ECTODERMAL DYSPLASIA IN CHILDREN: DENTAL IMPLICATIONS, EARLY DIAGNOSIS, AND REHABILITATION STRATEGIES
REGISTRO DOI: 10.69849/revistaft/cl10202511241140
Mycaelly Alves Garcia
Orientadora: Profª. Ma. Adrielly Katrine Tozetto Morais Muto
RESUMO: A Displasia Ectodérmica (DE) é um grupo de doenças genéticas raras que afetam o desenvolvimento de estruturas derivadas do ectoderma, como dentes, cabelos, unhas e glândulas sudoríparas, tornando necessário um diagnóstico precoce e um manejo terapêutico complexo. A ausência de suporte dentário compromete a dimensão vertical de oclusão, prejudicando funções como mastigação, fala e respiração, além de impactar a estética e o bem-estar psicossocial das crianças e de seus familiares. As manifestações clínicas apresentam grande variabilidade, exigindo compreensão detalhada de suas implicações no crescimento craniofacial e no desenvolvimento infantil. Este estudo realizou análise de conceito, etiologia, manifestações orofaciais, diagnóstico precoce e estratégias de manejo clínico da DE em crianças. A condição manifesta hipodontia, anodontia, microdontia, dentes conóides e alterações funcionais, sendo recomendadas intervenções precoces, como próteses removíveis infantis, ortodontia interceptativa e próteses mucossuportadas, integradas a acompanhamento longitudinal e abordagem multidisciplinar. O manejo individualizado busca restaurar função mastigatória, favorecer o crescimento ósseo, melhorar a estética e promover qualidade de vida, reforçando a importância da intervenção precoce e da integração entre diferentes especialidades da odontologia para um desenvolvimento orofacial harmonioso.
Palavras-chave: Displasia Ectodérmica. Odontopediatria. Manejo Multidisciplinar. Hipodontia. Reabilitação Oral.,
ABSTRACT: Ectodermal dysplasia (ED) is a group of rare genetic disorders that affect the development of structures derived from the ectoderm, such as teeth, hair, nails, and sweat glands, making early diagnosis and complex therapeutic management necessary. The absence of dental support compromises the vertical dimension of occlusion, impairing functions such as chewing, speech, and breathing, in addition to impacting the aesthetics and psychosocial well-being of children and their families. Clinical manifestations present great variability, requiring a detailed understanding of their implications for craniofacial growth and child development. This study conducted a literature review, analyzing the concept, etiology, orofacial manifestations, early diagnosis, and clinical management strategies of ED in children. The condition manifests as hypodontia, anodontia, microdontia, conical teeth, and functional alterations, and early interventions are recommended, such as removable pediatric prostheses, interceptive orthodontics, and mucosally supported prostheses, integrated with longitudinal follow-up and a multidisciplinary approach. Individualized management aims to restore masticatory function, promote bone growth, improve aesthetics, and enhance quality of life, reinforcing the importance of early intervention and integration between different dental specialties for harmonious orofacial development.
Keywords: Ectodermal Dysplasia. Pediatric Dentistry. Multidisciplinary Management. Hypodontia. Oral Rehabilitation.
1. INTRODUÇÃO
A Displasia Ectodérmica (DE) constitui um grupo heterogêneo de doenças genéticas raras que cursam com o desenvolvimento anômalo de estruturas derivadas do ectoderma, notavelmente dentes, glândulas sudoríparas, cabelos e unhas havendo uma complexidade do quadro clínico o que exige diagnóstico precoce e um manejo terapêutico complexo (ÁVILA et al., 2022).
A intervenção odontológica tem um papel importante no desenvolvimento físico e psicossocial do paciente, devido a ausência de suporte dentário que compromete a dimensão vertical de oclusão favorecendo disfunções, como a respiração bucal, gerando prejuízos que se estendem para o bem-estar emocional e a qualidade de vida da criança e de seus responsáveis (DIXIT; ROKAIA; SUBRA, 2025).
A Displasia Ectodérmica manifesta-se ainda por alterações sistêmicas e orofaciais que variam em intensidade e impacto, tornando fundamental compreender como essas anomalias afetam o desenvolvimento global da criança, principalmente nos primeiros anos de vida, quando a formação dentária e o crescimento craniofacial estão em curso (ALVES et al., 2023).
Além disso, compreender o que ocorre no organismo da criança com DE permite reconhecer a relação direta entre as alterações ectodérmicas e as dificuldades funcionais, como mastigação, fonação e respiração, que podem comprometer etapas fundamentais do desenvolvimento infantil, ampliando a necessidade de abordagens terapêuticas individualizadas (TERÊNCIO et. al., 2023).
