REGISTRO DOI: 10.69849/revistaft/cl10202510111255
Adail Rosa Alvarenga Junior
Gabriela Galhardi Mamede
Larissa Gonçalves Dias
Resumo:
A odontologia considera o primeiro molar permanente como elemento chave no equilíbrio do sistema estomatognático. Este dente surgiu aos 6 anos, entretanto, começa sua formação aos 3 meses de vida intra-uterina, originando-se diretamente da lâmina dura. O irrompimento se dá guiado pela face distal do segundo molar decíduo, sua perda provoca alterações graves, tanto estética quanto funcional, além de má oclusão. Observando a importante função que desempenha o primeiro molar permanente no sistema estomatognático, assim como as consequências que sua perda leva, torna-se fundamental que se mantenha a integridade deste dente e de seus vizinhos para evitar transtornos como inclinação mesial do segundo molar e inclinação distal do segundo pré-molar, reabsorção vertical do osso alveolar na área correspondente ao primeiro molar perdido, e outras significativas alterações na região anterior do arco, levando a ocorrência de diastemas, desvios de linha média e migração de caninos em direção distal. Assim, analisando a importância do primeiro molar permanente, torna-se necessário a presença do elemento na arcada dentária, dando como umas das soluções da perda do elemento o transplante dental.
Descritores: Transplante dental autógeno, perda precoce do primeiro molar, reabilitação oclusal
Introdução:
Os primeiros registros de transplantes de dentes foram no antigo Egito, onde os escravos eram forçados a dar seus dentes aos faraós. Os primeiros relatos escritos sobre o tema surgiram com o famoso cirurgião árabe Albucasis, em 1050; porém, quem descreveu com pormenores o primeiro transplante homogêneo com sucesso foi Ambroise Paré, em 1564.
O transplante dentário autógeno é a movimentação cirúrgica de um dente – vital ou tratado endodonticamente – do seu lugar original na cavidade bucal para outro lugar. Esse tipo de transplante autógeno foi documentado pela primeira vez por Hale, sendo que até os dias atuais os princípios dessa técnica cirúrgica são praticamente os mesmos. O protocolo do transplante dental foi introduzido por Apfel e Miller, sendo que Flemingen mostrou os critérios para seu sucesso e Costich apresentou os fatores para o sucesso e as falhas na realização de transplantes. O sucesso de transplantes de germe dentário depende da integridade da membrana periodontal ou saco dentário; também é influenciado pela assepsia e técnica cirúrgica atraumática, bem como do menor tempo de permanência extra-alveolar do dente a ser transplantado. Além disso, deve-se considerar que a possibilidade de transplante é aumentada pelo fato da odontogênese tardia de terceiros molares em relação aos demais dentes. Segundo Marzola, há três maneiras de classificar-se o transplante dentário: de acordo com a relação taxonômica entre o doador e o receptor (autógeno); de acordo com a relação anatômica entre a origem do dente doado e a localização do transplante (isotópico), e de acordo com a viabilidade do transplante (homovital). O transplante dentário pode ser indicado em casos de ausência dentária congênita, perdas prematuras de molares permanentes, traumatismos, iatrogenias, perdas dentárias ocasionadas por tumores e, ainda, quando o tratamento protético for inviável por motivos sócio econômicos. Outras condições devem ser consideradas, incluindo o irrompimento atípico de dentes, reabsorção radicular, lesões endodônticas extensas, fraturas radiculares cervicais, periodontite juvenil, assim como outras patologias. Os pacientes devem estar em boas condições de saúde, além de aptos a seguirem instruções pós-operatórias, como a boa higienização bucal e disponíveis para acompanhamento do caso.
O germe dental a ser transplantado deve apresentar desenvolvimento de no mínimo um terço e no máximo de dois terços radiculares; diâmetro mesiodistal do germe igual ou menor ao do dente que irá substituir; germe em posição favorável para ser extraído sem ser lesado; ausência de lesões periodontais e infecção aguda no alvéolo receptor, e o leito receptor deve ser amplo o suficiente para que toda estrutura a ser transplantada tenha livre acesso.
Relato de caso:
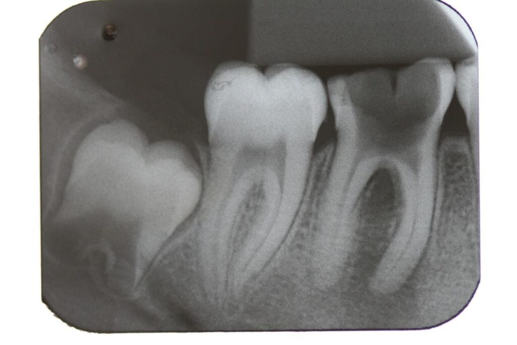
Paciente, sexo feminino, 15 anos de idade compareceu a clinica Consult Odontologia, em Tucuruí-PA, com histórico de perca precoce do primeiro molar inferior direito (dente 46). Ao exame clínico, observou-se presença de destruição coronária e desarmonia oclusal. Através de uma radiografia periapical, confirmou-se o diagnóstico de necrose pulpar com comprometimento da estrutura dentária, com rarefação óssea indicando lesão periapical no dente em questão (figura 1).
Figura 1 – radiografia de diagnóstico

Técnica cirúrgica realizada em dois passos. Primeiramente, exodontia do elemento 46 (1° molar), curetagem do alvéolo para eliminar focos de infecção e preparação do alvéolo para o futuro transplante. (figura 2 e 3).

