TOTAL REHABILITATION IN A PATIENT REQUIRING INCREASE OF VERTICAL DIMENSION OCCLUSION: PROSTHETIC APPROACHES AND RESULTS: CASE REPORT
REHABILITACIÓN TOTAL EN PACIENTE CON NECESIDAD DE AUMENTO DE LA DIMENSIÓN VERTICAL: ENFOQUES PROTÉSICOS Y RESULTADO – REPORTE DE CASO CLÍNICO
REGISTRO DOI: 10.69849/revistaft/cl10202512161027
Sara Julia Derossi Klein1
Victor Miguel Gonçalves Silva2
Eduarda Leticia Pagliosa3
Afonso Elias Lermen4
Laura Kiraly Robles5
Marlon Rosin6
Gabriela Tamagno7
Júlia Calvo Nunes8
Leonardo José de Medeiros Piva9
Fabiana Scarparo Naufel10
Rolando Plümer Pezzini11
Resumo
O desgaste dentário é um fator inerente ao envelhecimento bucal caracterizado pela perda gradual da estrutura dental por fatores físicos e químicos. Contudo, quando o desgaste dental ultrapassa os limites fisiológicos pode ocasionar a redução da Dimensão Vertical de Oclusão (DVO). A DVO é um parâmetro fundamental para a avaliação do equilíbrio do sistema estomatognático, e está diretamente relacionada à estabilidade da oclusão, e sua redução está associada a desordens musculares e comprometimento estético. A redução da DVO pode demandar reabilitações complexas, e sua determinação é um desafio clínico, porém imprescindível para garantir a longevidade dos tratamentos restauradores e protéticos. O presente artigo tem como objetivo relatar o planejamento e fluxo de trabalho para o restabelecimento da DVO em pacientes com desgaste dentário generalizado. Metodologia: O presente estudo trata de um relato de caso clínico de cunho analítico descritivo, realizado na clínica de Reabilitação Oral da Universidade Estadual do Oeste do Paraná na cidade de Cascavel/PR. Relato de caso: Paciente do gênero masculino, 56 anos, leucoderma, relatava como grande insatisfação a estética dos dentes. O paciente apresentava desgaste generalizado, diversas restaurações e próteses sobre implantes insatisfatórios, além de alteração na DVO. A reabilitação oral definitiva foi realizada através de próteses fixas sobre implantes e diferentes estratégias de próteses fixas sobre os dentes remanescentes. Considerações finais: o presente caso relata diferentes abordagens protéticas para o restabelecimento da DVO de forma previsível e fisiológica.
Palavras-chave: Reabilitação bucal; Dimensão vertical; Prótese dentária.
Abstract
Dental wear is an inherent factor in oral aging, characterized by the gradual loss of dental structure due to physical and chemical factors. However, when dental wear exceeds physiological limits, it may lead to a reduction in Occlusion Vertical Dimension (OVD). OVD is a fundamental parameter for assessing the balance of the stomatognathic system, directly related to occlusal stability, with its reduction associated with muscular disorders and aesthetic impairment. The decrease in OVD often necessitates complex rehabilitations, and its determination remains a clinical challenge, yet it is essential for ensuring the longevity of restorative and prosthetic treatments. Objective: This article aims to report the planning and workflow for reestablishing OVD in a patient with generalized dental wear. Methodology: This study is a descriptive analytical case report conducted at the Oral Rehabilitation Clinic of the State University of Western Paraná, in Cascavel, Paraná, Brazil. Case Report: A 56-year-old male patient with fair skin presented with significant aesthetic dissatisfaction. Clinical examination revealed generalized dental wear, multiple restorations, unsatisfactory implant-supported prostheses, and altered OVD. The definitive oral rehabilitation was performed using implant-supported fixed prostheses and various fixed prosthetic strategies for the remaining teeth. Conclusion: This case report illustrates different prosthetic approaches for the predictable and physiological restoration of OVD.
Keywords: Mouth rehabilitation; Occlusal vertical;Dental Prosthesis.
Resumen