Ao abordar este tema, o presente estudo busca aprofundar a discussão sobre as estratégias de manejo clínico e a importância da intervenção precoce, destacando como a compreensão das manifestações orofaciais e sistêmicas da DE pode direcionar condutas mais eficazes e humanizadas em odontopediatria.
Diante desse cenário, vem a pergunta central: Qual abordagem terapêutica e reabilitadora é mais viável para crianças com Displasia Ectodérmica, considerando as limitações estruturais impostas pela condição e a necessidade de garantir bem-estar funcional, estético e psicossocial ao longo do desenvolvimento?
2. OBJETIVO
O presente estudo, tem como objetivo através de uma análise bibliográfica os conceitos relacionados a Displasia Ectodérmica, com foco no diagnóstico precoce e na eficácia das abordagens de manejo clínico multidisciplinar em crianças, evidenciando suas contribuições para o desenvolvimento orofacial e a qualidade de vida.
3. METODOLOGIA
Esse estudo se fundamenta em uma Revisão de Literatura, feito de forma exploratório-descritivo, com objetivo de consolidar e sintetizar o conhecimento científico disponível sobre o diagnóstico e o manejo multidisciplinar da Displasia Ectodérmica (DE) em crianças.
Esse estudo foi realizado em etapas as quais contou com a: 1) descrever o conceito, a etiologia genética e as principais classificações da Displasia Ectodérmica; 2) identificar as manifestações orofaciais mais prevalentes e suas implicações funcionais e estéticas no desenvolvimento infantil; 3) discutir os desafios e a importância do diagnóstico precoce da Displasia Ectodérmica na prática clínica odontopediátrica; e 4) sintetizar as estratégias de manejo clínico e reabilitação odontológica em crianças com Displasia Ectodérmica, considerando o acompanhamento longitudinal.
A pesquisa é baseada em dados secundários, buscando aprofundar as discussões relativas aos conceitos, etiologia, manifestações clínicas, bem como a relevância do diagnóstico precoce e das abordagens terapêuticas na Odontopediatria. A busca e seleção dos artigos foram conduzidas em bases de dados eletrônicas de relevância na área da Saúde, especificamente a Biblioteca Virtual em Saúde (BVS/LILACS), a Scientific Electronic Library Online (SciELO), e PubMed.
Foram incluídos apenas artigos completos e de acesso livre, publicados no período de 2015 a 2025, nos idiomas Português, Inglês e Espanhol, que abordassem as manifestações e o manejo da DE em pacientes na faixa etária infantil ou adolescente. Foram excluídos resumos expandidos de congresso, teses, dissertações e quaisquer outros documentos que não representassem artigos científicos completos.
A estratégia de busca utilizou a combinação de Descritores em Ciências da Saúde (DeCS) e termos livres, com o uso do operador booleano AND para refinar a pesquisa. As palavras-chave utilizadas foram: Displasia Ectodérmica, Odontopediatria, Manejo Multidisciplinar, Hipodontia e Reabilitação Oral., Após a coleta, os artigos foram lidos na íntegra, e os dados essenciais para o cumprimento dos objetivos (conceito, manifestações orofaciais, diagnóstico e estratégias de reabilitação) foram extraídos.
A síntese das informações foi organizada em capítulos para uma análise crítica e comparativa, culminando na construção e consolidação do referencial teórico-conceitual apresentado.
4. REVISÃO DA LITERATURA
4.1 CONCEITO, ETIOLOGIA E CLASSIFICAÇÃO DA DISPLASIA ECTODÉRMICA
A displasia ectodérmica é um grupo de doenças genéticas caracterizadas por defeitos no desenvolvimento de estruturas derivadas do ectoderma, como dentes, cabelos, unhas e glândulas sudoríparas, sendo as manifestações clínicas que afetam a saúde bucal e o desenvolvimento craniofacial de crianças (MARCELIANO; LEITÃO; JESUS, 2019).
Essa condição pode ser causada por mutações em vários genes com diferentes padrões de herança: as formas mais conhecidas incluem a ectrodérmica hipohidrótica ligada ao X (mutação em EDA) e formas autossômicas dominantes/recessivas envolvendo EDAR, EDARADD e outros genes, o que influencia diretamente o aconselhamento genético oferecido às famílias (ANDRADE JÚNIOR et al., 2022).
