UPPER LIP FRENECTOMY IN THE PEDIATRIC DENTISTRY CLINIC USING HIGH POWER DIODE LASER: CASE REPORT
REGISTRO DOI: 10.69849/revistaft/ra10202510142154
Sasha Regina das Graças Saldanha¹; Maxwell Eduardo Neves de Oliveira²; Athus Michel Flexa Conceição²; André Alencar de Lemos³; Pedro Henrique Araujo Nogueira4; Camylle Ferreira Gaspar4; Suelen Castro Lavareda Corrêa5; Davi Lavareda Corrêa6; Vania Castro Corrêa7; Rosely Maria dos Santos Cavaleiro8
RESUMO
O frênulo labial é uma prega fina da membrana mucosa composta por tecido conjuntivo e fibras musculares que fixa os lábios à mucosa alveolar ou gengiva por inserção periosteal. A frenectomia labial é uma técnica cirúrgica, podendo ser realizada de modo convencional com bisturi manual, bisturi elétrico ou laser de diodo, que visa remover o frênulo com sua fixação ao osso subjacente. No presente caso clínico de menina fóbica, 9 anos, optou-se pelo laser cirúrgico, visando a redução do tempo operatório, prevenção de dor e infecções pós-cirúrgicas, modulação da inflamação e aceleração da reparação tecidual. Obteve-se sucesso no procedimento e resultado de acordo com o esperado, comprovando a eficácia do laser de alta potência de diodo no atendimento odontopediátrico para casos de frenectomia labial como o descrito.
Palavras-chave: Laser de diodo; Frenectomia; Odontopediatria
ABSTRACT
The labial frenulum is a thin fold of mucous membrane composed of connective tissue and muscle fibers that attaches the lips to the alveolar mucosa or gingiva by periosteal insertion. Labial frenectomy is a surgical technique that can be performed conventionally with a manual scalpel, electric scalpel or diode laser, which aims to remove the frenulum and its attachment to the underlying bone. In the present clinical case of a phobic 9-year-old girl, surgical laser was chosen to reduce operative time, prevent pain and post-surgical infections, modulate inflammation and accelerate tissue repair. The procedure was successful and the result was as expected, proving the effectiveness of high-power diode laser in pediatric dental care for cases of labial frenectomy such as the one described.
Keywords: Diode laser; Frenectomy; Pediatric dentistry.
Introdução
O frênulo labial ou freio labial são fibras que formam pregas ou dobras de membrana mucosa que ligam o lábio superior ou inferior à mucosa alveolar, gengiva e periósteo subjacente, localizados na linha mediana entre os incisivos centrais da maxila ou mandíbula (ROSA et al., 2018). Em condições normais, insere-se no limite mucogengival, assim sendo, na depressão em forma de “V” que separa a gengiva aderida da mucosa alveolar (DIÁZ-PIZÁN, 2006).
O freio é uma estrutura dinâmica e modificável e está sujeito a mudanças de forma, tamanho e posição ao longo das diferentes fases do crescimento e desenvolvimento (KIRAN et al., 2007; DIÁZ-PIZÁN, 2006), sendo a função dos freios labiais limitar o movimento ou parte do movimento do órgão a que está ligado, ou seja, limitando parte do movimento dos lábios impedindo movimentos exagerados (GONTIJO et al., 2005).
As consequências de um freio anormal incluem recuo gengival, redução da profundidade da área vestibular, restrição do movimento dos lábios e desenvolvimento da papila interdental, resultando em um espaço entre os dentes (KADKHODAZADEH et al., 2018).
A frenectomia é o tratamento mais indicado para a correção dessas alterações, auxiliando nos tratamentos endodônticos e estéticos, além de devolver a correta movimentação dos lábios e da língua (RECCHIONI C et al., 2021). O diagnóstico precoce torna o prognóstico favorável ao bom desenvolvimento das funções orais íntegras do sistema estomatognático. O diagnóstico pode ser feito ao nascimento com o teste da linguinha, envolvendo uma equipe multiprofissional ou em qualquer unidade de saúde por um cirurgião-dentista.
O freio labial normalmente tem a função de limitar os movimentos exagerados dos lábios. Quando sua inserção ultrapassa o limite muco gengival, pode ocorrer um repuxo anormal do lábio e da gengiva marginal, dificultando a movimentação labial levando a tais complicações, como retração gengival e exposição radicular (PINHEIRO, 2018).
O diagnóstico desta condição é realizado através de exame clínico e radiográfico e se baseia nas seguintes características clínicas: inserção baixa junto à margem gengival ou na papila palatina, isquemia da região de papila palatina quando o freio é tracionado e diastema interincisivo mediano. Quando se avalia a presença do diastema interincisivos, deve-se medir as proporções entre os dentes e os arcos, descartando uma discrepância positiva que justificaria o mesmo (MORAIS et al., 2014; SANTOS et al., 2014).
Existem duas formas de intervenção cirúrgica para a remoção do freio anormal: a frenotomia, que consiste na remoção parcial do freio e no reposicionamento de sua inserção em uma posição favorável e a frenectomia que é a remoção total do freio (DELMONTES et al., 2021) e tem como objetivo a eliminação do excesso de tecido, a redução da tensão dos tecidos gengivais marginais, auxiliando na estabilidade e prevenção da recidiva do diastema, além de restabelecer a anatomia da região, melhorando a estética e prevenindo problemas periodontais.
A frenectomia labial pode ser efetuada de modo convencional com material cirúrgico como o bisturi e pinça ou com um laser de tecidos moles (KIRAN et al., 2007). Estas técnicas apresentam várias diferenças quanto ao nível da sua execução, da anestesia necessária, na sua técnica de execução na cicatrização e no pós-operatório (SANTOS, 2007).
No presente caso clínico relatado, optou-se pelo uso do laser de diodo de alta potência (comprimento de onda de 800 a 980nm; 1054nm), que é indicado para corte e remoção de tecido mole bucal por promover analgesia, corte, vaporização e coagulação sanguínea. Todos estes processos favorecem a hemostasia, dispensam o uso de sutura e geram melhor cicatrização de feridas (ROMANOS et al., 1999; COLUZZI et al., 2004; AKBULUT et al., 2013), reduzindo, dessa forma, estresse, ansiedade, tempo de atendimento e complicações pós-operatórias, o que é de suma importância no atendimento de crianças fóbicas.
Objetivo
Relatar a eficácia clínica do uso do laser de diodo de alta potência em um caso de remoção de freio labial superior realizada em uma paciente com dentição mista.
Métodos
As informações contidas neste relato de caso clínico foram obtidas por meio de revisão de prontuário, entrevista com equipe presente nos dias de atendimento da paciente, registros fotográficos, radiografia panorâmica e revisão de literatura sobre o tema abordado.
Relato de Caso
Paciente M.G.S., gênero feminino, 9 anos, chegou à Clínica de Odontopediatria da Faculdade de Odontologia da Universidade Federal do Pará (FO-UFPA), no dia 15 de maio de 2023, acompanhada dos responsáveis legais, que apresentaram como queixa principal “a posição errada do dente da frente e lábio superior preso entre os dentes centrais superiores que não a deixavam sorrir”. Além disso, a criança apresentava uma lesão no lábio superior compatível com trauma dos dentes na região devido ao freio que limitava sua movimentação dos lábios.
Durante a anamnese, a mãe informou que levou a filha em vários profissionais, mas que ela não aceitava fazer o procedimento por medo da dor e do sangramento.

