PROGRESSIVE BIOMECHANICAL DYSFUNCTION IN POLIOMYELITIS: CASE REPORT
REGISTRO DOI: 10.69849/revistaft/cl10202512082115
Nathan Gabriell Ferreira
Coorientadora: Beatriz Regina Fernandes Rodrigues
Orientadora: Vanessa Bridi
Resumo
A poliomielite constitui uma infecção viral que pode gerar sequelas motoras permanentes, ocasionando comprometimentos funcionais significativos e alterações biomecânicas de caráter progressivo. A pesquisa desenvolvida teve como problema norteador a questão: qual é a relação que se pode estabelecer entre a disfunção biomecânica progressiva e a evolução clínica em pacientes que receberam diagnóstico de poliomielite? e teve como objetivo geral relatar o caso clínico do paciente sobrevivente da poliomielite com disfunção biomecânica progressiva. O estudo caracterizou-se como um relato de caso, de natureza qualitativa e abordagem descritiva, com análise documental e clínica de uma paciente de 51 anos, acompanhada há mais de uma década no Centro Estadual de Reabilitação e Readaptação Dr. Henrique Santillo (CRER), em Goiânia-GO. A coleta de dados foi realizada por meio de prontuário médico, exames físicos e de imagem, registros terapêuticos e entrevistas semiestruturadas, assegurando a triangulação das informações obtidas. A análise adotou procedimento comparativo e descritivo, relacionando os achados clínicos e radiográficos às evidências científicas recentes sobre a síndrome pós-pólio. Os resultados demonstraram degeneração óssea e muscular progressiva, com encurtamento de membros, deformidades estruturais, dor crônica e fadiga acentuada, resultando em instabilidade postural, limitação funcional e comprometimento da marcha. Observou-se que a disfunção biomecânica avançou paralelamente ao declínio clínico, evidenciando a sobrecarga das unidades motoras sobreviventes e a consequente deterioração da autonomia física. Constatou-se também que o tratamento farmacológico e fisioterapêutico contribuiu para o controle sintomático, embora não tenha impedido o agravamento biomecânico. Conclui-se que a disfunção biomecânica progressiva representa fator determinante da evolução clínica em indivíduos com histórico de poliomielite, configurando um processo multifatorial e cumulativo que reforça a importância do acompanhamento multiprofissional e do manejo terapêutico precoce para preservação da funcionalidade e da qualidade de vida.
Palavras-chave: Poliomielite. Disfunção biomecânica progressiva. Síndrome pós-pólio. Relato de caso. Reabilitação funcional.
1. INTRODUÇÃO
A poliomielite, uma doença viral que afeta principalmente crianças, tem sido um tema de preocupação global, especialmente em virtude de suas consequências a longo prazo. Nunes, Santos e Morena (2024) citam que com a implementação de campanhas de vacinação, muitos países conseguiram erradicar a poliomielite, mas as sequências de infecções ainda impactam a qualidade de vida de indivíduos que sobreviveram à doença. A compreensão das complicações associadas à poliomielite, como a disfunção biomecânica, é essencial para melhorar a reabilitação e o manejo clínico dos pacientes.
Do ponto de vista fisiopatológico, a poliomielite é causada pelo poliovírus, um enterovírus que invade o organismo por via fecal-oral, replica-se na orofaringe e no trato gastrointestinal e, após viremia, alcança o sistema nervoso central. O vírus liga-se ao receptor CD155 (poliovirus receptor) nas membranas neuronais e infecta preferencialmente os neurônios motores do corno anterior da medula espinal e núcleos motores bulbares, provocando inflamação e necrose neuronal (Oliveira et al., 2024).
A perda de neurônios motores alfa leva à desnervação de fibras musculares e à paralisia flácida aguda ao longo do tempo, a reinervação compensatória por brotamento colateral forma unidades motoras aumentadas e energeticamente dispendiosas. As conexões entre o córtex motor, o tronco cerebral, a medula espinhal e as vias nervosas periféricas são elementos essenciais para a execução dos movimentos voluntários e automáticos, onde a observação dessa organização auxilia a visualizar a sequência dos impulsos elétricos transmitidos pelos neurônios responsáveis pelo controle muscular – Figura 1 (Calado et al., 2020). As consequências clínicas incluem fraqueza e fadiga de instalação tardia, desequilíbrios entre agonistas e antagonistas, contraturas, deformidades, alterações da marcha e sobrecarga articular que, por sua vez, predispunham à dor, instabilidade e degeneração osteoarticular (Calado et al., 2020).
Figura 1: Representação esquemática dos neurônios motores superior e inferior e o percurso dos estímulos nervosos até a contração muscular.

