EVALUATION OF SIMULTANEOUS HIP AND KNEE DISLOCATION IN HIGH-ENERGY TRAUMA IN A HOSPITAL IN THE WESTERN AMAZON: A CASE REPORT
REGISTRO DOI: 10.69849/revistaft/ra10202510112037
Amom Mendes Fernandes Rocha1
Idevaldo Galvão Costa Filho2
Anna Carolina Becker Tschurtschenthaler Costa3
Jhonata Raimundo Martins Rodrigues4
Carlos André trench de Souza5
Hallan Rodrigues Mendonça6
Resumo
INTRODUÇÃO: Luxações de quadril e joelho estão geralmente associadas a traumas de alta energia e, quando simultâneas no mesmo membro, são extremamente raras. Este relato descreve um caso de luxação coxo-femoral e de joelho ipsilaterais, associado a fraturas e lesão neurológica. RELATO DE CASO: Paciente masculino, 20 anos, vítima de colisão entre motocicleta e automóvel, apresentou luxação coxo-femoral posterior direita, luxação de joelho posterior direito, fratura diafisária de tíbia direita, fratura pélvica e lesão neurológica em nervo ciático. Não havia sinais de lesão vascular. Após estabilização inicial, a transferência para centro de referência ocorreu apenas um mês após o trauma, devido à superlotação hospitalar. Exames complementares revelaram fratura da asa sacral direita e lesão ligamentar complexa do joelho. Quarenta dias após o acidente, foi realizada osteossíntese da tíbia, manipulação articular do joelho, avaliação da estabilidade pélvica e do quadril, com retirada do fixador externo. O paciente teve alta dois meses após o trauma e seguiu em acompanhamento ambulatorial. RESULTADOS: Evoluiu com consolidação da pelve e tíbia, quadril e joelho reduzidos, ausência de osteonecrose e melhora parcial da lesão neurológica. Permanece em fisioterapia e aguarda reconstrução ligamentar do joelho. CONCLUSÃO: Lesões de alta complexidade, frequentes em acidentes motociclísticos, têm maior sobrevida graças a avanços no atendimento pré-hospitalar. Contudo, atrasos na transferência hospitalar evidenciam a necessidade de melhorias na gestão da saúde pública e otimização dos recursos para tratamento adequado de traumas graves.
Palavras-chave: Luxação simultânea. Quadril. Joelho. Traumatismo de alta energia. Fratura-luxação.
1 INTRODUÇÃO
A luxação posterior de joelho é uma lesão ortopédica rara, geralmente decorrente de traumas de alta energia, como acidentes automobilísticos ou quedas. Pode causar rupturas ligamentares, lesão da artéria poplítea e comprometimento de nervos periféricos, como tibial e fibular comum.1
A avaliação inclui exame físico e ressonância magnética para identificar lesões associadas e orientar o tratamento.2 O tratamento envolve redução e estabilização inicial, seguida de cirurgia para reparo ligamentar e reabilitação intensiva, visando restaurar a função e prevenir complicações. A intervenção precoce e a abordagem multidisciplinar são fundamentais para melhores resultados.2
A luxação posterior de quadril é uma emergência ortopédica causada por traumas de alta energia, caracterizada por dor intensa, limitação de movimento, postura típica do membro afetado e possível déficit neuromuscular indicando comprometimento do nervo ciático ou glúteo.3
O diagnóstico é feito por radiografia, tomografia e ressonância magnética, permitindo avaliar deslocamento articular e lesões associadas. O tratamento imediato envolve redução da luxação, seguida de cirurgia para reparar fraturas e ligamentos e reabilitação intensiva, visando prevenir complicações como artrose e osteonecrose pós-traumática.4
Luxações simultâneas de quadril e joelho são raras. Fraturas isoladas de quadril e joelho são mais comuns, principalmente em idosos com osteoporose (30–50% e 15–25%, respectivamente), enquanto fraturas simultâneas representam menos de 5% dos traumas de alta energia.5
As luxações posteriores de quadril são mais comuns que as anteriores, sendo acidentes automobilísticos em alta velocidade o principal mecanismo de trauma.1 Apesar de muitos pacientes permanecerem assintomáticos, complicações tardias como artrite pós-traumática e osteonecrose da cabeça femoral são relativamente comuns.6
As luxações de joelho, geralmente decorrentes de traumas de alta energia, estão associadas a rupturas ligamentares e lesões vásculo-nervosas, podendo levar a instabilidade articular, lesão da artéria poplítea, nervo fibular, síndrome do compartimento, trombose venosa profunda e limitação da mobilidade.7,8
Descrições de casos simultâneos dessas luxações são raros. Portanto, o presente estudo visa descrever e analisar o quadro abordado em paciente dum Hospital de Referência da Amazônia Ocidental, correlacionando-o com estudos relevantes que compreendem essa temática.
