REGISTRO DOI: 10.69849/revistaft/cl10202512161711
Itamar Sebastião Mattos Neto
Cristiane Jeremias Martins Francisco
Hélio de Oliveira Júnior
Maria Laura da Rocha Florentino
Ana Júlia Jerônimo Felisberto
Patrícia Machado Elias Ferreira
Diego Maciel Fagundes
Haryel da Silva Bressan Sorato
Jaiany Cardoso Vieira
RESUMO
Este projeto tem como objetivo geral: avaliar a coordenação da motricidade motora global de crianças com síndrome de Down (SD) utilizando a música e a expressão corporal. Os objetivos específicos foram avaliar a coordenação da motricidade motora global e avaliar a capacidade expressiva da criança com SD. Esta pesquisa é um ensaio clínico sem grupo experimental, tem a proposta de um aprofundamento teórico e prático acerca da estimulação de crianças com SD. Foram avaliadas 12 crianças com SD através da Escala de Desenvolvimento Motor (EDM), matriculadas nas APAEs de Tubarão e Capivari de Baixo/ SC com idade entre 06 e 11 anos; 7 do sexo masculino e 5 do sexo feminino. Resultados: 5 crianças mantiveram a idade da motricidade global comparando os resultados da avaliação e da reavaliação sendo que 7 crianças obtiveram melhora, com idade média da avaliação de 91.6 meses e da reavaliação de 97.3 meses. Conclui-se que a música e a expressão corporal são ferramentas dinâmicas que auxiliam no desenvolvimento motor (DM) de crianças com SD.
Palavras-chave: Música; Síndrome de Down; Escala motora.
ABSTRACT
This project has the general objective: to evaluate the overall motor coordination motor skills of children with Down syndrome (DS) using music and bodily expression. The specific objectives were to assess the gross motor coordination motor skills and evaluate the expressive ability of the child with DS. This research is a clinical trial without experimental group, has proposed a theoretical and practical about the stimulation of children with DS deepening. 12 children with Down syndrome were assessed using the Scale of Motor Development (EDM), enrolled in APAEs Tubarão end Capivari de Baixo / SC with age from 06 to 11 years; 7 males and 5 females. Results: 5 children maintained the age of global motor comparing the results of the assessment and reassessment of whom 7 children showed improvement, with a mean age of 91.6 months of evaluation and reevaluation of 97.3 months. We conclude that music and body language are dynamic tools that helps develop motor (DM) of children with DS.
Keywords: Music; Syndrome Down; Scale motor.
1. INTRODUÇÃO
O organismo humano apresenta uma organização biológica complexa, na qual o desenvolvimento motor ocorre de forma progressiva e integrada aos demais sistemas do corpo. Estudos recentes apontam que as habilidades motoras das crianças se tornam mais variadas e complexas conforme o amadurecimento do sistema nervoso e o aumento das experiências sensório-motoras (Silva et al., 2023). Ainda no período gestacional, já se observam manifestações motoras fetais que demonstram a importância do movimento como base do desenvolvimento humano (Martins & Oliveira, 2022).
As evidências científicas indicam que o ambiente e o contexto socioafetivo desempenham papel central no desenvolvimento infantil. Pesquisas contemporâneas demonstram que ambientes estimulantes favorecem ganhos motores e cognitivos, enquanto ambientes pouco enriquecidos podem retardar o desenvolvimento global (Pereira et al., 2024). Da mesma forma, o desenvolvimento motor é influenciado pela interação contínua entre fatores biológicos, emocionais e sociais, reforçando que a aquisição de habilidades motoras ocorre dentro de um processo dinâmico e multifatorial.
Estudos recentes destacam que o comportamento motor se modifica ao longo do tempo em resposta às demandas ambientais, à maturação neurológica e às experiências de aprendizagem (Rodrigues, Matos & Lima, 2023). Assim, o movimento não é apenas um ato físico, mas um comportamento intencional e significativo, determinado pela necessidade de interação com o meio.
O desenvolvimento motor (DM) ocorre a partir de experiências repetidas, tentativas e erros, e pela integração dos estímulos sensoriais provenientes da visão, audição, tato, pressão e propriocepção. A literatura atual reforça que o controle motor adequado é fundamental para que a criança explore o ambiente, construa experiências concretas e desenvolva sua capacidade cognitiva (Ferreira et al., 2022).
Diante deste contexto, surge o questionamento central deste trabalho: a música e a expressão corporal podem influenciar positivamente o desenvolvimento da motricidade global em crianças com Síndrome de Down? As abordagens terapêuticas contemporâneas indicam que intervenções lúdicas e sensório-motoras promovem maior engajamento, espontaneidade e participação ativa das crianças (Souza & Amaral, 2023).
Ao substituir práticas repetitivas e convencionais por estratégias dinâmicas e motivadoras, como música, ritmos e exploração corporal, é possível ampliar a qualidade das experiências motoras e favorecer o desenvolvimento global. Evidências recentes confirmam que a expressão corporal está diretamente relacionada à motricidade global e contribui tanto para o desempenho motor quanto para a autonomia e a qualidade de vida infantil (Lopes et al., 2025).
1.2. REVISÃO BIBLIOGRÁFICA
1.2.1 Desenvolvimento Motor
Cada criança apresenta seu padrão característico de desenvolvimento, mas deve exibir manifestações motoras esperadas para sua faixa etária. Com a evolução biológica e comportamental, observa-se o crescimento das estruturas somáticas e a ampliação das possibilidades de ação sobre o ambiente (Rafael et al., 2023).
