disso, secreções intraluminais ou outros materiais endobrônquicos devem ser identificados. Para padrões de TC relacionados às pequenas vias aéreas (distúrbios bronquiolares), recomenda-se uma revisão em outro contexto (MASSEAU e REINERO, 2019).
Tomografia computadorizada na detecção de afecções pulmonares
Deve-se abandonar interpretações que utilizam termos como “padrão brônquico”, “intersticial” ou “alveolar” ao descrever lesões pulmonares em exames de tomografia computadorizada (TC), pois não fornecem uma correspondência precisa com as características histológicas e anatômicas. Com base na prática da medicina humana e como delineado a seguir, os autores sugerem a adoção de quatro padrões principais de doença pulmonar, cada um com uma terminologia descritiva específica associada (MASSEAU e REINERO, 2019).
A avaliação do tecido pulmonar deve ser feita inicialmente sem o uso de contraste, idealmente visualizando séries inspiratórias e expiratórias lado a lado. Recomenda-se examinar todas as imagens consecutivas de uma série pulmonar para obter uma visão global da distribuição e, em seguida, avaliar a presença e o tipo de padrão(s) pulmonar(es) anormal(is), bem como identificar a localização anatômica da anormalidade pulmonar. Muitos dos tipos de lesões que são descritos em seres humanos também podem ser encontrados em cães. Essas lesões podem estar associadas a diferentes características na atenuação do tecido pulmonar, como aumento ou diminuição, além de apresentar opacidades nodulares ou lineares (HANSELL et al., 2008).
O aumento na atenuação do tecido pulmonar indica maior densidade no parênquima pulmonar ou uma diminuição na quantidade de ar presente. Essa densidade pulmonar é influenciada por vários componentes, incluindo as estruturas das paredes alveolares, o interstício e as pequenas vias aéreas. Também é afetada pela presença de sangue nos pequenos vasos, bem como pela quantidade de ar nos alvéolos e pequenas vias aéreas (MASSEAU e REINERO, 2019).
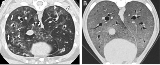
O aumento da densidade pulmonar pode surgir devido a diferentes razões: um acréscimo no tecido pulmonar, muitas vezes causado pelo aumento no número de células, sejam elas inflamatórias, estruturais, tumorais ou infecciosas; um aumento na quantidade de sangue nos vasos; e uma redução no volume de ar nos alvéolos, seja por expiração, por hipoinflação decorrente de condições como obesidade ou distúrbios da cavidade pleural, ou ainda por atelectasia, que é a redução ou colapso total do tecido pulmonar. Os principais padrões que indicam um aumento na atenuação do tecido pulmonar são o ground glass opacity (GGO) (figura 1), a consolidação e uma atenuação que supera a dos tecidos moles (figura 1). O GGO se refere ao aumento da atenuação onde ainda é possível discernir as paredes e os vasos brônquicos. Ele se diferencia da consolidação, onde ocorre a perda das paredes brônquicas e das marcações vasculares, resultando em opacidade completa (MASSEAU e REINERO, 2019).
Figura 1: (A) Gato com asma, as setas indicam áreas multifocais irregulares de opacificação. (B) Cão com pneumonia, demonstrando GGO difuso.

Fonte: Masseau e Reineroa, 2019
A diminuição da atenuação pulmonar indica redução na opacidade do tecido pulmonar e pode ocorrer devido a excessos anormais de ar (figura 2), como no caso de aprisionamento de ar, ou por diminuições anormais no volume de sangue nos vasos sanguíneos intrapulmonares, como resultado de obstrução vascular ou vasoconstrição devido à baixa perfusão. Apesar de resultarem em áreas com menor opacidade, é mais apropriado categorizá-las como lesões císticas preenchidas com ar, como cistos de paredes finas ou lesões cavitárias, como o enfisema (MASSEAU e REINERO, 2019).
Figura 2: (A) lesões císticas, cheias de ar, caracterizadas por lesões pulmonares bem circunscritas, bem definidas e de paredes finas. (B) padrão de favo de mel, pequenas lesões justapostas, bem definidas, pequenas e cheias de ar.