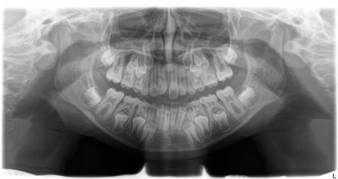
Figura 1: A radiografia panorâmica mostra o mal posicionamento dos incisivos centrais pela inserção anômala do freio labial superior
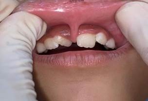
Na avaliação intraoral e de radiografia panorâmica, observou-se que havia espaçamento entre os dentes 11 e 21, mordida cruzada anterior, apinhamento dentário, dentição mista e uma inserção alta do frênulo labial superior estendendo-se para a região interincisal palatina. Anotadas as informações, fez-se o registro fotográfico autorizado e houve uma conversa com a criança, onde foi explicado a ela a importância do procedimento e como ele seria feito. Foi dito a ela que não ia sangrar, seu rosto não ficaria inchado, não doeria e a cicatrização seria mais rápida do que fazendo a cirurgia tradicional com bisturi. A menina, demonstrando aceitação, foi-lhe entregue um brinquedo como reforço positivo e ela foi liberada junto com os pais, tendo o retorno agendado para a realização da cirurgia.

Figura 2: Fotografia inicial realizada no primeiro atendimento
No dia agendado do retorno, após assinatura do termo de consentimento livre e esclarecido (TCLE), pelo responsável, foi realizada a cirurgia.
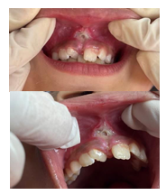
Iniciou-se a cirurgia com uma prévia antissepsia extraoral realizada com clorexidina aquosa 2% e intraoral com antisséptico bucal 0,12% e aplicou-se o anestésico tópico Benzotop 20% no local. Após 2 minutos, infiltrou-se, bilateralmente, o anestésico local Cloridrato de Lidocaína 2% com Epinefrina 1:100.000 em fundo de vestíbulo dos dentes 11, 12, 21 e 22, e bloqueio de nervo nasopalatino. Depois de 5 minutos, a incisão, iniciada na base do freio e depois na parte superior entre a base desse triângulo. foi realizada com laser de diodo de alta potência (TW SURGICAL – MMO), modo contínuo, comprimento de onda de 808 nm e potência de 4,5W. Foi removida a mucosa do frênulo e o tecido profundo constituído de fibras conjuntivas e musculares. Não foi necessária síntese, pois uma das vantagens do laser cirúrgico de alta potência é a hemostasia instantânea.


