REGISTRO DOI: 10.69849/revistaft/fa10202508161705
Julio César Abreu dos Santos1
Gustavo Dall’Orto Giuriato2
Drª. Thamy Yamashita Shibayama3
RESUMO
A lipomatose do apêndice cecal é uma entidade patológica rara, caracterizada pela infiltração difusa de tecido adiposo maduro na parede apendicular, geralmente sem delimitação capsular e descoberta incidentalmente em exames anatomopatológicos. Este trabalho apresenta o caso de um paciente masculino, 27 anos, previamente hígido, com dor localizada em fossa ilíaca direita e suspeita clínica de apendicite aguda. Foi submetido a apendicectomia videolaparoscópica de urgência, com evolução pós-operatória satisfatória. A análise macroscópica revelou espessamento difuso da parede e acúmulo evidente de tecido gorduroso; microscopicamente, observou-se infiltração adiposa madura sem atipias, associada a serosite fibrinoleucocitária restrita à serosa, afastando diagnóstico de lipossarcoma e configurando quadro de periapendicite. A lipomatose apendicular é de difícil diagnóstico pré-operatório, visto que os sintomas mimetizam apendicite aguda e métodos de imagem podem não diferenciar a condição de processos inflamatórios comuns. Embora casos isolados tenham sido diagnosticados previamente por tomografia ou ressonância magnética, na maioria das vezes o diagnóstico é confirmado apenas por estudo histológico. A importância clínica reside na inclusão dessa entidade no diagnóstico diferencial de síndromes apendiculares atípicas, evitando condutas inadequadas e permitindo investigação de causas secundárias de inflamação serosa. Este relato reforça a necessidade de avaliação histopatológica de rotina em todas as peças de apendicectomia, mesmo quando macroscopicamente normais, pois tais exames podem identificar condições incomuns com impacto no manejo. Profissionais de cirurgia e patologia devem estar atentos à possibilidade de lipomatose apendicular, considerando sua rara ocorrência e a relevância da correlação clínico-patológica para um diagnóstico preciso e conduta adequada.
Palavras-chave: lipomatose apendicular; apêndice cecal; apendicite; serosite fibrinoleucocitária; diagnóstico histopatológico.
ABSTRACT
Cecal appendix lipomatosis is a rare pathological entity characterized by diffuse infiltration of mature adipose tissue within the appendicular wall, typically without a capsule and often diagnosed incidentally during histopathological examination. We report the case of a 27-year-old male, previously healthy, presenting with localized right iliac fossa pain and clinical suspicion of acute appendicitis. The patient underwent urgent laparoscopic appendectomy with satisfactory postoperative recovery. Macroscopic evaluation revealed diffuse wall thickening and evident fat accumulation; microscopically, mature adipose infiltration without atypia was observed, associated with fibrinoleukocytic serositis confined to the serosa, excluding well-differentiated liposarcoma and characterizing periapendicitis. Preoperative diagnosis of appendicular lipomatosis is challenging, as symptoms mimic acute appendicitis and imaging studies may not distinguish it from common inflammatory processes. Although isolated cases have been identified using computed tomography or magnetic resonance imaging, most diagnoses are confirmed histologically. The clinical importance lies in including this condition in the differential diagnosis of atypical appendicular syndromes, thereby avoiding inappropriate management and enabling investigation of secondary causes of serosal inflammation. This case reinforces the value of routine histopathological evaluation of all appendectomy specimens, even when macroscopically normal, since such analysis may reveal uncommon conditions impacting clinical management. Surgeons and pathologists should remain aware of the possibility of appendicular lipomatosis, given its rarity and the importance of clinico-pathological correlation for accurate diagnosis and appropriate treatment.
Keywords: appendicular lipomatosis; cecal appendix; appendicitis; fibrinoleukocytic serositis; histopathological diagnosis.
Introdução
Neoplasias originadas do tecido adiposo constituem um grupo heterogêneo do ponto de vista biológico e histológico, no qual a diferenciação entre lesões benignas (lipomas) e malignas bem diferenciadas (lipossarcomas) frequentemente se mostra desafiadora (Creytens, 2020). Nos últimos anos, entretanto, avanços nas técnicas de endoscopia e de diagnóstico por imagem têm permitido a detecção e tratamento de um número crescente de lipomas gastrointestinais (Yoshimoto et al., 2019).
