AESTHETIC REHABILITATION OF VITAL AND NON-VITAL TEETH WITH CHROMATIC ALTERATION: CASE REPORT
REGISTRO DOI: 10.69849/revistaft/ch102025113000955
Jackeline Souza Silva1; Jackeline Cardoso dos Anjos2; Julianny Leticia de Freitas Quemel3; Karolaine Mota Gomes4; Rute Baía Valente5; Rui Neves Carneiro6; Marcella de Almeida Canto7
Resumo
A estética dental é um dos pilares fundamentais da Odontologia atual, influenciando diretamente a saúde bucal, a autoestima e o bem-estar dos pacientes. Somado a isso, dentre as alterações que comprometem a harmonia do sorriso, o escurecimento dentário – em dentes vitais e não vitais – destaca-se pela frequência e pelo impacto estético negativo. Diante a essa condição, o presente trabalho tem como objetivo relatar um caso clínico de reabilitação estética de dentes anteriores escurecidos, utilizando uma abordagem conservadora baseada na associação entre clareamento dental (interno e externo) e facetas diretas em resina composta. Essa proposta terapêutica visa atender aos princípios da odontologia minimamente invasiva, promovendo resultados estéticos previsíveis, funcionais e duradouros. A técnica utilizada foi o clareamento interno tipo “walking bleach” para dentes não vitais – que consiste na aplicação de peróxido de hidrogênio no interior da câmara pulpar – e posteriormente a confecção de facetas diretas estratificadas com resina composta. A avaliação dos resultados consistirá por meio de fotografias padronizadas, análise espectrofotométrica da cor dental e colaboração direta com paciente, verificando a satisfação estética. Os resultados deste tratamento, irão contribuir significativamente para a melhora da coloração dental, integração estética e aceitação por parte do paciente. Por conseguinte, concluirá que a associação de técnicas clareadoras e facetas diretas, atrelado ao planejamento individualizado, mostra-se eficaz aos princípios da odontologia minimante invasiva, sendo uma alternativa viável para casos em que o clareamento isolado não é suficiente.
Palavras-chave: Estética dentária, Reabilitação bucal, Clareamento bucal e Facetas dentárias.
1. INTRODUÇÃO
A estética dental representa um dos principais pilares da Odontologia moderna, sendo essencial para a saúde bucal, a autoestima e o bem-estar psicossocial dos pacientes. Dentre os desafios estéticos mais comuns, o escurecimento dentário, tanto em dentes vitais quanto não vitais, destaca-se pela frequência e impacto negativo na harmonia do sorriso. Essa condição pode estar associada a fatores como traumatismos, necrose pulpar, hemorragias internas, tratamentos endodônticos, fluorose e alterações estruturais do esmalte e da dentina (Da Silva et al., 2023).
Com o avanço das técnicas restauradoras e dos materiais dentários, diferentes abordagens vêm sendo propostas para recuperar a estética dental com previsibilidade e mínima intervenção. O clareamento dental, tanto interno quanto externo, permanece como uma das alternativas mais conservadoras e eficazes para tratar alterações cromáticas (Lucena et al., 2015). Além disso, destaca-se a possibilidade de reanatomização estética dos dentes anteriores com resina composta como forma de aliar função e estética de maneira previsível e acessível (Lucena et al., 2020).
Pois, quando os resultados não são satisfatórios ou há necessidade de correções morfológicas, as facetas diretas em resina composta tornam-se uma solução viável, com resultados clínicos duradouros (Korkut et al., 2018). Essas técnicas permitem ao cirurgião dentista individualizar o tratamento conforme o substrato dental, utilizando estratégias modernas de estratificação, opacificadores e resinas com diferentes graus de translucidez (Pereira et al., 2023). Assim, o planejamento estético deve considerar não apenas o tipo de alteração cromática, mas também a vitalidade dentária e motivação do paciente.