A apresentação clínica é variável mesmo entre indivíduos com a mesma mutação, com fenótipos que vão desde alterações dentárias isoladas até síndromes multisistêmicas; em odontopediatria, essa variabilidade determina abordagens terapêuticas distintas, desde restaurações e próteses temporárias até planejamento ortodôntico e reabilitação protética precoce (APARICIO MUÑOZ; MONDRAGÓN BÁEZ; VENEGAS-LANCÓN, 2021).
A classificação da displasia ectodérmica é baseada nas estruturas ectodérmicas acometidas, porém, avanços moleculares propõem uma classificação complementar baseada em genes e vias afetadas, que é mais útil para prognóstico e terapêutica personalizada (ÁVILA et al., 2022).
O manejo odontológico em crianças com displasia ectodérmica requer planejamento antecipado e interdisciplinaridade que contam com intervenções temporárias (próteses parciais removíveis ou restaurações estéticas) podem restabelecer função e estética durante o crescimento, enquanto planos definitivos são adiados até que o desenvolvimento craniofacial se estabilize, sempre considerando impacto emocional e qualidade de vida (ALGRA et al., 2021).
4.2 PRINCIPAIS MANIFESTAÇÕES OROFACIAIS NA INFÂNCIA
A Displasia Ectodérmica (DE) na infância manifesta-se principalmente por alterações dentárias estruturais e numéricas que comprometem o desenvolvimento orofacial de forma significativa (QUEIROZ et al., 2017). Hipodontia e anodontia figuram entre as manifestações mais prevalentes, associadas a microdontia, dentes conóides e raízes curtas, fatores que resultam em déficits mastigatórios e no desenvolvimento inadequado dos arcos dentários (DIXIT; ROKAIA; SUBRA, 2025).
Essas características morfológicas alteram a dimensão vertical de oclusão e prejudicam o crescimento do terço inferior da face, sendo frequentemente acompanhadas por deficiência maxilar e retrognatismo mandibular. Em muitos casos, observa-se ainda atraso considerável na erupção dentária, impactando o planejamento terapêutico e a reabilitação precoce (FERES; TOSTES; CÂNCIO, 2018).
As crianças com DE apresentam alterações funcionais relevantes, como dificuldades mastigatórias e fonéticas decorrentes da ausência de dentes ou da morfologia coronária atípica, fazendo com que o suporte dentário prejudique a posição fisiológica da língua, favorecendo interposições linguais e distorções na fala, especialmente envolvendo fonemas labiodentais e linguodentais (ÁVILA et al., 2022).
A hipotonia facial e a redução da dimensão vertical contribuem para incompetência labial e respiração bucal, que aumentam o risco de alterações posturais e disfunções orofaciais dando características como lábios ressecados, pele fina e nariz em sela influenciando diretamente na estética e o bem-estar psicológico da criança (ALVES et al., 2023).
O diagnóstico precoce deve incluir exame clínico detalhado, análise cefalométrica, radiografias panorâmicas e, quando necessário, tomografia computadorizada de feixe cônico (TCFC) para avaliar potenciais regiões de germes dentários ausentes e alterações ósseas associadas (SCHAUTZ et al., 2019). A identificação de padrões específicos, como oligodontia severa e dentes conóides, permite planejar estratégias restauradoras e ortopédicas que visam restabelecer a função mastigatória, favorecer o desenvolvimento esquelético adequado e reduzir prejuízos na fala e estética facial (CANCIO; FAKER; TOSTES, 2019).
Entre as estratégias, os usos de próteses dentárias removíveis infantis são recomendados ainda nos primeiros anos de vida, para devolver função mastigatória e melhorar o padrão de crescimento dos maxilares (ANDRADE JÚNIOR et al., 2022). A terapia ortodôntica interceptativa é frequentemente necessária para corrigir discrepâncias transversais e ântero-posteriores, promovendo um ambiente propício para reabilitações futuras (PIRES et al., 2019).
Em casos de anodontia extensa, próteses mucossuportadas são utilizadas até que o crescimento facial esteja completo, quando então se avalia a possibilidade de implantes osseointegrados sendo a reabilitação estética, incluindo restaurações adesivas em dentes conóides, também é essencial para melhorar o aspecto psicossocial do paciente, favorecendo a interação social e o desenvolvimento emocional saudável (FERES; TOSTES; CANCIO, 2018).