Fonte: Neurologia Clínica – 8ª Ed (2014).
Para Oliveira et al. (2024), disfunção biomecânica progressiva é uma das sequelas frequentemente observadas em sobreviventes da poliomielite, manifestando-se como um comprometimento gradual da função motora e da força muscular, resultando em limitações funcionais. As manifestações pós-poliomielite, como a disfunção biomecânica progressiva, são frequentemente subestimadas, mas têm implicações significativas na vida diária dos sobreviventes. Essa condição não apenas impacta a mobilidade e a autonomia física, mas também interage com fatores emocionais e sociais que podem agravar a percepção de incapacidade e dor.
Sob essa ótica, Nunes, Santos e Moreno (2024) destacam a importância de considerar os fatores biopsicossociais na avaliação clínica, uma abordagem que reconhece a saúde como um fenômeno multidimensional. É crucial integrar estratégias de tratamento que abordem tanto as sequelas físicas quanto o bem-estar psicológico, garantindo uma abordagem mais holística e eficaz no cuidado desses indivíduos. A interação entre a disfunção biomecânica e outras condições de saúde, como a disfunção temporomandibular (DTM), enfatizada na pesquisa de Soares et al. (2022), exemplifica como complicações aparentemente distintas podem se entrelaçar.
Nesse cenário, alguns dados epidemiológicos se tornam relevantes a esta discussão. Tigani et al. (2024) relatam que existem atualmente entre 15 e 20 milhões de sobreviventes da poliomielite no mundo, sendo que de 30 a 40% deles desenvolvem a Síndrome Pós-Poliomielite, caracterizada por fraqueza muscular progressiva, dor e instabilidade articular, sobretudo em membros inferiores. Ainda segundo o estudo, as sequelas ortopédicas crônicas da poliomielite, como deformidades e degenerações articulares, são prevalentes em países que tiveram alta incidência da doença até meados do século XX, especialmente antes da vacinação em massa.
Grellmann et al. (2024) complementam que, no Brasil, cerca de 19.000 pessoas convivem com a Síndrome Pós-Poliomielite, representando aproximadamente 70% dos indivíduos que tiveram poliomielite paralítica prévia. A síndrome acomete entre 20% e 80% dos pacientes com histórico da infecção, manifestando-se após mais de 15 anos de estabilidade funcional, com sintomas como fadiga, fraqueza muscular, intolerância ao frio, dores articulares e deformidades musculoesqueléticas. Essas sequelas comprometem de modo permanente a mobilidade, a respiração e a deglutição, configurando importante problema de saúde pública.
Embora os estudos recentes tenham descrito com precisão a prevalência global e os principais sintomas da Síndrome Pós-Poliomielite, observa-se, ainda hoje, que a literatura ainda apresenta uma lacuna importante quanto à análise longitudinal e detalhada da progressão biomecânica e funcional em casos individuais com sequelas graves, como o da paciente S.M.F. Pesquisas como as de Laffont et al. (2024) e Motta et al. (2023) exploram alterações neuromusculares e abordagens terapêuticas, mas não descrevem com profundidade a deterioração estrutural óssea e articular associada às assimetrias corporais e à sobrecarga unilateral decorrente da poliomielite.
Desta maneira, o objetivo deste estudo visa documentar de forma minuciosa, a evolução clínica, radiográfica e funcional de uma paciente com sequelas avançadas e assimetrias acentuadas, permitindo correlacionar as manifestações fisiopatológicas com as alterações biomecânicas de longo prazo, algo ainda pouco investigado nos estudos de base populacional.
2. FUNDAMENTAÇÃO TEÓRICA
2.1 Panorama da poliomielite no Brasil
Entre 2012 e 2022, o Brasil apresentou expressiva redução na cobertura vacinal contra poliomielite, passando de mais de 80% para 71,04%. A região Norte apresentou o menor índice, com 62,29%, enquanto o Sul manteve valores próximos de 79,98%. Essa queda coincidiu com a pandemia de COVID-19, a reorientação dos serviços de saúde e a disseminação de desinformações. Em 2022, observou-se discreta recuperação, ultrapassando 80% em algumas regiões, porém ainda distante da meta de 95% estabelecida pela Organização Mundial da Saúde (Datore et al., 2025).
No cenário nacional, dados oficiais indicam que os casos de poliomielite diminuíram de mais de 3.000 por ano na década de 1980 para zero registros autóctones desde 1990. A vacinação sistemática infantil, promovida pelo Programa Nacional de Imunizações desde 1973, foi determinante nesse resultado. Contudo, a cobertura vacinal caiu de 98,3% em 2015 para 69,4% em 2021, recuperando-se parcialmente em 2023, com 84,5%, segundo o DATASUS, o que representa vulnerabilidade epidemiológica crescente (Silva et al., 2025).
