REGISTRO DOI: 10.69849/revistaft/ar10202507271125
Aline Stephanie Perez Gomez¹
Ramon Figueira Pinto¹
Flavia Matos Salame¹,²
Mario Sergio Monteiro Fonseca¹,³
RESUMO: A tuberculose (TB) permanece como uma das principais causas de mortalidade por agentes infecciosos no mundo. A TB pleural é uma de suas apresentações mais comuns, especialmente em regiões de alta endemicidade. Seu diagnóstico representa um desafio, devido à semelhança clínica e radiológica com outras condições, como o mesotelioma pleural maligno. Relata-se o caso de um paciente com febre, perda de peso, dispneia, fadiga e astenia, cuja tomografia de tórax revelou espessamento pleural difuso, associado a derrame pleural e linfonodomegalias, sugerindo envolvimento neoplásico. O paciente foi submetido a biópsias de linfonodo e pleura, que demonstraram processo granulomatoso com necrose caseosa. Os achados histopatológicos, aliados à alta endemicidade da TB na região, justificaram o início do tratamento específico. O paciente apresentou melhora clínica e radiológica progressiva após o tratamento. A TB ativa deve ser considerada no diagnóstico diferencial do espessamento pleural difuso, mesmo na ausência de sintomas subjetivos. A tomografia pode ser útil na avaliação da atividade da doença, na exclusão de diagnósticos diferenciais e no monitoramento da resposta terapêutica em pacientes com TB pleural.
PALAVRAS CHAVES: tuberculose pleural; espessamento pleural; mesotelioma; biópsia.
ABSTRACT: Tuberculosis (TB) remains one of the leading causes of death from infectious agents worldwide. Pleural TB is one of its most common presentations, especially in regions with high endemicity. Its diagnosis is challenging due to clinical and radiological similarities with other conditions, such as malignant pleural mesothelioma. We report the case of a patient with fever, weight loss, dyspnea, fatigue, and asthenia, whose chest CT scan revealed diffuse pleural thickening associated with pleural effusion and lymphadenopathy, suggesting neoplastic involvement. The patient underwent lymph node and pleural biopsies, which revealed a granulomatous process with caseous necrosis. The histopathological findings, along with the high regional TB endemicity, justified the initiation of specific treatment. The patient showed progressive clinical and radiological improvement after therapy. Active TB should be considered in the differential diagnosis of diffuse pleural thickening, even in the absence of subjective symptoms. CT imaging can be useful in assessing disease activity, ruling out differential diagnoses, and monitoring treatment response in patients with pleural TB.
Keywords: pleural tuberculosis; pleural thickening; mesothelioma; biopsy
INTRODUÇÃO
A tuberculose (TB) é uma das doenças infecciosas mais antigas documentadas na história, com evidências datando de milhares de anos. Apesar de avanços no diagnóstico e tratamento, a TB permanece como uma das principais causas de mortalidade por agentes infecciosos no mundo. Em 2023, a doença foi responsável por aproximadamente 1,25 milhões de mortes globalmente, destacando sua relevância como um problema persistente de saúde pública【1】. No Brasil, no mesmo ano, foram notificados 80.012 casos novos de TB, resultando em uma taxa de incidência de 37,0 casos por 100 mil habitantes. O estado do Amazonas se destacou com a segunda maior taxa de incidência de tuberculose no Brasil, com 81,6 casos por 100 mil habitantes【2】.
A TB pleural, uma forma extrapulmonar da doença, é considerada uma das apresentações mais comuns, particularmente em regiões de alta endemicidade【3】. Contudo, seu diagnóstico representa um desafio significativo, devido à semelhança clínica e radiológica com outras condições, como mesotelioma pleural maligno, câncer de pulmão, metástases pleurais e linfomas. Doenças autoimunes, como artrite reumatoide e a doença relacionada à imunoglobulina G4, também fazem parte do diagnóstico diferencial, exigindo avaliação detalhada【4,5】. Radiologicamente, a TB pleural pode se manifestar como derrame pleural, espessamento pleural ou calcificações, o que demanda uma análise criteriosa por tomografia computadorizada (TC) para diferenciar estas alterações de doenças malignas【6,7】.