2 RELATO DE CASO
Paciente masculino de 20 anos, natural da Colômbia e residente em Porto Velho, Rondônia, sofreu uma colisão entre motocicleta e automóvel, sendo arremessado contra um muro. Na admissão, cinco horas após o acidente, radiografias revelaram luxação coxo-femoral posterior direita, luxação posterior de joelho direito (Figura 1), fratura do anel pélvico (Figura 2) e fratura diafisária da tíbia direita (Figura 3), além de lesão neurológica no membro inferior, sem comprometimento vascular.
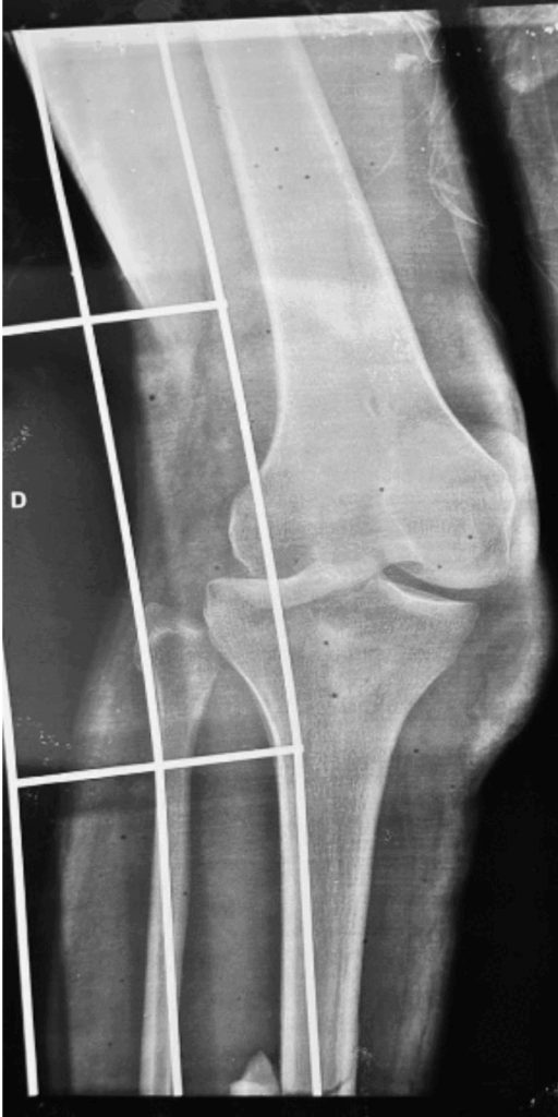
Figura 1 – Radiografia do Joelho Direito

Descrição: Radiografias iniciais em pronto socorro do joelho direito em incidências AP e oblíquo com a presença de artefato (tala flexível de imobilização), visualizando uma sobreposição do côndilo lateral do fêmur sobre o planalto tibial, com perda da congruência articular. Nota-se a posteriorização da tíbia com desvio lateral em relação ao eixo femoral, sendo compatível com luxação posterior da tíbia. Além desses achados, constata-se uma solução de continuidade em terço médio da tíbia.
Fonte: Banco de dados do Hospital de Base Dr. Ary Pinheiro – HBAP.
Figura 2 – Radiografia de Bacia

Descrição: Radiografia AP de bacia realizado no PS pós trauma, visualizando fêmures proximais com solução de continuidade em ramos ísquio-púbicos esquerdo, fratura da asa sacral direita, luxação posterior de quadril direito associado a fratura da parede posterior do acetábulo ipsilateral.
Fonte: Banco de dados do Hospital de Base Dr. Ary Pinheiro – HBAP.
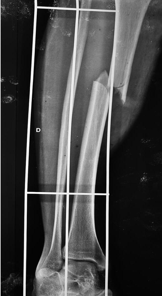
Figura 3 – Fratura diafisária da tíbia direita

Descrição: Radiografia em AP da perna direita, com a presença de artefato (tala flexível de imobilização), realizada logo após o trauma em pronto socorro. Solução de continuidade em terço médio da tíbia direita.
