TRATAMENTO NÃO OPERATÓRIO DE UM TRAUMA CONTUSO EXCLUSIVO DE GLÂNDULA ADRENAL: UM RELATO DE CASO

NON-OPERATIVE MANAGEMENT OF ISOLATED BLUNT ADRENAL GLAND TRAUMA: A CASE REPORT

REGISTRO DOI: 10.69849/revistaft/pa10202510101328


Beatriz Guedes Borges de Proença1; Isabella Zanutto Barile2; João Vitor Ribeiro Costa3; Heloisa Dutra Panhoca4; Luiza Marestone Pereira5; Muriel de Oliveira Carrara6; José Mauro da Silva Rodrigues7


Resumo

O trauma adrenal representa uma condição clínica incomum e de baixa incidência, geralmente identificada como achado isolado em exames de imagem realizados após trauma abdominal ou toracoabdominal. A maioria dos pacientes permanece assintomática, não apresentando manifestações clínicas relevantes nem alterações laboratoriais significativas. O método diagnóstico de escolha é a tomografia computadorizada (TC), que permite não apenas a identificação precisa da lesão, mas também sua estratificação segundo os graus I a V definidos pela American Association for the Surgery of Trauma (AAST). A monitorização clínica e laboratorial durante o seguimento tem se mostrado de utilidade restrita, dado o risco extremamente reduzido de insuficiência adrenal ou de outras complicações relevantes associadas.

Palavras-chave: Trauma adrenal. Grau de lesão. Insuficiência adrenal.

1 INTRODUÇÃO

As glândulas adrenais, estruturas endócrinas localizadas no espaço retroperitoneal, situam-se na porção supero medial dos rins, aproximadamente ao nível da 11ª costela1,2. A ocorrência de trauma adrenal é incomum, atribuída principalmente à sua localização anatômica protegida e ao reduzido volume glandular. Porém, lesões de alto impacto nas glândulas suprarrenais podem ter como resultado hemorragia, contusão ou laceração. Contudo, com o aumento da utilização da tomografia computadorizada (TC) de abdome em pacientes com trauma múltiplo, tem-se observado elevação na taxa de detecção dessas lesões3.

Os casos de trauma associados a lesão da glândula adrenal apresentam uma taxa de mortalidade até cinco vezes superior em comparação com traumas sem acometimento adrenal, sendo que os índices mais elevados são observados em pacientes com lesões bilaterais da glândula. Embora esse aumento na mortalidade esteja frequentemente relacionado à maior gravidade do trauma sistêmico, a presença de instabilidade hemodinâmica secundária à insuficiência adrenal aguda não diagnosticada, decorrente da deficiência de glicocorticoides, pode ser um fator contribuinte adicional.

As hemorragias adrenais ocorrem mais frequentemente na glândula direita, possivelmente em razão da compressão mecânica entre o fígado e a coluna vertebral, bem como da transmissão direta de pressão venosa elevada proveniente da veia cava inferior. Entre as etiologias não traumáticas de hemorragia adrenal incluem-se a sepse (com destaque para meningococcemia), hipotensão severa, síndrome do anticorpo antifosfolipídio, coagulação intravascular disseminada (CIVD), infecções adrenais (como tuberculose e histoplasmose), além de complicações relacionadas a procedimentos invasivos. A anamnese clínica costuma permitir a diferenciação entre causas traumáticas e não traumáticas.

No contexto do diagnóstico por imagem, a ressonância magnética (RM) representa o método mais sensível e específico para avaliação de lesões adrenais traumáticas. Contudo, sua menor disponibilidade limita seu uso na prática clínica de emergência. Na fase aguda, as lesões adrenais geralmente apresentam sinal iso ou hiperintenso em T1 e hipointenso em T2, evoluindo para hiperintensidade em ambas as sequências na fase subaguda. Lesões crônicas podem apresentar halo de hemossiderina com hipossinal tanto em T1 quanto em T2. Embora muitas hemorragias adrenais se resolvam espontaneamente, algumas podem persistir como massas heterogêneas com centro hipodenso e eventualmente desenvolver calcificações após um período de 12 meses.

