EFFICACY OF INVISIBLE ALIGNERS IN THE TREATMENT OF CLASS II MALOCCLUSION: A NARRATIVE REVIEW
REGISTRO DOI: 10.69849/revistaft/cl10202509241639
LAUCHNER, Rafael1
OLAYAN, Mahamad1
RESUMO
A má oclusão de Classe II é uma das discrepâncias ortodônticas mais prevalentes, definida por alterações ântero-posteriores entre as arcadas dentárias, cuja origem pode ser dentária, esquelética ou mista. Nos últimos anos, os alinhadores invisíveis têm se consolidado como alternativa estética e confortável aos aparelhos fixos, principalmente em pacientes adultos, pela facilidade de higiene, conforto e menor impacto social. Esta revisão narrativa buscou avaliar a eficiência dos alinhadores invisíveis no tratamento da má oclusão Classe II, analisando criticamente a literatura científica recente. Foram selecionados estudos nas bases PubMed, Web of Science e Biblioteca Virtual em Saúde, de acordo com critérios de inclusão previamente definidos. Os achados demonstraram que os alinhadores apresentam boa previsibilidade para movimentos dentários simples e eficácia comprovada em casos leves a moderados de Classe II dentária, sobretudo quando associados a recursos auxiliares, como elásticos intermaxilares, attachments otimizados e ancoragem esquelética. Conclui-se que os alinhadores invisíveis representam uma opção terapêutica eficaz, segura e esteticamente favorável, desde que acompanhados de planejamento rigoroso e adesão adequada do paciente. Entretanto, a literatura ainda carece de ensaios clínicos randomizados e estudos longitudinais que avaliem a estabilidade dos resultados em longo prazo, especialmente em casos com envolvimento esquelético significativo.
Palavras-chave: má oclusão Classe II; alinhadores invisíveis; ortodontia; tratamento ortodôntico.
ABSTRACT
Class II malocclusion is one of the most prevalent orthodontic discrepancies, defined by anteroposterior alterations between the dental arches, with origins that can be dental, skeletal, or mixed. In recent years, clear aligners have established themselves as an aesthetic and comfortable alternative to fixed appliances, especially in adult patients, due to easier hygiene, comfort, and lower social impact. This narrative review aimed to evaluate the effectiveness of clear aligners in the treatment of Class II malocclusion, critically analyzing the recent scientific literature. Studies were selected from PubMed, Web of Science, and the Virtual Health Library according to pre-defined inclusion criteria. The findings demonstrated that aligners show good predictability for simple tooth movements and proven efficacy in mild to moderate dental Class II cases, particularly when combined with auxiliary resources such as intermaxillary elastics, optimized attachments, and skeletal anchorage. It is concluded that clear aligners represent an effective, safe, and aesthetically favorable therapeutic option, provided they are accompanied by rigorous planning and proper patient compliance. However, the literature still lacks randomized clinical trials and longitudinal studies evaluating the long-term stability of results, especially in cases with significant skeletal involvement.
Keywords: Class II malocclusion; clear aligners; orthodontics; orthodontic treatment.
INTRODUÇÃO
A busca por tratamentos ortodônticos que conciliem eficiência clínica, conforto ao paciente e estética tem impulsionado, nas últimas décadas, a adoção de técnicas alternativas aos aparelhos fixos convencionais. Nesse cenário, os alinhadores invisíveis consolidaram-se como uma tecnologia em ascensão, apresentando vantagens como estética superior, facilidade de higienização, maior conforto durante o uso e redução de emergências ortodônticas relacionadas a quebras ou desprendimentos de bráquetes e fios (Li et al., 2020). Embora inicialmente restritos a correções leves e moderadas, os avanços em materiais, softwares de planejamento e biomecânica ampliaram seu campo de aplicação, permitindo o tratamento de casos de maior complexidade, como as más oclusões de Classe II (Zhu et al., 2021).
A má oclusão Classe II, caracterizada por uma discrepância ântero-posterior entre as arcadas dentárias, com o arco inferior posicionado distalmente em relação ao arco superior, é uma das condições ortodônticas mais prevalentes na população mundial, afetando tanto aspectos funcionais quanto estéticos (Shuhab et al., 2013). Sua etiologia pode ser de origem dentária, esquelética ou mista, exigindo um diagnóstico preciso e individualizado para a definição do plano terapêutico mais adequado. Dependendo da gravidade do caso e da fase de desenvolvimento do paciente, a abordagem pode envolver o uso de aparelhos ortopédicos funcionais, distalizadores, extrações dentárias ou até cirurgias ortognáticas. Tais alternativas, apesar de comprovadamente eficazes, muitas vezes implicam tratamentos prolongados, maior desconforto e impacto estético significativo durante a intervenção (McNamara, 2006).