O risco de reintrodução da poliomielite no Brasil permanece presente devido à circulação do vírus selvagem no Afeganistão e Paquistão. A Global Polio Eradication Initiative estima de 100 a 200 casos anuais em todo o mundo, exigindo vigilância contínua e cobertura vacinal acima de 95%. No território brasileiro, a queda nas imunizações compromete a imunidade coletiva, aumentando o risco de surtos, especialmente em áreas de baixa renda e acesso precário aos serviços de saúde (Silva et al., 2025).
Entre 1990 e 2020, as ações de imunização infantil refletiram diretamente na redução da mortalidade em menores de cinco anos. Nesse período, a taxa caiu de 53,7 para 13,2 óbitos por mil nascidos vivos. O impacto positivo decorreu da expansão da Atenção Básica e do fortalecimento do Programa Nacional de Imunizações, responsáveis pela ampliação do acesso gratuito a vacinas, inclusive contra poliomielite, nas unidades públicas e privadas integradas ao Sistema Único de Saúde (Rocha et al., 2025).
A análise epidemiológica do período recente reforça a urgência de restabelecer altas coberturas vacinais, priorizando campanhas públicas e ações comunitárias voltadas à conscientização. A continuidade da erradicação da poliomielite depende do engajamento intersetorial e do fortalecimento da vigilância epidemiológica. O Brasil, apesar de livre de casos desde 1990, enfrenta ameaças decorrentes da hesitação vacinal, das desigualdades regionais e da desinformação digital que comprometem os avanços obtidos nas últimas décadas (Datore et al., 2025).
2.2 Sequelas motoras da poliomielite
A poliomielite pode gerar sequelas motoras permanentes que afetam a biomecânica corporal, resultando em degeneração muscular progressiva e envelhecimento acelerado do sistema neuromuscular. Estima-se que cerca de metade dos sobreviventes manifeste fraqueza residual e alterações estruturais associadas ao desgaste de unidades motoras (Santos et al., 2025). Essa deterioração funcional provoca perda gradual de força, dor e fadiga, caracterizando a síndrome pós-pólio como condição de evolução crônica que compromete a estabilidade locomotora e a autonomia funcional (Quarleri 2023; Laffont et al. 2024).
Um estudo de 2024 identificou que 85% dos pacientes apresentam fraqueza muscular e 83% sofrem dor articular, sem indícios de origem autoimune. A degeneração tardia das unidades motoras e o envelhecimento neuromuscular explicam o agravamento clínico (Laffont et al., 2024). Outro estudo mesmo ano verificou que 70% dos indivíduos com poliomielite paralítica desenvolvem síndrome pós-pólio, e até 80% podem apresentar limitações biomecânicas após longos períodos de estabilidade funcional, com fadiga e dor mioarticular recorrentes (Grellmann et al., 2024).
Mediante ao exposto, pode-se concluir que a degeneração muscular é fator central na deterioração física progressiva, provocando limitações nas articulações e redução da capacidade de marcha (Calado et al., 2020). O envelhecimento fisiológico soma-se à falência das unidades motoras regeneradas, gerando fraqueza e atrofia. Essa deterioração acumulada, observada em análises clínicas e longitudinais, interfere diretamente na biomecânica corporal e explica o declínio motor contínuo evidenciado em diferentes populações acometidas pela poliomielite (Quarleri 2023; Laffont et al. 2024; Grellmann et al. 2024).
2.3 Impactos na saúde e qualidade de vida
As sequelas biomecânicas decorrentes da poliomielite comprometem a capacidade funcional e a qualidade de vida dos sobreviventes. Estudos mostram que o declínio motor progressivo causa limitação nas atividades diárias, dor e fadiga, mas nem sempre há correlação direta com sofrimento psicológico (Irshad et al., 2023). Mesmo com agravamento físico, muitos mantêm estabilidade emocional e esperança, fatores que favorecem a adesão terapêutica e o enfrentamento das restrições biomecânicas impostas pela doença (Shiri et al., 2023).
A resiliência emocional exerce papel relevante na reabilitação funcional. A manutenção da satisfação pessoal e da saúde mental indica que fatores psicossociais modulam o impacto clínico da disfunção neuromuscular (Shiri et al., 2023). Assim, o equilíbrio psicológico contribui para retardar o agravamento físico e reforça a importância de intervenções que integrem aspectos motores e emocionais, buscando preservar o desempenho biomecânico e a qualidade de vida dos indivíduos pós-pólio (Motta et al., 2023).