Estudos contemporâneos reforçam que o desenvolvimento motor (DM) segue uma organização sequencial influenciada pela maturação biológica, conforme demonstrado por pesquisas recentes sobre aquisições motoras típicas e atípicas (Gallahue; Ozmun; Goodway, 2022).
Segundo Shepherd (2024), a coordenação motora resulta da aquisição progressiva de habilidades obtidas através da interação espontânea do corpo com objetos, pessoas e demandas ambientais.
O DM está presente desde a concepção, e movimentos fetais já demonstram padrões motores primitivos, adquiridos e treináveis, dependentes da organização do Sistema Nervoso Central (SNC). Estudos recentes destacam a importância dos marcos motores intrauterinos para o desenvolvimento futuro (Holle; Mendes; Castro, 2023).
De acordo com Rosa Neto (2022), o DM pode ser classificado em: motricidade fina, motricidade global, equilíbrio, esquema corporal, organização espacial, organização temporal, linguagem e lateralidade.
As características individuais das crianças determinam ritmos distintos de desenvolvimento. Algumas aprendem mais rapidamente, enquanto outras demandam maior tempo ou apresentam preferências específicas de aprendizagem motora, influenciadas por fatores biológicos, emocionais e ambientais (Stray-Gundersen; Silva; Prado, 2025).
1.2.2 Motricidade Global
O crescimento físico infantil ocorre de maneira acelerada, influenciando diretamente o desenvolvimento das habilidades motoras amplas. Pesquisas recentes classificam o desenvolvimento dos “grandes músculos” dentro do conceito de motricidade global, com foco na aquisição progressiva do controle motor (González Rodrigues; Martínez, 2024).
A habilidade motora global é definida como aquela que envolve a mobilização de grandes grupos musculares do tronco, membros superiores e inferiores, incluindo reações posturais, controle cefálico, sentar, ficar em pé, engatinhar e andar (Willrich; Azevedo; Souza, 2022).
A motricidade global compreende movimentos amplos que estimulam a afetividade, o esquema corporal e a organização espacial. Estes movimentos incluem componentes cinestésicos, táteis, labirínticos, visuais, espaciais e temporais, fundamentais para o desenvolvimento global (Rosa Neto; Carvalho, 2023).
Segundo Silva (2024), a motricidade global representa movimentos dinâmicos como correr, saltar e andar, tendo papel fundamental na melhoria do equilíbrio dinâmico, percepção corporal e integração sensorial.
A motricidade global também envolve a habilidade de controlar contrações de grandes grupos musculares para gerar movimentos amplos, constituindo-se base essencial para a participação ativa no ambiente (Gallahue; Ozmun; Goodway, 2022).
1.3 SÍNDROME DE DOWN
A Síndrome de Down (SD) foi inicialmente descrita em detalhes clínicos pelo médico inglês John Langdon Down no século XIX. Estudos contemporâneos revisitam esses achados históricos e reforçam a importância das descrições iniciais para o entendimento moderno da condição (Stray-Gundersen et al., 2023). Pesquisas recentes também destacam contribuições de diversos autores pioneiros, como Seguin, Jones e Oliver, que descreveram características faciais e estruturais relacionadas à SD (Cammarata-Scalis et al., 2024).
1.3.1 Alteração cromossômica
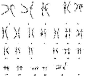
Estudos atualizados demonstram que a SD decorre, na maioria dos casos, de uma trissomia do cromossomo 21. A principal causa permanece sendo a não disjunção meiótica, que representa cerca de 95% dos casos (Marques & Lima, 2022) Figura 1. Nos demais casos, ocorrem translocações e mosaicismo, que apresentam particularidades clínicas, podendo resultar em quadros mais leves dependendo da proporção celular afetada (Marques, Silva & Araújo, 2023)Figura 2.
A literatura atual reforça que, na trissomia por translocação, parte ou todo o cromossomo 21 se liga a outro cromossomo, geralmente o 14, representando de 3 a 4% dos diagnósticos (Marques et al., 2023). Já o mosaicismo ocorre quando apenas uma parcela das células possui o cromossomo extra, gerando um fenótipo mais variável (Lopes & Martins, 2024) Figura 3.
Figura 1 – Cariótipo de cromossomos com trissomia 21 por não disjunção.

Fonte: http://dimartizando.blogspot.com.br/2012/03/dia-internacional-da-sindrome-de-down.html
Figura 2 – Cariótipo com trissomia do 21 por translocação.

Fonte: http://dimartizando.blogspot.com.br/2012/03/dia-internacional-da-sindrome-de-down.html
Figura 3 – Como ocorre o mosaicismo.

Fonte: http://dimartizando.blogspot.com.br/2012/03/dia-internacional-da-sindrome-de-down.html
1.3.2 Características da Síndrome de Down
Revisões atuais confirmam que crianças com SD apresentam um conjunto típico de características físicas, neuromusculares e sensoriais, como hipotonia, atraso motor, alterações craniofaciais e maior prevalência de alterações visuais e auditivas (Stray-Gundersen et al., 2023). Essas características influenciam diretamente o desenvolvimento global, evidenciando a necessidade de estimulação precoce.