Com o aumento da demanda por opções menos invasivas, mais estéticas e socialmente aceitas, os alinhadores invisíveis passaram a ser objeto de crescente interesse. Seu funcionamento baseia-se em uma série de placas removíveis, confeccionadas em material termoplástico transparente, que aplicam forças programadas e sequenciais sobre os dentes, promovendo movimentações controladas. A previsibilidade desses movimentos é garantida por softwares digitais que permitem simulações virtuais e ajustes individualizados do tratamento (Bologna-Molino et al., 2022).
Pesquisas recentes demonstram resultados positivos no uso dos alinhadores invisíveis para a correção da relação molar em pacientes Classe II, principalmente quando associados a recursos auxiliares, como elásticos intermaxilares, attachments específicos e dispositivos híbridos (Pancherz; Gianelly, 2018). Contudo, parte dos estudos aponta limitações quanto à estabilidade dos resultados em longo prazo e à necessidade de maior colaboração por parte do paciente, uma vez que a efetividade do método depende do uso contínuo dos alinhadores por, no mínimo, 20 a 22 horas diárias (Fleming; O’brien, 2019).
Outro aspecto relevante diz respeito ao impacto psicossocial do tratamento ortodôntico. A estética do sorriso e a discrição proporcionada pelos alinhadores favorecem a adesão ao tratamento, principalmente entre adultos, que frequentemente evitam os aparelhos fixos metálicos por questões profissionais e sociais. Assim, a utilização dos alinhadores invisíveis não se restringe apenas ao aspecto técnico, mas também atende às expectativas de pacientes que valorizam tanto os resultados clínicos quanto a experiência durante o tratamento (Miller et al., 2020).
Entretanto, a adoção dessa tecnologia requer uma análise crítica da evidência científica disponível. Embora diversos trabalhos tenham explorado a eficácia dos alinhadores em casos Classe I ou em movimentações dentárias limitadas, o número de estudos controlados e de longo prazo especificamente voltados para a má oclusão Classe II ainda é relativamente escasso (Pilato et al., 2021). Dessa forma, torna-se fundamental revisar a literatura de maneira abrangente, identificando os avanços já consolidados e os pontos que permanecem em debate, especialmente no que se refere à previsibilidade biomecânica, estabilidade pós-tratamento e comparações com métodos ortodônticos tradicionais.
Diante desse contexto, o presente estudo tem como objetivo analisar, por meio de uma revisão integrativa da literatura, a eficiência dos alinhadores invisíveis no tratamento da má oclusão Classe II, considerando aspectos relacionados à biomecânica, previsibilidade dos movimentos dentários, tempo de tratamento e resultados clínicos. Especificamente, busca-se identificar as evidências disponíveis sobre a aplicação dos alinhadores em casos de origem dentária e/ou esquelética, avaliar os principais tipos de movimentos ortodônticos realizados como distalização de molares, correção de overjet e controle de ancoragem, comparar os resultados clínicos obtidos com os alinhadores em relação aos métodos ortodônticos convencionais e investigar a influência de fatores como colaboração do paciente, protocolos auxiliares e recursos digitais na efetividade do tratamento.
REVISÃO DA LITERATURA
A primeira proposta de classificação das más oclusões foi elaborada por Edward Angle e divulgada em 1899 na revista Dental Cosmos. O método se baseava na relação entre os primeiros molares permanentes em sentido mésio-distal, considerando os dentes como o principal critério avaliativo da oclusão. Para Angle, a oclusão ideal ocorreria quando a cúspide mésiovestibular do primeiro molar superior estivesse em contato com o sulco central do primeiro molar inferior (Brodie, 1931).
Com o intuito de simplificar a identificação das alterações dentoesqueléticas, Angle (1899) propôs uma classificação que agrupava indivíduos com características semelhantes em três padrões distintos de má oclusão. Para isso, utilizou como referência principal a relação entre o primeiro molar superior e o inferior, considerando o molar superior como ponto estável da arcada, por estar diretamente relacionado à base craniana (Henriques et al., 2007). Assim, a classificação passou a ser definida a partir da posição mandibular: quando a cúspide mésio-vestibular do primeiro molar superior se encaixava no sulco mésio-vestibular do primeiro molar inferior, caracterizava-se a Classe I. Já o deslocamento distal do molar inferior correspondia à Classe II, enquanto o deslocamento mesial indicava a Classe III (Angle, 1899; Henriques et al., 2007).