Fonte: Banco de dados do Hospital de Base Dr. Ary Pinheiro – HBAP.
Inicialmente, a equipe multidisciplinar adotou medidas de ressuscitação conforme protocolo ATLS, realizando reduções das luxações e fixação externa para estabilização e controle de danos. Devido à superlotação hospitalar, a transferência para o Hospital de Referência da Amazônia Ocidental ocorreu apenas um mês após o trauma, momento em que os diagnósticos foram confirmados e detalhados por meio de exames complementares, incluindo ressonância magnética e tomografias computadorizadas.
Os exames complementares identificaram fratura no anel pélvico, fratura da parede posterior do acetábulo direito, fratura diafisária da tíbia direita e lesão do ligamento cruzado posterior do joelho direito. Outros exames, como eletroneuromiografia e angiotomografia, foram solicitados, mas não estavam disponíveis. Quarenta dias após o trauma, foi realizada a remoção do fixador externo transarticular, manipulação articular e avaliação da estabilidade da pelve e do quadril, mostrando consolidação avançada do acetábulo e estabilidade das estruturas.
O tratamento da tíbia foi planejado em dois tempos: remoção do fixador externo seguida de osteossíntese definitiva. O paciente recebeu alta hospitalar dois meses após o trauma e permaneceu em acompanhamento ambulatorial ortopédico, com conduta conservadora para a fratura-luxação do acetábulo e do anel pélvico, mantendo reabilitação fisioterápica e monitoramento da recuperação funcional.
3 METODOLOGIA
Este relato de caso foi desenvolvido a partir da observação clínica e do acompanhamento de um paciente vítima de trauma de alta energia, atendido inicialmente em hospital geral e posteriormente transferido para centro de referência em ortopedia e traumatologia. Os dados clínicos e cirúrgicos foram obtidos por meio da revisão dos prontuários médicos, registros de exames de imagem e evolução ambulatorial do paciente. O estudo seguiu os princípios éticos de confidencialidade e anonimato, conforme as diretrizes da Resolução nº 466/12 do Conselho Nacional de Saúde.
A coleta de informações incluiu detalhes sobre o mecanismo de trauma, achados clínicos iniciais, lesões associadas, exames complementares e procedimentos realizados durante o período de internação. Radiografias e tomografias computadorizadas foram utilizadas para o diagnóstico e monitoramento da evolução das fraturas e das luxações. As avaliações neurológicas e vasculares foram realizadas por meio de exame físico e acompanhamento especializado, a fim de determinar o grau de comprometimento e a evolução da lesão do nervo ciático.
Durante o acompanhamento, foram registrados os resultados das intervenções cirúrgicas, evolução clínica, tempo de consolidação óssea e reabilitação funcional. O seguimento ambulatorial incluiu avaliações periódicas de mobilidade articular, força muscular e função neurológica, além da análise de possíveis complicações, como osteonecrose ou instabilidade articular. As informações foram organizadas de forma descritiva, com o objetivo de relatar a raridade e a complexidade do caso, destacando os desafios enfrentados no manejo terapêutico e na organização do atendimento ao trauma grave.
4 RESULTADOS E DISCUSSÃO
A ocorrência simultânea de luxações de quadril e joelho é extremamente rara e representa um desafio diagnóstico e terapêutico significativo. Diferentemente das luxações isoladas, o caso descrito evidencia a complexidade do trauma múltiplo, envolvendo não apenas as luxações, mas também fraturas associadas da tíbia, pelve e sacro, além de lesão neurológica no nervo ciático.
Conforme exposto por Canto et al. (1993) e Pinheiro et al. (2022), as luxações posteriores de quadril, frequentemente decorrentes de traumas de alta energia, podem causar necrose avascular e déficits neuromusculares, enquanto as luxações de joelho estão associadas a lesões ligamentares e vasculares, com potencial para lesões neurológicas.