Apesar de pequenas, as adrenais apresentam ampla vascularização arterial e drenagem venosa que, em casos de trauma, pode resultar em hemorragia ou formação de hematoma local e/ou retroperitoneal, com repercussões clínicas e laboratoriais menos frequentes4,5. Essas lesões geralmente coexistem com danos a outros órgãos, uma vez que são frequentemente resultado de mecanismos traumáticos de alta energia.

Estudos prévios demonstraram a associação de diversos fatores com a ocorrência de lesões adrenais em pacientes vítimas de trauma, destacando-se os mecanismos de alta energia como colisões automobilísticas e quedas de grandes alturas, além da presença frequente de lesões concomitantes em órgãos abdominais, especialmente fígado e rins5.

A principal complicação da hemorragia adrenal bilateral é a insuficiência adrenal primária. O risco de desenvolvimento dessa condição aumenta significativamente quando mais de 90% do parênquima adrenal está comprometido4-7. A incidência e o tempo de início das manifestações clínicas ainda não foram plenamente estabelecidos na literatura, mas, conforme observado em contextos de trauma adrenal, a apresentação clínica pode ser aguda ou subaguda, caracterizando-se por instabilidade hemodinâmica e distúrbios eletrolíticos, como hiponatremia. Fatores predisponentes individuais, como o uso de anticoagulantes, podem modificar a evolução clínica e a gravidade do quadro6.

O diagnóstico bioquímico da insuficiência adrenal primária baseia-se na identificação de níveis séricos reduzidos de cortisol matinal, associados a concentrações elevadas de hormônio adrenocorticotrófico (ACTH), podendo ser acompanhados de hiponatremia e hipercalemia13.

O manejo da maioria dos casos de hemorragia adrenal é conservador. No entanto, em situações de sangramento significativo ou refratário, intervenções como embolização angiográfica transcateter ou adrenalectomia cirúrgica podem ser indicadas. Nos casos de hemorragia adrenal bilateral com insuficiência adrenal aguda, é imprescindível a administração imediata de glicocorticoides intravenosos em doses compatíveis com situação de estresse fisiológico11.

2 FUNDAMENTAÇÃO TEÓRICA – RELATO DE CASO

Paciente do sexo masculino, 24 anos, da entrada no pronto-socorro do Conjunto Hospitalar de Sorocaba (CHS) dia 01/04/2025, vítima de colisão moto x anteparo fixo, apresentando fratura exposta de fêmur esquerdo, rotação externa de membro inferior direito com fratura exposta de fêmur direito distal e desalinhamento de antebraço esquerdo.

M: Moto x anteparo fixo

I: Fratura exposta de fêmur esquerdo, rotação externa de membro inferior direito com fratura exposta de fêmur direito distal e desalinhamento de antebraço esquerdo

S: FC 126 bpm; PA 98 X 71 mmHg; SatO2 100% em máscara de O2 7L/min, Glasgow: 15

T: PR + CC

Foi realizado exame físico de acordo com protocolo ATLS assim que ele chegou no serviço hospitalar:

A: Vias aéreas pérvias + colar cervical

B: expansibilidade preservada, murmúrio vesicular diminuído em base direita, saturação de oxigênio de 100% em máscara 7L/min, E-fast negativo

C: Tempo de preenchimento capilar <3 segundos, frequência cardíaca (FC) de 126 batimentos por minuto, pressão arterial (PA) 97×71 mmHg, bulhas rítmicas, normofonéticas em dois tempos, abdome globoso, flácido, indolor à palpação com fast negativo, sínfise púbica fechada, pelve estável.

D: Glasgow 15, pupila isofotorreagentes

E: Coluna vertebral estável e indolor a palpação de toda sua extensão e ausência de crepitações. Fratura exposta de fêmur esquerdo, rotação externa de membro inferior direito com fratura exposta de fêmur direito distal e desalinhamento de antebraço esquerdo

Frente ao caso, como conduta inicial foram solicitadas radiografias de tórax e pelve no leito, iniciada expansão volêmica com 500 mL de Ringer lactato (apresentando resposta com melhora da PA: 128×71 mmHg e FC 105 bpm), radiografia de fêmur bilateral, joelho bilateral, perna bilateral, braço e antebraço esquerdo, tomografias de crânio, face, coluna cervical, torácica e lombar, tórax, abdome e pelve, sendo as duas últimas com contraste. Além dos exames de imagem, foram solicitados também exames de laboratório.