A patogênese dessas lesões permanece pouco compreendida, envolvendo possivelmente fatores genéticos, trauma local, alcoolismo, obesidade, doenças hepáticas e intolerância à glicose (Charifa; Azmat; Badri, 2018). Dentre as lipomatoses, destaca-se a Doença de Madelung (Lipomatose Simétrica Múltipla), na qual distúrbios do metabolismo lipídico levam ao acúmulo difuso e indolor de gordura principalmente em tronco superior, região cervical e extremidades (Guariente et al., 2019).
Por outro lado, a lipomatose intestinal – foco do presente relato – enquadra-se como uma condição clínico-patológica ainda mais rara. Trata-se de uma infiltração difusa ou multifocal de tecido adiposo maduro na parede intestinal, frequentemente com múltiplos lipomas submucosos mal delimitados e sem cápsula definida . Tipicamente, esses lipomas intestinais permanecem assintomáticos e passam despercebidos até o surgimento de complicações, tais como obstrução, intussuscepção ou vólvulo (Eyselbergs et al., 2014). A porção do trato gastrointestinal mais acometida é o intestino grosso – especialmente o ceco e cólon ascendente – ao passo que o envolvimento isolado do apêndice vermiforme é extremamente incomum (Biswas; Supryia, 2024).
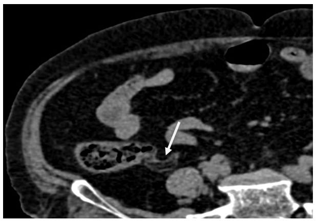
Do ponto de vista diagnóstico, métodos de imagem exercem papel central na identificação dessas lesões. A tomografia computadorizada (TC) costuma revelar massas extramucosas bem delimitadas com atenuação de gordura (entre -80 a -120 unidades Hounsfield), geralmente sem sinais inflamatórios periapendiculares (Figura 1). Da mesma forma, em ressonância magnética observa-se sinal elevado nas sequências ponderadas em T1 e T2, com supressão de sinal nas sequências com saturação de gordura, características indicativas de infiltrado adiposo difuso (Biswas; Supryia, 2024). Na colonoscopia, lipomas submucosos podem ser reconhecidos pelos sinais clássicos de “tenting” (tracionamento da lesão pela pinça formando um chapéu de bispo), “cushion” (consistência macia e deformável à pressão) e “naked fat” (extrusão de tecido gorduroso amarelo após biópsia superficial) (Taylor; Stewart; Dodds, 1990). Apesar desses avanços, o diagnóstico de lipomatose intestinal ainda é frequentemente incidental. Devido à raridade de sua apresentação e ao pequeno número de casos descritos na literatura até o momento, apresentamos o relato de um caso de lipomatose do apêndice cecal diagnosticado por exame anatomopatológico, com o objetivo de caracterizar esse evento incomum e auxiliar na identificação de suas alterações microscópicas.

Descrição do Caso
Paciente do sexo masculino, 27 anos, previamente hígido, procurou atendimento com quadro de dor abdominal em fossa ilíaca direita, sem outros achados específicos, com hipótese diagnóstica de apendicite aguda. O paciente foi submetido a apendicectomia videolaparoscópica de urgência, evoluindo sem intercorrências no pós-operatório imediato. A peça cirúrgica foi enviada para exame anatomopatológico no setor de Patologia Cirúrgica do Hospital de Base Ary Pinheiro, em Porto Velho – RO.
Achados Macroscópicos: o espécime consistia em apêndice cecal íntegro medindo 3,5 × 1,2 × 0,6 cm, revestido por serosa de aspecto congesto e com acúmulo evidente de tecido adiposo em sua parede (Figura 2). À secção, a parede mostrava espessura aumentada (cerca de 0,5 cm) e a luz apendicular encontrava-se dilatada e preenchida por material macio de coloração amarelada, sugestivo de conteúdo gorduroso.