Em 1907, o autor revisou e ampliou sua proposta inicial. Nesse trabalho, descreveu a Classe II, Divisão 1, caracterizada pela posição distal da mandíbula em relação à maxila, associada a incisivos superiores projetados vestibularmente e inferiores inclinados para lingual. Essa nova descrição buscava compreender não apenas a posição dentária, mas também a influência das bases ósseas sobre a oclusão. Além disso, Angle destacou que indivíduos com esse padrão frequentemente apresentavam mandíbulas atrésicas (Brodie, 1931).
Apesar de sua ampla difusão e fácil aplicabilidade, esse sistema apresenta limitações, pois não considera as discrepâncias nos planos vertical, horizontal e transversal, nem sua relação com a base esquelética (Henriques et al., 2008). Atualmente, reconhece-se que a má oclusão de Classe II não apresenta um padrão único, já que resulta da interação entre fatores dentários, esqueléticos e de tecidos moles (Henriques et al., 2008). Essa condição é caracterizada por discrepâncias maxilomandibulares nos sentidos sagital, vertical e/ou transversal, nas quais todos os dentes inferiores se encontram em posição mais distal que o normal, gerando desarmonia acentuada na região dos incisivos e das linhas faciais (Henriques et al., 2008). Em ambos os casos, o sulco mésio-vestibular do primeiro molar inferior está distalizado em relação à cúspide mésio-vestibular do primeiro molar superior (Freitas et al., 2005; Maltagliati et al., 2006).
Figura 2 – Traçado cefalométrico esquemático da má oclusão da Classe II, com protrusão maxilar.

Fonte: Bordin, 2013.
Além da classificação original de Angle, surgiu um complemento relacionado ao posicionamento dos incisivos superiores. Quando esses dentes apresentam inclinação para vestibular, a condição é denominada 1ª divisão (Figura 3). Já quando se encontram inclinados para palatina, corresponde à 2ª divisão dentro da má oclusão de Classe II. Na 1ª divisão de Angle, observa-se com frequência um arco superior atrésico, acompanhado de incisivos superiores projetados para frente (Freitas et al., 2005; Ferreira, 2008).
Figura 3: Má oclusão Classe II, 1ª divisão. Vestibularização dos incisivos superiores causando uma sobressaliência acentuada.

FONTE: Bordin, 2013.
A má oclusão Classe II representa uma das alterações dentofaciais mais prevalentes na prática ortodôntica, caracterizada pela relação ântero-posterior discrepante entre as arcadas, geralmente com protrusão maxilar, retrusão mandibular ou ambas, podendo ter etiologia dentária, esquelética ou mista (Proffit; Fieldes; Sarver, 2013).
Tradicionalmente, seu manejo tem envolvido uma variedade de abordagens, como o uso de aparelhos ortopédicos funcionais durante a fase de crescimento, distalização molar com ancoragem esquelética ou extrações seriadas em casos mais complexos (McNamara, 2006).
Por outro lado, a ortodontia, ramo da odontologia voltado para a correção das discrepâncias dentárias e esqueléticas, apresenta uma trajetória marcada por contínuas inovações, sempre orientadas pela necessidade de oferecer tratamentos mais eficazes, confortáveis e esteticamente satisfatórios. Registros históricos demonstram que a preocupação com o alinhamento dentário e com a estética do sorriso já existia desde a Antiguidade, quando foram descritas as primeiras tentativas de correção da posição dos dentes (Proffit; Fields; Sarver, 2013
Os primeiros conceitos relacionados ao uso de alinhadores ortodônticos foram propostos por Kesling, na década de 1940. Contudo, nesse período, a técnica não teve ampla aceitação, em razão do ceticismo da comunidade odontológica e da pouca difusão científica sobre o método. Com o passar dos anos, os avanços nos materiais odontológicos e, principalmente, o desenvolvimento da tecnologia tridimensional (3D) possibilitaram maior precisão na confecção desses dispositivos, tornando-os gradualmente mais viáveis e populares na prática clínica (Kesling, 1945).