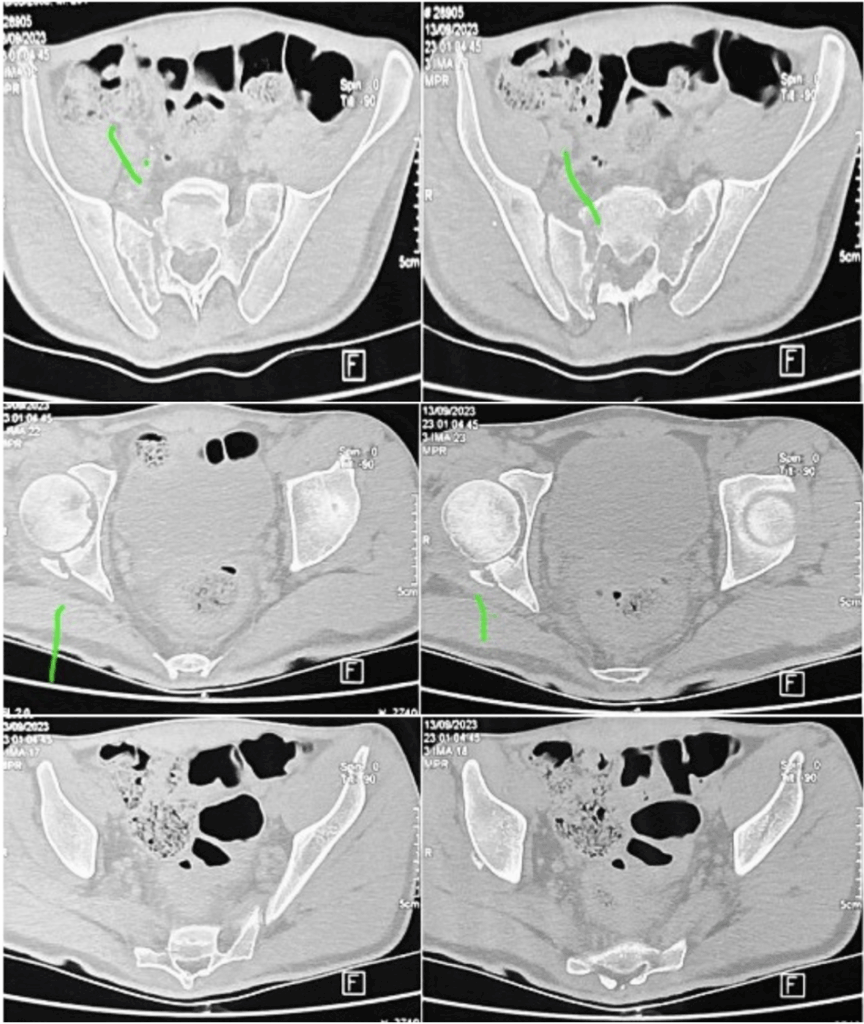
A avaliação detalhada, com exame físico focado em estabilidade articular e integridade neurovascular, aliada a exames de imagem avançados, como tomografia e ressonância magnética, foi fundamental para identificar todas as lesões e planejar o tratamento adequado. Como demonstrado na Figura 4.
Figura 4 – Tomografia Computadorizada de pelve, corte axial após 30 dias de evolução.

Descrição: Observa-se solução de continuidade na região da parede posterior acetabular direita inferior há 50% de acometimento. Solução de continuidade em ramo ísquio púbico esquerdo. Solução de continuidade transforaminal em asa sacral direita.
Fonte: Banco de dados do Hospital de Base Dr. Ary Pinheiro – HBAP.
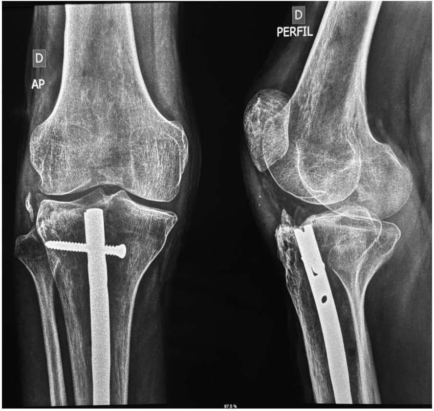
O manejo inicial seguiu protocolos do ATLS, com redução das luxações, fixação externa e tração, seguido de exames complementares que confirmaram fraturas intrarticulares e lesão ligamentar. A intervenção definitiva incluiu osteossíntese da tíbia (Figura 5), manejo conservador das fraturas pélvicas e acompanhamento ambulatorial com fisioterapia para reabilitação articular e recuperação neurológica parcial.
Figura 5 – Radiografia demonstrando osteossíntese de joelho direito

Descrição: Radiografia AP e perfil realizada pós 180 dias de evolução de osteossíntese com haste centralizada e bem-posicionada. Sinais indiretos de calcificação do complexo ligamentar colateral lateral.
Fonte: Banco de dados do Hospital de Base Dr. Ary Pinheiro – HBAP.