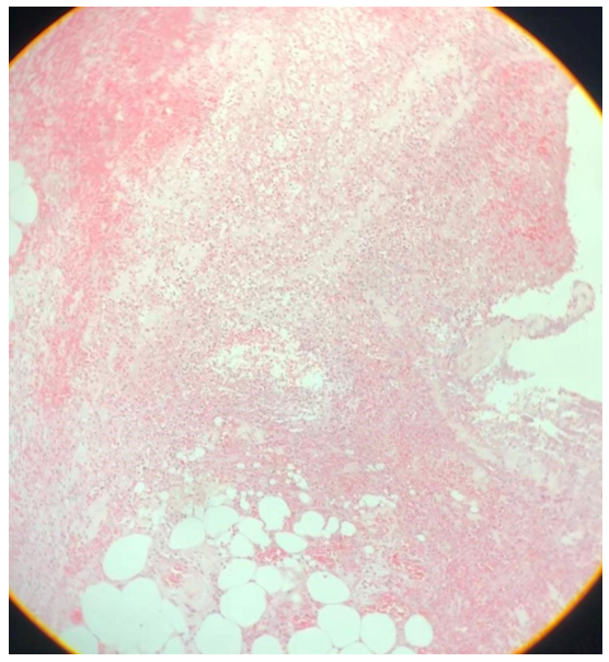
Achados Microscópicos: os cortes histológicos do apêndice revelaram extensa infiltração difusa de tecido adiposo maduro nas camadas da parede apendicular, caracterizando lipomatose (Figura 4). Os adipócitos apresentavam morfologia completamente diferenciada, sem atipias ou figuras de mitose, e estavam envolvidos por finas traves de estroma fibroso, sem formação de cápsula circunscrita. Adicionalmente, observou-se na superfície serosa um denso infiltrado inflamatório agudo neutrofílico associado a depósito fibrinoso, configurando uma serosite fibrinoleucocitária (Figura 3 e Figura 5). Importante notar que não havia comprometimento inflamatório significativo da mucosa ou submucosa – achado compatível com periapendicite ou apendicite serosa. Não se identificaram áreas de atipia celular, necrose ou padrão lobular que sugerissem transformação maligna em lipossarcoma. Com base nesses achados, concluiu-se o diagnóstico de lipomatose do apêndice cecal associada à serosite fibrinoleucocitária. Foram produzidas lâminas representativas das lesões observadas (Figura 6).

Coloração HE, aumento 40x. Fonte: autoria própria.



Discussão
Lipomas são os tumores benignos mais comuns do tecido adiposo e representam a neoplasia mesenquimal mais frequente em tecidos moles. Em geral, manifestam-se como massas subcutâneas móveis, bem delimitadas, de consistência macia e indolores, surgindo sobretudo em extremidades proximais e tronco de adultos entre a quinta e sexta décadas de vida. Histologicamente, o lipoma típico é composto por adipócitos maduros morfologicamente indistinguíveis do tecido gorduroso normal, usualmente circundados por uma delgada cápsula fibrosa. Variantes específicas incluem fibrolipoma, lipoma de células fusiformes, angiolipoma, mielolipoma, dentre outras, diferenciadas por características morfológicas e/ou genéticas peculiares (Kumar; Abbas; Aster, 2018). No exame macroscópico, lipomas apresentam superfície de corte amarelo-vivo, lobulada, reproduzindo o aspecto da gordura subcutânea . Esses achados clássicos estavam presentes no caso descrito – a peça cirúrgica exibia material amarelado e macio preenchendo a luz e espessando difusamente a parede apendicular, em concordância com a natureza adiposa da lesão.
No contexto gastrointestinal, os lipomas intramurais correspondem a lesões incomuns, geralmente assintomáticas e encontradas de forma incidental durante exames endoscópicos ou radiológicos. Estima-se que até 90% dos lipomas intestinais sejam descobertos acidentalmente, dado que apenas uma minoria provoca sintomas significativos . Quando presentes, as manifestações clínicas são inespecíficas, podendo incluir dor abdominal vaga, distensão, alteração do hábito intestinal ou náuseas. Em raras ocasiões, lipomas maiores ou múltiplos podem originar complicações agudas – por exemplo, intussuscepção, obstrução intestinal, sangramento ou perfuração (Osman et al., 2025). No cólon, existe descrição inclusive de lipomatose colônica difusa levando a volvo intestinal e quadros pseudo-obstrutivos (Khanijaun, 2022). Nesses cenários sintomáticos, está indicada a intervenção terapêutica, seja por ressecção endoscópica (quando tecnicamente viável para lesões pediculadas ou submucosas acessíveis) ou por cirurgia convencional, dependendo do tamanho, número e localização das lesões (Yoshimoto et al., 2019). Por outro lado, lipomas pequenos e assintomáticos podem ser apenas acompanhados clinicamente, dado seu comportamento benigno.