4.3 DIAGNÓSTICO PRECOCE E DESAFIOS NA ODONTOPEDIATRIA
O diagnóstico precoce da Displasia Ectodérmica representa desafios clínicos na odontopediatria, uma vez que as manifestações orofaciais iniciais podem ser sutis e variar amplamente entre os subtipos da doença (GONÇALVES et al., 2016). Em muitas crianças, sinais como hipodontia severa, atraso na erupção dentária e formato atípico dos dentes decíduos constituem os primeiros indicadores clínicos, porém tais alterações podem ser erroneamente atribuídas a atrasos fisiológicos do desenvolvimento, postergando a identificação da síndrome (QUEIROZ et al., 2017).
A ausência de padrões familiares em casos esporádicos e a variabilidade fenotípica dificultam o reconhecimento imediato pelo cirurgião-dentista, especialmente em atendimentos iniciais (ALGRA et al., 2021). O diagnóstico definitivo depende da integração entre achados clínicos, exames de imagem e, quando disponível, testes genéticos para identificação de mutações nos genes EDA, EDAR ou EDARADD, frequentemente associados à forma hipohidrótica da doença (ANDRADE et al., 2022).
De acordo com Terêncio et al., (2023) a diferenciação da Displasia Ectodérmica de outras condições com anomalias dentárias semelhantes, como displasias dentárias isoladas, síndromes craniofaciais e distúrbios ectodérmicos não sindrômicos, exige uma abordagem diagnóstica precisa baseada em análise morfológica detalhada, exames radiográficos panorâmicos precoces para identificação de dentes ausentes e alterações ósseas, e, quando necessário, tomografia computadorizada das estruturas maxilomandibulares para avaliação tridimensional das anomalias.
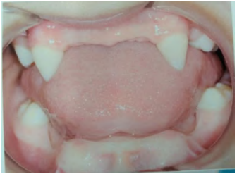
Terêncio et al., (2023) descrevem que a identificação precoce da deficiência no volume ósseo alveolar é realizada por meio de uma combinação de avaliação clínica detalhada e exames de imagem, permitindo mensurar a espessura, altura e densidade do rebordo alveolar em crianças com DE. A figura 1 demonstra algumas características dessa condição.
Figura 1 Paciente de 4 anos com ausência de dentes – Exame Clínico.

Fonte: Oliveira et al., 2024.
Figura 2 Paciente de 4 anos com uso de prótese – Exame Clínico.

Fonte: Oliveira et al., 2024.
Esse processo envolve inspeção intraoral cuidadosa para observar áreas de colapso ósseo, além da utilização de radiografias periapicais, panorâmicas e, quando necessário, tomografia computadorizada de feixe cônico (TCFC), que oferece maior precisão tridimensional (OLIVEIRA et al., 2024).
A coleta dessas informações possibilita estimar o potencial de crescimento ósseo, identificar regiões críticas para futura reabilitação protética e estabelecer um plano terapêutico individualizado, embora sua aplicação em crianças pequenas exija técnicas de contenção comportamental e protocolos de baixa radiação (OLIVEIRA et al., 2024).
4.4 MANEJO CLÍNICO E REABILITAÇÃO ODONTOLÓGICA EM CRIANÇAS
A avaliação inicial deve considerar a presença de hipodontia, anodontia, dentes conóides e alterações de esmalte, permitindo planejamento longitudinal e entre os principais manejos, destaca-se a prótese dentária removível infantil, indicada para restaurar a dimensão vertical de oclusão, permitir a mastigação adequada e favorecer o crescimento ósseo alveolar (SCHAUTZ et al., 2019).
A avaliação do volume ósseo é realizada por meio de exames de imagem, principalmente a tomografia computadorizada de feixe cônico (TCFC), que permite analisar tridimensionalmente a altura, largura e densidade do rebordo alveolar. Esse exame fornece cortes axiais, coronais e sagitais que possibilitam mensurar com precisão a espessura óssea disponível para suporte protético e ortodôntico (OLIVEIRA et. al., 2024).
Além da TCFC, radiografias panorâmicas e periapicais são utilizadas como exames complementares para acompanhar alterações estruturais ao longo do crescimento. A análise clínica é integrada, avaliando o contorno do rebordo, presença de reabsorções e estabilidade dos tecidos, permitindo estabelecer o estágio de desenvolvimento e orientar o planejamento terapêutico (ÁVILA et. al., 2022).
A ortodontia interceptativa é empregada para corrigir discrepâncias maxilomandibulares, alinhar arcos dentários e preparar o espaço para futuros dentes permanentes ou próteses definitivas com a reabilitação protética parcial com próteses mucossuportadas é também utilizada para restabelecer função e estética em crianças com ausência múltipla de dentes, permitindo ajustes periódicos conforme o crescimento (GOMES; STRELOW; ALMEIDA, 2020).