El desgaste dental es un factor inherente al envejecimiento bucal, caracterizado por la pérdida gradual de la estructura dental debido a factores físicos y químicos. Sin embargo, cuando este desgaste supera los límites fisiológicos, puede provocar una reducción de la Dimensión Vertical de Oclusión (DVO). La DVO es un parámetro fundamental para evaluar el equilibrio del sistema estomatognático, estando directamente relacionada con la estabilidad oclusal; su disminución se asocia con trastornos musculares y compromiso estético. La reducción de la DVO puede requerir rehabilitaciones complejas, y su determinación representa un desafío clínico, pero es esencial para garantizar la longevidad de los tratamientos restauradores y protésicos. Este artículo tiene como objetivo describir la planificación y el flujo de trabajo para el restablecimiento de la DVO en un paciente con desgaste dental generalizado. Metodología: Se trata de un estudio basado en un informe de caso clínico de carácter analítico-descriptivo, realizado en la Clínica de Rehabilitación Oral de la Universidad Estatal del Oeste de Paraná, en la ciudad de Cascavel/PR. Informe de caso: Paciente de sexo masculino, 56 años, leucodermo, cuya principal queja era una gran insatisfacción estética. Presentaba desgaste dental generalizado, múltiples restauraciones y prótesis sobre implantes insatisfactorias, además de una alteración en la DVO. La rehabilitación oral definitiva se llevó a cabo mediante prótesis fijas sobre implantes y diferentes estrategias de prótesis fijas sobre los dientes remanentes. Consideraciones finales: Este caso clínico presenta distintas estrategias protésicas para el restablecimiento de la DVO de manera predecible y fisiológica.
Palabras clave: Rehabilitación bucal; Dimensión vertical; Prótesis Dental.
1. Introdução
A saúde bucal está diretamente relacionada à correta posição dos elementos dentários e ao equilíbrio entre essas estruturas e o complexo muscular esquelético. Esse equilíbrio constitui a base para a realização de tratamentos restauradores protéticos, fatores essenciais para a obtenção de uma oclusão estável e funcional (LeSagge, 2020; Guerreiro, 2022). O estabelecimento de um padrão oclusal adequado é fundamental no planejamento e na execução da reabilitação oral, visto que alterações na Dimensão Vertical de Oclusão (DVO) podem impactar negativamente a função mastigatória, estética e a saúde do sistema estomatognático (Discatiacci, 2013; Abreu,2023). A DVO é definida como a distância entre dois pontos dos arcos dentários quando os dentes estão em máxima intercuspidação, (Discatiacci, 2013) a redução dessa medida pode levar a desordens oclusais e disfunções musculares (The Glossary of Prosthodontic Terms).
A redução da DVO pode ocorrer pelo desgaste dentário, um processo fisiológico inerente ao envelhecimento caracterizado pela perda gradual da estrutura dental ao longo da vida, no entanto, esse fenômeno pode ser exacerbado por fatores intrínsecos e extrínsecos, incluindo hábitos parafuncionais, forças mecânicas inadequadas, atrição, abfração e erosão química (Abreu,2023; Almeida, 2019). A progressão desse desgaste pode comprometer a viabilidade dos dentes, levando à necessidade de intervenções restauradoras cada vez mais complexas e repetitivas (Carvalho, 2022). Pacientes com desgaste severo muitas vezes apresentam uma redução no espaço interoclusal, tornando necessária o restabelecimento da DVO fisiológica para sucesso da reabilitação protética (Lee, 2021).
O presente artigo tem como objetivo relatar o planejamento e fluxo de trabalho para o restabelecimento da DVO em pacientes com desgaste dentário generalizado.
2. Metodologia
O presente relato de caso clínico (Toassi & Petry, 2021) foi submetido e aprovado ao Comitê de Ética em Pesquisa da Universidade Estadual do Oeste do Paraná, obtendo o certificado de Apresentação de Apreciação Ética (CAAE).
3. Relato de caso
Paciente do gênero masculino, 56 anos de idade, queixou-se da estética da arcada superior e inferior que apresentavam desgaste dentário generalizado. A condição extraoral evidenciava aprofundamento dos sulcos nasogenianos e leve projeção do mento (Figura 1).
Figura 1 – condição inicial extraoral.