Durante a avaliação secundária, colhidas as informações com o paciente sobre antecedentes clínicos e cirúrgicos, ele não apresentava nenhuma comorbidade associada, nenhuma medicação de uso contínuo ou cirurgias prévias, também negava tabagismo ou etilismo.

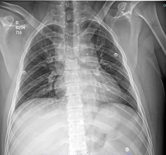
Figura 1: radiografia de tórax.

Figura 2: radiografia da pelve.

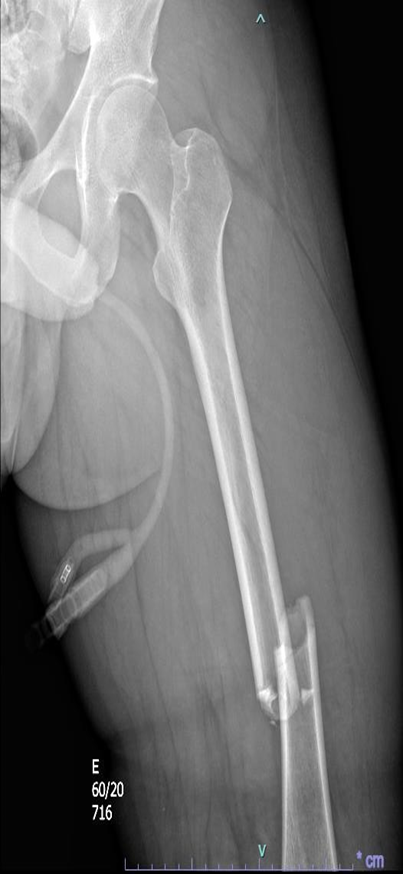
Figura 3: radiografia de fêmur direito.

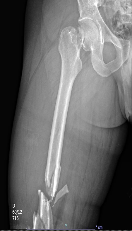
Figura 4: radiografia de fêmur esquerdo.

Os exames laboratoriais de entrada (01/04/2025) demonstravam hemoglobina (hb): 10,8 g/dL, hematócrito (ht): 31,2%, plaquetas (plaq): 162 10^3/μL, INR: 1,14, tempo de tromboplastina parcial ativada (ttpa): 58,7, potássio (k): 4,3 mEq/L, sódio (na): 137 mEq/L, creatinina (creat): 1,28 mg/dL, ureia (u): 44 mg/dL, proteína C reativa (pcr): 2,1 mg/L.

Resultado dos exames tomográficos:

TC crânio (02/04/2025): Sem alterações agudas do trauma. (Após análise, recebeu alta da equipe da neurocirurgia).

TC coluna cervical, torácica e lombar (02/04/2025): Sem alterações agudas do trauma. (Seguiu em acompanhamento com equipe da ortopedia).

TC tórax (02/04/2025): Partes moles da parede torácica e arcabouço ósseo sem alterações. – Pequeno derrame pleural bilateral, associado a atelectasia compressiva do parênquima pulmonar adjacente. Atenuação habitual do restante do parênquima pulmonar. –

Traqueia, carina e brônquios principais pérvios, com situação, calibre e contornos normais. – Estruturas vasculares de aspecto preservado. Coração com situação, morfologia, contornos e dimensões normais. Ausência de linfonodomegalias mediastinais ou perihilares atípicas.