Portanto, este trabalho visa demonstrar um tratamento em que houve o emprego das técnicas, combinando clareamento (interno e/ou externo) com facetas diretas em resina composta ou reanatomização estética, de modo a restaurar cor, forma e harmonia do sorriso. Através de um planejamento rigoroso — contemplando diagnóstico preciso, escolha de materiais com diferentes graus de translucidez, e execução cuidadosa dos incrementos restauradores — buscando alcançar um resultado estético satisfatório, com preservação da estrutura dental e com resultados clínicos duradouros.
2. OBJETIVOS
Relatar um caso clínico de reabilitação estética de dentes anteriores escurecidos, envolvendo elementos vitais e não vitais, por meio de clareamento dental (interno e externo) e aplicação de facetas diretas em resina composta, enfatizando a abordagem conservadora, personalizada e multidisciplinar para restabelecer a harmonia do sorriso.
3. FUNDAMENTAÇÃO TEÓRICA
3.1 CLAREAMENTO DENTAL INTERNO
O clareamento interno é uma técnica indicada exclusivamente para dentes não vitais escurecidos, geralmente após necrose pulpar, hemorragias internas ou tratamento endodôntico. A técnica mais empregada é o walking bleach, que consiste na aplicação do agente clareador — normalmente peróxido de hidrogênio ou carbamida — diretamente na câmara pulpar, sendo o dente selado temporariamente até a próxima sessão. Essa abordagem é considerada eficiente e pouco agressiva quando realizada com barreira protetora adequada (Lucena et al., 2015).
Em casos de calcificação pulpar ou escurecimento severo, os efeitos clareadores podem demandar múltiplas aplicações, mas a literatura confirma resultados estéticos consistentes (Kohen et al., 2021).
Contudo, é importante ressaltar suas limitações: o risco de reabsorção cervical externa. Essa condição pode ocorrer quando peróxidos altamente concentrados atravessam a câmara pulpar e atingem tecidos periodontais. Para reduzir esse risco, recomenda-se o uso de barreiras cervicais protetoras em associação a concentrações controladas de agentes clareadores (Lopes et al., 2025).
Assim, a seleção criteriosa do caso e o acompanhamento clínico tornam-se fundamentais para garantir previsibilidade e segurança.
3.2 CLAREAMENTO DENTAL EXTERNO
O clareamento externo é uma das técnicas mais utilizadas para dentes vitais com alteração cromática, sendo bastante procurado pelos pacientes por sua eficácia e segurança. Ele baseia-se na ação de agentes oxidantes, como o peróxido de hidrogênio ou de carbamida, que removem pigmentos incorporados à estrutura dentária.
Diversos protocolos podem ser aplicados, tanto em consultório quanto supervisionados em casa, variando principalmente pela concentração do gel e tempo de aplicação. Costa e Campos (2018) relatam que concentrações mais altas, como o peróxido de hidrogênio a 25%, promovem clareamento rápido, mas aumentam o risco de sensibilidade. Já Ferreira et al. (2017) reforçam a importância de individualizar o protocolo conforme fatores como idade do paciente, grau de escurecimento e histórico de hipersensibilidade.
Comparações entre técnicas mostram que métodos caseiros supervisionados oferecem resultados semelhantes aos de consultório, embora mais lentos, com a vantagem de menor risco de sensibilidade (Martins et al., 2019).
Quanto ao uso de lasers ou luz como catalisadores, estudos recentes demonstram que não há diferença estatisticamente significativa em relação ao clareamento convencional, reforçando que a eficácia depende, sobretudo, da correta indicação clínica e do tempo de exposição ao agente clareador (Carvalho et al., 2002).
3.3 FACETAS DIRETAS EM RESINA COMPOSTA
As facetas diretas em resina composta vêm ganhando destaque na Odontologia Estética como alternativa conservadora para reabilitação de dentes escurecidos. Essas restaurações permitem modificar cor, forma e textura dental, com mínima remoção de estrutura, sendo indicadas especialmente em casos em que o clareamento não atinge os resultados desejados ou há necessidade de correção morfológica (Da Silva et al., 2023; Korkut; et al., 2018).
Mondelli et al. (2015) e Silva et al. (2021) descrevem a técnica de estratificação com diferentes resinas e opacificadores como recurso para mascarar substratos escurecidos. Estudos indicam que, com manutenção adequada, essas facetas apresentam boa durabilidade e estética estável. Lucena et al. (2020) ainda apontam que a reanatomização com resinas compostas pode ser personalizada conforme a opacidade e translucidez dos materiais, permitindo maior mimetização óptica.