Figura 3: A, B, C, D, E, F – Transcirúrgico (incisão, descolamento de fibras, fotovaporização)

Figura 4: TW Surgical, MMO, modo contínuo, comprimento de onda 808 nm e potência 4500 nW

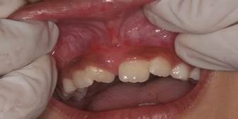
Figura 5: Fotografia realizada imediatamente após a cirurgia
Não houve necessidade de estabilização protetora e o procedimento ocorreu sem sangramento, dor e edema. Ao final, foi realizado um registro de imagem pós cirúrgico, repassadas orientações pós-operatórias e prescrito Paracetamol 200 mg em forma de suspensão, se necessário, de 6 em 6 horas.
Depois de 10 dias, a paciente retornou para reavaliação e apresentou cicatrização dentro do esperado. Não relatou nenhuma sintomatologia dolorosa ou outra queixa.

Figura 5: Sítio cirúrgico 10 dias após a frenectomia
Quando se completaram 24 dias da cirurgia, a criança retornou para consulta de acompanhamento com excelente cicatrização, sem cicatrizes e muito feliz. Após cicatrização completa, a paciente foi encaminhada para a ortodontia.

Figura 6: Sítio cirúrgico 24 dias após a cirurgia
Discussão
O dentista tem o dever de avaliar precocemente a necessidade da cirurgia, porque o prognóstico se torna mais favorável quanto mais rápido for o tratamento, o conhecimento acerca das más oclusões deve estar sempre presente no momento de diagnóstico, pois o diastema, representado pelo espaço dentre os incisivos superiores centrais, pode ocorrer por funções fisiológicas, sem ter necessariamente envolvimento do freio labial (SILVA et al., 2018).
O freio labial maxilar anormal é comum em crianças com dentição primária ou mista. Uma frenectomia é indicada para freio anormal associado a diastema, recessão gengival ou dificuldade na higiene oral.
O uso do laser tem sido estudado por muitos anos em cirurgia oral, também no campo da odontologia pediátrica. Sua eficácia na realização de incisões cirúrgicas precisas e seu controle hemostático são reconhecidos como uma forte vantagem na cirurgia oral pediátrica (OLIVI et al., 2009).
Entre as outras vantagens da cirurgia a laser de tecidos moles, muitos autores concordam com um uso mais rápido e fácil, técnica sem sutura, menor uso de anestesia local, recuperação pós-operatória frequentemente assintomática devido ao efeito descontaminante e fotobiomodulador dos lasers. Especialmente em crianças, essas vantagens fazem a diferença para uma aceitação superior das técnicas a laser quando comparadas à cirurgia convencional (BOJ et al., 2005; HAYTAC et al., 2006; GENOVESE; OLIVI, 2008; KARA, 2008).
Conclusão
A técnica de fazer cirurgias com laser cirúrgico, tanto nas frenectomias linguais como nas labiais, tem tido excelentes resultados quando comparada com as técnicas convencionais, estando referido que para pacientes odontopediátricos esta técnica sai favorecida devido à simplicidade do seu ato cirúrgico.
No caso clínico apresentado, obteve-se um procedimento cirúrgico indolor no trans e pós-operatório, rápido, sem sangramento, atraumático e com excelente resultado.
Sendo assim, pode-se dizer que, para atendimento de crianças, o laser cirúrgico de diodo, quando disponível, torna-se uma escolha de sucesso.
Referências
1. CHAUBEY, KK et al. Cirurgia periodontal: uso de LPF com frenectomia para prevenção de cicatrização. J Sociedade Indiana Periodontal , v. 265–269, 2015.
2. PALERIYA, K. et al. Frenectomia dupla labial maxilar com laser diodo: relato de caso. Cureus , v. 16, n. 6, pág. e63400, 2024.
3. VINCENT, K. et al. Avaliação da eficácia clínica do procedimento de frenectomia labial maxilar usando laser de diodo (980 nm) e bisturi convencional: Um estudo observacional. J Pharm Bioall Sci, v. 15, p. S688–S692, 2023.
4. ROSA, PM et al. Diagnóstico e tratamento cirúrgico do freio labial com inserção labial: relato de caso. Braz J Periodontol, v. 28, n.1, p.5660, 2018.