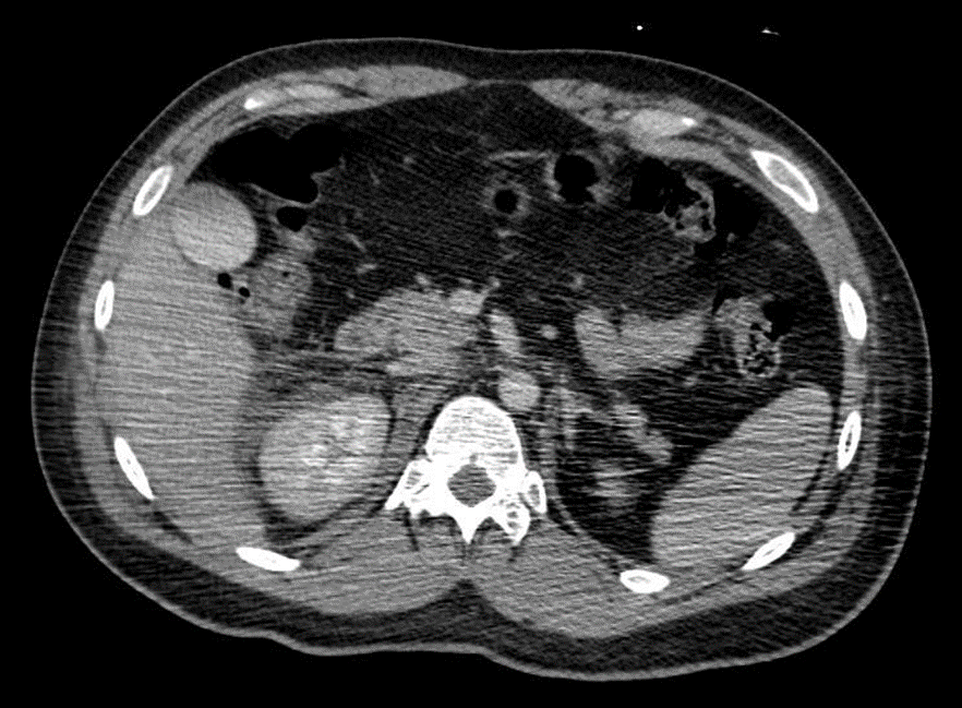
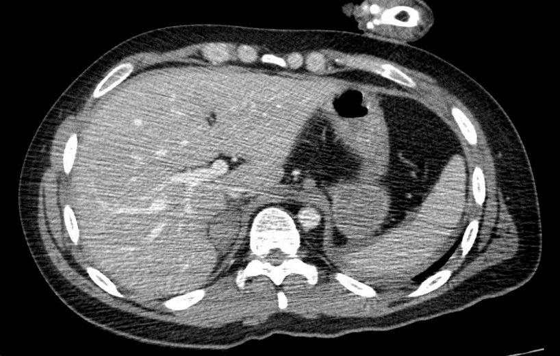
TC abdome e pelve com contraste endovenoso (EV) (02/04/2025): Derrame pleural bilateral – Hemoperitônio disperso na cavidade. Aumento e borramento da adrenal direita, inferindo contusão / laceração. Fígado, pâncreas e adrenal esquerda com situação, dimensões, contornos e coeficientes de atenuação normais. Baço homogêneo. Linha tênue no contorno superior do baço de difícil caracterização devido a artefatos. Ausência de sinais de dilatação das vias biliares intra ou extra-hepáticas. Vesícula biliar normodistendida, paredes finas e conteúdo homogêneo. Rins com topografia, morfologia, dimensões, eixo, contornos e espessura do parênquima normais, não se observando sinais de dilatação dos sistemas coletores. Boa concentração e eliminação do meio de contraste, bilateralmente. Aorta e veia cava inferior com calibre e contornos normais. Ausência de linfonodomegalias retroperitoneais e pélvica. Bexiga repleta, apresentando contornos regulares e conteúdo homogêneo. Próstata com contornos regulares e densidade tomográfica preservada. Trato gastrointestinal de aspecto habitual. Hérnia umbilical, com conteúdo lipomatoso. Fratura cominutiva do colo femoral direito, com desvio.

Figura 5: Tomografia Computadorizada de abdome.

Figura 6: Tomografia Computadorizada de abdome.

O paciente foi abordado cirurgicamente de urgência pela equipe de ortopedia, realizado fixador linear de fêmur esquerdo, fixador transarticular de joelho direito e tala axilo palmar esquerda permaneceu internado em unidade de tratamento intensivo (UTI) para observação e cuidados intensivos, na admissão recebeu transfusão de dois concentrados de hemácias (CH) e duas bolsas de plasma fresco congelado (PFC) e iniciado antibioticoprofilaxia com amicacina e cefazolina.