Esses manejos devem ser integrados a um acompanhamento contínuo, incluindo monitoramento radiográfico, ajustes clínicos periódicos e avaliação funcional da mastigação e da fala, além disso, a seleção da estratégia depende da idade, extensão da anomalia dentária, disponibilidade óssea e cooperação da criança, sempre buscando minimizar impactos psicossociais e promover qualidade de vida (ÁVILA et al., 2022).
A interdisciplinaridade com odontopediatria, ortodontia e prótese é importante para garantir planejamento progressivo e resultados estáveis o que também inclui o sucesso do manejo clínico, que depende da personalização do plano terapêutico, início precoce e acompanhamento longitudinal, considerando crescimento ósseo e alterações dentárias evolutivas (ORTIZ et al., 2021).
4.5 RESULTADO E DISCUSSÃO
A Tabela 1, apresenta de forma comparativa os principais objetivos, perguntas de pesquisa e resultados centrais dos estudos analisados no decorrer do artigo. A organização cronológica dos trabalhos permite observar a evolução do conhecimento científico sobre a Displasia Ectodérmica ao longo da última década, destacando avanços no diagnóstico precoce, nas manifestações orofaciais e nas estratégias multidisciplinares de manejo e reabilitação infantil.
Tabela 1 Síntese dos principais achados dos estudos sobre Displasia Ectodérmica, seus objetivos, perguntas de pesquisa e resultados centrais.
| Autores / Ano | Objetivo Principal | Pergunta da Pesquisa | Achados Relevantes | |
| Gonçalves et al., 2016 | Identificar sinais clínicos iniciais de DE. | Quais características precoces auxiliam no diagnóstico? | Hipodontia como marcador; atraso eruptivo; grande variabilidade fenotípica; necessidade de exames complementares. | |
| Queiroz et al., 2017 | Descrever manifestações orofaciais. | Como anomalias dentárias afetam o crescimento orofacial? | Redução da dimensão vertical; comprometimento da mastigação; microdontia prevalente; impacto significativo na fala. | |
| Feres; Tostes; Cancio, 2018 | Avaliar reabilitações estéticas em crianças. | A estética influencia a função e autoestima? | Melhora da aparência facial; maior interação social; maior eficiência mastigatória; abordagens minimamente invasivas. | |
| Marceliano; Leitão; Jesus, 2019 | Analisar alterações ectodérmicas bucais. | Quais estruturas são mais afetadas? | Alterações dentárias predominantes; atraso no crescimento maxilar; distúrbios em glândulas sudoríparas; importância do diagnóstico multidisciplinar. | |
| Cancio; Faker; Tostes, 2019 | Identificar padrões radiográficos. | Quais achados colaboram para o planejamento? | Ausência de germes dentários; oligodontia severa; importância da panorâmica precoce; necessidade de TCFC. | |
| Schautz et al., 2019 | Avaliar próteses infantis removíveis. | Prótese infantil favorece função e crescimento? | Restauração da dimensão vertical; estímulo ao crescimento alveolar; melhora mastigatória; boa adaptação das crianças. | |
| Aparicio Muñoz; Mondragón Báez; Venegas-Lancón, 2021 | Classificar fenótipos e condutas. | Variabilidade clínica impacta tratamento? | Fenótipos amplamente heterogêneos; necessidade de terapias individuais; impacto no planejamento; relevância da abordagem integrada. | |
| Ortiz et al., 2021 | Avaliar acompanhamento longitudinal. | O seguimento melhora o prognóstico? | Resultados estáveis; adaptação às próteses; crescimento facial melhor monitorado; menor impacto psicossocial. | |
| Andrade Júnior et al., 2022 | Relacionar genética e manifestações bucais. | Como mutações influenciam o fenótipo? | Associação entre mutações EDA/EDAR e hipodontia; impacto nas glândulas; importância do aconselhamento genético; influência no tratamento. | |
| Ávila et al., 2022 | Avaliar limitações funcionais na DE. | Como a DE afeta funções orais? | Respiração bucal recorrente; incompetência labial; prejuízo fonético; necessidade de integração fono/odonto. | |
| Gomes; Strelow; Almeida, 2020 | Avaliar próteses mucossuportadas. | Elas restabelecem função e estética? | Aumento funcional; estética facial melhorada; necessidade de ajustes periódicos; boa adaptação infantil. | |
| Terêncio et al., 2023 | Diferenciar DE de condições similares. | Como diferenciar DE de outras síndromes? | Achados radiográficos específicos; padrões morfológicos distintos; oligodontia severa como marcador; relevância da TCFC. | |
| Alves et al., 2023 | Analisar impacto psicossocial da DE. | Manifestações orofaciais afetam autoestima? | Comprometimento estético; respiração bucal frequente; impacto no convívio social; necessidade de intervenções precoces. | |
| Oliveira et al., 2024 | Avaliar volume ósseo alveolar. | Como estimar volume ósseo em crianças? | TCFC como padrão-ouro; dificuldades com crianças pequenas; rebordo alveolar reduzido; importância no planejamento protético. | |
| Dixit; Rokaia; Subra, 2025 | Examinar impacto funcional das anomalias. | Quais funções são mais afetadas pela DE? | Mastigação prejudicada; fala alterada; estética comprometida; impacto psicossocial significativo. | |
Fonte: Elaborado pela autora.