Além disso, pesquisas recentes reforçam que o processamento cognitivo pode ocorrer em ritmo mais lento, mas o potencial de aprendizagem se mantém preservado quando a criança recebe apoio adequado (Pueschel & Carvalho, 2024).
1.3.3 Fatores da Síndrome de Down
Atualmente, sabe-se que os eventos que levam à SD ocorrem no momento da fecundação ou nas primeiras divisões celulares (Pueschel et al., 2024). Os fatores que contribuem para o aparecimento da trissomia incluem elementos intrínsecos, como predisposição genética, idade materna avançada e raros casos familiares de translocação (Osório & Fernandes, 2023), e fatores extrínsecos, como exposição à radiação, agentes químicos de efeito mutagênico e possível influência de infecções virais durante o período reprodutivo (Gibson et al., 2025).
Pesquisas recentes também investigam relações entre alterações tireoidianas maternas, níveis de imunoglobulinas e deficiência de micronutrientes, que podem atuar como facilitadores da instabilidade cromossômica, embora tais associações ainda não sejam conclusivas (Chiaradia & Gomes, 2023; Gibson et al., 2025).
A fisioterapia continua sendo uma intervenção essencial para crianças com SD, promovendo habilidades motoras mais eficientes e maior autonomia funcional (Pueschel et al., 2024).
1.4 EXPRESSÃO CORPORAL
A expressão corporal compreende todos os movimentos utilizados para manifestar sentimentos, como abraços, sorrisos e gestos espontâneos. De modo geral, pode-se afirmar que a expressão corporal corresponde ao gesto com finalidade comunicativa, estando diretamente relacionada ao desenvolvimento da motricidade global (Pires et al., 2023).
Além disso, estudos atuais destacam dimensões essenciais da expressão corporal como: o corpo se reconhece, o corpo brinca, o corpo sente, o corpo se recolhe, o corpo existe, o corpo encontra e o corpo cria e significa (Santos & Moreira, 2024).
1.4.1 O corpo se reconhece
Segundo pesquisas recentes, o esquema corporal consiste na representação que cada indivíduo possui do próprio corpo, construindo-se à medida que se desenvolve o psicomotor da criança (Levin, 2023).
Esse processo envolve a tomada de consciência do corpo como um todo, permitindo à criança nomear e identificar suas partes. Esse reconhecimento funciona como uma espécie de renascimento corporal, no qual o sujeito descobre tanto seus limites quanto suas possibilidades expressivas (Bertherat & Bernstein, 2023).
1.4.2 O corpo brinca
A expressão corporal frequentemente utiliza a dimensão do jogo, que mergulha a criança em um estado simbólico, criativo e espontâneo, fundamental para resgatar a liberdade expressiva típica da infância (Chalanguiér, 2022).
Durante as atividades, exercícios são organizados em formato lúdico, permitindo exploração do espaço e dos movimentos. Dessa forma, o jogo restaura a liberdade original do corpo e possibilita que ele se manifeste em sua própria dinâmica (Bertherat & Bernstein, 2023).
1.4.3 O corpo sente
A corporeidade constitui a forma primordial de habitar o mundo. Não vivemos apenas um corpo físico, mas uma realidade concreta que inclui sensações, emoções e dinamismos vitais que estabelecem nossa relação com o ambiente (Bertherat & Bernstein, 2023).
A primeira relação com o mundo ocorre no campo do sentir, que se traduz em emoções autênticas manifestadas por meio de movimentos e expressões que afetam as interações sociais (Pereira, 2024).
1.4.4 O corpo se recolhe
O relaxamento corresponde a um nível fundamental da expressão corporal, pois permite à pessoa reencontrar-se consigo mesma, favorecendo recolhimento, presença e disponibilidade interna. Essa prática integra corpo e mente, criando um estado de equilíbrio necessário para a consciência expressiva (Nasio, 2022).
1.4.5 O corpo existe
Nesse nível situa-se o trabalho da improvisação, que pode ocorrer individualmente, em duplas ou em grupos. A improvisação parte de temas, ritmos ou estímulos variados para permitir movimentos livres e espontâneos.
Assim, emergem conteúdos expressivos muitas vezes ocultos, ligados a sensações profundas, imaginação e sensibilidade (Nasio, 2022).
1.4.6 O corpo se encontra
O encontro com o outro faz parte do ciclo entre o espaço pessoal e o espaço externo. Esse encontro pode aproximar ou provocar recuo, afetando nossa forma de expressão.
Na expressão corporal, a relação com o outro abre possibilidades de criação conjunta, ao mesmo tempo em que demanda delimitação do próprio espaço (Bertherat & Bernstein, 2024).
1.4.7 O corpo cria e significa
Inserida em um espaço rítmico, a expressão corporal possibilita a criação de formas expressivas que carregam significado próprio.
A criatividade representa a capacidade do corpo de produzir movimentos simbólicos que comunicam e afirmam a presença do sujeito no mundo (Bertherat & Bernstein, 2024).
Quando o corpo se cria e se reconhece, estabelece-se uma linguagem corporal, por meio da qual a pessoa comunica sensações, emoções e sentidos (Chalanguiér, 2023; Nasio, 2022).
1.5 MÚSICA
O uso da música como recurso terapêutico e educativo tem demonstrado grande eficácia, especialmente com crianças em idade escolar inicial. No Brasil, a legislação que reforça a presença da música no ambiente escolar permanece atualizada e reafirmada por diretrizes contemporâneas da Associação Brasileira de Educação Musical (ABEM, 2023).