No dia 03/04/2025 foi optado pela realização da TC de abdome com contraste endovenoso (EV) de controle podendo assim ter uma análise comparativa além da realização de uma Angiotomografia de tórax (ANGIOTC) devido ao quadro de desconforto respiratório mesmo em uso de oxigênio suplementar com máscara não reinalante e manutenção de quadro de taquicardia, para descartar hipótese de tromboembolismo pulmonar (TEP).

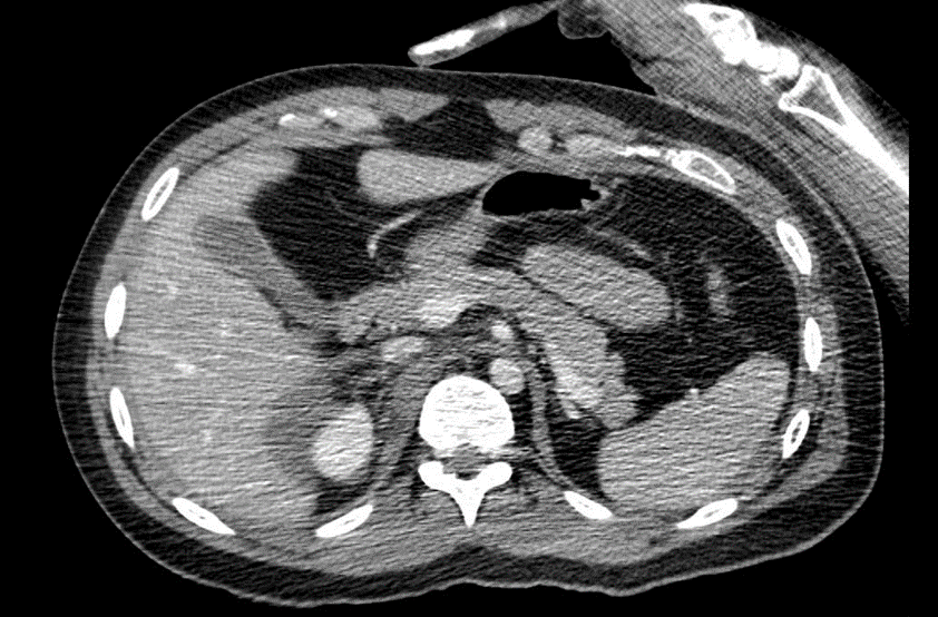
TC abdome e pelve com contraste EV (03/04/25): Derrame pleural bilateral, determinando atelectasia passiva. Hematoma adrenal direita medindo 3 cm. Moderado hemoperitônio. Pequeno borramento da gordura perirrenal direita. Fratura em colo femoral direito com desvio. Sem demais alterações agudas do trauma.

Figura 7: Tomografia Computadorizada de abdome.

ANGIOTC Tórax (03/04/25): Tronco da artéria pulmonar e ramos principais com calibres preservados, não se evidenciando falhas de enchimento até ramos subsegmentares. Aorta de calibre preservado, sem evidência de dissecção ou aneurisma. Demais estruturas vasculares mediastinais com trajeto e calibre preservados. Coração com dimensões normais. Pequeno derrame pleural bilateral, determinando atelectasia passiva. Focos consolidativos em lobos inferiores. Opacidades fibroatelectásicas esparsas em ambos os pulmões. (Após análise, descartado diagnóstico de TEP)

Paciente obteve melhora do desconforto respiratório após tempo prolongado do uso de O2 suplementar, porém mantendo necessidade do uso de máscara não reinalante e mantendo taquicardia. Associado ao quadro respiratório, paciente apresentava demais sintomas adrenérgicos como hipertensão, ansiedade, sudorese. Sendo assim, feito a hipótese diagnóstica de Síndrome Adrenérgica e iniciado hidrocortisona 100mg de 8/8 horas, apresentando melhoras dos sintomas referidos exceto os respiratórios.