A análise dos estudos selecionados evidencia a complexidade das manifestações clínicas da Displasia Ectodérmica (DE) e a necessidade de abordagens terapêuticas individualizadas. Gonçalves et al. (2016) destacam que sinais clínicos precoces, como hipodontia e atraso na erupção dentária, podem servir como marcadores importantes para o diagnóstico precoce, embora a variabilidade fenotípica dificulte a identificação inicial.
Queiroz et al. (2017) complementam esses achados ao evidenciar que tais anomalias dentárias afetam diretamente o crescimento orofacial, prejudicando a dimensão vertical, a mastigação e a fala, sugerindo que o diagnóstico clínico deve ser integrado com exames de imagem.
Em relação à reabilitação funcional e estética, Feres, Tostes e Cancio (2018) mostram que intervenções precoces, como próteses e restaurações, melhoram significativamente a autoestima e a interação social das crianças, o que reforça a importância do manejo psicossocial associado à terapêutica odontológica.
Schautz et al. (2019) corroboram a eficácia das próteses infantis removíveis, observando estímulo ao crescimento alveolar e melhora da mastigação, demonstrando convergência com os achados de Oliveira et al. (2024), que enfatizam a avaliação tridimensional do volume ósseo com TCFC como ferramenta essencial para planejamento protético individualizado.
Quanto à heterogeneidade fenotípica e a implicação na escolha do tratamento, Aparicio Muñoz, Mondragón Báez e Venegas-Lancón (2021) ressaltam que a ampla variabilidade clínica exige terapias individualizadas e planejamento multidisciplinar, concordando com Andrade Júnior et al. (2022), que evidenciam como mutações genéticas específicas, especialmente em genes EDA e EDAR, influenciam o fenótipo odontológico e orientam o aconselhamento familiar.
Ávila et al. (2022) destacam que as alterações funcionais, como respiração bucal e incompetência labial, reforçam a necessidade de integração entre odontopediatria e fonoaudiologia, ampliando o enfoque multidisciplinar.
Ortiz et al. (2021) mostram que o monitoramento contínuo garante adaptação adequada às próteses, maior controle do crescimento facial e redução do impacto psicossocial, alinhando-se aos achados de Gomes, Strelow e Almeida (2020), que descrevem a eficácia das próteses mucossuportadas na manutenção da função mastigatória e estética durante o crescimento.
Terêncio et al. (2023) e Alves et al. (2023), enfatizam a importância da diferenciação diagnóstica entre DE e outras síndromes, bem como o impacto das alterações orofaciais na autoestima e bem-estar emocional, reforçando a necessidade de intervenção precoce e personalizada.
5. CONSIDERAÇÕES FINAIS
O presente estudo reitera que o diagnóstico precoce da Displasia Ectodérmica é fundamental para o sucesso terapêutico, embora represente um dos maiores desafios clínicos na Odontopediatria. Essa dificuldade é superada pela integração de métodos como exames clínicos detalhados e radiografias panorâmicas precoces.
As evidências comparadas demonstram que, embora a DE imponha desafios diagnósticos e terapêuticos complexos, o planejamento rigoroso, iniciado na primeira infância com reabilitações protéticas provisórias e acompanhamento ortopédico, é eficaz em mitigar o impacto funcional, estético e emocional da condição.
Portanto, recomenda-se que os profissionais de Odontopediatria estejam aptos a realizar o diagnóstico precoce e a integrar-se a equipes multidisciplinares, garantindo que o manejo do paciente com Displasia Ectodérmica promova não apenas dentes, mas também o desenvolvimento orofacial harmônico e uma melhora significativa na sua qualidade de vida.