A lipomatose envolvendo especificamente o apêndice cecal permanece excepcionalmente rara, sendo relatada principalmente em forma de casos isolados. Em 2020, Sanches et al. descreveram uma paciente gestante cujo quadro simulava apendicite aguda, mas cuja investigação por ultrassonografia e ressonância magnética revelou espessamento focal da parede do apêndice, com hipersinal difuso em T1 e perda de sinal em T2 com supressão de gordura – achados compatíveis com infiltrado gorduroso difuso – sem sinais inflamatórios associados. Esse caso ilustrou a possibilidade de diagnóstico pré-operatório de lipomatose apendicular através de métodos de imagem, evitando-se uma apendicectomia desnecessária. De modo análogo, Biswas et al. (2024) relataram o caso de uma paciente de 72 anos com suspeita clínica de apendicite, na qual a TC evidenciou parede apendicular difusamente espessada por tecido de densidade gordurosa, porém sem edema periappendicular ou adenomegalias, permitindo o diagnóstico de lipomatose submucosa isolada do apêndice e manejo conservador. Em outra publicação, Chandanwale et al. (2023) chamaram atenção para a obstrução luminal do apêndice por lipomatose focal como causa extremamente rara de apendicite verdadeira, propondo que o acúmulo adiposo submucoso pode atuar como fator mecânico de obstrução do lúmen apendicular e gatilho para inflamação clássica. Mais recentemente, Osman et al. (2025) relataram um caso de lipomatose íleo-cecal difusa que mimetizou apendicite aguda complicada por abscesso, em paciente jovem com dor no quadrante inferior direito e leucocitose. Nesse caso, a laparotomia de emergência revelou infiltração gordurosa maciça na junção íleo-cecal em vez de apendicite supurada, e o exame histopatológico confirmou tratar-se de lipomatose submucosa difusa sem malignidade associada. Tais relatos enfatizam a importância de considerar condições raras como a lipomatose intestinal no diagnóstico diferencial das síndromes de abdome agudo, em particular diante de apresentações atípicas. Ademais, reforçam que mesmo métodos de imagem avançados podem não distinguir prontamente entre apendicite comum e lesões incomuns que simulam seu quadro clínico, sendo por vezes necessária a exploração cirúrgica e análise histológica para elucidação diagnóstica.
No presente caso, nenhum exame de imagem específico foi realizado antes da cirurgia, de modo que o diagnóstico de lipomatose apendicular foi estabelecido apenas pelo estudo anatomopatológico da peça. A análise histológica revelou adipócitos maduros difusos sem sinais de atipia, sustentando a natureza benigna do processo e afastando a possibilidade de um lipossarcoma bem diferenciado . Além disso, evidenciou-se o infiltrado neutrofílico restrito à serosa apendicular (serosite fibrinoleucocitária), ou seja, uma inflamação superficial que poupa a mucosa. Esse achado configura a periapendicite, condição também conhecida como apendicite serosa, na qual o apêndice sofre um processo inflamatório secundário a uma afecção extrínseca. Em grande parte dos casos, a periapendicite está associada a processos infecciosos adjacentes (por exemplo, doença inflamatória pélvica, abscessos intra-abdominais ou inflamações uroginecológicas) e sua resolução depende do tratamento da patologia de base. Clinicamente, contudo, essa inflamação serosa pode produzir sinais que mimetizam uma apendicite aguda típica, incluindo dor localizada e irritação peritoneal discreta, o que frequentemente leva à indicação de apendicectomia sob suspeita de apendicite primária. Somente o exame microscópico revelará a ausência de inflamação transmural clássica e a presença de uma causa secundária (Mukherjee et al., 2002).