Fonte: Masseau e Reineroa, 2019
Os padrões nodulares são classificados conforme o Glossário de Termos para Imagens Torácicas da Sociedade Fleischner. Elas podem ser micronódulos (diâmetro <3 mm), nódulos pequenos (diâmetro 3–10 mm), nódulos grandes (diâmetro >10 mm, mas <30 mm) ou massas (diâmetro > 30 mm) (HANSELL et al., 2008). A altura é medida das margens dorsal à ventral do nódulo em imagens transversais ou sagitais. A largura é medida ao longo do eixo esquerda-direita do corpo e é perpendicular à altura nas imagens transversais ou dorsais. O comprimento de um nódulo é a dimensão craniocaudal da estrutura medida em uma imagem sagital ou dorsal. Além disso, as opacidades nodulares são descritas com base na atenuação e na aparência (MASSEAU e REINERO, 2019).
Os padrões lineares indicam o espessamento do tecido intersticial devido à infiltração de células, tecido fibroso, líquido ou outros materiais. Isso também pode envolver um aumento no número ou tamanho dos vasos linfáticos, bem como o alargamento de vasos sanguíneos e espessamento das vias aéreas ou paredes vasculares. Em cães, o termo “reticular” é proposto para descrever essas opacidades lineares, que não estão associadas a unidades funcionais microscópicas específicas do pulmão e podem criar uma aparência semelhante a uma rede (MASSEAU e REINERO, 2019).
O espessamento intersticial subpleural ocorre nas regiões periféricas do pulmão, ao longo de fissuras ou onde o pulmão toca a parede torácica ou o mediastino, e pode ter uma textura irregular, lisa ou nodular (figura 3). Já o espessamento intersticial peribroncovascular reflete o aumento da densidade nas áreas ao redor das paredes das vias aéreas e artérias pulmonares, desde o hilo até a região periférica do pulmão. Diferenciar o espessamento intersticial peribroncovascular do aumento primário da parede brônquica ou do alargamento dos ramos da artéria pulmonar pode ser desafiador, mas essa distinção é crucial em humanos para diferenciar distúrbios das vias aéreas (como bronquiectasia) de distúrbios que afetam o interstício pulmonar (como doenças pulmonares intersticiais e disseminação linfangítica de carcinoma) (MASSEAU e REINERO, 2019).
Como a classificação de doenças pulmonares intersticiais e das vias aéreas em cães ainda não é tão precisa em termos de achados em tomografia computadorizada, e dado que esses distúrbios podem ocorrer simultaneamente, parece prudente usar o termo “espessamento peribroncovascular” para descrever o aumento de densidade que envolve as vias aéreas, vasos ou sua bainha de tecido conjuntivo. Documentar achados específicos das vias aéreas, como bronquiectasias ou espessamento da parede brônquica, em conjunto com características clínico-patológicas compatíveis, são cruciais para uma diferenciação precisa (MASSEAU e REINERO, 2019).
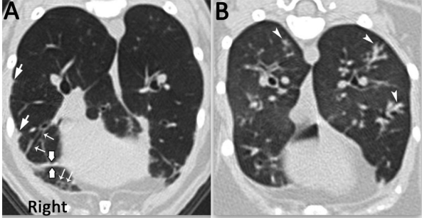
Uma faixa parenquimatosa refere-se a uma opacidade linear espessa e longa que geralmente começa na superfície pleural, atravessando o tecido pulmonar, sem delinear uma estrutura anatômica específica (figura 3). O padrão em favo de mel, indica destruição de tecido, substituição por fibrose e distorção da arquitetura pulmonar. Cistos em favo de mel variam em tamanho (geralmente 3–10 mm), têm paredes bem definidas, devem ser múltiplos (pelo menos 3), cheios de ar e geralmente ocorrem em aglomerados ou fileiras (WEBB et al., 2015).
Figura 3: (A) gato com distúrbio bronquiolar primário, com espessamento intersticial subpleural (setas de cabeça grande), linha de fissura pleural espessada (setas grossas) e vias aéreas de pequeno calibre espessadas e dilatadas, sugestivo de broquiolectasia (setas pequenas). (B) padrão de árvore em botão, pequenas vias aéreas preenchidas com atenuação de tecido mole ou fluido, sugestivo de distúrbios bronquiolares.