Ao avaliar 214 pacientes, Calado et al. (2020) notou melhora da dor, fadiga e fraqueza muscular após programas multidisciplinares de autogerenciamento. Houve aumento da velocidade e da distância de marcha, demonstrando reequilíbrio biomecânico. Os participantes em fisioterapia em grupo relataram melhora funcional e redução da dor. Mediante ao exposto, verificou-se que intervenções estruturadas, isto é, programas terapêuticos planejados, padronizados e conduzidos com objetivos, métodos e progressões bem definidos, podem minimizar os efeitos da degeneração neuromuscular e preservar a autonomia clínica dos pacientes pós-pólio.
2.4 Intervenções ortopédicas e neuromodulação
As intervenções biomecânicas e ortopédicas constituem recurso essencial na recuperação funcional de indivíduos com sequelas de poliomielite. Uma pesquisa constatou que entre 30% e 40% dos sobreviventes necessitam de artroplastias rotatórias de joelho, apresentando melhora de 30,08 para 78,83 pontos no AKSS e de 29,17 para 56,25 na função. Essas intervenções corrigem deformidades e reduzem o impacto das assimetrias estruturais sobre a marcha e o equilíbrio corporal (Tigani et al., 2024).
O mesmo estudo verificou manutenção da melhora funcional e ausência de falhas mecânicas após substituições articulares (Tigani et al., 2024). A restauração do alinhamento estrutural resultou em menor dor e recuperação do desempenho locomotor. Intervenções ortopédicas de correção biomecânica, quando realizadas de forma personalizada, mitigam o avanço da degeneração motora e promovem equilíbrio estrutural em indivíduos com sequelas poliomielíticas avançadas (Irshad et al., 2023).
Os tratamentos com tecnologia REAC têm culminado em uma melhora na força muscular, resistência à fadiga e coordenação motora. A neuromodulação favoreceu a reorganização funcional e reduziu a sobrecarga das unidades motoras. Assim, pode-se concluir que o controle da fadiga, obtido por estímulos neurobiológicos, mostrou-se determinante para estabilizar a evolução clínica, evitando agravamentos funcionais e prolongando a capacidade de execução motora em pacientes com síndrome pós-pólio (Motta et al. 2023).
2.5 Ação da equipe multidisciplinar
A abordagem multiprofissional é considerada elemento indispensável no tratamento da síndrome pós-pólio. Nota-se que o manejo farmacêutico contínuo reduz interações medicamentosas e melhora a funcionalidade. Já o uso controlado de múltiplos fármacos evita o agravamento de fadiga e dor muscular, contribuindo para maior adesão terapêutica e retardamento da deterioração biomecânica progressiva. Essa integração farmacêutica assegura estabilidade clínica e otimiza o desempenho físico dos pacientes (Santos et al., 2025).
Programas coordenados de reabilitação que integram fisioterapeutas, ortopedistas, fisiatras, neurologistas, pneumologistas, psiquiatras, psicólogos, farmacologista e suporte emocional permitem intervenções simultâneas sobre aspectos físicos e psicológicos. Estudos demonstram que essa integração melhora o equilíbrio, reduz a dor e prolonga a autonomia funcional. A atuação interdisciplinar fortalece o controle da disfunção biomecânica e favorece a recuperação motora de longo prazo, consolidando-se como eixo estruturante da assistência aos indivíduos com sequelas de poliomielite (Curtis et al., 2020/ Quarleri, 2023; Grellmann et al., 2024).
A articulação entre práticas fisioterapêuticas, neuromodulatórias e farmacêuticas reduz o avanço da degeneração motora e melhora o desempenho clínico (Motta et al., 2023; Laffont et al., 2024; Tigani et al., 2024). Assim, pode-se concluir que a reabilitação integrada, baseada em personalização terapêutica e monitoramento multiprofissional, constitui estratégia essencial para preservar a funcionalidade, retardar o agravamento biomecânico e assegurar qualidade de vida a pacientes com síndrome pós-pólio.
3. METODOLOGIA
O presente estudo caracteriza-se como um relato de caso, cuja finalidade é descrever e analisar de forma aprofundada a trajetória clínica de uma paciente com histórico de poliomielite e evolução para disfunção biomecânica progressiva. A participante do estudo é uma mulher de 51 anos, residente em Quirinópolis -GO, diagnosticada com poliomielite na infância, evoluindo com sequelas motoras significativas em membro inferior direito.
Este caso é considerado relevante por representar um quadro clínico complexo, com histórico prolongado de intervenções ortopédicas, uso de órteses e recorrentes limitações funcionais, sendo acompanhado há mais de uma década em um centro de referência estadual em reabilitação. Tal acompanhamento contínuo possibilita documentar de forma precisa as adaptações biomecânicas decorrentes da progressão da doença.