Desde sua introdução, os alinhadores invisíveis e removíveis, também inseridos no contexto da chamada ortodontia estética, passaram por significativas transformações, abrangendo diferentes modelos com variados mecanismos de ação, formas de fabricação e protocolos de uso. Apesar das diferenças entre os sistemas, todos compartilham um princípio básico: são confeccionados em plástico transparente termoformado, recobrem totalmente as arcadas dentárias e são trocados de maneira sequencial, de modo a promover movimentações progressivas e controladas dos dentes até a obtenção da posição planejada (Bocio; Liu, 2010).
Nos últimos anos, os alinhadores invisíveis têm emergido como uma alternativa estética e funcional aos aparelhos ortodônticos convencionais. Inicialmente indicados para casos leves a moderados, os avanços tecnológicos permitiram sua aplicação em cenários mais desafiadores, como a correção da Classe II, com o auxílio de recursos auxiliares como elásticos intermaxilares, attachments específicos e dispositivos de ancoragem temporária (Lopes; Alvarez; Martinez, 2020).
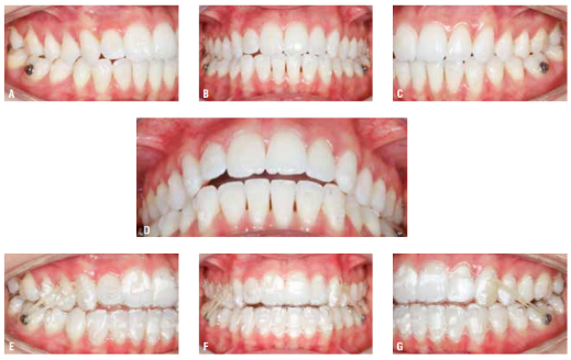
Figura 4: Fotos intrabucais após a colocação dos attachments (A-D) e instalação dos alinhadores com elásticos de classe II (E-G)

Fonte: Moro et al., 2021
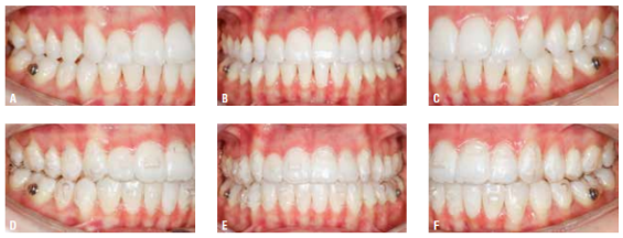
Figura 5: Fotos intrabucais 8 meses após o início do tratamento

Fonte: Moro, et al., 2021
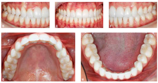
Figura 6: Fotos intrabucais após o término do tratamento (A-H)

Fonte: Moro et al., 2021
A biomecânica dos alinhadores é fundamentalmente distinta dos aparelhos fixos. Enquanto os braquetes utilizam forças contínuas por meio de fios ortodônticos, os alinhadores operam com forças intermitentes e dependem da elasticidade do material e da precisão no planejamento digital (Brown; Jones, 2021). Isso torna a previsibilidade dos movimentos dentários um fator crítico, especialmente em manobras como a distalização de molares, tipicamente requerida nos casos de Classe II (Li et al., 2020).
Diversos estudos clínicos e revisões sistemáticas têm explorado a eficácia dos alinhadores nesses tratamentos. Uma revisão recente destacou que, embora os alinhadores possam promover distalização significativa dos molares superiores, os resultados são potencialmente mais previsíveis quando combinados com elásticos de Classe II e ancoragem suplementar (Weir, 2017). Além disso, a cooperação do paciente desempenha papel central, uma vez que o uso inadequado dos alinhadores compromete a expressão dos movimentos planejados (Papadimitriou et al., 2018).
A literatura também aponta que os alinhadores tendem a proporcionar maior conforto e menor impacto na qualidade de vida dos pacientes durante o tratamento, em comparação aos aparelhos fixos, o que pode favorecer a adesão ao longo do tempo (Rossini et al., 2015). Entretanto, há limitações quanto à previsibilidade de determinados movimentos, como rotações severas, extrusões e controle de torque em dentes posteriores, o que exige planejamento cuidadoso e, em alguns casos, abordagens híbridas (Krieger et al., 2019).
MATERIAIS E MÉTODOS
Trata-se de uma revisão narrativa da literatura, cuja finalidade foi reunir, analisar e sintetizar os resultados de pesquisas relevantes sobre a eficiência dos alinhadores invisíveis no tratamento da má oclusão Classe II. Esse tipo de revisão permite a incorporação de diversas metodologias, tanto quantitativas quanto qualitativas, contribuindo para uma compreensão abrangente do fenômeno estudado (Mendes; Silveira; Galvão, 2008; Whittemore; Knafl, 2005).