Devido à manutenção do quadro respiratório, optado pela realização de novo exame de imagem de tórax:

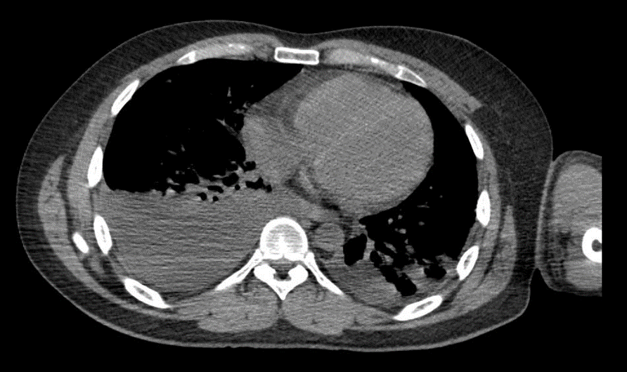
ANGIOTC de tórax 07/04/2025: Tronco da artéria pulmonar com calibre aumentado (3,3 cm). Ramos principais com calibres preservados, não se evidenciando falhas de enchimento até ramos segmentares. Demais estruturas vasculares mediastinais com trajeto e calibre preservados. Focos consolidativos e em vidro fosco esparsos bilateralmente, especialmente em lobos superiores e inferior esquerdo. Derrame pleural moderado à direita e pequeno à esquerda com atelectasia compressiva associada. Coração com dimensões normais. Não há linfonodomegalias mediastinais. Traqueia e brônquios principais pérvios, de calibres conservados. Espondilose torácica. (Após análise pela equipe da cirurgia torácica, realizada toracostomia com drenagem pleural a direita com saída imediata de 500ml de conteúdo hemático)

Figura 8: ANGIOTC de tórax.

Paciente evoluiu com resolução do quadro de desconforto respiratório e no dia 10/04/2025 devido ao débito de dreno de tórax desprezível foi realizada a retirada dele.

Avaliado pela equipe de endocrinologia no dia 11/04/2025 sobre a necessidade da realização de desmame de corticoterapia ou manutenção dele, uma vez que o paciente se encontrava assintomático, decidiu-se pela retirada total da droga sem a necessidade de desmame progressivo.

No dia 12/04/2025 paciente foi reabordado pela equipe de ortopedia para realização de osteossíntese de fêmur esquerdo com haste retrógrada.

O paciente manteve-se estável clínica e hemodinamicamente além de assintomático mesmo sem o uso de glicocorticóides.

Dada a melhora clínica, foi optado pela alta da equipe da cirurgia geral no dia 14/04/2025. Paciente manteve-se aos cuidados da ortopedia, recebeu alta da UTI no mesmo dia, seguiu em leito de enfermaria com boa evolução clínica e ortopédica recebendo alta hospitalar no dia 20/04/2025 sem qualquer intercorrência no período.

Segue tabela com resultado dos exames laboratoriais sequenciais:

3 METODOLOGIA

Foram utilizados como motor de busca os indexadores Pub Med, Up to Date e Scielo para seleção dos artigos, através dos termos “trauma de adrenal, hemorragia adrenal unilateral e insuficiência de adrenal primária”. Foram excluídos artigos com mais de 20 anos de publicação ou que não se encaixavam dentro do escopo da pesquisa.

4 DISCUSSÃO E ANÁLISE DOS DADOS

O caso clínico apresentado ilustra a raridade do trauma de adrenal em pacientes politraumatizados. É possível alegar que a incidência de trauma adrenal é baixa, variando entre 0,44% e 4% dos traumas abdominais contusos. Esses traumas são frequentemente diagnosticados de maneira incidental, sem manifestações clínicas específicas, e geralmente estão associados a lesões em outros órgãos10. A grande maioria dos traumas adrenais resulta de mecanismos de trauma fechado, representando entre 81,4% e 98,6% dos casos1-3.

Em eventos traumáticos, a lesão adrenal costuma ocorrer em conjunto com lesões em outros órgãos, como fígado, rins, costelas e pulmões6-8. Fraturas de arcos costais, pneumotórax e hematomas hepáticos são as lesões concomitantes mais frequentemente observadas. A lesão adrenal unilateral é mais comum, com o lado direito sendo afetado aproximadamente 5 vezes mais frequentemente do que o esquerdo (77% versus 21%)8. Quanto à distribuição por sexo, observa-se uma prevalência maior entre os pacientes do sexo masculino (79% versus 21%), o que está alinhado com a maior incidência de traumas nesse grupo8.