REFERÊNCIAS BIBLIOGRÁFICAS
ALGRA, Y.; HAVERKORT, E.; KOK, W.; ETTEN-JAMALUDIN, F. V.; SCHOOT, L. V.; HOLLAAR, V.; NAUMANN, E.; SCHUEREN, M. V.; JERKOVIĆ-ĆOSIĆ, K. The Association between Malnutrition and Oral Health in Older People: A Systematic Review. Nutrients, [S. l.], v. 13, n. 10, p. 3584, 2021. DOI: 10.3390/nu13103584. Acesso em: 30 out. 2025.
ALVES, Anny Caroliny Duarte; SILVA, Donato Gabriel Gomes Araujo e; ALMEIDA, Patrícia Karine Galvão Nunes de; MENDES, Cácio Lopes. Influência da respiração bucal em relação ao desenvolvimento do crescimento craniofacial., Brazilian Journal of Surgery and Clinical Research – BJSCR, [S. l.], v. 44, n. 3, p. 103-107, set./nov. 2023. Disponível em: https://www.mastereditora.com.br/periodico/20231104_170642.pdf. Acesso em: 30 out. 2025.
ANDRADE JÚNIOR, E. L. de; RIOS, F. T. M. A.; OLIVEIRA, T. S. de; VILAS BOAS, A. de M.; CERQUEIRA, J. D. M.; PORTO, E. C. Atuação do cirurgião-dentista frente à displasia ectodérmica infantil: Uma revisão da literatura. Revista Diálogos & Ciência (D&C), [S. l.], v. 2, n. 2, p. 68-79, 2022. DOI: 10.7447/1678-0493.2022v2n2p68-79. Acesso em: 30 out. 2025.
APARICIO MUÑOZ, J. V.; MONDRAGÓN BÁEZ, T. D.; VENEGAS-LANCÓN, R. D. Rehabilitación protésica en paciente pediátrico con displasia ectodérmica. Revista de Odontopediatría Latinoamericana, [S. l.], v. 11, n. 2, p. 40-9, 2021. DOI: 10.47990/alop.v11i2.248. Acesso em: 30 out. 2025.
AVILA, Maria Luiza Marins Mendes de; SILVEIRA RODRIGUES LISBOA, Maria Eduarda; PRIETSCH WENDT, Flávia; CORRÊA, Gislene; POLINA PEREIRA DA COSTA, Vanessa. Displasia ectodérmica: relato de caso de reabilitação estético-funcional., Revista da Faculdade de Odontologia de Porto Alegre, [S. l.], v. 64, p. e125861, 2022. DOI: 10.22456/2177-0018.125861. Disponível em: https://seer.ufrgs.br/index.php/RevistadaFaculdadeOdontologia/article/view/125861. Acesso em: 4 nov. 2025.
CANCIO, Viviane; FAKER, Khawana; TOSTES, Mônica Almeida. Percepções dos pais sobre a qualidade de vida relacionada à saúde bucal de crianças e adolescentes brasileiros com transtorno do espectro do autismo. Odontologia Brasileira , São José dos Campos, Brasil, v. 4, pág. 497–505, 2019. DOI: 10.14295/bds.2019.v22i4.1814. Disponível em: https://bds.ict.unesp.br/index.php/cob/article/view/1814. Acesso em: 4 nov. 2025.
DIXIT, S.; ROKAYA, D.; SUBRA, M. N. M. Prevalência e padrões de hipodontia não sindrômica na dentição permanente da população nepalesa: um estudo radiográfico e revisão da literatura. The Open Dentistry Journal, [S. l.], v. 19, 8 maio 2025. DOI: 10.2174/0118742106391120250430093302. Disponível em: https://opendentistryjournal.,com/VOLUME/19/ELOCATOR/e18742106391120/FULLTEXT/. Acesso em: 30 out. 2025.
FÉRES, Eduarda Gallito; TOSTES, Mônica Almeida; CANCIO, Viviane. Osteogênese imperfeita: relato de caso infantil. Odontologia Brasileira , São José dos Campos, Brasil, v. 3, pág. 351–356, 2018. DOI: 10.14295/bds.2018.v21i3.1561. Disponível em: https://bds.ict.unesp.br/index.php/cob/article/view/1561. Acesso em: 4 nov. 2025.
GOMES, Glaity Viana; STRELOW, Thayná Aparecida Teixeira; ALMEIDA, Severina Alves de. Ortodontia preventiva e interceptativa e suas contribuições para um bom desenvolvimento da oclusão do paciente em fase de dentição decídua e/ou mista: um estudo teórico. Journal of Northeast Trauma (JNT), [S. l.], v. 1, n. 14, 2020. Disponível em: https://revistas.faculdadefacit.edu.br/index.php/JNT/article/view/524. Acesso em: 30 out. 2025.