A elaboração da revisão seguiu as seis etapas propostas por Souza, Silva e Carvalho (2010): Elaboração da questão de pesquisa; Definição dos critérios de inclusão e exclusão; Identificação dos estudos nas bases de dados; Avaliação crítica dos estudos incluídos; Extração e organização dos dados; Apresentação e síntese dos resultados.
Como questão norteadora que guiou esta revisão foi: “Os alinhadores invisíveis são eficazes no tratamento da má oclusão Classe II?”.
O critérios de inclusão utilizados na seleção dos artigos foram Idiomas em português, inglês e espanhol; Estudos originais (ensaios clínicos, estudos observacionais), revisões sistemáticas ou meta-análises; Estudos que avaliaram a eficiência de alinhadores invisíveis no tratamento da má oclusão Classe II, sem restrição quanto ao período de publicação. E, como critérios de exclusão: Relatos de caso; Estudos com má qualidade metodológica; Trabalhos que abordavam apenas outros tipos de má oclusão.
A busca foi realizada entre outubro e dezembro de 2024 nas bases de dados PubMed/MEDLINE, Web of Science e Biblioteca Virtual em Saúde (BVS). Os descritores foram combinados com operadores booleanos da seguinte forma: (“Class II malocclusion” AND “clear aligners”) OR (“Class II malocclusion” AND “Invisalign”) OR (“orthodontic treatment” AND “clear aligners”). Os descritores foram utilizados conforme os vocabulários DeCS e MeSH. Não foi estabelecida limitação temporal para a seleção das publicações, de modo a contemplar tanto os trabalhos pioneiros quanto as produções mais recentes sobre o tema, com aplicação de filtros por idioma, tipo de estudo e disponibilidade do texto completo.
Os resultados da busca foram inicialmente organizados no gerenciador de referências Zotero, e os duplicados foram excluídos. Dois revisores independentes analisaram os títulos e resumos. Em seguida, os artigos potencialmente elegíveis foram lidos na íntegra. Os desacordos foram resolvidos por consenso.
Para padronizar a coleta e facilitar a análise, foi elaborada uma matriz de extração com os seguintes elementos:
Tabela 1 – Elementos extraídos de cada estudo incluído na revisão
| Elemento Extraído | Descrição |
| Autor e ano | Nome do(s) autor(es) e ano de publicação do estudo |
| Tipo de estudo | Ensaio clínico, estudo retrospectivo, revisão sistemática, meta-análise etc. |
| Amostra | Número de participantes ou estudos incluídos |
| Tipo de má oclusão Classe II | Dentária, esquelética ou mista |
| Intervenção realizada | Uso de alinhadores invisíveis (marca, protocolo, tempo de uso) |
| Estratégias auxiliares | Elásticos intermaxilares, ancoragem esquelética, attachments etc. |
| Resultados principais | Desfechos clínicos e/ou medidas de eficácia |
| Limitações apontadas | Fragilidades metodológicas e limitações dos autores |
Fonte: Elaborado pelo autor, 2025
Os dados extraídos foram organizados em planilhas do Microsoft Excel e submetidos a análise descritiva, com base na frequência dos achados e nas principais conclusões dos autores.
Por se tratar de uma revisão narrativa da literatura, não houve coleta de dados com seres humanos, motivo pelo qual este estudo não necessitou de submissão ao Comitê de Ética em Pesquisa (CEP), conforme a Resolução nº 466/2012 do Conselho Nacional de Saúde.
RESULTADO E DISCUSSÃO
A busca sistematizada nas bases de dados resultou em 287 estudos inicialmente identificados. Após a remoção dos duplicados e aplicação dos critérios de elegibilidade, 19 artigos foram incluídos na amostra final, entre os quais 11 estudos clínicos, 5 revisões sistemáticas e 3 estudos retrospectivos. A distribuição temporal mostrou um aumento da produção científica entre os anos de 2018 e 2023, evidenciando a atualidade e relevância da temática.