O custo acessível, a possibilidade de reparo e a previsibilidade funcional tornam as facetas diretas uma excelente opção, principalmente em regiões esteticamente críticas como os dentes anteriores superiores.
4. METODOLOGIA
O presente estudo trata-se de um relato de caso clínico, realizado na Clínica Escola do Curso de Odontologia do Centro Universitário Metropolitano da Amazônia (UNIFAMAZ).
4.1 RELATO DE CASO
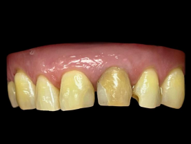
Paciente do sexo feminino, 49 anos, procurou atendimento odontológico na Clínica Escola do Curso de Odontologia do Centro Universitário Metropolitano da Amazônia (UNIFAMAZ), relatando insatisfação estética com o escurecimento dental na região anterior superior. Durante a anamnese, foi relatado que o dente 11 havia passado por tratamento endodôntico há alguns anos e, desde então, apresentava escurecimento progressivo. Também foi observada leve alteração cromática em dentes adjacentes, o que comprometia o sorriso da paciente e sua autoestima.
Ao exame clínico, constatou-se coloração acinzentada do elemento 11, integridade estrutural preservada e ausência de sintomatologia dolorosa. Radiograficamente, o dente apresentava tratamento endodôntico satisfatório e ausência de lesões periapicais.

Figura 1 – Aspecto inicial do sorriso, evidenciando o escurecimento no elemento 11.
4.2 CONDUTA
Inicialmente, foi proposto o clareamento dental combinado (interno e externo), com o objetivo de uniformizar a coloração e minimizar a diferença entre os dentes vitais e o elemento não vital.
Foi utilizado peróxido de hidrogênio a 35%, aplicado em duas sessões clínicas. O clareamento interno foi realizado pela técnica de walking bleach, com inserção do agente clareador na câmara pulpar do dente 11 e selamento provisório, permanecendo por aproximadamente sete dias entre as trocas. Uma barreira cervical protetora à base de ionômero de vidro foi confeccionada para impedir a difusão do agente clareador em direção aos tecidos periodontais, prevenindo riscos de reabsorção cervical externa.
Simultaneamente, foi realizado o clareamento externo nos dentes anteriores superiores e inferiores, utilizando o mesmo agente clareador, aplicado em duas sessões clínicas de 40 minutos cada, com intervalo semanal.

Figura 2 – Aplicação do agente clareador interno (walking bleach) no elemento 11.

Figura 3 – Clareamento dental externo em dentes anteriores com peróxido de hidrogênio a 35%.
Após o término do clareamento e estabilização da cor, iniciou-se a etapa restauradora. Foram confeccionadas facetas diretas em resina composta (Filtek Universal Restorative Easy Match – 3M, cor Natural), visando restabelecer a estética e harmonia do sorriso.
O procedimento foi realizado em três sessões clínicas:
● Na primeira, foram confeccionadas as facetas dos incisivos centrais;
● Na segunda, as dos incisivos laterais;
● E na terceira, foram realizados os ajustes oclusais, acabamento e polimento final.

Figura 4 – Remoção de restauração antiga pigmentada.

Figura 5 – Inserção da resina composta Filtek Universal Restorative Easy Match (3M).

Figura 6 – Acabamento final.

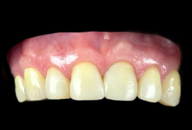
Figura 7 – Resultado final após polimento, demonstrando harmonia estética e naturalidade da cor.
A paciente relatou plena satisfação com o resultado estético e funcional obtido, expressando melhora significativa na autoconfiança e no bem-estar. O acompanhamento pós-tratamento demonstrou estabilidade de cor e boa integração entre os dentes vitais e o elemento clareado, confirmando o sucesso clínico do protocolo conservador adotado.