Este caso reforça a importância de estratégias terapêuticas integradas e equipe multidisciplinar para o manejo de traumas complexos,8 destacando a necessidade de redução precoce das luxações e acompanhamento rigoroso para minimizar complicações a longo prazo, como necrose avascular, instabilidade articular, ossificação heterotópica e degeneração articular. A análise sugere que a mecânica do trauma – força posterior sobre quadril e joelho em flexão – é o principal fator determinante da ocorrência simultânea das lesões.
5 CONCLUSÃO
As luxações simultâneas de quadril e joelho, embora raras, representam grande desafio diagnóstico e terapêutico, especialmente em traumas de alta energia. O caso ilustra a gravidade das lesões associadas, incluindo fraturas múltiplas e lesões neuromusculares. A combinação de métodos de imagem simples e avançados foi essencial para a identificação das lesões, enquanto exames complementares poderiam ter fornecido informações adicionais.
A redução precoce e estabilização das luxações, junto à atuação de equipe multidisciplinar, foram fundamentais. O tratamento definitivo exigiu experiência e planejamento cuidadoso, priorizando segurança e melhores resultados para o paciente.
REFERÊNCIAS
CANTO, Roberto Sérgio; BUENO, Rodrigo José Natividade; PEREIRA, Wilson Benedito. Luxação posterior traumática do quadril. Revista Brasileira de Ortopedia, p. 779-784, 1993. Acesso em: 10 de outubro de 2025.
CIRILO, Nicole de Machado et al. Fratura de ísquio em acidente motociclístico: relato de caso. Journal of Medical Residency Review, v. 2, n. 1, p. e035-e035, 2023. Acesso em: 10 de outubro de 2025.
DUBOIS, Ben et al. Simultaneous ipsilateral posterior knee and hip dislocations: case report, including a technique for closed reduction of the hip. Journal of Orthopaedic Trauma, v. 20, n. 3, p. 216-219, 2006. Acesso em: 10 de outubro de 2025.
ELIAS, Nelson et al. Fratura-luxação traumática posterior do quadril com fratura da cabeça femoral: caso clínico. Revista Portuguesa de Ortopedia e Traumatologia, v. 27, n. 3, p. 188-195, 2019. Acesso em: 10 de outubro de 2025.
FREEDMAN, Douglas; FREEDMAN, Eric; SHAPIRO, Matthew. Ipsilateral hip and knee dislocation. Journal of Orthopaedic Trauma, v. 8, n. 2, p. 177-180, 1994. Acesso em: 10 de outubro de 2025.
NAHAS, Ricardo Munir et al. Fratura-luxação traumática do quadril no futebol: relato de caso. Revista Brasileira de Medicina do Esporte, v. 13, p. 280-282, 2007. Acesso em: 10 de outubro de 2025.
PINHEIRO, Igor Natário et al. Estudo epidemiológico das lesões multiligamentares do joelho. Revista Brasileira de Ortopedia, v. 57, p. 675-681, 2022. Acesso em: 10 de outubro de 2025.
ROSA, Luiz Guilherme Godinho de Toledo et al. Abordagem e tratamento do trauma de joelho – uma overview. Contribuciones a las Ciencias Sociales, v. 16, n. 8, p. 13307-13316, 2023. Acesso em: 10 de outubro de 2025.
1 Médico Residente de Ortopedia e Traumatologia do Hospital de Base Dr. Ary Pinheiro, Porto Velho, RO. E-mail: amom.opo@gmail.com
2 Médico Residente de Ortopedia e Traumatologia do Hospital de Base Dr. Ary Pinheiro, Porto Velho, RO. E-mail: idevaldo.gcf@gmail.com
3 Médico Residente de Ortopedia e Traumatologia do Hospital de Base Dr. Ary Pinheiro, Porto Velho, RO. E-mail: annacbeckertcosta@gmail.com
4 Médico Especialista em Ortopedia e Traumatologia do Hospital de Base Dr. Ary Pinheiro, Porto Velho, RO. E-mail: jhonatarmr@gmail.com
5 Médico Especialista em Ortopedia e Traumatologia do Hospital de Base Dr. Ary Pinheiro, Porto Velho, RO. E-mail: catrench@gmail.com
6 Médico Especialista em Ortopedia e Traumatologia do Hospital de Base Dr. Ary Pinheiro, Porto Velho, RO. E-mail: hallan@ortocenter-ro.com.br