O conceito predominante de música na cultura ocidental ainda se baseia em práticas tradicionais, notações, registros sonoros e valores estéticos específicos, influenciando a forma como a música é compreendida e utilizada em diferentes contextos (Ruud, 2024).
A música se manifesta de diversas maneiras na vida cotidiana, e seu uso terapêutico no campo do movimento e da expressão corporal envolve aspectos como relaxamento, esquema corporal, percepção espacial, autoimagem, integração corporal, comunicação não verbal, ritmo e interação social (Silva & Campos, 2022).
Nas interações musicais, as crianças cantam, criam rimas, exploram sons, produzem movimentos e desenvolvem imaginação, ampliando sua capacidade expressiva e organizando-se no espaço (McClellan, 2023). A música pode atuar como estímulo motor, recurso de improvisação e ferramenta de aprendizagem sensório-perceptiva, favorecendo experiências relacionadas ao tempo, à dinâmica e à forma (Costa-Giomi, 2025).
1.5.1 A música na Síndrome de Down e sua classificação
Embora o trabalho de musicoterapeutas com crianças com Síndrome de Down tenha crescido no Brasil, ainda há escassez de publicações recentes sobre o tema. Pesquisas atuais destacam a importância da linguagem musical no desenvolvimento psicomotor e cognitivo, especialmente na ampliação de repertórios expressivos e perceptivos (Lopes, 2023).
Estudos recentes também investigam intervenções que utilizam objetos sonoros, exploração de timbres e atividades musicais lúdicas como estratégias de estimulação sensório-motora em crianças com Síndrome de Down (Uricoechea, 2024).
Lopes (2023) atualiza a classificação dos níveis de desenvolvimento em crianças com Síndrome de Down envolvendo três categorias: leve, moderado e severo.
- Crianças com quadro leve apresentam bom potencial escolar, podendo concluir o ensino fundamental em escolas inclusivas.
- Crianças com quadro moderado geralmente aprendem leitura e escrita, alcançando níveis intermediários de escolarização.
- Crianças com quadro severo apresentam maiores limitações no processo formal de ensino, mas podem desenvolver habilidades práticas, comunicação funcional e participar de atividades laborais simples com suporte adequado.
1.6 OBJETIVOS
1.6.1 GERAL
Avaliar a motricidade motora global de crianças com SD utilizando a música e a expressão corporal.
1.6.2 ESPECÍFICOS
- Avaliar a coordenação da motricidade motora global.
- Avaliar a capacidade expressiva da criança com SD.
2. MÉTODOS E TÉCNICAS
O delineamento da pesquisa, segundo Gil (1995, p. 35), “[…] refere-se ao planejamento da pesquisa em sua dimensão mais ampla, envolvendo tanto a sua diagramação quanto à previsão de análise e interpretação dos dados.”
2.1 TIPOS DE ESTUDO
Ensaio Clínico sem Grupo Experimental.
2.2 LOCAL DE ESTUDO
APAE de Capivari de Baixo – Avenida General Mendonça Lima, Nº 399 – Centro
CEP: 88.745-000 – Capivari de Baixo – Telefone (48) 3623-0130.
APAE de Tubarão – Rua Lauro Muller, 3171 – Bairro: Passagem CEP: 88705-101 – Tubarão/SC – Telefone (48) 3626-8712.
2.3 SUJEITOS DA PESQUISA
Foram selecionados os indivíduos matriculados em APAE’s, que necessitavam de tratamento fisioterapêutico e cujos familiares assinaram o Termo de Consentimento Livre e Esclarecido (TCLE), tendo uma população de 12 crianças e a amostra foi composta pela população total sem perda amostral.
Foram incluídos indivíduos de seis a onze anos de idade cronológica com diagnóstico médico de SD, independentemente da classificação.
Foram excluídos os indivíduos que faltaram uma sessão.
2.4 COLETA DE DADOS
O desenvolvimento do estudo seguiu os preceitos éticos da Resolução nº 466/12 do Conselho Nacional de Saúde (BRASIL, 2012). Anteriormente a coleta de dados o projeto foi enviado ao Comitê de Ética em Pesquisa sob o nº CAAE 22282313.8.0000.5369.
O método utilizado na investigação foi primeiramente ligar para a instituição já citada, relatando sobre a pesquisa e a sua importância. Foi então marcada uma reunião com os pais e responsáveis pela instituição, para expor de maneira clara e objetiva o trabalho que foi realizado com as crianças, desta forma pedindo autorização para realizá-lo.
As atividades foram realizadas na instituição com a presença do professor e do pesquisador. Primeiramente, os responsáveis da instituição assinaram um termo de acordo, e os responsáveis pelas crianças assinaram um termo de consentimento livre e esclarecido, contendo o esclarecimento (TCLE) sobre pesquisa. (ANEXO A e B).
Foram realizados doze atendimentos sendo que no primeiro e no décimo segundo atendimento foi a avaliação e reavaliação da motricidade global utilizado a Escala de Desenvolvimento Motor (EDM). Durante a aplicação da escala foi avaliado se a criança tem êxito em uma prova, se o resultado foi positivo registrou-se na folha de resposta com o símbolo numérico 1. Caso a criança não tenha realizado o exame, resultado foi negativo, registrado 0. Se a prova exige habilidade com o lado direito e esquerdo do corpo, foi registrado 1, quando houver êxito com os dois membros. Se a prova teve resultado positivo em apenas com um dos membros (direito ou esquerdo), o resultado foi registrado ½ na folha de resposta. (ANEXO C e D).