A coleta de dados foi realizada tendo como base a exploração de múltiplas fontes documentais e clínicas, incluindo análise de prontuário médico, registros terapêuticos, exames físicos, anotações de consultas, radiografias, escanometrias e eletroneuromiografias. O prontuário e os demais documentos clínicos utilizados no estudo foram fornecidos diretamente pela participante. Todos os dados foram organizados em planilhas e formulários padronizados para posterior sistematização.
A análise dos dados se apoiou na abordagem descritiva e comparativa, sem aplicação de métodos estatísticos, uma vez que o estudo tem natureza qualitativa. Foram descritos os achados clínicos, funcionais e radiográficos, relacionando-os à literatura científica sobre disfunção biomecânica em pacientes pós-poliomielíticos.
Quanto aos aspectos éticos, o estudo foi submetido ao Comitê de Ética em Pesquisa, respeitando as diretrizes da Resolução nº 466/2012 do Conselho Nacional de Saúde e aprovado sob o número do parecer: 7.885.038. O Termo de Consentimento Livre e Esclarecido foi devidamente lido e assinado pela participante, assegurando voluntariedade, anonimato e direito de desistência em qualquer fase do estudo.
A abordagem à participante ocorreu de forma presencial, mediante o envio, previamente, de um convite, ocasião em que foi feito o esclarecimento detalhado dos objetivos do estudo, seguido da leitura e assinatura do Termo de Consentimento Livre e Esclarecido (TCLE). A coleta de informações foi realizada em ambiente reservado, no domicílio da participante, assegurando condições adequadas de privacidade, sigilo e confidencialidade.
Os procedimentos adotados envolveram inicialmente a revisão documental do prontuário médico da participante. Foram extraídas informações referentes a dados sociodemográficos (idade, sexo, naturalidade, ocupação), histórico clínico (diagnóstico de poliomielite, evolução da doença, cirurgias realizadas, uso de órteses, tratamentos prévios), exames complementares (radiografias, escanometria, eletroneuromiografia) e evolução funcional documentada (força muscular, padrão de marcha, episódios de dor e quedas).
Em seguida, como procedimento complementar, foram realizadas entrevistas semiestruturadas com a paciente, conduzidas em local reservado. O roteiro de entrevista incluiu questões abertas voltadas para a percepção da evolução clínica, limitações nas atividades de vida diária, impacto emocional e social da doença e estratégias utilizadas para enfrentamento das dificuldades. Além disso, como parte dos procedimentos, foi aplicado um questionário breve de avaliação funcional e de qualidade de vida, elaborado pelo pesquisador.
O questionário foi composto por perguntas objetivas que abordaram a intensidade da dor, avaliada por meio de escala numérica de 0 a 10, a frequência de quedas nos últimos seis meses, o grau de fadiga percebida (leve, moderada ou intensa), o nível de autonomia nas atividades diárias (independente, com auxílio ou dependente) e a força muscular, mensurada pela Escala MRC (Medical Research Council), além da autoavaliação da qualidade de vida (ruim, regular, boa ou muito boa).
O estudo apresentou risco mínimo, sem intervenções clínicas ou modificações terapêuticas. O único risco identificado esteve relacionado à possibilidade de exposição de dados pessoais da participante, que foi reduzido mediante a adoção de medidas rigorosas de sigilo, garantia de anonimato, uso de códigos em vez do nome, armazenamento seguro das informações e sigilo absoluto. As informações coletadas foram utilizadas apenas para fins acadêmicos e científicos, e foi respeitado o direito da paciente de se retirar do estudo a qualquer momento, sem prejuízos.
Não existem benefícios diretos à participante, mas espera-se que os achados contribuam para o avanço do conhecimento científico sobre as sequelas biomecânicas da poliomielite, orientando estratégias futuras de reabilitação e manejo clínico multiprofissional.
4. RELATO DE CASO
A paciente S.M.F., do sexo feminino, 51 anos, natural e residente na cidade de Quirinópolis-GO, apresenta histórico obstétrico de três gestações, com dois partos cesáreos a termo e um aborto espontâneo no primeiro trimestre (G3P2A1). Foi diagnosticada com poliomielite aos nove meses de idade, evoluindo com sequelas motoras em membro inferior direito (MID). Durante a infância, passou por diversas cirurgias no intuito de corrigir deformidades e melhorar sua funcionalidade.