Após quinze dias foi feito a avaliação do alvéolo que receberá o dente transplantado, que neste caso não apresentou contraindicação para o procedimento. Feito a exodontia do 48 (3° molar) com o cuidado de não manipular as fibras do ligamento periodontal que são de suma importância para o sucesso do procedimento. (figura 4 e 5).
Figura 4 – Exodontia do elemento 48.

Figura 5 – retirada do elemento do alvéolo, mantendo o cuidado de não agredir as fibras do ligamento periodontal.

Desgastes nas proximais da coroa do dente transplantado foram necessárias para melhor adaptação do dente no novo posicionamento na arcada dentária (figura 6 e 7).
Figura 6 – desgaste nas proximais da coroa do elemento transplantado

Figura 7 – Dente posicionado no alvéolo dentário

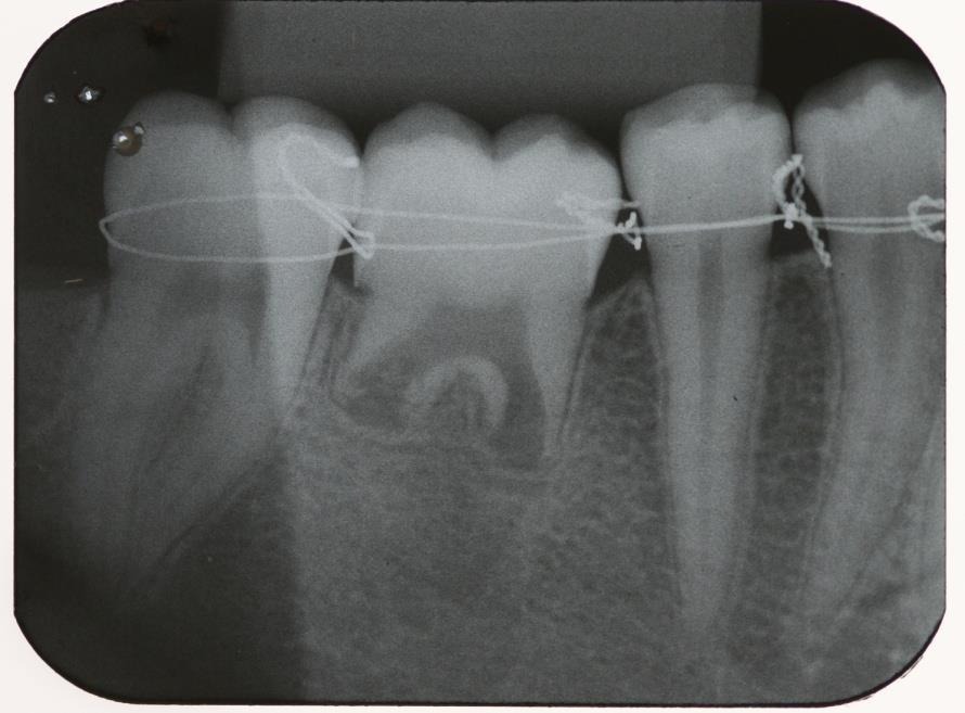
Após sutura do tecido foi feito contenção semi-rígida com fio ortodôntico n° 0 para fixação do elemento dentário no alvéolo, posicionado elemento transplantado abaixo da linha de oclusão para evitar traumas oclusais (figura 8 e 9).

Longo prazo de proservação avaliando imagens radiográficas bem como exames clínicos, retirada da contenção após 60 dias, só então afirmar sucesso no procedimento cirúrgico realizado. (figura 10 e 11).
Figura 10 – Neoformação Óssea.

Figura 11 – após remoção da contenção.

CONSIDERAÇÕES FINAIS
É importante ressaltar que existem outras formas de tratamento para repor essa perda dentária, apesar de não muito realizado transplante dental autógeno também é uma opção, que no caso em questão, teve sucesso no tratamento.
Referências
Clokie C.M.L.; Yau D.M.; Chano L. Autogenous tooth transplantation: an alternative to dental implant placement. J Can Dent Assoc 2001; 67:92-96.
Pires M.S.M.; Giorgis R.S.; Castro A.G.B.; Beltrame J.; Saueressing F. Transplante autógeno de germe de terceiro molar inferior com rizogênese completa para alvéolo de primeiro molar inferior. Rev Bras Cir Implant 2002; 34:157-163.
Marzola C. Transplantes e reimplantes. São Paulo: Pancast; 1994.
Sebben G.; Castilhos M.D.S.; Silva R.F.C. Transplante autógenos de terceiro molares inclusos. Revista da ADP-PUCRS 2004; 5:109-11.
Gregori C. Cirurgia buco-dento-alveolar. São Paulo: Sarvier; 1996.