Os avanços recentes nos diagnósticos moleculares têm contribuído significativamente para a identificação precoce da TB, mesmo em apresentações extrapulmonares. No entanto, a TB pleural ainda exige métodos específicos, como biópsia pleural e cultura, para confirmação do diagnóstico. Este cenário é agravado pelo fato de que, frequentemente, culturas e testes moleculares resultam negativos, especialmente em amostras pleurais, tornando o diagnóstico uma tarefa complexa【3,6】Estudos anteriores destacam que a realização de biópsia pleural ou linfonodal é indispensável em casos suspeitos, principalmente quando há mimetização de malignidades, como no presente caso【8,9】.
RELATO DE CASO
Um homem de 19 anos apresentou-se com história de quatro meses de febre diária, frequentemente atingindo 38°C, com piora noturna, acompanhada de dispneia aos médios esforços, calafrios, fadiga, astenia, hiporexia, cefaleia, diarreia, sudorese profusa sem padrão específico, perda ponderal de 5 kg e episódios de soluço pós-prandial. Inicialmente, buscou atendimento em uma unidade básica de saúde, onde recebeu prescrição de amoxicilina com ácido clavulânico e antipiréticos. Foi solicitada baciloscopia de escarro e cultura, ambas negativas. Com a persistência dos sintomas, procurou atendimento no Hospital e Pronto Socorro 28 de Agosto, em Manaus, Amazonas, onde foi diagnosticado com anemia grave, recebendo duas unidades de concentrados de hemácias. Durante a avaliação, uma tomografia computadorizada (TC) de tórax sem contraste revelou espessamento difuso da pleura esquerda, pequeno derrame pleural e uma formação lobulada na região apical esquerda, sugerindo mesotelioma pleural maligno (MPM).
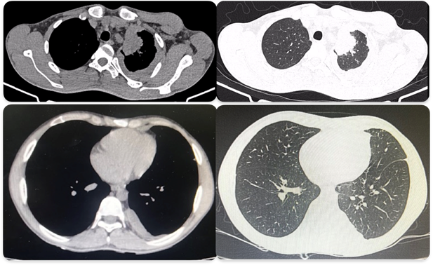
O paciente foi transferido ao Hospital Universitário Getúlio Vargas para investigação diagnóstica. A TC de tórax com contraste confirmou um pequeno derrame pleural à esquerda, associado a espessamento pleural difuso e irregular, com realce heterogêneo pelo meio de contraste e formações nodulares intercaladas, a maior medindo 0,9 cm. Identificaram-se múltiplas linfonodomegalias mediastinais e hilares de tamanhos variados, com centro hipodenso, sendo a maior localizada na janela aorta-pulmonar, medindo 1,6 cm. Consolidações com vidro fosco foram observadas no segmento apico-posterior do lobo superior esquerdo e inferior esquerdo, além de uma formação lobulada heterogênea, com captação intensa pelo contraste e áreas de degeneração cística/necrótica, localizada no aspecto medial da região apical esquerda, em íntimo contato com a artéria subclávia esquerda, levantando alta suspeita de envolvimento neoplásico (Figura 1A).

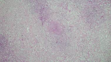
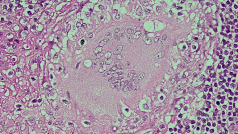
A mediastinoscopia com biópsia linfonodal revelou alteração histológica nodal, com substituição por um processo granulomatoso com necrose caseosa (Figura 2). Em virtude da suspeita persistente de malignidade e da ausência de diagnóstico definitivo, foi realizada toracotomia paraesternal esquerda com biópsia pleural. O exame histopatológico revelou granulomas constituídos por macrófagos, células gigantes multinucleadas e linfócitos, alguns com necrose central de padrão caseoso. Foram identificadas extensas áreas de necrofibrose, tecido de granulação e bandas colágenas compatíveis com processo inflamatório crônico granulomatoso (Figura 3).