Fonte: Arquivo dos autores.
Na avaliação intraoral se observou restaurações insatisfatórias, desgastes incisais generalizados, abfrações, presença de implantes com coroas insatisfatórias nas regiões de 15, 14, 13, 22, 24, 25, 26, 27, coroa total confeccionada em metalo-cerâmica no dente 45 e ausência do dente 36, conforme ilustrado na Figura 2.
Figura 2 – condição inicial intraoral.

Fonte: Arquivo dos autores.
O tratamento reabilitador teve início com a remoção de cárie dentária e substituição de todas as restaurações insatisfatórias. Após as trocas os arcos foram moldados com hidrocolóide irreversível (Jeltrate Plus; Dentsply, Pirassununga, SP) para confecção dos modelos de estudo em gesso (Tipo IV; PolidentaL, SP). Para o planejamento inicial foi proposto a articulação dos modelos em ASA (4000-S; Bio-Art, São Carlos, SP), dessa forma é possível transferir a relação maxilo-mandibular do paciente mimetizando os movimentos mandibulares observados clinicamente. A montagem do articulador foi realizada na altura da DVO pretendida, baseando-se no método das proporções faciais, através de medições com compasso de Willis. Para isso, foram adicionadas Lâminas de Long entre os dentes anteriores, posicionando-as uma a uma até propiciar uma altura de DVO adequada. Realizada a montagem do ASA, esse foi enviado ao laboratório para enceramento diagnóstico.
Após o recebimento do enceramento diagnóstico, o ensaio clínico foi realizado utilizando uma barreira de silicone (mock-up) levada em boca carregada com resina bisacrílica (Primma Art; FGM, SP/Brasil), o que permitiu uma visualização do planejamento. Foram realizados ajustes para obtenção do equilíbrio da oclusão e melhorar a adaptação da nova DVO. O paciente foi elucidado sobre as alterações no sistema estomatognático durante a etapa, e suas possíveis dificuldades fonéticas e mastigatórias, necessitando de tempo para adaptação do organismo. A etapa provisória se manteve por 30 dias, até o paciente relatar conforto com a DVO restabelecida.
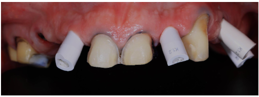
Após o fim da etapa provisória, foi iniciada a realização dos preparos. Foram realizados os preparos no arco superior, coroa total nos dentes 17 e 16, e preparos de facetas nos dentes 11, 21 e 23 (Figura 3).
Figura 3 – Preparos superiores

Fonte: Arquivo dos autores
As próteses sobre implantes das regiões dos dentes 12, 13, 14 e 15, 22, 24, 25 e 26 foram removidas através de cortes nas peças protéticas com brocas em alta rotação e utilizando um saca-prótese pneumático (Figura 4).
Figura 4 – Remoção de Próteses sobre implantes superiores com auxílio de saca-prótese pneumático.

Fonte: Arquivo dos autores
Com auxílio do fio retrator (Ultrapac, Ultradent, Utah, EUA) e Scan boddies devidamente posicionados, os preparos e os implantes foram escaneados para realização das peças cerâmicas, como ilustrado na Figura 5.
Figura 5 – Preparos e Scan Bodies posicionados para escaneamento

Fonte: Arquivo dos autores
A arcada inferior também foi escaneada para referência oclusal entre os arcos. Os documentos em formato de STG (Figura 6) foram enviados ao laboratório juntamente ao planejamento analógico realizado anteriormente.
Figura 6 – Escaneamento superior

Fonte: Arquivo dos autores
Solicitou-se então ao laboratório a confecção dos laminados cerâmicos e vonlays em dissilicato de Lítio, e as coroas totais e próteses sobre implantes em Zircônia, todos na cor A1 (Escala Vitta) com estratificação cervical na cor A2.
As peças foram provadas em boca para verificação da adaptação, após finalizar a conferência, as próteses sobre implantes das regiões correspondentes aos dentes 12 ao 15 e 22 foram cimentadas com adesivo (OptiBond FL, Kerr, Orange, Canadá, EUA) e cimento resinoso dual (Cimento Variolink Esthetic DC, Ivoclar, Barueri, SP) sobre os munhões personalizados, e na região dos dentes 24, 25 e 26 foi realizada uma prótese de 3 elementos parafusada sobre os implantes. As coroas totais dos dentes 16 e 17 seguiram mesmo protocolo de cimentação das próteses sobre implantes cimentadas e as facetas dos dentes 11, 21 e 23 foram cimentadas utilizando adesivo (OptiBond FL, Kerr, Orange, Canadá, EUA) e cimento resinoso fotopolimerizável (Cimento Variolink Esthetic LC, Ivoclar, Barueri, SP) (Figura 8).
Figura 8 – Peças superiores finalizadas