A distinção entre apendicite aguda primária e periapendicite tem implicações importantes. Pranesh et al. (2006) analisaram 1379 apêndices removidos cirurgicamente e identificaram 19 casos de apendicite serosa; nessa série, a maioria dos pacientes eram mulheres, e as causas subjacentes mais comuns incluíam patologias ginecológicas (como doença inflamatória pélvica) e urinárias . Fink et al. (1990) também destacaram que a inflamação confinada à serosa do apêndice é sobretudo um achado patológico que demanda investigação de um foco infeccioso extra-appendicular, especialmente em mulheres acima de 30 anos que apresentam mau estado geral sem causa aparente . No caso em questão, considerando tratar-se de um paciente do sexo masculino e jovem, a periapendicite fibrinoleucocitária observada poderia estar relacionada a um processo infeccioso autolimitado nas imediações ou mesmo ser desencadeada pela própria lipomatose apendicular, embora essa associação seja mera hipótese. De qualquer modo, a identificação histológica da periapendicite orienta o clínico a buscar e tratar uma possível fonte inflamatória extra-appendicular, prevenindo recorrência dos sintomas.
Diversas outras condições incomuns podem simular clinicamente uma apendicite, reforçando a necessidade de exame histopatológico de todas as apêndices ressecadas. Por exemplo, a torção do apêndice cecal é evento raro que pode se apresentar com dor na fossa ilíaca direita e quadro inflamatório semelhante à apendicite. A torção apendicular pode ser primária (associada a malformações congênitas no mesoapêndice) ou secundária a lesões estruturais, dentre as quais se inclui o lipoma submucoso como potencial ponto de torção (Checkoff; Weschler; Nazarian, 2012). Mucocele apendicular, endometriose, tumores carcinoides e outras neoplasias de apêndice também integram o diagnóstico diferencial das síndromes apendiculares atípicas . Portanto, diante de qualquer quadro de “apendicite” em que os achados intraoperatórios sejam pouco usuais (por exemplo, apêndice macroscopicamente íntegro, distendido ou com aspecto tumoral), impõe-se uma avaliação patológica minuciosa. Mesmo em apendicectomias de rotina aparentemente não complicadas, o exame histopatológico pode revelar patologias subjacentes insuspeitadas – como lipomatose, tumores neuroendócrinos, tuberculose, parasitoses, dentre outras – que alteram a condução pós-operatória do paciente. De fato, embora a apendicite aguda verdadeira seja de longe a principal doença do apêndice, é importante lembrar que apenas 60–70% dos pacientes submetidos à apendicectomia por suspeita clínica realmente apresentam inflamação aguda típica ao exame microscópico. Em até 30–40% dos casos, o apêndice removido pode mostrar-se normal ou conter achados histopatológicos alternativos (hiperplasia linfóide, parasitas, tumores, apendicite crônica, ou mesmo lesões lipomatosas) capazes de explicar os sintomas do paciente (Wanberg; Kazarian, 2021). Essa realidade apoia a conduta de submeter todas as peças de apendicectomia à avaliação pelo patologista, conforme preconizado por séries clínicas e diretrizes, visando não perder diagnósticos relevantes.
Por fim, vale ressaltar que a relação entre lipomatose colônica difusa e apendicite aguda ainda não está completamente estabelecida. Embora raro, já foi descrito que a lipomatose intestinal pode se manifestar clinicamente como um quadro de apendicite aguda em decorrência de alterações estruturais e inflamatórias locais secundárias ao acúmulo de gordura submucosa (Osman et al., 2025). De maneira inversa, a própria apendicite pode ocorrer como complicação de uma lipomatose difusa – por exemplo, Dajti et al. (2020) relataram um caso de lipomatose colônica cujo primeiro indício foi um episódio de apendicite aguda, postulado como manifestação incomum da doença de base . Portanto, a coexistência de processos lipomatosos e inflamatórios no apêndice, tal como observado em nosso caso (lipomatose + serosite), reforça a complexidade diagnóstica e a necessidade de manter uma abordagem abrangente na análise dessas peças.