Contudo, enfrentou dificuldades no seguimento terapêutico devido à limitação de recursos especializados na cidade onde residia, sendo necessário deslocar-se para capitais em busca de atendimento adequado. Atualmente, está em acompanhamento no Centro Estadual de Reabilitação e Readaptação Dr. Henrique Santillo (CRER), em Goiânia-GO, desde 2012. Nesse mesmo ano, em consulta com ortopedista de quadril e fisiatra, relatava dor no quadril direito, dor generalizada, adinamia, quedas frequentes, humor deprimido e isolamento social.
Fazia uso de órtese de reação ao solo havia 8 anos, sem substituição, e apresentava exames radiográficos com articulação coxo-femoral esférica, com redução do espaço articular. No exame físico apresentava marcha independente, escoliose leve e sem dor a manipulação do quadril. Na ocasião, foi indicado o controle da dor com nortriptilina 25mg, encaminhamento para atendimento psicológico, solicitação de nova órtese sem compensação e realização de escanometria, visando avaliação das assimetrias do esqueleto axial.
No ano seguinte, em 2013, a paciente evoluiu com quadro clínico de artelhos em garras do 1º ao 5º pododáctilo do pé direito, associado a dor intensa no quadril e MID, além de dificuldade para locomoção e execução de atividades domésticas. Referia também incapacidade de utilizar calçados fechados com palmilhas. Diante da gravidade funcional, a mesma foi submetida a procedimento cirúrgico corretivo em 09/06/2014.
Em 2016, durante atendimento com a assistente social, a paciente relatou aumento progressivo do cansaço nos últimos meses, associado a dor na região lombar e no quadril. Informou ter interrompido, por conta própria, o uso de nortriptilina 25 mg, em razão de má adaptação ao fármaco, e referiu o uso frequente, sem prescrição médica, de analgésicos e anti-inflamatórios com o objetivo de aliviar os episódios álgicos. A paciente foi orientada quanto aos riscos do uso indiscriminado de medicamentos sem acompanhamento profissional e encaminhada para reavaliação junto ao serviço de ortopedia, visando à readequação do manejo clínico e das condutas terapêuticas pertinentes ao tratamento ortopédico.
Já em 2017, a paciente apresentou progressão do quadro com desenvolvimento de monoplegia em MID, agravada por fraqueza muscular, fadiga, piora da hipotrofia, dor em região glútea e lombar direita, e marcha consideravelmente prejudicada. Observava-se apoio inicial em antepé direito, contato tardio do calcanhar, ausência de flexão ativa de joelho e quadril na fase de balanço da marcha, pé redutível e ausência de atividade motora voluntária no membro.
Diante disso, foi orientada a iniciar atividades físicas em piscina aquecida, com baixa exigência de esforço, além do início de tratamento farmacológico da dor com Duloxetina 30 mg/dia. Em 2021, a paciente referia uso de órtese para auxílio na deambulação, porém passou a apresentar dor na região medial do pé direito ao realizar descarga de peso, mesmo sem a órtese. Ao exame físico, apresentava pé cavo, fraqueza em dorsiflexão e dor à palpação em médio pé e região talar.
Embora tenha sido indicada uma nova órtese, esta não pôde ser utilizada devido à progressão do quadro clínico. Por fim, em 2023, retornou ao ortopedista e traumatologista devido a queixas persistentes de dor no pé direito. Ao exame físico, observou-se pisada plantígrada, dorsiflexão limitada e força muscular reduzida na dorsiflexão. Foram solicitados exames complementares, incluindo radiografia e eletroneuromiografia dos membros inferiores.
Em 2024, a paciente retornou com os resultados desses exames, mantendo seguimento clínico. Em análise dos exames de imagens, foram observados na radiografia do tornozelo, pé e calcâneo esquerdo: Textura óssea reduzida; Estruturas ósseas conservadas; Superfícies e espaços articulares íntegros e diminuto entesófito calcâneo plantar (Figura 2). Radiografia do tornozelo, pé e calcâneo direito: Pé cavo; Textura óssea reduzida; Anquilose das articulações interfalangeanas proximais dos pododáctilos; Avançadas alterações degenerativas do tornozelo, médio e retropé, de aspecto sequelar e Entesófito calcâneo plantar (Figura 3).

Fonte: Prontuário médico (2024)
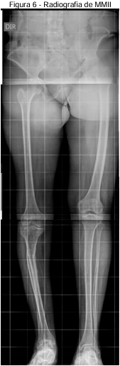
Em radiografia panorâmica de membros inferiores e escanometria apresenta os seguintes resultados: Textura óssea reduzida, notadamente a direita; Afilamento do fêmur, tíbia e fíbula a direita; Encurvamento da diáfise da tíbia direita; Avançadas alterações degenerativas do tornozelo a direita; Hipotrofia da musculatura a direita e Infradesnivelamento da asa ilíaca direita em cerca de 6 cm (Figuras 4, 5 e 6).