Fonte: Arquivo dos autores
Com a arcada superior finalizada, iniciamos o processo dos preparos na arcada inferior. Foi necessário a remoção da coroa metalo-cerâmica insatisfatória no dente 45. Foram feitos preparos para coroa total nos dentes 37, 35, 45 e 47, preparo para vonlay nos dentes 34, 44 e 46, e facetas nos dentes, 33, 32, 32, 41, 42 e 43. Os preparos foram escaneados e enviados ao laboratório em documento STG para confecção das peças (Figura 9).
Figura 9 – Preparos superiores

Fonte: Arquivo dos autores
Após o recebimento das peças inferiores, as coroas totais dos dentes 45 e 47, as vonlays dos dentes 34, 44 e 45, e prótese fixa de 3 elementos dos dentes 35 e 37 com pôntico correspondente ao dente 36 foram cimentadas com adesivo OptiBond FL, Kerr, Orange, Canadá, EUA) e cimento resinoso dual (Cimento Variolink Esthetic DC, Ivoclar, Barueri, SP). As facetas dos dentes, 33, 32, 32, 41, 42 e 43 foram cimentadas com adesivo (OptiBond FL, Kerr, Orange, Canadá, EUA) e cimento resinoso fotopolimerizável (Cimento Variolink Esthetic LC, Ivoclar, Barueri, SP) (Figura 10).
Figura 10 – Peças inferiores

Fonte: Arquivo dos autores
Após a instalação das peças protéticas podemos notar uma melhora na estética extra-bucal devido ao aumento da DVO (Figura 11).
Figura 11 – Condição final extraoral

Fonte: Arquivo dos autores
No resultado intra-bucal, observamos a melhora estética e uma oclusão restabelecida (Figura 12).
Figura 12 – Condição final intrabucal