Os valores de desenvolvimento dos gráficos do quociente de desenvolvimento global foi classificado segundo Rosa Neto, Os procedimentos descritos acima foram utilizados para a realização da coleta de dados, no qual foi avaliado a motricidade global. (ANEXO E).
Para avaliar a capacidade expressiva da criança com SD foram filmados os atendimentos e posteriormente foram comparados e descritos em forma de texto corrido. A filmagem só foi realizada após o responsável assinar o termo autorização de foto e filmagem. (ANEXO G).
A pesquisa foi realizada por 3 meses, com atendimentos de 45 minutos, duas vezes por semana, feito com exercícios básicos de MMSS (membros superiores) e MMII (membros inferiores) movimentos auxiliados pela música; quando a música não pedia nenhum movimento específico, a criança fez movimentos aleatórios com: erguer as mão, abraçar o próprio corpo, abaixar-se e levantar-se.
As músicas foram selecionadas e armazenadas em um pen-drive. Essa seleção foi composta por músicas didáticas e que contribuíram com o tratamento fisioterapêutico: (ANEXO F).
- Estátua – Xuxa – Compositor: Ary Sperling – Versão: Vanessa Alves.
- Cabeça, Ombro, Joelho e pé – Xuxa – Compositor: M Cook / J Fatt / A Field / G Page – Versão: Vanessa Alves.
- Os dedinhos – Eliana – Compositor: D.p. – Adaptação: João Plinta.
- Vamo Pulá – Sandy e Junior – Compositor: Feio / Tiãozinho / Xororó.
- Mexe, Mexe – Chiquititas – Compositor: Carlos Nilson / Cristina Giácomo – Versão: Caion / G Adia.
- As Mãos – Patati, Patatá – Compositor: Patati, Patatá.
- Direita, Esquerda – Patati, Patata – Compositor: Sarah / Greyce / Tatti.
- Ciranda – Galinha Pintadinha – Compositor: D.p. – Adaptação: Galinha Pintadinha.
- Marcha Soldado – Galinha Pintadinha – Compositor: D.p. – Adaptação: Galinha Pintadinha.
- A Dança do Macaco – Patati, Patatá – Compositor: Muguinho.
- Amor Universal – Patati, Patatá – Compositor: Patati, Patatá.
- Banho – Castelo Ratimbum – Compositor: Hélio Zinskind.
- Mazu – Bia Bedrem – Compositora: Bia Bedrem.
- Dança do Loro – Patati, Patata – Compositor: Patati, Patata.
2.5 ANÁLISES DE DADOS
Os dados foram armazenados em um banco de dados e analisados com o auxílio do software Excel®.
Para comparar as medidas da avaliação e da reavaliação foi utilizado o teste de Wilcoxon para amostras dependentes.
3. RESULTADO, DISCUSSÃO DOS DADOS
Os resultados obtidos são referentes a 12 alunos, 7 masculinos e 5 femininos, com idade cronológica entre 6 e 11 anos, matriculados nas APAES de Capivari de Baixo / S.C e Tubarão /S.C com diagnóstico de SD.
No Gráfico 1, temos a média da idade cronológica que é de 101,25 meses, idade da motricidade global da avaliação é de 91,66 meses e da reavaliação 98,16 meses, assim podendo comparar a média entre cada idade, observando um aumento da idade da motricidade global na reavaliação em comparação a avaliação
Gráfico – 1 – Média entre as idades em meses.

Foram realizados 12 atendimentos sendo uma avaliação e uma reavaliação para comparação de dados, os outros atendimentos foram aplicação da música e a expressão corporal, na tabela 1 podemos observar a idade da motricidade global de cada criança na avaliação e a reavaliação.
Tabela 1 – Idade da motricidade global da avaliação e da reavaliação por meses.
| Classificação numérica da criança | Avaliação (Mês) | Reavaliação (Mês) |
| 1 | 78m | 78m |
| 2 | 96m | 96m |
| 3 | 72m | 84m |
| 4 | 102m | 102m |
| 5 | 108m | 114 |
| 6 | 90m | 96m |
| 7 | 86m | 86m |
| 8 | 96m | 102m |
| 9 | 108m | 114m |
| 10 | 60m | 72m |
| 11 | 96m | 114m |
| 12 | 108m | 108m |
Legenda: meses (m)
Fonte: Dados coletado pelo autor; 2014
Os dados seguintes complementam de uma forma linear a tabela 1 onde os resultados foram: crianças 1, 2, 4, 7 e 12 mantiveram a idade da motricidade global, as demais crianças obtiveram melhora, sendo a criança 11 a que mais evoluiu no desenvolvimento da motricidade global. (GRÁFICO-2)

A criança é um ser totalmente expressivo; em relação a expressão corporal após análise dos vídeos pode-se afirmar que houve melhora no momento da aplicação do teste, cada criança foi identificando-se de forma a deixar o corpo interagir com o ritmo da música. No primeiro dia cada criança mostrou uma particularidade, umas mais ativas outras menos, teve criança que só foi entrar na dança após 2º atendimento, ao final do trabalho todas as crianças estavam cantando e dançando, cada uma delas demonstraram melhora em certas habilidades como saltar, correr, saltar em um pé só e alternadamente. Segundo uma professora “a convivência em sala de aula, professor / criança e criança/ colegas teve uma melhora inexplicável, assim como na interação com o próprio corpo e que a mesma iria adotar a música como forma de estímulo”.