Fonte: Masseau e Reineroa, 2019
Além destes tipos de lesões, também existem aquelas que estão presentes simultaneamente, também conhecidas como padrões mistos. Essas combinações podem surgir com novas lesões sobrepostas a condições pulmonares crônicas já existentes, ou podem representar processos patológicos microscópicos distintos que ocorrem na mesma doença, dificultando assim a interpretação do exame tomográfico. Alguns padrões de combinação incluem atenuação de mosaico, árvore em botão e sinais de halo e halo reverso (SECREST e SAKAMOTO, 2014).
Tomografia computadorizada na detecção de afecções pericárdicas e cardíacas.
A efusão pericárdica é uma das principais afecções que atingem o pericárdio em cães. A EP é uma condição frequente em cães, caracterizada pelo acúmulo de líquido no espaço pericárdico. As causas predominantes de EP em cães incluem neoplasia cardíaca e pericardite idiopática, enquanto condições como doenças pericárdicas congênitas, traumas e processos infecciosos são menos comuns. Independentemente da origem, o aumento subsequente da pressão intrapericárdica resulta em comprometimento do enchimento diastólico e redução do retorno venoso. Esse aumento nas pressões venosas, juntamente com a diminuição da pré-carga e do volume sistólico, leva aos sintomas clínicos típicos, como distensão jugular, pulsos arteriais fracos e episódios de colapso (SCOLLAN, 2014).
Um estudo realizado por Scollan (2014) teve como objetivo descrever os achados da tomografia computadorizada contrastada torácica para avaliar causas neoplásicas ou não de EP. Para isso, antes de cada exame tomográfico os pacientes foram submetidos a pré-medicação e anestesia. Primeiramente foi realizada varredura sem contraste e depois aplicado o contraste a base de iodo para melhor visualização. Como resultado, a tomografia foi efetiva ao encontrar massas em átrio direito e na base cardíaca, além de massas na superfície interna do pericárdio, não detectadas anteriormente por outros exames de imagem e que provavelmente foram causadoras da efusão. Também foram detectadas densidades de tecidos moles na superfície epicárdica, levantando a suspeita de hemorragia ou hematoma secundário a pericardiocentese.
A hérnia diafragmática peritônio-pericárdica é uma má formação congênita incomum em cães, caracterizada pela comunicação entre o diafragma e o pericárdio, podendo levar a migração de vísceras do abdômen até o saco pericárdico. O tratamento cirúrgico é o mais indicado nestes casos. A radiografia torácica simples é o suficiente para que o diagnóstico de HDPP seja realizado, porém a tomografia computadorizada é indicada para a detecção de quaisquer outras anomalias congênitas associadas (MOREIRA et al., 2019).
CONCLUSÃO
A tomografia computadorizada (TC) é uma ferramenta de diagnóstico avançada e indispensável na medicina veterinária, especialmente na avaliação de afecções torácicas. Sua alta precisão permite identificar alterações pulmonares, extrapulmonares, cardíacas e pericárdicas com maior detalhamento que os métodos convencionais. Apesar do custo e da necessidade de anestesia, a TC oferece informações essenciais para o diagnóstico precoce, planejamento terapêutico e monitoramento de diversas patologias, contribuindo significativamente para a prática clínica e cirúrgica veterinária.
REFERÊNCIAS BIBLIOGRÁFICAS
FERRE, F. F.; BROWN, J.; STASHAK, T. S. Diagnostic imaging. In: FERRE, F. F.; BROWN, J.; STASHAK, T. S. Equine emergency and critical care medicine. CRC Press. p. 141-174, EUA, 2014.
THRALL, D. E. Principles of Computed Tomography and Magnetic Resonance Imaging. In: THRALL, D. E. Textbook of Veterinary Diagnostic Radiology. 6th ed. Elsevier Inc. p. 131-175, EUA, 2014.
GRECO, A. et al. Imaging techniques in veterinary medicine. Part II: Computed tomography, magnetic resonance imaging, nuclear medicine. Eur J Radiol Open, v. 10, p. 100467, 2022.
LÓPEZ, A.; SEBASTIÁN, J. A. Anatomía topográfica del tórax en el perro y el gato. In: LÓPEZ, A.; SEBASTIÁN, J. A. Tratado de anatomía veterinária. Elsevier. p. 1057-1086, 2017.