Conclusão
Os lipomas do trato gastrointestinal constituem achados pouco frequentes e, consequentemente, a ocorrência de lipomatose no apêndice cecal representa um evento excepcional. O presente relato descreveu um caso singular em que a infiltração adiposa difusa do apêndice foi identificada apenas após análise histopatológica, ressaltando a importância de se incluir essa entidade rara no diagnóstico diferencial de síndromes apendiculares atípicas. O exame anatomopatológico mostrou-se imprescindível para o diagnóstico definitivo, permitindo diferenciar a lipomatose de outras condições, bem como excluir a presença de malignidade (como o lipossarcoma bem diferenciado) .
Adicionalmente, a avaliação microscópica evidenciou a serosite fibrinoleucocitária superficial (periapendicite), a qual pode simular apendicite aguda e geralmente reflete processo inflamatório secundário a outra patologia de base. Este achado ilustra o valor do estudo histológico de apêndices mesmo aparentemente normais, pois fornece informações etiológicas importantes – neste caso, indicando a necessidade de investigar foco infeccioso adjacente e evitando um diagnóstico incorreto de “apendicite idiopática”. Em suma, o relato enfatiza que a correlação clínico-patológica é fundamental: somente através da análise microscópica detalhada pôde-se confirmar o diagnóstico de lipomatose apendicular e elucidar o quadro do paciente. Profissionais de Cirurgia e Patologia devem estar cientes dessas lesões raras, assegurando a realização de exame histopatológico rotineiro das peças de apendicectomia para identificar achados inusitados que impactem no manejo e seguimento do paciente. Assim, aprimora-se o discernimento entre as diversas causas de dor em fossa ilíaca direita, garantindo um tratamento direcionado e evitando intervenções desnecessárias no contexto das patologias apendiculares incomuns.
Referências
AHMAD, C.; CHAUDHARY, E. A.; BADRI, T. Lipoma pathology. In: StatPearls [Internet]. Treasure Island (FL): StatPearls Publishing, 2018. Atualizado em 5 dez. 2022. Disponível em: https://www.ncbi.nlm.nih.gov/books/NBK482343/. Acesso em: 13 jun. 2022. BISWAS, P.; SUPRIYA, M. A suspected case of acute appendicitis revealed to be isolated submucosal lipomatosis of appendix on computed tomography: a case report. International Journal of Medical Research and Review, v. 12, n. 4, p. 123–125, 2024. DOI: 10.17511/ijmrr.2024.i04.02.
CHANDANWALE, S. S. et al. A focal submucosal lipomatosis: an extremely rare cause of appendicitis. Indian Journal of Medical Specialities, v. 14, n. 1, p. 45–46, 2023. DOI: 10.4103/injms.injms_107_22.
CREYTENS, D. What’s new in adipocytic neoplasia? Virchows Archiv, v. 476, n. 1, p. 29–39, 2020. DOI: 10.1007/s00428-019-02652-3.
DAJTI, G. et al. An unusual clinical presentation of colonic lipomatosis: a case report. International Journal of Surgery Case Reports, v. 75, p. 273–275, 2020. DOI: 10.1016/j.ijscr.2020.08.036.
EYSELSBERGS, M. et al. Ileocolic intussusception due to lipomatosis of the ileum: a common complication of a rare clinical entity. JBR–BTR, v. 97, p. 36–38, 2014. Disponível em: https://www.jbsr.be/articles/10.5334/jbr-btr.3/. Acesso em: 13 jun. 2022.
FINK, A. S. et al. Periappendicitis is a significant clinical finding. American Journal of Surgery, v. 159, n. 6, p. 564–568, 1990. DOI: 10.1016/S0002-9610(06)80067-X. GUARIENTO, K. N. et al. Doença de Madelung (lipomatose simétrica múltipla): relato de caso. Medicina (Ribeirão Preto), v. 52, n. 4, p. 355–360, 2019. DOI: 10.11606/issn.2176-7262.v52i4p355-360.
HEIKEN, J. P.; FORDE, K. A.; GOLD, R. P. Computed tomography as a definitive method for diagnosing gastrointestinal lipomas. Radiology, v. 142, n. 2, p. 409–414, 1982. DOI: 10.1148/radiology.142.2.7054830.