5. RESULTADOS E DISCUSSÕES
A alteração de cor em dentes não vitais pós-tratamento endodôntico é um dos principais motivos que levam à insatisfação, incômodo e à busca por um tratamento que devolva a harmonia do sorriso e a autoestima do paciente (MILESKI et al., 2018; SILVA et al., 2023). Um tratamento conservador e seguro escolhido foi o clareamento interno com a técnica de walking bleach associado ao clareamento externo, bem como o planejamento estético envolvendo a confecção de facetas diretas em resina composta em etapa posterior (PEREIRA et al., 2023).
A concepção inicial da técnica de walking bleach é atribuída a Spasser (1961), no qual o agente clareador é inserido na cavidade pulpar, selado e o material é mantido durante um período de 7 dias. Além de proporcionar maior segurança clínica, essa técnica, em conjunto com a confecção de barreira cervical de ionômero de vidro, é a que apresenta menor risco de induzir reabsorção cervical externa (LUCENA et al., 2015; LOPES et al., 2025; ZARENEJAD et al., 2015).
Por isso, o clareamento dental externo configura-se como uma das principais abordagens estéticas para dentes vitais com alteração cromática, sendo amplamente utilizado pela eficácia e previsibilidade (MENEZES et al., 2022; MONDELLI et al., 2015). Fundamenta-se na aplicação de agentes oxidantes, como o peróxido de hidrogênio ou de carbamida, que promovem a remoção de pigmentos da estrutura dentária. A definição do protocolo depende de fatores clínicos, como concentração do gel, tempo de aplicação e sensibilidade pré-existente, evidenciando a necessidade de individualização do tratamento para equilibrar eficiência e segurança, gerando benefícios significativos (SILVA et al., 2023).
Ademais, quando os resultados estéticos são insatisfatórios ou há necessidade de correções morfológicas, as facetas diretas em resina composta apresentam-se como alternativa restauradora conservadora (DA SILVA et al., 2023; KORKUT; YAPICI; GÜNDAY, 2018). Além de modificar a cor, permitem ajustes de forma e textura com mínima remoção de estrutura dental. A estratificação com resinas amplia o potencial de mimetização óptica, especialmente em substratos escurecidos (MARTINS et al., 2019). Com manutenção adequada, apresentam boa durabilidade, estética estável e possibilidade de reparo.
6. CONSIDERAÇÕES FINAIS
Nesse interim, conclui-se que a combinação entre técnicas de clareamento e facetas diretas tem se mostrado uma alternativa viável e eficaz para a reabilitação estética de dentes vitais e não vitais com alteração cromática, especialmente em situações em que o clareamento externo não é suficiente (PEREIRA et al., 2023; SILVA et al., 2023). A confecção de facetas diretas em resina composta, quando bem indicada, planejada e executada, mostra-se altamente eficaz por devolver ao paciente tanto a estética quanto a função (DA SILVA et al., 2023; MENEZES et al., 2022). Ressalta-se, ainda, a importância de um planejamento padronizado, da correta indicação clínica e da criteriosa escolha de materiais restauradores, de modo que os resultados sejam duradouros e compatíveis com uma odontologia minimamente invasiva (MARTINS et al., 2019).
7. REFERÊNCIAS BIBLIOGRÁFICAS
DA SILVA, F. R. D. et al. Facetas diretas em resina composta para tratamento de dentes escurecidos: revisão integrativa. Repositório Ânima Educação, 2023. Disponível em: https://repositorio.animaeducacao.com.br/handle/ANIMA/33921. Acesso em: 19 abr. 2025.
KORKUT, B.; YAPICI, Y.; GÜNDAY, M. Smile makeover with direct composite veneers: a two-year follow-up report. J Dent Res Dent Clin Dent Prospects, v. 12, n. 1, p. 75–79, 2018. Disponível em: https://www.ncbi.nlm.nih.gov/pmc/articles/PMC5865937/. Acesso em: 19 abr. 2025.