A literatura descreve três mecanismos principais de lesão da glândula adrenal:

  1. Impacto direto, com transferência de energia para a glândula, ocasionando lesão tecidual subsequente.
  2. Lesão indireta, resultante de forças de aceleração-desaceleração, provocando ruptura tecidual.
  3. Aumento da pressão vascular retrógrada na veia cava inferior, secundário à compressão severa desta, que causa sangramento intraglandular4-6

    A tomografia computadorizada é considerada o exame padrão-ouro para a detecção e classificação dessas lesões. Os principais achados nas imagens tomográficas incluem: hematoma localizado com ou sem distorção anatômica (30%), glândula sem alterações (27%) ou espessada (18%), hemorragia grosseira (15%) ou focal (7%), e, de forma rara, sangramento ativo (2%). Achados tomográficos associados incluem espessamento da gordura peri-adrenal (93%), sangramento retroperitoneal (22%) e espessamento da crura diafragmática (10%)9.

    A American Association for the Surgery of Trauma (AAST) estabeleceu uma classificação radiológica para as lesões da glândula adrenal, categorizando-as conforme a sua gravidade (Tabela 1). Existem poucos estudos que realizam a comparação entre a gravidade das lesões e os desfechos clínicos, utilizando essa classificação. De maneira geral, os desfechos são analisados em relação à faixa etária do paciente e ao escore de severidade de lesão (Injury Severity Score – ISS); no entanto, são raros os estudos que demonstram significância estatística em suas conclusões.

    Tabela 1. Classificação do trauma de glândula adrenal pela American Association for the Surgery of Trauma (AAST)

    A insuficiência adrenal pós-traumática é uma condição rara, e a presença de lesão bilateral não se configura como fator preditivo para o desenvolvimento dessa complicação. No acompanhamento clínico, demonstrou-se desnecessária a monitorização da função adrenal na ausência de indicações específicas4,6.

    Devido à baixa repercussão clínica e à natureza autolimitada dessas lesões, o manejo inicial é predominantemente conservador, sem a necessidade de tratamento cirúrgico. Entretanto, existem relatos de casos em que pacientes foram submetidos a terapias endovasculares, como a angioembolização, ou intervenções cirúrgicas, principalmente em indivíduos idosos, com comorbidades e em uso de medicamentos anticoagulantes.

    A mortalidade dos pacientes vítimas de trauma adrenal varia de 5,6% a 7,2%, sendo geralmente atribuída a complicações orgânicas de outros locais, como trauma cranioencefálico (TCE) ou choque secundário ao trauma ou resposta metabólica3,6,7,8.

    5 CONCLUSÃO

    A lesão de glândula adrenal após um trauma contuso é rara devido a sua localização anatômica que fica protegida pelas demais estruturas ao seu redor no retroperitônio. Nota-se também que o trauma de adrenal apresentou um aumento significativo em seu diagnóstico com o passar do tempo, devido a difusão do uso da tomografia computadorizada, visto que o trauma em discussão é majoritariamente assintomático, tanto na fase aguda como no pós-trauma, apesar de alguns dos casos apresentarem sintomas adrenérgicos, assim como evoluiu o paciente do caso relatado. Por ter sido um mecanismo de trauma de alta energia, com importantes traumatismos de origem ortopédica, é interessante ressaltar que a única alteração abdominal do paciente, identificada através do exame de imagem, foi a lesão grau IV de adrenal direita.

    Com relação que a condução deste caso pela visão da equipe de cirurgia geral, a conduta é conservadora, sendo necessário correção cirúrgica apenas das lesões ortopédicas.

    Sobre o acompanhamento após a alta hospitalar, não há a necessidade de se priorizar rastreamento de disfunções hormonais, visto que é evento restrito e não apresentou mudança de desfecho do caso em estudos prévios.