Fonte: Prontuário médico (2024)

Fonte: Prontuário médico (2024)
No exame de eletroneuromiografia, revelou evidência de sinais sugestivos de acometimento de neurônio motor inferior do segmento lombossacro, grave intensidade, bilateral, mais intenso à direita, crônico e sem sinais de desnervação ativa. Esse achado pode ser encontrado nas doenças do neurônio motor inferior devido a sequela de poliomielite. A paciente refere um quadro de dor crônica e generalizada, associada a fraqueza muscular difusa e fadiga exacerbada mesmo aos mínimos esforços.
Atualmente, a paciente relata episódios recorrentes de perda súbita de força nos membros inferiores, culminando em quedas frequentes. Refere que o quadro funcional vem evoluindo de forma insidiosa, com agravamento progressivo ao longo dos anos. O principal fator limitante descrito é a presença de dor crônica persistente, associada à dificuldade de adaptação aos fármacos para dor neuropática. Relata ainda humor deprimido, desânimo e perda de interesse por atividades cotidianas, compatíveis com sintomas de rebaixamento do humor secundários à dor crônica e às limitações funcionais. Encontra-se em tratamento farmacológico com Duloxetina 60 mg/dia, Paracetamol 750 mg conforme necessidade (SOS) e Tramadol 50 mg em uso eventual, além de realizar pilates de baixo impacto três vezes por semana, como parte do processo de reabilitação motora e alívio sintomático.
5. CONCLUSÃO
A análise clínica da paciente evidenciou que a disfunção biomecânica progressiva decorrente da poliomielite provocou comprometimentos estruturais e funcionais cumulativos, caracterizados por encurtamento ósseo, anquilose articular, dor crônica e fraqueza muscular acentuada. As alterações radiográficas e eletromiográficas confirmaram degeneração das unidades motoras e sobrecarga neuromuscular, resultando em instabilidade postural, fadiga e limitação crescente da marcha. Tais manifestações demonstraram a natureza contínua e degenerativa da síndrome pós-pólio, com impacto direto na autonomia funcional e na qualidade de vida.
Além disso, observou-se que as medidas terapêuticas empregadas, como uso de órteses, fisioterapia e controle farmacológico da dor, possibilitaram alívio sintomático, ainda que sem impedir a progressão das sequelas biomecânicas. Diante disso, há que se destacar que o acompanhamento multiprofissional mostrou-se uma estratégia essencial para reduzir desconfortos e favorecer o equilíbrio funcional, indicando que o manejo contínuo e integrado é determinante para preservar o desempenho motor e retardar o agravamento clínico em indivíduos com histórico de poliomielite.
REFERÊNCIAS
CALADO, A. C. L. et al. Impacto da fisioterapia na capacidade funcional e qualidade de vida de indivíduos com a síndrome pós-poliomielite. Educação, Ciência e Saúde, v. 7, n. 2, p. 98-113, 2020. Disponível em: https://scholar.archive.org/work/z4ak47st5fej5fi3jhp64yweny/access/wayback/http://p eriodicos.ces.ufcg.edu.br/periodicos/index.php/99cienciaeducacaosaude25/article/do wnload/314/pdf_103. Acesso em: 20 out. 2025.
CURTIS, A. et al. The value of a post-polio syndrome self-management programme. Journal of Thoracic Disease, v. 12, n. 2, p. 153-162, 2020. Disponível em: https://jtd.amegroups.org/article/view/44758/pdf. Acesso em: 20 out. 2025.
DATORE, L. S. et al. Análise epidemiológica da cobertura vacinal contra poliomielite nas regiões do Brasil na última década. Brazilian Journal of Health Review, v. 8, n. 1, p. 1-7, 2025. Disponível em: https://ojs.brazilianjournals.com.br/ojs/index.php/BJHR/article/view/76676. Acesso em: 26 nov. 2025.
GIL, A. C. Métodos e técnicas de pesquisa social. 6. ed. São Paulo: Atlas, 2008
GRELLMANN, B. S. et al. Síndrome pós-poliomielite: relato de caso. Brazilian Journal of Health Review, v. 7, n. 10, p. 1-10, 2024. Disponível em: https://ojs.brazilianjournals.com.br/ojs/index.php/BJHR/article/view/74853. Acesso em: 20 out. 2025.
IRSHAD, A. et al. Effects of customized biomechanical footwear on gait and balance in individuals with polio: a randomized controlled trial. Allied Medical Research Journal, v. 1, n. 2, p. 15-26, 2023. Disponível em: https://ojs.amrj.net/index.php/1/article/view/14. Acesso em: 20 out. 2025.