LOPES, Cíntia Mayara Medeiros Teixeira; CAVALCANTE, Caroline de Souza; ARAÚJO, Diana Ferreira Gadelha de; CALDAS, Marília Regalado Galvão Rabelo; MEDEIROS, Maria Cristina dos Santos; FERREIRA, Isana Álvares. Eficácia do cimento de ionômero de vidro modificado por resina como barreira cervical no clareamento dental interno: revisão integrativa. Revista Ciência Plural, v. 11, n. 1, p. 1-16, 2025. Disponível em: https://periodicos.ufrn.br/rcp/article/view/37528. Acesso em: 28 set. 2025.
LUCENA, M. T. L. et al. Clareamento interno em dentes desvitalizados com a técnica walking bleach. Revista Uningá, v. 24, n. 1, p. 33–39, 2015. Disponível em: https://revista.uninga.br/uningareviews/article/download/1679/1289/4838. Acesso em: 19 abr. 2025.
MARTINS, J. B. et al. Reabilitação estética de dentes escurecidos: uma revisão da literatura. Revista de Odontologia do Brasil, v. 21, n. 3, p. 217–224, 2019. Disponível em: https://doi.org/10.34119/bjhrv7n3-413. Acesso em: 21 out. 2025.
MENEZES, M. S. et al. Abordagens restauradoras minimamente invasivas em odontologia estética: clareamento dental e facetas diretas de resina composta. Journal of Clinical and Esthetic Dentistry, v. 27, n. 2, p. 105–110, 2022.
MILESKI, M. et al. Clareamento e reabilitação estética de dentes escurecidos: abordagem restauradora conservadora. Revista Odonto Atual, v. 21, n. 1, 2018.
MONDELLI, R. F. L. et al. Realização de clareamento e faceta direta de resina composta na mesma sessão. Anais de Odontologia do Unifunec, v. 2, n. 2, 2015. Disponível em: https://seer.unifunec.edu.br/index.php/AJOF/article/view/1686. Acesso em: 19 abr. 2025.
PEREIRA, G. M. C. et al. Facetas em resina composta associadas a clareamento externo de dente escurecido endodonticamente: relato de caso. Revista de Estudos Multidisciplinares UNDB, v. 3, n. 1, 2023. Disponível em: https://periodicos.undb.edu.br/index.php/rem/article/view/86. Acesso em: 19 abr. 2025.
SILVA, E. O. et al. Clareamento em dentes não vitais e facetas em resina composta: uma análise comparativa das técnicas de tratamento estético. Research, Society and Development, v. 12, n. 12, p. e90121243992, 2023. Disponível em: https://rsdjournal.org/index.php/rsd/article/download/43992/35328/462493. Acesso em: 19 abr. 2025.
SPASSER, H. F. A simple bleaching technique using sodium perborate. New York State Dental Journal, v. 27, n. 6, p. 332–334, 1961.
ZARENEJAD, N.; ASGARY, S.; RAMAZANI, N.; HAGHSHENAS, M.; RAFIEI, A.; RAMAZANI, M. Coronal microleakage of three different dental biomaterials as intra-orifice barrier during nonvital bleaching. Dental Research Journal (Isfahan), [S.l.], v. 12, n. 6, p. 581, 2015. Disponível em: https://www.ncbi.nlm.nih.gov/pmc/articles/PMC4661442/ . Acesso em: 28 set. 2025.
1Discente do Curso Superior do Centro Universitário Metropolitano da Amazônia (UNIFAMAZ). jackeline37265@famaz.com.br
2Discente do Curso Superior do Centro Universitário Metropolitano da Amazônia (UNIFAMAZ). jackeanjos08@gmail.com
3Discente do Curso Superior do Centro Universitário Metropolitano da Amazônia (UNIFAMAZ). julianny36632@famaz.com
4Discente do Curso Superior do Centro Universitário Metropolitano da Amazônia (UNIFAMAZ). karolaine37537@famaz.com
5Discente do Curso Superior do Centro Universitário Metropolitano da Amazônia (UNIFAMAZ). rutevalente.valente@hotmail.com
6Docente do Curso Superior do Centro Universitário Metropolitano da Amazônia (UNIFAMAZ). ruicarneiro@famaz.edu.br
7Docente do Curso Superior do Centro Universitário Metropolitano da Amazônia (UNIFAMAZ). marcellacanto@famaz.com.br