Os estudos analisados foram organizados quanto ao tipo de má oclusão Classe II abordada, protocolo terapêutico com alinhadores, tipo de estudo, desfechos clínicos avaliados e principais conclusões. A seguir, apresenta-se a Tabela 1 com a síntese dos principais achados:
Tabela 2 – Características dos estudos incluídos na revisão narrativa
| Autor (Ano) | Tipo de Estudo | Amostra | Tipo de Classe II | Intervenção com Alinhadores | Desfechos Avaliados | Principais Resultados |
| Bologna-Molino et al. (2022) | Revisão sistemática | 14 estudos | Dentária e esquelética | Alinhadores + elásticos | Distalização, tempo de tratamento | Resultados positivos em Classe II dentária com apoio de recursos auxiliares |
| Li et al. (2020) | Meta-análise | 8 ensaios clínicos | Classe II leve | Alinhadores Invisalign® | Eficiência e previsibilidade dos movimentos | Boa eficiência em casos leves; controle de torque limitado |
| Krieger et al. (2019) | Estudo clínico retrospectivo | 30 pacientes | Dentária | Alinhadores | Correção de overjet e overbite | Correção satisfatória; uso dos elásticos necessário |
| Rossini et al. (2015) | Revisão sistemática | 11 estudos | Dentária | Alinhadores com attachments | Previsibilidade dos movimentos dentários | Alta previsibilidade para inclinação; menor para rotação e extrusão |
| Zhu et al. (2021) | Estudo clínico prospectivo | 24 pacientes | Classe II moderada | Alinhadores + mini-implantes | Estabilidade e controle do movimento | Ancoragem esquelética melhora resultados e reduz tempo de tratamento |
| Papadimitriou et al. (2018) | Revisão sistemática | 9 estudos | Variável | Alinhadores com elásticos | Efetividade geral no tratamento Classe II | Recomendação para casos com boa colaboração e planejamento digital detalhada |
Fonte: Elaborado pelo autor, 2025
Os resultados desta revisão narrativa demonstram que os alinhadores invisíveis podem ser considerados uma alternativa eficiente e previsível para o tratamento da má oclusão Classe II de origem predominantemente dentária, especialmente em pacientes cooperativos e com adequada seleção de casos.
Os achados encontrados são coerentes com o avanço da ortodontia digital e refletem a evolução dos planejamentos por software, que permitem simulações biomecânicas complexas com maior controle clínico (Weir, 2017; Zhu et al., 2021).
A distalização dos molares superiores, movimento essencial para a correção de Classe II dentária, foi o mais explorado nos estudos e demonstrou resultados clínicos satisfatórios. No entanto, esse movimento exige a utilização de estratégias auxiliares, como attachments específicos, elásticos intermaxilares e, por vezes, ancoragem esquelética, a fim de compensar as limitações inerentes à biomecânica dos alinhadores (Papadimitriou et al., 2018; Bologna-Molino et al., 2022).
Por outro lado, o controle de movimentos mais complexos, como rotação de pré-molares, controle radicular e extrusão de incisivos, ainda apresenta limitações técnicas quando comparado aos aparelhos fixos. Isso sugere que, embora a tecnologia dos alinhadores tenha avançado consideravelmente, ela ainda não substitui integralmente as abordagens tradicionais em todos os contextos clínicos (Krieger et al., 2019).
Outro ponto de destaque refere-se à adesão do paciente, fator diretamente ligado ao sucesso terapêutico. Diferentemente dos aparelhos fixos, que exercem forças contínuas, os alinhadores dependem do uso mínimo diário de 20 a 22 horas para que os movimentos planejados ocorram adequadamente. Isso implica que o engajamento do paciente deve ser considerado um critério essencial na seleção do protocolo terapêutico (Rossini et al., 2015).
Em relação à comparação com tratamentos convencionais, os alinhadores mostraram-se igualmente eficazes, com a vantagem adicional de promoverem melhor qualidade de vida durante o tratamento, sobretudo em relação à estética e ao conforto. No entanto, o tempo total de tratamento pode ser ligeiramente maior, a depender da complexidade do caso e da colaboração do paciente (Li et al., 2020).
Portanto, os achados desta revisão sugerem que os alinhadores invisíveis são indicados para casos de Classe II dentária leve a moderada, desde que haja planejamento minucioso, utilização de recursos complementares e boa adesão do paciente. Casos com componente esquelético acentuado ainda requerem, na maioria das vezes, terapias combinadas ou cirúrgicas para resultados satisfatórios.
CONSIDERAÇÕES FINAIS
A pesquisa permitiu sintetizar as evidências disponíveis sobre a eficácia dos alinhadores invisíveis no tratamento da má oclusão Classe II, destacando seu papel crescente como alternativa viável aos aparelhos ortodônticos convencionais. Os estudos analisados demonstraram que, embora a maior eficiência dos alinhadores seja observada em casos de Classe II dentária leve a moderada, os resultados podem ser otimizados com a associação de dispositivos auxiliares, como elásticos intermaxilares, attachments otimizados e ancoragem esquelética.