LAFFONT, I. et al. Post-polio syndrome is not a dysimmune condition. European Journal of Physical and Rehabilitation Medicine, v. 60, n. 2, p. 270-279, 2024. Disponível em: 20 out. 2025.
MOTTA, M. P. et al. Improving strength and fatigue resistance in post-polio syndrome individuals with REAC neurobiological treatments. Journal of Personalized Medicine, v. 13, n. 11, p. 1-16, 2023. Disponível em: https://www.mdpi.com/20754426/13/11/1536. Acesso em: 20 out. 2025.
NUNES, C.; SANTOS, A.; MORENO, M. Incidência da Disfunção Temporomandibular em Alunos de Fisioterapia do Centro Universitário Ingá e suas Possíveis Correlações com Ansiedade e Qualidade de Vida. Cuadernos de Educación e Desenvolvimento, Curitiba, v. 16, n. 10, p. 1-10, 2024. Disponível em: https://cuadernoseducacion.com/ojs/index.php/ced/article/download/5965/4277. Acesso em: 26 de mar. 2025.
OLIVEIRA, V. et al. A Disfunção Temporomandibular e a Idade Predizem a Qualidade de Vida Relacionada à Saúde Oral em Homens e Mulheres?. Revista Contexto & Saúde, Porto Alegre, v. 48, n. 1, p. 1-10, 2024. Disponível em: https://www.revistas.unijui.edu.br/index.php/contextoesaude/article/download/14485/ 7880. Acesso em: 26 de mar. 2025.
QUARLERI, J. Poliomyelitis is a current challenge: Long-term sequelae and circulating vaccine-derived poliovirus. Geroscience, v. 45, n. 2, p. 707-717, 2023. Disponível em: https://pmc.ncbi.nlm.nih.gov/articles/PMC9886775/pdf/11357_2022_Article_672.pdf. Acesso em: 20 out. 2025.
ROCHA, I. P. et al. Impacto da vacinação na mortalidade infantil: estudo ecológico de 1990-2020. Caderno Pedagógico, v. 22, n. 5, p. 1-21, 2025. Disponível em: https://ojs.studiespublicacoes.com.br/ojs/index.php/cadped/article/view/14498. Acesso em: 26 nov. 2025.
SANAR. Doença do Neurônio Motor: entenda tudo sobre o assunto. Sanar, 21 jul. 2019. Disponível em: https://sanarmed.com/doenca-do-neuronio-motor/. Acesso em: 26 nov. 2025.
SANTOS, M. L. S. dos et al. Acompanhamento farmacêutico na síndrome pós-poliomielite: contribuições para a gestão terapêutica e promoção da qualidade de vida. Aracê, v. 7, n. 8, p. 1-13, 2025. Disponível em: https://periodicos.newsciencepubl.com/arace/article/view/7565. Acesso em: 20 out. 2025.
SHIRI, S. et al. Psychological health in late effects of poliomyelitis: ten-year follow-up. Healthcare, v.11, p. 1-9, 2023. Disponível em: https://www.mdpi.com/22279032/11/24/3144. Acesso em: 20 out. 2025.
SILVA, J. S. da et al. A importância da vacinação contra a paralisia infantil: contribuições para a saúde pública e prevenção de doenças. Lumen et Virtus, v. 16, n. 49, p. 6585-6601, 2025. Disponível em: https://periodicos.newsciencepubl.com/LEV/article/view/5805. Acesso em: 26 nov. 2025.
SOARES, P. et al. Qualidade de Vida Relacionada à Disfunção do Assoalho Pélvico de Gestantes dos Sistemas Público e Privado. Revista Eletrônica Acervo Saúde, Brasília, v. 1, n. 1, p. 1-10, 2022. Disponível em: https://acervomais.com.br/index.php/saude/article/download/9785/5894. Acesso em: 27 de mar. 2025.
TIGANI, D. et al. Long-term results of third generation of rotating hinge arthroplasty in patients with poliomyelitis. Prosthesis, v. 6, n. 4, p. 853-862, 2024. Disponível em: https://www.mdpi.com/2673-1592/6/4/61. Acesso em: 20 out. 2025.
1Discente do Curso de Medicina pelo Centro Universitário de Mineiros -UNIFIMES. E-mail: nathan.ng82@academico.unifimes.edu.br
2Docente do Curso de Medicina pelo Centro Universitário de Mineiros -UNIFIMES. E-mail: beatrizregina@unifimes.edu.br
3Docente do Curso de Medicina pelo Centro Universitário de Mineiros -UNIFIMES. E-mail: vanessabridi@unifimes.edu.br