Embora as culturas e o teste rápido molecular tenham sido negativos para Mycobacterium tuberculosis (MTB), o contexto clínico e epidemiológico, combinado com os achados histológicos, levou ao diagnóstico de tuberculose pleural. O tratamento com esquema básico para tuberculose (2RHZE/4RH) foi iniciado, resultando em melhora clínica completa sem efeitos adversos. Após seis meses de terapia medicamentosa, uma nova TC de tórax mostrou resolução significativa do espessamento pleural e das alterações previamente descritas (Figura 1B).
DISCUSSÃO
A tuberculose (TB) pleural é uma reação de hipersensibilidade tipo IV a antígenos micobacterianos. Ainda não está claro se micobactérias intactas ou vivas são necessárias para desencadear a resposta imunogênica, o que pode explicar o baixo rendimento das culturas microbiológicas em casos de TB pleural. O mecanismo imunopatológico específico desempenha um papel fundamental na apresentação heterogênea dessa condição, representando obstáculos significativos ao diagnóstico definitivo【3】. No caso relatado, o paciente apresentava sintomas altamente sugestivos de TB, mas os resultados iniciais da baciloscopia e cultura foram negativos, levando à investigação de diagnósticos diferenciais. A tomografia computadorizada (TC) de tórax mostrou espessamento difuso e irregular da pleura esquerda, características que reforçaram a suspeita clínica.
Radiologicamente, as características classicamente descritas para doenças malignas incluem espessamento pleural nodular ou lobular, espessamento da fissura interlobar, espessamento pleural mediastinal, espessamento pleural parietal superior a 1 cm e espessamento pleural circunferencial【7,8】. O achado tomográfico mais comum é o espessamento pleural, observado em até 92% dos casos. Massas pleurais focais maiores que 3 cm de diâmetro podem ser identificadas em 8%-38% dos casos, e derrames pleurais são vistos em até 75% dos pacientes. Placas pleurais são menos frequentes, presentes em 20% dos casos【8】.
Em casos de TB pleural mimetizando mesotelioma pleural maligno (MPM), os achados radiológicos mais frequentemente descritos incluem espessamento pleural nodular difuso e linfonodomegalias mediastinais ou hilares, com ou sem derrame pleural【9,10,11,12】. O mesmo padrão foi observado no presente caso. Em todos os relatos semelhantes, a biópsia pleural ou linfonodal foi indispensável para o diagnóstico definitivo, reforçando a importância de métodos invasivos na investigação【9,10,11,12】.
A mediastinoscopia realizada revelou processo granulomatoso com necrose caseosa, sem Bacilos Álcool-Ácido Resistentes (BAAR). Posteriormente, a biópsia pleural confirmou o processo inflamatório crônico granulomatoso com necrose caseosa, embora BAAR não tenham sido identificados. Testes moleculares e culturas também foram negativos. Apesar disso, os achados histopatológicos e a alta endemicidade da TB na região justificaram o início do tratamento específico.
A literatura aponta que granulomas caseosos contendo BAAR em amostras histológicas são diagnósticos de TB. A biópsia pleural possui uma taxa de positividade para cultura de até 76%, além de fornecer evidência histológica suficiente para iniciar o tratamento, especialmente em áreas de alta prevalência de TB【9】. No caso descrito, o diagnóstico foi baseado na probabilidade pré-teste elevada, sustentada por achados histopatológicos típicos, mesmo na ausência de confirmação microbiológica.
Os achados deste caso são consistentes com relatos anteriores na literatura, que descrevem a TB pleural como um grande mimetizador de doenças malignas, incluindo MPM. Shinohara et al. relataram um caso de TB pleural primária assintomática com captação intensa de FDG-18, mimetizando malignidade em exames de imagem, semelhante ao espessamento pleural nodular observado no presente paciente【11】. Nishizawa e Tobino destacaram a necessidade de biópsia pleural para diferenciar TB pleural de MPM, reforçando o papel indispensável de métodos invasivos【12】.