5. KADKHODAZADEH, M. et al. Amodified frenectomy technique: anewsurgical approach. General dentistry, Vol. 66, n.1, p. 34-38, 2018
6. RECCHIONI, C. et al. Tratamento cirúrgico de frenectomia lingual: Relato de caso. Pesquisa, Sociedade e Desenvolvimento , v. 10, n. 6, pág. e1110614615, 2021.
7. SILVA LS, et al. Frenectomia: revisão de conceitos e técnicas cirúrgicas. SALUSVITA, v.37, n.1, p.139-150, 2018.
8. DIÁZ-PIZÁN, ME; LAGRAVÈRE, MO; VILLENA, R. Diastema da linha média e morfolia do frênulo na dentição decídua. J Dentistry of Children , v. 73, n. 1, p. 11–14, 2006.
9. KIRAN, K.; RATHNA, PV Fechamento espontâneo de diastema da linha média após frenectomia. JIndian Soc Ped Prev Dent , p. 23– 26, 2007.
10. GONTIJO, I. et al. As aplicações dos lasers de diodo e Er:YAG na frenectomia labial em pacientes infantis. Journal of dentistry for children (Chicago, Ill.) , v. 72, n. 1, p. 10–15, 2005.
11. SANTOS, E. S. R. et al. Frenectomia a Laser (Nd:YAP) em Odontopediatria. Odonto, v. 15, n. 29, p. 107–113, 2007.
12. PINHEIRO, A. F. de S. et al. Duas propostas cirúrgicas para frenectomia labial. Al convencional e laser de Alta potência. Rev. Porto. Estomatol. Med. Dente. Cir. Maxilofac., v.59, pag. 125-130, 2018.
13. DELMONDES, F. S. et al. Freio labial superior: Quando e como intervir? Research, Society and Development, v. 10, n. 2, p. e31410212608- e31410212608, 2021.
14. SANTOS, P. D.; OSÓRIO, S. D. R. G.; FRANZIN, L. C. D. S. Diagnóstico e tratamento cirúrgico do freio labial anormal na dentição mista: relato de caso. Brazilian Journal of Surgery and Clinical Research, v. 8, n. 2, p. 41–46, 2014.
15. MORAIS, JF DE et al. Estabilidade pós-contenção após fechamento ortodôntico de diastemas interincisivos maxilares. Journal of applied oral science , v. 22, n. 5, p. 409–415, 2014. doi: 10.1590/1678-775720130472
16. ROMANOS, G.; NENTWIG, G.H. Diode laser (980 nm) in oral and maxillofacial surgical procedures: Clinical observations based on clinical applications. J. Clin. Laser Med. Surg, n.17, p.193–197, 1999.
17. COLUZZI, D.J. Fundamentals of dental lasers: Science and instruments. Dent. Clin. N. Am, v.48, p.751–770, 2004.
18. AKBULUT, N.; KURSUN, E.S.; TUMER, M.K.; KAMBUROGLU, K.; GULSEN, U. Is the 810-nm diode laser the best choice in oral soft tissue therapy? Eur J Dent, n.7,p.207- 11, 2013.
19. KOMORI, S. et al. Estudo clínico de tratamento a laser para frenectomia em pacientes pediátricos. Revista Internacional de Odontologia Pediátrica Clínica, julho-setembro de , v. 10, p. 272–277, 2017.
20. DIOGUARDI, M. et al. Frenectomia labial com laser: uma revisão do escopo. Hinduwi International Journal of Dentistry , v. 2023, Artigo ID 7321735, 7 páginas https://doi.org/10.1155/2023/7321735.
¹Cirurgiã-dentista, Residente de Patologia Bucal, Hospital Universitário João de Barros Barreto, Universidade Federal do Pará – sashasaldanha98@gmail.com
²Cirurgiões-dentistas, Residentes de Atenção Integral no Sistema Público de Saúde, Hospital Universitário João de Barros Barreto, Universidade Federal do Pará
³Cirurgião-dentista, Residente de Pacientes Críticos, Hospital Universitário João de Barros Barreto, Universidade Federal do Pará
4Graduandos em Odontologia, Universidade Federal do Pará
5Cirurgiã-Dentista, Doutora em Implantodontia, Centro de Pesquisas Odontológicas São Leopoldo Mandic – Campinas/SP
6Cirurgião-Dentista, Doutor em Ciências Odontológicas na Área de Clínicas Odontológicas, Centro de Pesquisas Odontológicas São Leopoldo Mandic
7Cirurgiã-Dentista, Doutora em Neurociências e Biologia Celular, Universidade Federal do Pará
8Cirurgiã-dentista, Doutora em Engenharia de Recursos Naturais da Amazônia, Universidade Federal do Pará.