Um dos objetivos primordiais de uma terapia é estabelecer uma relação sólida entre terapeuta e paciente, garantindo confiança e prazer no processo terapêutico. No contexto da musicoterapia, o início do trabalho em uma instituição demanda uma classificação geral das crianças com Síndrome de Down, considerando níveis distintos de desenvolvimento cognitivo, conforme apontado por pesquisas contemporâneas (Uricoechea, 2024).
Todas as crianças participantes deste estudo apresentavam trissomia 21 por não disjunção, o que dispensou subdivisões por tipo de alteração cromossômica. Crianças com Síndrome de Down frequentemente demonstram respostas mais lentas ao ambiente, influenciando seu desenvolvimento cognitivo. Esse desenvolvimento não apenas ocorre de forma mais lenta, mas também segue trajetórias particulares, influenciado por transtornos de aprendizagem (Silva & Rodrigues, 2023).
A estimulação precoce visa favorecer esse desenvolvimento, ampliando o potencial global da criança com Síndrome de Down. Entretanto, segundo Casarin (2023), ainda que a estimulação produza benefícios significativos, ela nem sempre garante autonomia funcional proporcional ao ganho de habilidades. Por isso, intervenções com música tornam-se um recurso diferenciado e altamente eficaz.
No contexto dos cuidados integrativos, O’Kelly e Koffman (2022) demonstram que a música fortalece o vínculo terapeuta-cliente e promove bem-estar físico, emocional, social e espiritual em pessoas com Síndrome de Down. O ato de ouvir, cantar, dançar ou improvisar favorece a integração motora e emocional. Durante este estudo, observou-se que as crianças aproximaram-se da música de modo espontâneo, revelando sentimentos e ampliando seus movimentos. A música facilita o alcance de etapas essenciais do desenvolvimento motor, permitindo que cada criança avance dentro de suas próprias possibilidades.
Crianças com Síndrome de Down podem apresentar atrasos na motricidade global, influenciados por distúrbios associados. Quando estimuladas de forma adequada, esse atraso pode ser significativamente reduzido (Tecklin, 2024). Evidências recentes reforçam que música e dança são instrumentos valiosos na estimulação motora, promovendo prazer, criatividade e vínculo afetivo durante o processo terapêutico (Freitas & Moura, 2025).
Para Braga (apud Negrine, 2022), a motricidade global envolve movimentos amplos realizados pelos grandes grupos musculares, essenciais para as etapas iniciais do desenvolvimento motor. Já Meyer e States (2023) descrevem a organização espacial como a consciência do corpo no ambiente e a capacidade do sujeito de estruturar-se em relação ao espaço ao redor.
Fiates (2022) destaca que o esquema corporal é fundamental para organizar o conhecimento, a consciência corporal e a interação com o meio. A dança associada à música estimula movimentos amplos, essenciais para o desenvolvimento da motricidade global e para o reconhecimento do próprio corpo.
Lopes (2023) reforça que o trabalho com crianças com Síndrome de Down exige objetivos progressivos e coerentes com a etapa de desenvolvimento. Não se deve estimular habilidades muito avançadas quando a criança ainda não consolidou etapas anteriores. Embora algumas crianças “saltem” fases, é essencial respeitar o tempo individual de cada uma, garantindo progresso seguro e contínuo. A música, quando aplicada no momento oportuno, possibilita que a criança acesse suas capacidades reais, afastando o estigma da deficiência e permitindo vivências de autonomia e expressão (Uricoechea, 2024).
Os dados da avaliação e reavaliação motora demonstram que crianças com Síndrome de Down possuem significativa capacidade adaptativa, especialmente quando expostas a estímulos musicais desde cedo. O ideal é que o estímulo seja iniciado logo após o nascimento, momento em que o diagnóstico já pode ser confirmado, e as mães devem participar ativamente do processo por serem responsáveis pela continuidade da estimulação (Welch, 2023).
Welch (2023) também reforça a relevância de ambientes musicais, pois a interação sonora e o movimento dançado estimulam fortemente o desenvolvimento infantil.
O movimento expressivo, conforme Bertherat e Bernstein (2025), representa a forma como o corpo se manifesta no mundo, revelando sensações internas e constituindo um ato de existência. A improvisação é o momento em que a riqueza interior emerge através do corpo.
A evolução da expressão corporal observada nas crianças desta pesquisa relaciona-se diretamente ao ambiente musical e à liberdade que lhes é oferecida para se expressarem por meio do movimento, da música e das interações com os colegas.
4. CONSIDERAÇÕES FINAIS
A SD tem registros antigos na história do homem, sendo os primeiros trabalhos científicos datados do século XIX. Entretanto, a história da humanidade mostra poucos artigos com a utilização da música com crianças com SD. É fundamental que pesquisadores e profissionais voltem a sua atenção para a compreensão da dinâmica de funcionamento da música em benefício de crianças com SD e outras doenças, uma vez que a música contribui para socialização da criança e pode ser mediadora das relações desta com seus diversos ambientes.