Apesar de apresentarem algumas limitações biomecânicas em movimentos complexos, os alinhadores oferecem vantagens clínicas relevantes, como maior conforto para o paciente, facilidade de higienização, menor número de urgências e elevada aceitação estética. Além disso, a previsibilidade dos movimentos tem se mostrado satisfatória quando o planejamento virtual é rigoroso e a colaboração do paciente é mantida.
Contudo, é importante ressaltar que a escolha da abordagem terapêutica deve ser individualizada, considerando o tipo e a gravidade da má oclusão, os objetivos do tratamento, a experiência do ortodontista e o perfil do paciente. O uso dos alinhadores requer um planejamento criterioso, acompanhamento contínuo e engajamento do paciente para alcançar os resultados esperados.
Por fim, embora os alinhadores invisíveis se consolidem como uma ferramenta eficaz no manejo da Classe II, ainda são necessários ensaios clínicos controlados de longo prazo para avaliar sua eficácia comparativa em casos mais severos e sua estabilidade a longo prazo. A evolução tecnológica e a integração com recursos digitais certamente continuarão expandindo as possibilidades terapêuticas nessa área.
REFERÊNCIAS
ANGLE, E.H. The latest and best in orthodontic mechanism.Dent. Cosm.,Philadelphia, v. 70, no. 12, p. 1143-1158, Dec. 1899.
BOCIO, J. A.; LIU, D. Movimentação dentária mais rápida, melhor e indolor: será possível?. Dental Press Journal of Orthodontics, v.15, n.6, p.14-1. DOI:http://doi.org/10.1590/S2176-94512010000600002. 2010.
BOLOGNA-MOLINO, C. et al. Effectiveness of clear aligners in Class II malocclusion treatment: a systematic review. Progress in Orthodontics, Heidelberg, v. 23, n. 1, p. 1–15, 2022. Disponível em: https://progressinorthodontics.springeropen.com/articles/10.1186/s40510-022-00414-9 . Acesso em: 05 abr. 2025.
BORDIN, S. M. Tratamento ortodôntico da má oclusão de Classe II, primeira divisão. 2013. 17 f. Trabalho de Conclusão de Curso (Graduação em Odontologia) – Universidade Estadual de Londrina, Londrina, 2013.
BRODIE, A. G. (1931). The Angle Concept of Class II Division 1 Malocclusion. The Angle Orthodontist, 1(4), pp. 117-138
FERREIRA, F. V. Ortodontia : diagnóstico e planejamento. 7ª ed. São Paulo: Artes Médicas, 2008 99-114.
FLEMING, P. S.; O’BRIEN, K. The effectiveness of clear aligners for orthodontic treatment: A systematic review. Orthodontics & Craniofacial Research, v. 22, n. 2, p. 133-141, 2019.
FREITAS, M. R. et al. (2005). Cephalometric characterization of skeletal Class II, division 1 malocclusion in white Brazilian individuals. Journal of Applied Oral Science, 13(3), 254–260. https://doi.org/10.1590/S1678-77572005000300004
HENRIQUES, R. P. Aparelhos extrabucais para interceptação e/ou correção da má-oclusão de Classe II de Angle. OrtodontiaSPO, v. 41, n.3, p.200-206, 2008
KESLING.; HAROLD, D. Coordinating the predetermined pattern and tooth positioner with conventional treatment. American journal of orthodontics and oral surgery, 1946.
KRIEGER, E. et al. Accuracy of Invisalign® treatments in the anterior dentition: A retrospective study. BMC Oral Health, Londres, v. 19, n. 1, p. 1–9, 2019. Disponível em: https://bmcoralhealth.biomedcentral.com/articles/10.1186/s12903-019-0854-8 . Acesso em: 05 abr. 2025.
LI, X. et al. Efficiency and effectiveness of clear aligners: a systematic review and meta-analysis. The Angle Orthodontist, St. Louis, v. 90, n. 3, p. 442–449, 2020. Disponível em: https://meridian.allenpress.com/angle-orthodontist/article/90/3/442/433176 . Acesso em: 07 abr. 2025.
LI, X. et al. Clear aligner treatment efficiency and effectiveness: a systematic review. American Journal of Orthodontics and Dentofacial Orthopedics, v. 157, n. 2, p. 199-208, 2020.