    Apesar de raras as lesões de adrenal não devem ser passadas desapercebidas pois podem apresentar repercussões clínicas graves devido a imunossupressão de glicocorticoides, portanto esses pacientes devem ser acompanhados de perto principalmente nos primeiros dias após o trauma.

    REFERÊNCIAS

    SHAKIR, M.; SUN, K. A.; CAMPBELL, M. J.; CORWIN, M.; GRAVES, C. E. Incidence, presentation, and natural history of adrenal hemorrhage. *Journal of the American College of Surgeons*, \[s.l.], v. 235, p. S62–S63, 2022.

    ELHASSAN, Y. S.; RONCHI, C. L.; WIJEWICKRAMA, P.; BALDEWEG, S. E. Management of adrenal hemorrhage in trauma patients. *Journal of Clinical Endocrinology & Metabolism*, \[s.l.], v. 108, p. 995–1006, 2023.

    KUNHIVALAPPIL, F. T.; HEFNY, A. F.; ABU-ZIDAN, F. M. Management of blunt adrenal gland injury at a community hospital. *Injury*, \[s.l.], v. 50, p. 1049–1052, 2019.

    GOMEZ, R. G.; MCANINCH, J. W.; CARROLL, P. R. Adrenal gland trauma: diagnosis and management. *Journal of Trauma*, \[s.l.], 1994.

    DIGIACOMO, J. C.; ANGUS, L. D. G.; COFFIELD, E. Adrenal injuries: historical facts and modern truths. *World Journal of Surgery*, \[s.l.], 2016.

    JIMIDAR, N.; et al. Bilateral adrenal hemorrhage after high-energy trauma: a case report and review of current literature. *Acta Chirurgica Belgica*, \[s.l.], v. 120, n. 2, p. 131–135, 2020.

    CASTALDO, E. T.; et al. Are adrenal injuries predictive of adrenal insufficiency in patients sustaining blunt trauma? *American Surgeon*, \[s.l.], v. 74, n. 3, p. 262–266, 2008.

    FALHAMMAR, H.; KOSKINEN, S. K.; KISTNER, A. Adrenal trauma experience at a major tertiary center in Sweden: clinical and radiological findings. *Clinical Endocrinology (Oxf)*, \[s.l.], 2022.

    AL-THANI, H.; et al. Adrenal gland trauma: an observational descriptive analysis from a level 1 trauma center. *Journal of Emergency Trauma and Shock*, \[s.l.], v. 14, n. 2, p. 92, 2021.

    RAYZAH, M. Adrenal gland laceration in adult trauma patients without severe concomitant abdominal organ injuries: incidence, associated factors, and outcomes from a national trauma database study. *Medicine (Baltimore)*, \[s.l.], v. 104, n. 10, e41756, 2025. DOI: 10.1097/MD.0000000000041756.

    PANDA, A.; KUMAR, A.; GAMANAGATTI, S.; BHALLA, A. S.; SHARMA, R.; KUMAR, S.; MISHRA, B. Lesões adrenais bilaterais traumáticas estão associadas a maior morbidade e mortalidade? Um estudo observacional prospectivo. *Journal of Trauma Management and Outcomes*, 2015, v. 9, n. 6. DOI: [https://doi.org/10.1186/s13032-015-0026- 1](https://doi.org/10.1186/s13032-015-0026-1)

    CHERNYAK, V.; PATLAS, M. N.; MENIAS, C. O.; SOTO, J. A.; KIELAR, A. Z.; ROZENBLIT, A. M.; ROMANO, L.; KATZ, D. S. Emergências adrenais traumáticas e não traumáticas. *Radiologia de Emergência*, 2015, v. 22, p. 697–704. DOI: [https://doi.org/10.1007/s10140-015-1357-y](https://doi.org/10.1007/s10140-015-1357-y)

    JORDAN, E.; PODER, L.; COURTIER, J.; SAI, V.; JUNG, A.; COAKLEY, F. V. Imagem de hemorragia adrenal não traumática. *American Journal of Roentgenology*, 2012, v. 199, W91– W98. DOI: [https://doi.org/10.2214/AJR.11.7973](https://doi.org/10.2214/AJR.11.7973)