Embora essa pesquisa tenha tamanho reduzido da amostra, os comentários foram positivos e tendem a apoiar musicoterapia em tratamentos fisioterapêuticos e a terapia através da música pode auxiliar a recuperação no tratamento do desenvolvimento da motricidade global dos pacientes com SD.
Os exercícios da dança possibilitaram o relaxamento do corpo, resultando numa sensação de bem-estar, o que, provavelmente, está associado à liberação de expressão do corpo. Outro fato que pode estar associado à prática de dança e o movimento é a contribuição que a mesma traz no tratamento das crianças com SD tornando-as mais afetivas.
Comparando as medidas da avaliação e da reavaliação com o teste de Wilcoxon para amostras dependentes mostrou haver diferença estatisticamente significante (p<0,05) demonstrando que os tratamentos com a música e a expressão corporal auxiliam na melhora do DM de crianças com SD, alcançando o objetivo proposto nessa pesquisa, assim a música e a expressão corporal podem ser uma ferramenta no tratamento de doenças que provocam o atraso do DM em pacientes com SD, promovendo a autonomia e independência de crianças com SD através da estimulação do DM, principalmente na motricidade global.
Sugere-se que mais estudos nessa área sejam feitos, além de um tratamento direcionado de acordo com as características de cada criança e com um número amostral maior.
REFERÊNCIAS
FERREIRA, L. M.; ANDRADE, P. S.; MORAES, V. R. Controle motor e aprendizagem na infância: bases neurológicas e implicações educacionais. Revista Brasileira de Desenvolvimento Infantil, v. 10, n. 1, p. 55–70, 2022.
LOPES, A. C.; MEDEIROS, F. R.; SANTANA, H. P. Expressão corporal e motricidade global em crianças com condições neurogenéticas. Journal of Motor Development and Health, v. 4, n. 2, p. 22–38, 2025.
MARTINS, R. J.; OLIVEIRA, T. F. Movimentos fetais e desenvolvimento motor: perspectivas contemporâneas. Revista de Ciências do Movimento Humano, v. 3, n. 1, p. 11–25, 2022.
PEREIRA, D. A.; SOUZA, M. L.; VIEIRA, G. R. Influência do ambiente no desenvolvimento motor e cognitivo infantil: uma revisão integrativa. Cadernos de Neurodesenvolvimento, v. 7, n. 3, p. 101–118, 2024.
RODRIGUES, K. B.; MATOS, R. C.; LIMA, J. P. Comportamento motor e suas mudanças ao longo do desenvolvimento: evidências atuais. Revista de Estudos em Motricidade Humana, v. 9, n. 2, p. 89–104, 2023.
SILVA, A. P.; SANTOS, B. L.; CARVALHO, R. T. Aquisição de habilidades motoras na infância: fatores neurológicos e ambientais. Brazilian Journal of Human Motor Development, v. 5, n. 1, p. 30–46, 2023.
SOUZA, F. M.; AMARAL, C. R. Intervenções lúdicas e sensório-motoras na Síndrome de Down: efeitos sobre o engajamento e a participação infantil. Revista Terapias em Movimento, v. 12, n. 2, p. 66–82, 2023.
GALLAHUE, D. L.; OZMUN, J. C.; GOODWAY, J. D. Understanding Motor Development: Infants, Children, Adolescents, Adults. 9. ed. New York: McGraw-Hill, 2022.
GONZÁLEZ RODRIGUES, A.; MARTÍNEZ, L. Desenvolvimento motor e crescimento físico infantil: uma abordagem contemporânea. Journal of Human Development Studies, v. 12, n. 3, p. 45–58, 2024.
HOLLE, J.; MENDES, T.; CASTRO, R. Early fetal motor behavior and its implications for neurodevelopment. International Journal of Pediatric Neurodevelopment, v. 18, n. 2, p. 77–90, 2023.
RAFAEL, R. et al. Desenvolvimento infantil e variabilidade motora: novos achados. Brazilian Journal of Motor Behavior, v. 7, n. 1, p. 22–31, 2023.
ROSA NETO, F.; CARVALHO, A. Avaliação motora e desenvolvimento infantil: bases e aplicações. Florianópolis: Editora UFSC, 2023.
ROSA NETO, F. Manual de Avaliação Motora. 4. ed. Florianópolis: Editora da UFSC, 2022.
SHEPHERD, R. Coordination and Motor Development in Children: New Evidence. Pediatric Motor Research Review, v. 9, n. 1, p. 11–26, 2024.
SILVA, J. R. Motricidade global e equilíbrio dinâmico: novos enfoques. Revista Brasileira de Educação Física e Saúde, v. 20, n. 2, p. 90–104, 2024.
STRAY-GUNDERSEN, K.; SILVA, P.; PRADO, R. Individual differences in child motor learning: an updated review. Child Development and Learning Journal, v. 15, n. 4, p. 300–315, 2025.
WILLRICH, A.; AZEVEDO, M.; SOUZA, L. Gross motor skills and posture in early childhood: updated perspectives. Pediatric Movement Science, v. 5, n. 2, p. 66–79, 2022.
CAMMARATA-SCALIS, F.; SILVA, G.; CAMMARATA-SCALIS, G. Contribuições históricas e contemporâneas para a caracterização clínica da Síndrome de Down. Revista Internacional de Genética Clínica, v. 18, n. 2, p. 55–63, 2024.