LOPEZ, R.; ALVAREZ, G.; MARTINEZ, D. Efficiency of clear aligners in the correction of Class II malocclusion: A systematic review and meta-analysis. American Journal of Orthodontics and Dentofacial Orthopedics, v. 158, n. 3, p. 420–432, 2020. DOI: https://doi.org/10.1016/j.ajodo.2020.01.013.
MALTAGLIATI, L. Á.; GALLENZI, P.; MEULI, S. (2006). Analysis of the changes in occlusal plane inclination in a Class II deep bite “teen” patient treated with clear aligners: A case report. International Journal of Environmental Research and Public Health, 19(2), 651. https://doi.org/10.3390/ijerph19020651
MCNAMARA, J. A. Early intervention in the treatment of Class II malocclusion. American Journal of Orthodontics and Dentofacial Orthopedics, v. 130, n. 6, p. 739-745, 2006.
MCNAMARA, J. A. Components of Class II malocclusion in children 8–10 years of age. Angle Orthodontist, v. 66, n. 3, p. 177-190, 2006.
MENDES, K. D. S.; SILVEIRA, R. C. C. P.; GALVÃO, C. M. Integrative literature review: a research method to incorporate evidence in health care and nursing. Texto & Contexto Enfermagem, v. 17, n. 4, p. 758–764, 2008.
MILLER, K. B. et al. Adult satisfaction with orthodontic treatment outcomes: a systematic review. European Journal of Orthodontics, v. 42, n. 1, p. 1-10, 2020.
MORO, A. et al. Tratamento da Classe II com Invisalign. Ortho Sci., Orthod. sci. pract, p. 107-119, 2021.
PANCHERZ, H.; GIANELLY, A. A. Treatment of Class II malocclusion: functional appliances and clear aligners. Seminars in Orthodontics, v. 24, n. 4, p. 307-314, 2018.
PAPADIMITRIOU, A. et al. Clinical effectiveness of Invisalign® orthodontic treatment: a systematic review. BMC Oral Health, Londres, v. 18, n. 1, p. 1–10, 2018. Disponível em: https://bmcoralhealth.biomedcentral.com/articles/10.1186/s12903-018-0492-8 . Acesso em: 06 abr. 2025.
PILATO, G. et al. Clear aligner treatment of Class II malocclusion: a review of current evidence. Journal of Clinical Orthodontics, v. 55, n. 3, p. 163-171, 2021.
PROFFIT, W. R.; FIELDS, H. W.; SARVER, D. M. Contemporary Orthodontics. 5th ed. St. Louis: Mosby Elsevier, 2013.
ROSSINI, G. et al. Efficacy of clear aligners in controlling orthodontic tooth movement: a systematic review. The Angle Orthodontist, St. Louis, v. 85, n. 5, p. 881–889, 2015. Disponível em: https://meridian.allenpress.com/angle-orthodontist/article/85/5/881/58538 . Acesso em: 07 abr. 2025.
SHUHAIB, M. et al. Prevalence of malocclusion in different populations: systematic review. Journal of Orthodontic Science, v. 2, n. 3, p. 65-70, 2013.
SOUZA, M. T.; SILVA, M. D.; CARVALHO, R. Revisão integrativa: o que é e como fazer. Einstein (São Paulo), São Paulo, v. 8, n. 1, p. 102–106, 2010. Disponível em: https://journal.einstein.br/article/revisao-integrativa-o-que-e-e-como-fazer/ . Acesso em: 5 abr. 2025.
WEIR, T. Clear aligners in orthodontic treatment. Australian Dental Journal, Sidney, v. 62, n. 1, p. 58–62, 2017. Disponível em: https://onlinelibrary.wiley.com/doi/abs/10.1111/adj.12480. Acesso em: 05 abr. 2025.
WHITTEMORE, R.; KNAFL, K. The integrative review: updated methodology. Journal of Advanced Nursing, v. 52, n. 5, p. 546–553, 2005. DOI: https://doi.org/10.1111/j.1365-2648.2005.03621.x.
ZHU, Y. et al. Biomechanical considerations in clear aligner therapy for complex cases. Angle Orthodontist, v. 91, n. 5, p. 665-673, 2021.
ZHU, Y. et al. Clear aligners treatment efficiency: a clinical and biomechanical perspective. Orthodontics & Craniofacial Research, Hoboken, v. 24, n. 1, p. 12–20, 2021. Disponível em: https://onlinelibrary.wiley.com/doi/10.1111/ocr.12390. Acesso em: abr. 2025.
1Cirurgião-dentista, pelo Centro Universitário DinÂmica das Cataratas -UDC. * e-mail para correspondência: parafalauschner@gmail.com