Suliman et al. e Dawood et al. relataram casos em que a TB pleural apresentava espessamento pleural nodular com linfonodomegalias mediastinais, exigindo mediastinoscopia e biópsia pleural para confirmação【9,13】. Estes relatos corroboram a complexidade diagnóstica da TB pleural, especialmente em áreas endêmicas, como o Amazonas.
CONCLUSÃO
A TB ativa deve ser considerada no diagnóstico diferencial do espessamento pleural difuso, mesmo na ausência de sintomas subjetivos. A tomografia pode ser útil na avaliação da atividade da doença, na exclusão de diagnósticos diferenciais e no monitoramento da resposta terapêutica em pacientes com TB pleural.
Referências
- World Health Organization (WHO). Global Tuberculosis Report 2024 [Internet]. 2024 [citado em 19 jan. 2025]. Disponível em: https://www.who.int
- Ministério da Saúde, Brasil. Boletim Epidemiológico de Tuberculose, Número Especial. Brasília: Ministério da Saúde; 2024.
- Chan KKP, Lee YCG. Tuberculous pleuritis: clinical presentations and diagnostic challenges. Curr Opin Pulm Med. 2024 May;30(3):210-216. doi:10.1097/MCP.0000000000001052.
- Manual de Recomendações para o Controle da Tuberculose no Brasil. 2ª ed. Brasília: Ministério da Saúde; 2019.
- Metintas M, Ucgun I, Elbek O, et al. Computed tomography features in malignant pleural mesothelioma and other commonly seen pleural diseases. Eur J Radiol. 2002 Jan;41(1):1-9. doi:10.1016/s0720-048x(01)00426-0.
- Lee J, Park J, Park JE, et al. Different characteristics of pleural abnormalities on computed tomography between tuberculous and malignant pleural effusions. Am J Med Sci. 2023 Jul;366(1):57-63. doi:10.1016/j.amjms.2023.04.021.
- Hallifax RJ, Talwar A, Wrightson JM, Edey A, Gleeson FV. State-of-the-art: Radiological investigation of pleural disease. Respir Med. 2017 Mar;124:88-99. doi:10.1016/j.rmed.2017.02.013.
- Cardinale L, Ardissone F, Gned D, Sverzellati N, Piacibello E, Veltri A. Diagnostic Imaging and workup of Malignant Pleural Mesothelioma. Acta Biomed. 2017 Aug;88(2):134-142. doi:10.23750/abm.v88i2.5558.
- Shaw JA, Irusen EM, Diacon AH, Koegelenberg CF. Pleural tuberculosis: A concise clinical review. Clin Respir J. 2018 May;12(5):1779-86. doi:10.1111/crj.12900.
- Shinohara T, Shiota N, Kume M, et al. Asymptomatic primary tuberculous pleurisy with intense 18-fluorodeoxyglucose uptake mimicking malignant mesothelioma. BMC Infect Dis. 2013 Jan;13:12. doi:10.1186/1471-2334-13-12.
- Nishizawa S, Tobino K. Asymptomatic Tuberculous Pleurisy Mimicking Mesothelioma. Am J Respir Crit Care Med. 2020 May;201(9):1149. doi:10.1164/rccm.201906-1223IM.
- Suliman AM, Abuhejleh M, Salih M, Hameed M. The great mimicker: Pleural tuberculosis presents as nodular pleural thickening. Qatar Med J. 2024 Mar;2024(2):28. doi:10.5339/qmj.2024.qitc.28.
- Dawood W, La Garza Henriette D, Iliescu G, Moran C, Grosu H. Pleural tuberculosis mimicking malignant mesothelioma. Respir Med Case Rep. 2019 Nov;29:100964. doi:10.1016/j.rmcr.2019.100964.
¹Hospital Universitário Getúlio Vargas, Manaus, AM, Brasil;
²Universidade do Estado do Amazonas, Manaus, AM, Brasil;
³Universidade Federal do Amazonas, Manaus, AM, Brasil.