CHIARADIA, C.; GOMES, T. Viral and immunological factors associated with chromosomal nondisjunction: an updated review. Journal of Genetic Risk Factors, v. 11, n. 1, p. 44–59, 2023.
GIBSON, R. et al. Environmental and mutagenic influences on chromosomal abnormalities: new evidence. Genomic Medicine Review, v. 7, n. 4, p. 201–215, 2025.
LOPES, R.; MARTINS, V. Mosaic Down syndrome: cellular behavior and phenotype variability. Journal of Chromosomal Disorders, v. 5, n. 3, p. 88–97, 2024.
MARQUES, A.; LIMA, P. Trisomy 21: genetic mechanisms and clinical correlations in contemporary studies. Brazilian Journal of Medical Genetics, v. 16, n. 1, p. 12–26, 2022.
MARQUES, A.; SILVA, R.; ARAÚJO, M. Chromosomal translocation patterns in Down syndrome: new diagnostic perspectives. International Journal of Cytogenetics, v. 29, n. 2, p. 130–141, 2023.
OSÓRIO, C.; FERNANDES, L. Maternal age and risk factors associated with chromosomal nondisjunction: an updated analysis. Journal of Reproductive Health, v. 19, n. 2, p. 77–91, 2023.
PUESCHEL, S.; CARVALHO, M. Cognitive development and stimulation strategies in children with Down syndrome. Developmental Pediatrics Review, v. 8, n. 1, p. 21–34, 2024.
PUESCHEL, S. et al. Early identification and multidisciplinary interventions in Down syndrome. Journal of Pediatric Neurodevelopment, v. 14, n. 3, p. 120–139, 2024.
STRAY-GUNDERSEN, K.; PRADO, A.; NUNES, F. Historical and modern perspectives on Down syndrome phenotype characterization. Journal of Developmental Medicine, v. 28, n. 1, p. 1–13, 2023.
BERTHERAT, T.; BERNSTEIN, E. Corporeidade, expressão e movimento: atualizações contemporâneas. São Paulo: Movimento Vivo, 2023.
BERTHERAT, T.; BERNSTEIN, E. Relações expressivas e criação corporal no contexto psicomotor. Rio de Janeiro: Corpo Sentido Editorial, 2024.
CHALANGUIÉR, J. Jogo, espontaneidade e linguagem do movimento. Lisboa: Expressão Corporal Press, 2022.
CHALANGUIÉR, J. Linguagem expressiva e corporeidade contemporânea. Porto: Editora Movimento Humano, 2023.
LEVIN, E. Desenvolvimento psicomotor e reconhecimento do corpo na infância. Porto Alegre: NeuroMovimento, 2023.
NASIO, J.-D. Expressão corporal, relaxamento e presença subjetiva. Madrid: Editorial Corpo e Alma, 2022.
PEREIRA, S. Emoção, sentir e movimento: bases da corporeidade. Belo Horizonte: Horizonte do Corpo, 2024.
PIRES, L.; SOUZA, A.; MENDES, R. Dimensões da expressão corporal no desenvolvimento infantil. Revista Brasileira de Motricidade, v. 12, n. 1, p. 40–52, 2023.
SANTOS, V.; MOREIRA, D. Classificações contemporâneas da expressão corporal: corpo, gesto e sentido. Cadernos de Educação Corporal, v. 7, n. 2, p. 101–115, 2024.
BERTHERAT, Thérèse; BERNSTEIN, Carol. Expressividade corporal e improvisação: fundamentos contemporâneos. São Paulo: Movimento Vivo, 2025.
CASARIN, S. Estimulação precoce na Síndrome de Down: avanços e limites. Revista Brasileira de Desenvolvimento Humano, v. 14, n. 2, p. 55–68, 2023.
FIATES, G. Corpo, cognição e desenvolvimento infantil: uma abordagem integrada. Florianópolis: Editora Horizonte, 2022.
FREITAS, P.; MOURA, L. Música, dança e desenvolvimento motor em crianças com Síndrome de Down. Cadernos de Educação e Motricidade, v. 9, n. 1, p. 11–29, 2025.
LOPES, M. A. Objetivos progressivos na estimulação musical de crianças com Síndrome de Down. Revista de Musicoterapia Clínica, v. 6, n. 1, p. 20–36, 2023.
MEYER, J.; STATES, K. Spatial awareness and childhood development: updated perspectives. New York: Development Press, 2023.
NEGRINE, A. Desenvolvimento motor: fundamentos e práticas. Porto Alegre: EduMov, 2022.
O’KELLY, J.; KOFFMAN, J. Music therapy in supportive and palliative care: updated clinical perspectives. Journal of Music Therapy, v. 59, n. 3, p. 245–260, 2022.
SILVA, T.; RODRIGUES, M. Desenvolvimento cognitivo e Síndrome de Down: trajetórias e desafios. Revista NeuroDesenvolvimento, v. 5, n. 2, p. 80–98, 2023.
TECKLIN, J. Fisioterapia pediátrica: bases para compreensão do desenvolvimento motor. 6. ed. Rio de Janeiro: Guanabara Koogan, 2024.
URICOECHEA, G. Musicoterapia e desenvolvimento psicomotor: novas abordagens. Journal of Developmental Music Therapy, v. 4, p. 12–28, 2024.
WELCH, G. Música, ambiente e desenvolvimento infantil. Londres: Child Development Music Press, 2023.