GONÇALVES, Diego Felipe Mardegan; DALPASQUALE, Giovanna; DELBEM, Alberto Carlos Botazzo; DANELON, Marcelle. GradO – o28 Criança com displasia ectodérmica: diagnóstico e intervenção do odontopediatra. Relato de caso. ARCHIVES OF HEALTH INVESTIGATION, [S. l.], v. 5, 2016. Disponível em: https://www.archhealthinvestigation.com.br/ARCHI/article/view/1431. Acesso em: 4 nov. 2025.
MARCELIANO, Camila Rita Vicente; LEITÃO, Emiliana Faloni de Oliveira; JESUS, Priscila Pereira de. Displasia ectodérmica: aspectos clínicos, psicológicos e abordagem na clínica infantil. 2019. 45 f. Trabalho de Conclusão de Curso (Especialização em Odontologia) – Faculdade de Odontologia de Piracicaba, Universidade Estadual de Campinas, Piracicaba, 2019. Disponível em: https://repositorio.unicamp.br/Busca/Download?codigoArquivo=512463. Acesso em: 30 out. 2025.
ORTÍZ, L. D.; FERNÁNDEZ, V. R.; ORTÍZ BARRETO, E. S.; DU BOIS GOITIA, J. Displasia ectodérmica anidrótica. Revista de la Facultad de Odontología, Corrientes, v. 1, n. 1, p. 23-26, jul. 2021. Disponível em: https://revistas.unne.edu.ar/index.php/rfo/article/view/5140. Acesso em: 30 out. 2025.
OLIVEIRA, Daniela Silva; MIRANDA, Carina Alves de Oliveira; BERTOLDI, Anna Karolliny Costa; SANTOS, Mariana Aparecida dos; ARAÚJO JUNIOR, Reinaldo Ferreira de; NASCIMENTO NETO, Antônio Félix do; MONTE SANTO, Aline Soares. Reabilitação oral protética em paciente infantil com displasia ectodérmica: relato de caso. Research, Society and Development, v. 13, n. 2, e4213244989, 2024. Disponível em: http://dx.doi.org/10.33448/rsd-v13i2.44989. Acesso em: 11 nov. 2025.
PIRES, Flávia Silva; PAULA, Viviane Andrade Câncio; FAKER, Khawana; DI LANARO, Natália; CARVALHO, Raissa Christiane O de; TOSTES, Mônica Almeida. Condições bucais de pacientes pediátricos com síndrome de Williams-Beuren: dois relatos de casos. Odontologia Brasileira , São José dos Campos, Brasil, v. 2, pág. 281–288, 2019. DOI: 10.14295/bds.2019.v22i2.1704. Disponível em: https://bds.ict.unesp.br/index.php/cob/article/view/1704. Acesso em: 4 nov. 2025.
QUEIROZ, K. T. de; NOVAES, T. F.; IMPARATO, J. C. P.; COSTA, G. P. da; BONINI, G. C. The role of the dentist in the diagnosis of ectodermal dysplasia. RGO – Revista Gaúcha de Odontologia, [S. l.], v. 65, n. 2, p. 161–167, 2017. DOI: 10.1590/1981-863720170002000112955. Acesso em: 30 out. 2025.
SCHAUTZ, Caroline Guimarães; SILVA, Larissa Conrado da; FAKER, Khawana; TOSTES, Mônica Almeida; CANCIO, Viviane. Displasia Ectodérmica em criança: manejo multidisciplinar. Odontologia Brasileira , São José dos Campos, Brasil, v. 2, pág. 289–294, 2019. DOI: 10.14295/bds.2019.v22i2.1711. Disponível em: https://bds.ict.unesp.br/index.php/cob/article/view/1711. Acesso em: 4 nov. 2025.
TERÊNCIO, Hérica Roque; FRAGA, Rhanya Maria Silva; SOMMER, Antônio Afonso; MARANGON JUNIOR, Helvécio. Displasia ectodérmica e suas implicações na prática clínica odontológica: uma revisão de literatura. In: COMCISA – CONGRESSO MULTIDISCIPLINAR DE CIÊNCIA E SAÚDE DO UNIPAM, [2023], Patos de Minas. Anais eletrônicos… Patos de Minas: UNIPAM, 2023. v. 14. Disponível em: https://anais.unipam.edu.br/index.php/comcisa/article/view/3003. Acesso em: 30 out. 2025.