Fonte: Arquivo dos autores
Paciente recebeu acompanhamento e relatou sintomatologia dolorosa na região do músculo temporal, sintomatologia essa cessada após sessões de ajustes oclusais, permitindo assim a conclusão do caso.
4. Discussão
O desgaste das estruturas dentais ocorre devido a condições fisiológicas e patológicas, a redução da superfície dentária possui limites considerados fisiológicos, sendo de aproximadamente 29 µm em molares e 15 µm em pré-molares, considerando a superfície oclusal, no entanto, fatores intrínsecos e extrínsecos podem intensificar essa perda (Loomans et al. 2017). A atrição, por exemplo, resultante do contato friccional entre os dentes, gera um desgaste fisiológico que, quando excede os padrões de normalidade pode estar associado a hábitos parafuncionais, como má oclusão ou bruxismo (Abreu, 2023; Almeida 2019).
Independente da causa, as perdas estruturais estão comumente ligadas a diminuição da DVO, no caso relatado o desgaste dentário generalizado ocasionou essa alteração. A DVO é um importante parâmetro estético-funcional da face, correspondente à distância entre dois pontos anatômicos quando os dentes estão em máxima intercuspidação (Abreu, 2023). A redução da DVO pode ter como consequência disfunções temporomandibulares (DTM), hiperatividade e dores musculares, comprometimento da fonética e estética facial, o que pode levar a uma maior carga oclusal e ao insucesso de restaurações. (Abreu,2023; Carvalho, 2022).
A análise facial para avaliar a redução da DVO pode ser realizada por meio de fotografias, medições digitais, vídeos e imagens 3D, pois com a diminuição da altura cérvico-oclusal dos dentes, pode-se observar os impactos pela morfologia extraoral (Carvalho 2022, Abreu, 2023). O restabelecimento da DVO fisiológica adequada é um grande desafio dentro da reabilitação oral, pois não há consenso na literatura sobre o método mais indicado, assim o tratamento deve ser conduzido integrando diferentes técnicas de planejamento e abordagens personalizadas para garantir um resultado funcional e estético satisfatório (Lesage, 2020).
Diante desses desafios, os avanços tecnológicos, como o fluxo digital, têm se mostrado aliado nas reabilitações orais mais complexas. No presente artigo, após o planejamento da DVO adequada, foi realizada a captura dos preparos e a posição dos implantes pelo escaneamento digital, visando o uso do sistema CAD/CAM. A utilização do fluxo digital evita as etapas de moldagem da maneira convencional, dessa forma reduz potenciais fontes de erro durante o processo, incluindo distorções do material, dificuldades na desinfecção e variações durante transporte do molde (Boucher, 2004; Sotomayor, 2021). O fluxo digital também oferece maior praticidade, precisão e estabilidade dimensional a longo prazo, tornando a abordagem eficiente e com excelentes resultados. (Sotomayor, et al. 2020; Abreu, 2023).
Em relação a escolha do material reabilitador, a reabilitação de pacientes com DVO reduzida por meio de overlays em cerâmica vítrea de dissilicato de lítio e facetas cerâmicas mostrou resultados positivos, sem fraturas do material ou disfunções temporomandibulares (Ting, 2017). Além disso, pesquisas com próteses de zircônia em pacientes geriátricos bruxistas evidenciaram uma taxa de sucesso de 100%, com pequenas complicações facilmente manejáveis, reforçando a sua alta taxa de sobrevivência (Guerreiro, 2022). Dessa forma, a determinação de uma DVO fisiológica deve ser considerada um procedimento essencial em reabilitações dentárias totais, uma vez que há fortes evidências de que o sistema estomatognático possui capacidade adaptativa a essa alteração.
5. Considerações Finais
O relato evidenciou a relevância do restabelecimento da DVO em pacientes com desgaste oclusal generalizado. O caso demonstra a sequência clínica em que foi exigida diferentes abordagens protéticas, sugerindo uma alternativa reabilitadora quando há elementos dentários com necessidades restauradoras diversas. Dessa forma, corrobora-se para visualização de casos cotidianos de redução da DVO, contribuindo para uma melhor abordagem na reabilitação oral de pacientes com desgastes dentários, restabelecendo o sistema estomatognático de forma total, devolvendo saúde, estética e qualidade de vida. Trabalhos futuros que demonstrem uma reabilitação completa em fluxo digital em casos de arcadas com comprometimento dental generalizado são altamente desejados.
Referências
Abreu, B. (2023). Tecnologia CAD/CAM no tratamento da Dimensão vertical de oclusão reduzida por desgaste dentário. Cespu.pt. http://hdl.handle.net/20.500.11816/4302;