BUDRAS, K. D.; MCCARTHY, P. H. Anatomia dos animais domésticos: texto e atlas colorido. Guanabara Koogan, 2012.
BOOTHE, H. W.; HACKETT, T. B. Computed tomography in small animal veterinary practice. Veterinary Clinics of North America: Small Animal Practice, v. 43, n. 6, p. 1293-1311, 2013.
PARKER, R. B.; SCHELLING, C. G.; DAVIS, J. The Thorax. In: PARKER, R. B.; SCHELLING, C. G.; DAVIS, J. Small Animal Diagnostic Ultrasound. 2nd ed. Saunders Elsevier, 2005. p. 279-313.
SAUNDERS, J. H.; BONAGURA, J. D.; SILVERMAN, S. Thoracic radiology. In: BONAGURA, J. D.; TWEDT, D. C. (Ed.). Kirk’s Current Veterinary Therapy XV. Elsevier Saunders. p. 1087-1093, 2012.
PENNINCK, D.; D’ANJOU, M. Atlas of Small Animal CT and MRI. John Wiley & Sons, 2015.
ZWINGENBERGER, A. L. Principles of computed tomography and magnetic resonance imaging. Veterinary Radiology & Ultrasound, v. 58, n. 5, p. 489-498, 2017.
FONSECA PINTO, A. C. B. Radiologia convencional e tomografia computadorizada na avaliação do tórax de cadelas com neoplasias mamárias malignas. 2003. Tese (Doutorado em Cirurgia) – Faculdade de Medicina Veterinária e Zootecnia, Universidade de São Paulo, São Paulo, 2003.
ZWINGENBERGER, A. L. Computed tomography. In: ZWINGENBERGER, A. L. Veterinary computed tomography. John Wiley & Sons. p. 1-18, 2015.
KIPPERMAN, B. S.; DROST, W. T.; SAUNDERS, H. M. Radiation exposure in veterinary medicine. The Veterinary Clinics of North America. Small Animal Practice, v. 48, n. 3, p. 483-497, 2018.
BALSA, I. M. et al. Utilização da tomografia computadorizada na medicina veterinária. Revista Brasileira de Medicina Veterinária, v. 41, n. 1, p. 1-10, 2019.
SAUNDERS, J.; OHLERTH, S. CT physics and instrumentation–mechanical design. Veterinary computed tomography, p. 1-8, 2011.
MASSEAU, Isabelle; REINERO, Carol R. Thoracic computed tomographic interpretation for clinicans to aid in the diagnosis of dogs and cats with respiratory disease. The Veterinary Journal, University of Missouri, 2019.
OH, D.; LEE, S.; KIM, S.; CHOEN, S.; CHOI, M.; YOON, J. Computed tomographic bronchial collapsibility values over 50% may be detected in healthy dogs.Veterinary Radiology and Ultrasound. 60, 28–37, 2019.
CANNON, M.S.; WISNER, E.R.; JOHNSON, L.R.; KASS, P.H. Computed tomography bronchial lumen to pulmonary artery diameter ratio in dogs without clinical pulmonary disease. Veterinary Radiology and Ultrasound. 50, 622–624, 2009.
HANSELL, D.M.; BANKIER, A.A.; MACMAHON, H.; McLOUD, T.C.; MULLER, N.L.; REMY, J. Fleischner Society: glossary of terms for thoracic imaging. Radiology 246, 697–722, 2008.
WEBB, W.R., MULLER, N.L., NAIDICH, D.P. HRCT findings: linear and reticular opacities, In: WEBB, W.R., MULLER, N.L., NAIDICH, D.P. (Eds.), High-Resolution CT of the Lung. 5th ed. Wolters Kluwer, Philadelphia PA, USA, pp. 74–105, 2015.
SECREST, S., SAKAMOTO, K. Halo and reverse halo signs in canine pulmonary computed tomography. Veterinary Radiology and Ultrasound. 55, 272–277, 2014.
SCOLLAN, K. F. et al. Use of multidetector computed tomography in the assessment of dogs with pericardial effusion. Journal of veterinary internal medicine, v. 29, n. 1, p. 79-87, 2015.
MOREIRA, Brunna Silva et al. Abordagem diagnóstica e terapêutica de hérnia peritoneopericárdica em cão. Arch Vet Sci, v. 24, n. 4, 2019.