KHAN, A. A.; KHAN, A. U.; KUPEC, J. T. Colonic lipomatosis. Clinical Gastroenterology and Hepatology, v. 19, n. 5, p. A24, 2021. DOI: 10.1016/j.cgh.2020.03.058.
KUMAR, V.; ABBAS, A. K.; ASTER, J. C. Robbins patologia básica. 10. ed. Rio de Janeiro: Elsevier, 2018. Cap. Tumores de tecidos moles, p. 181–182.
LEE, C. H. et al. Torsion of a mucocele of the vermiform appendix: a case report and review of the literature. Journal of Korean Surgical Society, v. 81, supl. 1, p. S47–S50, 2011. DOI: 10.4174/jkss.2011.81.Suppl1.S47.
MANSOOR, M. S.; BATOOL, A. Images in Clinical Medicine: intestinal lipomatosis. New England Journal of Medicine, v. 382, n. 8, p. e12, 2020. DOI: 10.1056/NEJMicm1906117.
MUKHERJEE, A. et al. Periappendicitis: is it a clinical entity? American Surgeon, v. 68, n. 10, p. 910–914, 2002. PMID: 12412725.
OSMAN, E. I. et al. Ileo-cecal lipomatosis mimicking acute appendicitis complicated with appendicular abscess: a case report. American Journal of Case Reports, v. 26, p. e946215, 2025. DOI: 10.12659/AJCR.946215.
PRANESH, N.; SATHYA, V.; MAINPRIZE, K. S. Serosal appendicitis: incidence, causes and clinical significance. Postgraduate Medical Journal, v. 82, n. 974, p. 830–832, 2006. DOI: 10.1136/pgmj.2006.045419.
SANCHES, L. P. et al. Lipomatose do apêndice cecal em paciente grávida mimetizando apendicite aguda. Einstein (São Paulo), v. 18, p. eRC5415, 2020. DOI: 10.31744/einstein_journal/2020RC5415.
SHANMUGARAJAH, I. et al. Lipomatosis of appendix in a teenager. Clinical Case Reports, v. 9, n. 7, p. e04595, 2021. DOI: 10.1002/ccr3.4595.
TAYLOR, A. J.; STEWART, E. T.; DODDS, W. J. Gastrointestinal lipomas: a radiologic and pathologic review. American Journal of Gastroenterology, v. 155, n. 6, p. 1205–1210, 1990. DOI: 10.2214/ajr.155.6.2122666.
THOMPSON, W. M. et al. Imaging characteristics of gastric lipomas in 16 adult and pediatric patients. American Journal of Gastroenterology, v. 181, n. 4, p. 981–985, 2003. DOI: 10.2214/ajr.181.4.1810981.
YOSHIMOTO, Y. et al. Novel surgical approach without bowel resection for multiple gastrointestinal lipomatosis: a case report. International Journal of Surgery Case Reports, v. 59, p. 54–57, 2019. DOI: 10.1016/j.ijscr.2019.04.034.
1Acadêmico de Medicina julioabreuu@outlook.com.br
https://orcid.org/0000-0001-8265-8751 http://lattes.cnpq.br/3423140417488911
Contribuição: conceitualização; curadoria de dados; análise de dados; pesquisa; metodologia; validação; visualização; redação – manuscrito original
Departamento de Medicina, Centro Universitário Aparício Carvalho, Porto Velho, Rondônia, Brasil
2Acadêmico de Medicina gustavogiuriato1@gmail.com
https://orcid.org/0000-0003-4130-4695 http://lattes.cnpq.br/4752714733893221
Contribuição: conceitualização; curadoria de dados; análise de dados; pesquisa; metodologia; validação; visualização; redação – manuscrito original
Departamento de Medicina, Centro Universitário Aparício Carvalho, Porto Velho, Rondônia, Brasil
3Doutora em Patologia Médica ythamy@yahoo.com.br
https://orcid.org/0000-0001-8713-8296 http://lattes.cnpq.br/2252040283211484
Contribuição: conceitualização; curadoria de dados; análise de dados; supervisão; redação – revisão e edição
Departamento de Medicina, Centro Universitário Aparício Carvalho, Porto Velho, Rondônia, Brasil