Almeida, K. T. R. da S., Almeida, G. M. de, & Almeida Junior, J. C. de. (2019). Recuperação da Dimensão Vertical de Oclusão por Meio de Laminados Cerâmicos Minimamente Invasivos. REVISTA FAIPE, 9(2), 1-6. Recuperado de https://portal.periodicos.faipe.edu.br:443/ojs/index.php/rfaipe/article/view/148;
Boucher, C. O. (1975). Complete denture prosthodontics—The state of the art. The Journal of Prosthetic Dentistry, 34(4), 372–383. https://doi.org/10.1016/0022-3913(75)90151-1;
Carvalho, C. A .F. Correção da Dimensão Vertical de Oclusão em pacientes com desgaste dentário. Retrieved February 25, 2025, from https://repositorio.cespu.pt/bitstream/handle/20.500.11816/3918/MIMD_DISSERT_25114_Carlos%20de%20Carvalho.pdf?sequence=1;
Discacciati, J. A. C., de Souza, E. L., Costa, S. C., de Magalhães Barros, V., & Vasconcellos, W. A. (2013). Increased Vertical Dimension of Occlusion: Signs, Symptoms, Diagnosis, Treatment and Options. The Journal of Contemporary Dental Practice, 14(1), 123–128. https://doi.org/10.5005/jp-journals-10024-1284;
Guerreiro, M. de S., Silva, S. S. da, Mendonça, L. F. A., Silva, L. F. C. da, Lima, M. S. S. de, Meira, G. de F., & Lima, T. M. de. (2022). Tratamentos para a recuperação da dimensão vertical de oclusão – revisão de literatura: Treatments for the recovery of the vertical dimension of occlusion – literature review. Brazilian Journal of Development, 8(10), 65864–65876. https://doi.org/10.34117/bjdv8n10-070;
Lee, H.-J., Shim, J.-S., Moon, H.-S., & Kim, J.-E. (2021). Alteration of the Occlusal Vertical Dimension for Prosthetic Restoration Using a Target Tracking System. Applied Sciences, 11(13), 6196. https://doi.org/10.3390/app11136196;
LeSage, B. P. (2019). CAD/CAM: Applications for transitional bonding to restore occlusal vertical dimension. Journal of Esthetic and Restorative Dentistry. https://doi.org/10.1111/jerd.12554;
Loomans, B., Opdam, N., Attin, T., Bartlett, D., Edelhoff, D., Frankenberger, R., Benic, G., Ramseyer, S., Wetselaar, P., Sterenborg, B., Hickel, R., Pallesen, U., Mehta, S., Banerji, S., Lussi, A., & Wilson, N. (2017). Severe Tooth Wear: European Consensus Statement on Management Guidelines. The Journal of Adhesive Dentistry, 19(2), 111–119. https://doi.org/10.3290/j.jad.a38102;
Silva, V. M. G., Bisinella, E. A. P., Santos Neto, O. M. dos, Micharki, A. L., Pezzini, R. P., Naufel, F. S., & Klein, S. J. D. (2024). Restabelecimento da dimensão vertical de oclusão em paciente com colapso oclusal – Relato de caso clínico. Research, Society and Development, 13(12), e196131246701. https://doi.org/10.33448/rsd-v13i12.46701;
Sotomayor, P., Ordóñez, P., & Ortega, G. (2020). Accuracy of Intraoral Digital Impression Systems in Restorative Dentistry: A Review of the Literature. Odovtos – International Journal of Dental Sciences, 205–216. https://doi.org/10.15517/ijds.2020.41442;
The Glossary of Prosthodontic Terms. (2017). The Journal of Prosthetic Dentistry, 117(5), C1-e105. https://doi.org/10.1016/j.prosdent.2016.12.001.
Ting, J., Shuhui, H., Hongqiang, Y., & Lu, J. (2017). CAD/CAM Ceramic Overlays to Restore Reduced Vertical Dimension of Occlusion Resulting from Worn Dentitions: A Case History Report. The International Journal of Prosthodontics, 30(3), 238–241. https://doi.org/10.11607/ijp.5146.
1(ORCID: https://orcid.org/0009-0001-6914-1835) Universidade Estadual do Oeste do Paraná, Brasil. E-mail: sarajuliaklein@gmail.com
2(ORCID: https://orcid.org/0000-0002-5467-070X) Universidade Estadual do Oeste do Paraná, Brasil. E-mail: victor.miguell@hotmail.com
3(ORCID: https://orcid.org/0000-0002-3160-7062) Universidade Estadual do Oeste do Paraná, Brasil
4(ORCID: https://orcid.org/0009-0004-9908-0449) Universidade Estadual do Oeste do Paraná, Brasil
5(ORCID: https://orcid.org/0009-0008-1823-2228) Universidade Estadual do Oeste do Paraná, Brasil
6(ORCID: https://orcid.org/0000-0003-2430-9347) Universidade Estadual do Oeste do Paraná, Brasil
7(ORCID: https://orcid.org/0000-0003-2351-1463) Universidade Estadual do Oeste do Paraná, Brasil
8(ORCID: https://orcid.org/0000-0001-7130-5045) Universidade Estadual do Oeste do Paraná, Brasil
9(ORCID: https://orcid.org/0009-0003-9740-8597) Universidade Estadual do Oeste do Paraná, Brasil
10(ORCID: https://orcid.org/0000-0003-0486-8512) Universidade Estadual do Oeste do Paraná, Brasil. E-mail: biberes@terra.com.br
11(ORCID: https://orcid.org/0000-0002-3611-2149) Universidade Estadual do Oeste do Paraná, Brasil. E-mail: rolando.pezzini@unioeste.br
